Skip to main content

Allied Health Microbiology: 13.3 Cellular Defenses

Allied Health Microbiology
13.3 Cellular Defenses
  • Show the following:

    Annotations
    Resources
  • Adjust appearance:

    Font
    Font style
    Color Scheme
    Light
    Dark
    Annotation contrast
    Low
    High
    Margins
  • Search within:
    • Notifications
    • Privacy
  • Project HomeNatural Sciences Collection: Anatomy, Biology, and Chemistry
  • Projects
  • Learn more about Manifold

Notes

table of contents
  1. Cover
  2. Title Page
  3. Copyright
  4. Table Of Contents
  5. Preface
  6. Forward
  7. Chapter 1: An Invisible World
    1. 1.1 What Our Ancestors Knew
    2. 1.2 A Systematic Approach
    3. 1.3 Types of Microorganisms
    4. Summary
  8. Chapter 2: The Cell
    1. 2.1 Spontaneous Generation
    2. 2.2 Foundations of Modern Cell Theory
    3. 2.3 Unique Characteristics of Prokaryotic Cells
    4. Summary
  9. Chapter 3: Prokaryotic Diversity
    1. 3.1 Prokaryote Habitats, Relationships, and Microbiomes
    2. Summary
  10. Chapter 4: The Eukaryotes of Microbiology
    1. 4.1 Unicellular Eukaryotic Parasites
    2. 4.2 Parasitic Helminths
    3. 4.3 Fungi
    4. Summary
  11. Chapter 5: Acellular Pathogens
    1. 5.1 Viruses
    2. 5.2 The Viral Life Cycle
    3. 5.3 Prions
    4. Summary
  12. Chapter 6: Microbial Biochemistry
    1. 6.1 Microbial Biochemistry
    2. Summary
  13. Chapter 7: Microbial Growth
    1. 7.1 How Microbes Grow
    2. 7.2 Oxygen Requirements for Microbial Growth
    3. 7.3 The Effects of pH on Microbial Growth
    4. 7.4 Temperature and Microbial Growth
    5. Summary
  14. Chapter 8: Modern Applications of Microbial Genetics
    1. 8.1 Whole Genome Methods and Pharmaceutical Applications of Genetic Engineering
    2. 8.2 Gene Therapy
    3. Summary
  15. Chapter 9: Control of Microbial Growth
    1. 9.1 Controlling Microbial Growth
    2. 9.2 Testing the Effectiveness of Antiseptics and Disinfectants
    3. Summary
  16. Chapter 10: Antimicrobial Drugs
    1. 10.1 Fundamentals of Antimicrobial Chemotherapy
    2. 10.2 Mechanisms of Antibacterial Drugs
    3. 10.3 Mechanisms of Other Antimicrobial Drugs
    4. 10.4 Drug Resistance
    5. 10.5 Testing the Effectiveness of Antimicrobials
    6. 10.6 Current Strategies for Antimicrobial Discovery
    7. Summary
  17. Chapter 11: Microbial Mechanisms of Pathogenicity
    1. 11.1 Characteristics of Infectious Disease
    2. 11.2 How Pathogens Cause Disease
    3. 11.3 Virulence Factors of Bacterial and Viral Pathogens
    4. Summary
  18. Chapter 12: Disease and Epidemiology
    1. 12.1 The Language of Epidemiologists
    2. 12.2 Tracking Infectious Diseases
    3. 12.3 Modes of Disease Transmission
    4. 12.4 Global Public Health
    5. Summary
  19. Chapter 13: Innate Nonspecific Host Defenses
    1. 13.1 Physical Defenses
    2. 13.2 Chemical Defenses
    3. 13.3 Cellular Defenses
    4. 13.4 Pathogen Recognition and Phagocytosis
    5. 13.5 Inflammation and Fever
    6. Summary
  20. Chapter 14: Adaptive Specific Host Defenses
    1. 14.1 Overview of Specific Adaptive Immunity
    2. 14.2 Major Histocompatibility Complexes and Antigen-Presenting Cells
    3. 14.3 T Lymphocytes and Cellular Immunity
    4. 14.4 B Lymphocytes and Humoral Immunity
    5. 14.5 Vaccines
    6. Summary
  21. Chapter 15: Diseases of the Immune System
    1. 15.1 Hypersensitivities
    2. 15.2 Autoimmune Disorders
    3. 15.3 Organ Transplantation and Rejection
    4. Summary
  22. Chapter 16: Skin and Eye Infections
    1. 16.1 Anatomy and Normal Microbiota of the Skin and Eyes
    2. 16.2 Bacterial Infections of the Skin and Eyes
    3. 16.3 Viral Infections of the Skin and Eyes
    4. 16.4 Mycoses of the Skin
    5. 16.5 Helminthic Infections of the Skin and Eyes
    6. Summary
  23. Chapter 17: Respiratory System Infections
    1. 17.1 Anatomy and Normal Microbiota of the Respiratory Tract
    2. 17.2 Bacterial Infections of the Respiratory Tract
    3. 17.3 Viral Infections of the Respiratory Tract
    4. Summary
  24. Chapter 18: Urogenital System Infections
    1. 18.1 Anatomy and Normal Microbiota of the Urogenital Tract
    2. 18.2 Bacterial Infections of the Urinary System
    3. 18.3 Bacterial Infections of the Reproductive System
    4. 18.4 Viral Infections of the Reproductive System
    5. 18.5 Fungal Infections of the Reproductive System
    6. 18.6 Protozoan Infections of the Urogenital System
    7. Summary
  25. Chapter 19: Digestive System Infections
    1. 19.1 Anatomy and Normal Microbiota of the Digestive System
    2. 19.2 Microbial Diseases of the Mouth and Oral Cavity
    3. 19.3 Bacterial Infections of the Gastrointestinal Tract
    4. 19.4 Viral Infections of the Gastrointestinal Tract
    5. 19.5 Protozoan Infections of the Gastrointestinal Tract
    6. 19.6 Helminthic Infections of the Gastrointestinal Tract
    7. Summary
  26. Chapter 20: Circulatory and Lymphatic System Infections
    1. 20.1 Anatomy of the Circulatory and Lymphatic Systems
    2. 20.2 Bacterial Infections of the Circulatory and Lymphatic Systems
    3. 20.3 Viral Infections of the Circulatory and Lymphatic Systems
    4. 20.4 Parasitic Infections of the Circulatory and Lymphatic Systems
    5. Summary
  27. Chapter 21: Nervous System Infections
    1. 21.1 Anatomy of the Nervous System
    2. 21.2 Bacterial Diseases of the Nervous System
    3. 21.3 Acellular Diseases of the Nervous System
    4. Summary
  28. Creative Commons License
  29. Recommended Citations
  30. Versioning

