Skip to main content

Fundamentals of Anatomy and Physiology: 4.2 Accessory Structures of the Skin

Fundamentals of Anatomy and Physiology
4.2 Accessory Structures of the Skin
  • Show the following:

    Annotations
    Resources
  • Adjust appearance:

    Font
    Font style
    Color Scheme
    Light
    Dark
    Annotation contrast
    Low
    High
    Margins
  • Search within:
    • My Notes + Comments
    • Notifications
    • Privacy
  • Project HomeNatural Sciences Collection: Anatomy, Biology, and Chemistry
  • Projects
  • Learn more about Manifold

Notes

table of contents
  1. Cover
  2. Title Page
  3. Copyright
  4. Table Of Contents
  5. About the Authors
  6. Acknowledgments
  7. Preface
  8. Levels of Organisation, Homeostasis and Nomenclature
    1. 1.1 Overview of Anatomy and Physiology
    2. 1.2 Structural Organisation of the Human Body
    3. 1.3 Homeostasis
    4. 1.4 Anatomical Terminology
  9. Cells and Reproduction
    1. 2.1 Synthesis of Biological Macromolecules
    2. 2.2 Carbohydrates
    3. 2.3 Lipids
    4. 2.4 Protein
    5. 2.5 Nucleic Acid
    6. 2.6 The Cell Membrane
    7. 2.7 The Cytoplasm and Cellular Organelles
    8. 2.8 The Nucleus and DNA Replication
    9. 2.9 Protein Synthesis
    10. 2.10 Cell Growth and Division
    11. 2.11 Cellular Differentiation
  10. Tissues, Organs, Systems
    1. 3.1 Types of Tissues
    2. 3.2 Epithelial Tissue
    3. 3.3 Connective Tissue Supports and Protects
    4. 3.4 Muscle Tissue and Motion
    5. 3.5 Nervous Tissue Mediates Perception and Response
    6. 3.6 Tissue Injury and Ageing
  11. Integumentary System
    1. 4.1 Layers of the Skin
    2. 4.2 Accessory Structures of the Skin
    3. 4.3 Functions of the Integumentary System
    4. 4.4 Diseases, Disorders and Injuries of the Integumentary System
  12. Blood
    1. 5.1 An Overview of Blood
    2. 5.2 Production of the Formed Elements
    3. 5.3 Erythrocytes
    4. 5.4 Leukocytes and Platelets
    5. 5.5 Haemostasis
    6. 5.6 Blood Typing
  13. Cardiovascular System
    1. 6.1 Heart Anatomy
    2. 6.2 Cardiac Muscle and Electrical Activity
    3. 6.3 Cardiac Cycle
    4. 6.4 Cardiac Physiology
    5. 6.5 Development of the Heart
    6. 6.6 Structure and Function of Blood Vessels
    7. 6.7 Blood Flow, Blood Pressure and Resistance
    8. 6.8 Capillary Exchange
    9. 6.9 Homeostatic Regulation of the Vascular System
    10. 6.10 Circulatory Pathways
    11. 6.11 Development of Blood Vessels and Foetal Circulation
  14. Lymphatic System and Immunity
    1. 7.1 Anatomy of the Lymphatic and Immune Systems
    2. 7.2 Barrier Defences and the Innate Immune Response
    3. 7.3 The Adaptive Immune Response: T Lymphocytes and their Functional Types
    4. 7.4 The Adaptive Immune Response: B-Lymhocytes and Antibodies
    5. 7.5 The Immune Response Against Pathogens
    6. 7.6 Diseases Associated with Depressed or Overactive Immune Responses
    7. 7.7 Transplantation and Cancer Immunology
  15. Respiratory System
    1. 8.1 Organs and Structures of the Respiratory System
    2. 8.2 The Lungs
    3. 8.3 The Process of Breathing
    4. 8.4 Gas Exchange
    5. 8.5 Transport of Gases
    6. 8.6 Modifications in Respiratory Functions
    7. 8.7 Embryonic Development of the Respiratory System
  16. Muscle System
    1. 9.1 Overview of Muscle Tissues
    2. 9.2 Skeletal Muscle
    3. 9.3 Muscle Fibre Contraction and Relaxation
    4. 9.4 Nervous System Control of Muscle Tension
    5. 9.5 Types of Muscle Fibres
    6. 9.6 Exercise and Muscle Performance
    7. 9.7 Cardiac Muscle Tissue
    8. 9.8 Smooth Muscle
    9. 9.9 Development and Regeneration of Muscle Tissue
  17. Skeletal System
    1. 10.1 The Functions of the Skeletal System
    2. 10.2 Bone Classification
    3. 10.3 Bone Structure
    4. 10.4 Bone Formation and Development
    5. 10.5 Fractures: Bone Repair
    6. 10.6 Exercise, Nutrition, Hormones and Bone Tissue
    7. 10.7 Calcium Homeostasis: Interactions of the Skeletal System and Other Organ Systems
    8. 10.8 Divisions of the Skeletal System
    9. 10.9 The Skull
    10. 10.10 The Vertebral Column
    11. 10.11 The Thoracic Cage
    12. 10.12 Embryonic Development of the Axial Skeleton
  18. Musculoskeletal System
    1. 11.1 The Pectoral Girdle
    2. 11.2 Bones of the Upper Limb
    3. 11.3 The Pelvic Girdle and Pelvis
    4. 11.4 Bones of the Lower Limb
    5. 11.5 Development of the Appendicular Skeleton
    6. 11.6 Classification of Joints
    7. 11.7 Fibrous Joints
    8. 11.8 Cartilaginous Joints
    9. 11.9 Synovial Joints
    10. 11.10 Types of Body Movements
    11. 11.11 Anatomy of Selected Synovial Joints
    12. 11.12 Development of Joints
  19. Digestive System
    1. 12.1 Overview of the Digestive System
    2. 12.2 Digestive System Processes and Regulation
    3. 12.3 The Mouth, Pharynx and Oesophagus
    4. 12.4 The Stomach
    5. 12.5 The Small and Large Intestines
    6. 12.6 Accessory Organs in Digestion: the Liver, Pancreas and Gallbladder
    7. 12.7 Chemical Digestion and Absorption
  20. Nervous System
    1. 13.1 Basic Structure and Function of the Nervous System
    2. 13.2 Nervous Tissue
    3. 13.3 The Function of Nervous Tissue
    4. 13.4 The Action Potential
    5. 13.5 Communication between Neurons
    6. 13.6 The Embyrologic Perspective
    7. 13.7 The Central Nervous System
    8. 13.8 Circulation and the Central Nervous System
    9. 13.9 The Peripheral Nervous System
    10. 13.10 Sensory Perception
    11. 13.11 Central Processing
    12. 13.12 Motor Responses
  21. Endocrine System
    1. 14.1 An Overview of the Endocrine System
    2. 14.2 Hormones
    3. 14.3 The Pituitary Gland and Hypothalamus
    4. 14.4 The Thyroid Gland
    5. 14.5 The Parathyroid Glands
    6. 14.6 The Adrenal Glands
    7. 14.7 The Pineal Gland
    8. 14.8 Gonadal and Placental Hormones
    9. 14.9 The Endocrine Pancreas
    10. 14.10 Organs with Secondary Endocrine Functions
    11. 14.11 Development and Ageing of the Endocrine System
  22. Reproductive System
    1. 15.1 Anatomy and Physiology of the Male Reproductive System
    2. 15.2 Anatomy and Physiology of the Female Reproductive System
    3. 15.3 Development of the Male and Female Reproductive Systems
  23. Pregnancy and Human Development
    1. 16.1 Fertilisation
    2. 16.2 Embryonic Development
    3. 16.3 Foetal Development
  24. Urinary System
    1. 17.1 Physical Characteristics of Urine
    2. 17.2 Gross Anatomy of Urine Transport
    3. 17.3 Gross Anatomy of the Kidney
    4. 17.4 Microscopic Anatomy of the Kidney
    5. 17.5 Physiology of Urine Formation
    6. 17.6 Tubular Reabsorption
    7. 17.7 Regulation of Renal Blood Flow
    8. 17.8 Endocrine Regulation of Kidney Function
    9. 17.9 Regulation of Fluid Volume and Composition
    10. 17.10 The Urinary System and Homeostasis
    11. 17.11 Body Fluids and Fluid Compartments
    12. 17.12 Water Balance
    13. 17.13 Electrolyte Balance
    14. 17.14 Acid-Base Balance
    15. 17.15 Disorders of Acid-Base Balance
  25. Appendix A: Unit Measurements and Calculations
  26. Appendix B: Chemical Abbreviations
  27. Glossary
  28. Bibliography