13.3 Cellular Defenses

Learning Objectives

  • Identify and describe the components of blood
  • Explain the process by which the formed elements of blood are formed (hematopoiesis)
  • Describe the characteristics of formed elements found in peripheral blood, as well as their respective functions within the innate immune system

In the previous section, we discussed some of the chemical mediators found in plasma, the fluid portion of blood. The nonfluid portion of blood consists of various types of formed elements, so called because they are all formed from the same stem cells found in bone marrow. The three major categories of formed elements are: red blood cells (RBCs), also called erythrocytes; platelets, also called thrombocytes; and white blood cells (WBCs), also called leukocytes.

Red blood cells are primarily responsible for carrying oxygen to tissues. Platelets are cellular fragments that participate in blood clot formation and tissue repair. Several different types of WBCs participate in various nonspecific mechanisms of innate and adaptive immunity. In this section, we will focus primarily on the innate mechanisms of various types of WBCs.

Hematopoiesis

All of the formed elements of blood are derived from pluripotent hematopoietic stem cells (HSCs) in the bone marrow. As the HSCs make copies of themselves in the bone marrow, individual cells receive different cues from the body that control how they develop and mature. As a result, the HSCs differentiate into different types of blood cells that, once mature, circulate in peripheral blood. This process of differentiation, called hematopoiesis, is shown in more detail in Figure 13.9.