4.2 Accessory Structures of the Skin

Learning Objectives

By the end of this section, you will be able to:

  • Identify the accessory structures of the skin
  • Describe the structure and function of hair and nails
  • Describe the structure and function of sweat glands and sebaceous glands

Accessory structures of the skin include hair, nails, sweat glands, and sebaceous glands. These structures embryologically originate from the epidermis and can extend down through the dermis into the hypodermis.

Hair

Hair is a keratinous filament growing out of the epidermis. It is primarily made of dead, keratinised cells. Strands of hair originate in an epidermal penetration of the dermis called the hair follicle. The hair shaft is the part of the hair not anchored to the follicle, and much of this is exposed at the skin’s surface. The rest of the hair, which is anchored in the follicle, lies below the surface of the skin and is referred to as the hair root. The hair root ends deep in the dermis at the hair bulb and includes a layer of mitotically active basal cells called the hair matrix. The hair bulb surrounds the hair papilla, which is made of connective tissue and contains blood capillaries and nerve endings from the dermis (Figure 4.2.1).

diagram of hair and hair follicles
Figure 4.2.1. Hair. Hair follicles originate in the epidermis and have many different parts.

Just as the basal layer of the epidermis forms the layers of epidermis that get pushed to the surface as the dead skin on the surface sheds, the basal cells of the hair bulb divide and push cells outward in the hair root and shaft as the hair grows. The medulla forms the central core of the hair, which is surrounded by the cortex, a layer of compressed, keratinised cells that is covered by an outer layer of very hard, keratinised cells known as the cuticle. These layers are depicted in a longitudinal cross-section of the hair follicle (Figure 4.2.2), although not all hair has a medullary layer. Hair texture (straight, curly) is determined by the shape and structure of the cortex, and to the extent that it is present, the medulla. The shape and structure of these layers are, in turn, determined by the shape of the hair follicle. Hair growth begins with the production of keratinocytes by the basal cells of the hair bulb. As new cells are deposited at the hair bulb, the hair shaft is pushed through the follicle toward the surface. Keratinisation is completed as the cells are pushed to the skin surface to form the shaft of hair that is externally visible. The external hair is completely dead and composed entirely of keratin. For this reason, our hair does not have sensation. Furthermore, you can cut your hair or shave without damaging the hair structure because the cut is superficial. Most chemical hair removers also act superficially; however, electrolysis and yanking both attempt to destroy the hair bulb so hair cannot grow.

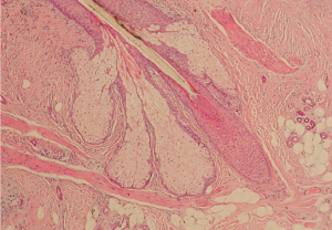
Cell image of hair follicle
Figure 4.2.2. Hair Follicle. The slide shows a cross-section of a hair follicle. Basal cells of the hair matrix in the centre differentiate into cells of the inner root sheath. Basal cells at the base of the hair root form the outer root sheath. LM × 4. (credit: modification of work by “kilbad”/Wikimedia Commons).