In terms of sheer numbers, the vast majority of HSCs become erythrocytes. Much smaller numbers become leukocytes and platelets. Leukocytes can be further subdivided into granulocytes, which are characterized by numerous granules visible in the cytoplasm, and agranulocytes, which lack granules.

All the formed elements of the blood arise by differentiation of hematopoietic stem cells in the bone marrow.
Figure 13.9 All the formed elements of the blood arise by differentiation of hematopoietic stem cells in the bone marrow.

Granulocytes

The various types of granulocytes can be distinguished from one another in a blood smear by the appearance of their nuclei and the contents of their granules, which confer different traits, functions, and staining properties. The neutrophils, also called polymorphonuclear neutrophils (PMNs), have a nucleus with three to five lobes and small, numerous, lilac-colored granules. Each lobe of the nucleus is connected by a thin strand of material to the other lobes. The eosinophils have fewer lobes in the nucleus (typically 2–3) and larger granules that stain reddish-orange. The basophils have a two-lobed nucleus and large granules that stain dark blue or purple (Figure 13.10).

Granulocytes can be distinguished by the number of lobes in their nuclei and the staining properties of their granules.
Figure 13.10 Granulocytes can be distinguished by the number of lobes in their nuclei and the staining properties of their granules. (credit “neutrophil” micrograph: modification of work by Ed Uthman)

Neutrophils (PMNs)

Neutrophils (PMNs) are frequently involved in the elimination and destruction of extracellular bacteria. They are capable of migrating through the walls of blood vessels to areas of bacterial infection and tissue damage, where they seek out and kill infectious bacteria. PMN granules contain a variety of defensins and hydrolytic enzymes that help them destroy bacteria through phagocytosis (described in more detail in Pathogen Recognition and Phagocytosis) In addition, when many neutrophils are brought into an infected area, they can be stimulated to release toxic molecules into the surrounding tissue to better clear infectious agents. This is called degranulation.

As neutrophils fight an infection, a visible accumulation of leukocytes, cellular debris, and bacteria at the site of infection can be observed. This buildup is what we call pus (also known as purulent or suppurative discharge or drainage). The presence of pus is a sign that the immune defenses have been activated against an infection; historically, some physicians believed that inducing pus formation could actually promote the healing of wounds. The practice of promoting “laudable pus” (by, for instance, wrapping a wound in greasy wool soaked in wine) dates back to the ancient physician Galen in the 2nd century AD, and was practiced in variant forms until the 17th century (though it was not universally accepted). Today, this method is no longer practiced because we now know that it is not effective. Although a small amount of pus formation can indicate a strong immune response, artificially inducing pus formation does not promote recovery.

Eosinophils

Eosinophils are granulocytes that protect against protozoa and helminths; they also play a role in allergic reactions. The granules of eosinophils, which readily absorb the acidic reddish dye eosin, contain histamine, degradative enzymes, and a compound known as major basic protein (MBP) (Figure 13.10). MBP binds to the surface carbohydrates of parasites, and this binding is associated with disruption of the cell membrane and membrane permeability.

Basophils

Basophils have cytoplasmic granules of varied size and are named for their granules’ ability to absorb the basic dye methylene blue (Figure 13.10). Their stimulation and degranulation can result from multiple triggering events. This cell type is important in allergic reactions and other responses that involve inflammation. One of the most abundant components of basophil granules is histamine, which is released along with other chemical factors when the basophil is stimulated. These chemicals can be chemotactic and can help to open the gaps between cells in the blood vessels.

Mast Cells

Hematopoiesis also gives rise to mast cells, which appear to be derived from the same common myeloid progenitor cell as neutrophils, eosinophils, and basophils. Functionally, mast cells are very similar to basophils, containing many of the same components in their granules (e.g., histamine) and playing a similar role in allergic responses and other inflammatory reactions. However, unlike basophils, mast cells leave the circulating blood and are most frequently found residing in tissues. They are often associated with blood vessels and nerves or found close to surfaces that interface with the external environment, such as the skin and mucous membranes in various regions of the body (Figure 13.11).