The wall of the hair follicle is made of three concentric layers of cells. The cells of the internal root sheath surround the root of the growing hair and extend just up to the hair shaft. They are derived from the basal cells of the hair matrix. The external root sheath, which is an extension of the epidermis, encloses the hair root. It is made of basal cells at the base of the hair root and tends to be more keratinous in the upper regions. The glassy membrane is a thick, clear connective tissue sheath covering the hair root, connecting it to the tissue of the dermis.

Hair serves a variety of functions, including protection, sensory input, thermoregulation and communication, for example, hair on the head protects the skull from the sun. The hair in the nose and ears, and around the eyes (eyelashes) defends the body by trapping and excluding dust particles that may contain allergens and microbes. Hair of the eyebrows prevents sweat and other particles from dripping into and bothering the eyes. Hair also has a sensory function due to sensory innervation by a hair root plexus surrounding the base of each hair follicle. Hair is extremely sensitive to air movement or other disturbances in the environment, much more so than the skin surface. This feature is also useful for the detection of the presence of insects or other potentially damaging substances on the skin surface. Each hair root is connected to a smooth muscle called the arrector pili that contracts in response to nerve signals from the sympathetic nervous system, making the external hair shaft “stand up.” The primary purpose for this is to trap a layer of air to add insulation. This is visible in humans as goose bumps and even more obvious in animals, such as when a frightened cat raises its fur. Of course, this is much more obvious in organisms with a heavier coat than most humans, such as dogs and cats.

Hair Growth

Hair grows and is eventually shed and replaced by new hair. This occurs in three phases. The first is the anagen phase, during which cells divide rapidly at the root of the hair, pushing the hair shaft up and out. The length of this phase is measured in years, typically from 2 to 7 years. The catagen phase lasts only 2 to 3 weeks and marks a transition from the hair follicle’s active growth. Finally, during the telogen phase, the hair follicle is at rest and no new growth occurs. At the end of this phase, which lasts about 2 to 4 months, another anagen phase begins. The basal cells in the hair matrix then produce a new hair follicle, which pushes the old hair out as the growth cycle repeats itself. Hair typically grows at the rate of 0.3 mm per day during the anagen phase. On average, 50 hairs are lost and replaced per day. Hair loss occurs if there is more hair shed than what is replaced and can happen due to hormonal or dietary changes. Hair loss can also result from the ageing process, or the influence of hormones.

Hair Colour

Similar to the skin, hair gets its colour from the pigment melanin, produced by melanocytes in the hair papilla. Different hair colour results from differences in the type of melanin, which is genetically determined. As a person ages, the melanin production decreases, and hair tends to lose its colour and becomes grey and/or white.

Nails

The nail bed is a specialised structure of the epidermis that is found at the tips of our fingers and toes. The nail body is formed on the nail bed, and protects the tips of our fingers and toes as they are the farthest extremities and the parts of the body that experience the maximum mechanical stress (Figure 4.2.3). In addition, the nail body forms a back-support for picking up small objects with the fingers. The nail body is composed of densely packed dead keratinocytes. The epidermis in this part of the body has evolved a specialised structure upon which nails can form. The nail body forms at the nail root, which has a matrix of proliferating cells from the stratum basale that enables the nail to grow continuously. The lateral nail fold overlaps the nail on the sides, helping to anchor the nail body. The nail fold that meets the proximal end of the nail body forms the nail cuticle, also called the eponychium. The nail bed is rich in blood vessels, making it appear pink, except at the base, where a thick layer of epithelium over the nail matrix forms a crescent-shaped region called the lunula (the “little moon”). The area beneath the free edge of the nail, furthest from the cuticle, is called the hyponychium. It consists of a thickened layer of stratum corneum.

Diagram of different parts of the nail
Figure 4.2.3. Nails. The nail is an accessory structure of the integumentary system.

Sweat Glands

When the body becomes warm, sudoriferous glands produce sweat to cool the body. Sweat glands develop from epidermal projections into the dermis and are classified as merocrine glands; that is, the secretions are excreted by exocytosis through a duct without affecting the cells of the gland. There are two types of sweat glands, each secreting slightly different products.