Mast cells function similarly to basophils by inducing and promoting inflammatory responses. (a) This figure shows mast cells in blood. In a blood smear, they are difficult to differentiate from basophils (b). Unlike basophils, mast cells migrate from the blood into various tissues.
Figure 13.11 Mast cells function similarly to basophils by inducing and promoting inflammatory responses. (a) This figure shows mast cells in blood. In a blood smear, they are difficult to differentiate from basophils (b). Unlike basophils, mast cells migrate from the blood into various tissues. (credit right: modification of work by Greenland JR, Xu X, Sayah DM, Liu FC, Jones KD, Looney MR, Caughey GH)

  • Describe the granules and nuclei of neutrophils, eosinophils, basophils, and mast cells.
  • Name three antimicrobial mechanisms of neutrophils

Agranulocytes

As their name suggests, agranulocytes lack visible granules in the cytoplasm. Agranulocytes can be categorized as lymphocytes or monocytes. Among the lymphocytes are natural killer cells, which play an important role in nonspecific innate immune defenses. Lymphocytes also include the B cells and T cells, which are discussed in the next chapter because they are central players in the specific adaptive immune defenses. The monocytes differentiate into macrophages and dendritic cells, which are collectively referred to as the mononuclear phagocyte system.

Natural Killer Cells

Most lymphocytes are primarily involved in the specific adaptive immune response, and thus will be discussed in the following chapter. An exception is the natural killer cells (NK cells); these mononuclear lymphocytes use nonspecific mechanisms to recognize and destroy cells that are abnormal in some way. Cancer cells and cells infected with viruses are two examples of cellular abnormalities that are targeted by NK cells. Recognition of such cells involves a complex process of identifying inhibitory and activating molecular markers on the surface of the target cell.

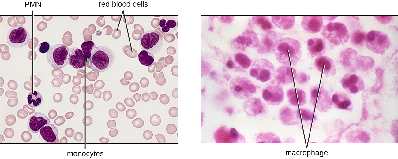
Monocytes

The largest of the white blood cells, monocytes have a nucleus that lacks lobes, and they also lack granules in the cytoplasm (Figure 13.12). Nevertheless, they are effective phagocytes, engulfing pathogens and apoptotic cells to help fight infection.

When monocytes leave the bloodstream and enter a specific body tissue, they differentiate into tissue-specific phagocytes called macrophages and dendritic cells. Macrophages and dendritic cells can reside in body tissues for significant lengths of time. Macrophages in specific body tissues develop characteristics suited to the particular tissue. Not only do they provide immune protection for the tissue in which they reside but they also support normal function of their neighboring tissue cells through the production of cytokines. Dendritic cells are important sentinels residing in the skin and mucous membranes, which are portals of entry for many pathogens. Monocytes, macrophages, and dendritic cells are all highly phagocytic and important promoters of the immune response through their production and release of cytokines. These cells provide an essential bridge between innate and adaptive immune responses, as discussed in the next section as well as the next chapter.

Monocytes are large, agranular white blood cells with a nucleus that lacks lobes. When monocytes leave the bloodstream, they differentiate and become macrophages with tissue-specific properties.
Figure 13.12 Monocytes are large, agranular white blood cells with a nucleus that lacks lobes. When monocytes leave the bloodstream, they differentiate and become macrophages with tissue-specific properties. (credit left: modification of work by Armed Forces Institute of Pathology; credit right: modification of work by Centers for Disease Control and Prevention)

  

  • What role do natural killer cells play for the body?
  • What is the difference between monocytes and macrophages?

Annotate

Next Chapter
13.4 Pathogen Recognition and Phagocytosis
PreviousNext
Biology
Copyright © 2019 by Open Stax and Linda Bruslind Allied Health Microbiology by Open Stax and Linda Bruslind is licensed under a Creative Commons Attribution-NonCommercial-ShareAlike 4.0 International License, except where otherwise noted.
Powered by Manifold Scholarship. Learn more at
Opens in new tab or windowmanifoldapp.org