An eccrine sweat gland is type of gland that produces a hypotonic sweat for thermoregulation. These glands are found all over the skin’s surface, but are especially abundant on the palms of the hand, the soles of the feet, and the forehead (Figure 4.2.4). They are coiled glands lying deep in the dermis, with the duct rising up to a pore on the skin surface, where the sweat is released. This type of sweat, released by exocytosis, is hypotonic and composed mostly of water, with some salt, antibodies, traces of metabolic waste, and dermicidin, an antimicrobial peptide. Eccrine glands are a primary component of thermoregulation in humans and thus help to maintain homeostasis.

Diagram of eccrine gland
Figure 4.2.4. Eccrine Gland. Eccrine glands are coiled glands in the dermis that release sweat that is mostly water.

An apocrine sweat gland is usually associated with hair follicles in densely hairy areas, such as armpits and genital regions. Apocrine sweat glands are larger than eccrine sweat glands and lie deeper in the dermis, sometimes even reaching the hypodermis, with the duct normally emptying into the hair follicle. In addition to water and salts, apocrine sweat includes organic compounds that make the sweat thicker and subject to bacterial decomposition and subsequent smell. The release of this sweat is under both nervous and hormonal control and plays a role in the poorly understood human pheromone response. Most commercial antiperspirants use an aluminium-based compound as their primary active ingredient to stop sweat. When the antiperspirant enters the sweat gland duct, the aluminium-based compounds precipitate due to a change in pH and form a physical block in the duct, which prevents sweat from coming out of the pore.

Sebaceous Glands

A sebaceous gland is a type of oil gland that is found all over the body and helps to lubricate and waterproof the skin and hair. Most sebaceous glands are associated with hair follicles. They generate and excrete sebum, a mixture of lipids, onto the skin surface, thereby naturally lubricating the dry and dead layer of keratinised cells of the stratum corneum, keeping it pliable. The fatty acids of sebum also have antibacterial properties and prevent water loss from the skin in low-humidity environments. The secretion of sebum is stimulated by hormones, many of which do not become active until puberty. Thus, sebaceous glands are relatively inactive during childhood.

Section Review

Accessory structures of the skin include hair, nails, sweat glands, and sebaceous glands. Hair is made of dead keratinised cells and gets its colour from melanin pigments. Nails, also made of dead keratinised cells, protect the extremities of our fingers and toes from mechanical damage. Sweat glands and sebaceous glands produce sweat and sebum, respectively. Each of these fluids has a role to play in maintaining homeostasis. Sweat cools the body surface when it gets overheated and helps excrete small amounts of metabolic waste. Sebum acts as a natural moisturiser and keeps the dead, flaky, outer keratin layer healthy.

Review Questions

An interactive H5P element has been excluded from this version of the text. You can view it online here:
https://usq.pressbooks.pub/anatomy/?p=367#h5p-71

Critical Thinking Questions

An interactive H5P element has been excluded from this version of the text. You can view it online here:
https://usq.pressbooks.pub/anatomy/?p=367#h5p-72

An interactive H5P element has been excluded from this version of the text. You can view it online here:
https://usq.pressbooks.pub/anatomy/?p=367#h5p-73

Click the drop down below to review the terms learned from this chapter.

An interactive H5P element has been excluded from this version of the text. You can view it online here:
https://usq.pressbooks.pub/anatomy/?p=367#h5p-74

Annotate

Next Chapter
4.3 Functions of the Integumentary System
PreviousNext
Anatomy and Physiology
Copyright © 2021 by University of Southern Queensland Fundamentals of Anatomy and Physiology by University of Southern Queensland is licensed under a Creative Commons Attribution-ShareAlike 4.0 International License, except where otherwise noted.
Powered by Manifold Scholarship. Learn more at
Opens in new tab or windowmanifoldapp.org