Skip to main content

Allied Health Microbiology: 11.1 Characteristics of Infectious Disease

Allied Health Microbiology
11.1 Characteristics of Infectious Disease
  • Show the following:

    Annotations
    Resources
  • Adjust appearance:

    Font
    Font style
    Color Scheme
    Light
    Dark
    Annotation contrast
    Low
    High
    Margins
  • Search within:
    • Notifications
    • Privacy
  • Project HomeNatural Sciences Collection: Anatomy, Biology, and Chemistry
  • Projects
  • Learn more about Manifold

Notes

table of contents
  1. Cover
  2. Title Page
  3. Copyright
  4. Table Of Contents
  5. Preface
  6. Forward
  7. Chapter 1: An Invisible World
    1. 1.1 What Our Ancestors Knew
    2. 1.2 A Systematic Approach
    3. 1.3 Types of Microorganisms
    4. Summary
  8. Chapter 2: The Cell
    1. 2.1 Spontaneous Generation
    2. 2.2 Foundations of Modern Cell Theory
    3. 2.3 Unique Characteristics of Prokaryotic Cells
    4. Summary
  9. Chapter 3: Prokaryotic Diversity
    1. 3.1 Prokaryote Habitats, Relationships, and Microbiomes
    2. Summary
  10. Chapter 4: The Eukaryotes of Microbiology
    1. 4.1 Unicellular Eukaryotic Parasites
    2. 4.2 Parasitic Helminths
    3. 4.3 Fungi
    4. Summary
  11. Chapter 5: Acellular Pathogens
    1. 5.1 Viruses
    2. 5.2 The Viral Life Cycle
    3. 5.3 Prions
    4. Summary
  12. Chapter 6: Microbial Biochemistry
    1. 6.1 Microbial Biochemistry
    2. Summary
  13. Chapter 7: Microbial Growth
    1. 7.1 How Microbes Grow
    2. 7.2 Oxygen Requirements for Microbial Growth
    3. 7.3 The Effects of pH on Microbial Growth
    4. 7.4 Temperature and Microbial Growth
    5. Summary
  14. Chapter 8: Modern Applications of Microbial Genetics
    1. 8.1 Whole Genome Methods and Pharmaceutical Applications of Genetic Engineering
    2. 8.2 Gene Therapy
    3. Summary
  15. Chapter 9: Control of Microbial Growth
    1. 9.1 Controlling Microbial Growth
    2. 9.2 Testing the Effectiveness of Antiseptics and Disinfectants
    3. Summary
  16. Chapter 10: Antimicrobial Drugs
    1. 10.1 Fundamentals of Antimicrobial Chemotherapy
    2. 10.2 Mechanisms of Antibacterial Drugs
    3. 10.3 Mechanisms of Other Antimicrobial Drugs
    4. 10.4 Drug Resistance
    5. 10.5 Testing the Effectiveness of Antimicrobials
    6. 10.6 Current Strategies for Antimicrobial Discovery
    7. Summary
  17. Chapter 11: Microbial Mechanisms of Pathogenicity
    1. 11.1 Characteristics of Infectious Disease
    2. 11.2 How Pathogens Cause Disease
    3. 11.3 Virulence Factors of Bacterial and Viral Pathogens
    4. Summary
  18. Chapter 12: Disease and Epidemiology
    1. 12.1 The Language of Epidemiologists
    2. 12.2 Tracking Infectious Diseases
    3. 12.3 Modes of Disease Transmission
    4. 12.4 Global Public Health
    5. Summary
  19. Chapter 13: Innate Nonspecific Host Defenses
    1. 13.1 Physical Defenses
    2. 13.2 Chemical Defenses
    3. 13.3 Cellular Defenses
    4. 13.4 Pathogen Recognition and Phagocytosis
    5. 13.5 Inflammation and Fever
    6. Summary
  20. Chapter 14: Adaptive Specific Host Defenses
    1. 14.1 Overview of Specific Adaptive Immunity
    2. 14.2 Major Histocompatibility Complexes and Antigen-Presenting Cells
    3. 14.3 T Lymphocytes and Cellular Immunity
    4. 14.4 B Lymphocytes and Humoral Immunity
    5. 14.5 Vaccines
    6. Summary
  21. Chapter 15: Diseases of the Immune System
    1. 15.1 Hypersensitivities
    2. 15.2 Autoimmune Disorders
    3. 15.3 Organ Transplantation and Rejection
    4. Summary
  22. Chapter 16: Skin and Eye Infections
    1. 16.1 Anatomy and Normal Microbiota of the Skin and Eyes
    2. 16.2 Bacterial Infections of the Skin and Eyes
    3. 16.3 Viral Infections of the Skin and Eyes
    4. 16.4 Mycoses of the Skin
    5. 16.5 Helminthic Infections of the Skin and Eyes
    6. Summary
  23. Chapter 17: Respiratory System Infections
    1. 17.1 Anatomy and Normal Microbiota of the Respiratory Tract
    2. 17.2 Bacterial Infections of the Respiratory Tract
    3. 17.3 Viral Infections of the Respiratory Tract
    4. Summary
  24. Chapter 18: Urogenital System Infections
    1. 18.1 Anatomy and Normal Microbiota of the Urogenital Tract
    2. 18.2 Bacterial Infections of the Urinary System
    3. 18.3 Bacterial Infections of the Reproductive System
    4. 18.4 Viral Infections of the Reproductive System
    5. 18.5 Fungal Infections of the Reproductive System
    6. 18.6 Protozoan Infections of the Urogenital System
    7. Summary
  25. Chapter 19: Digestive System Infections
    1. 19.1 Anatomy and Normal Microbiota of the Digestive System
    2. 19.2 Microbial Diseases of the Mouth and Oral Cavity
    3. 19.3 Bacterial Infections of the Gastrointestinal Tract
    4. 19.4 Viral Infections of the Gastrointestinal Tract
    5. 19.5 Protozoan Infections of the Gastrointestinal Tract
    6. 19.6 Helminthic Infections of the Gastrointestinal Tract
    7. Summary
  26. Chapter 20: Circulatory and Lymphatic System Infections
    1. 20.1 Anatomy of the Circulatory and Lymphatic Systems
    2. 20.2 Bacterial Infections of the Circulatory and Lymphatic Systems
    3. 20.3 Viral Infections of the Circulatory and Lymphatic Systems
    4. 20.4 Parasitic Infections of the Circulatory and Lymphatic Systems
    5. Summary
  27. Chapter 21: Nervous System Infections
    1. 21.1 Anatomy of the Nervous System
    2. 21.2 Bacterial Diseases of the Nervous System
    3. 21.3 Acellular Diseases of the Nervous System
    4. Summary
  28. Creative Commons License
  29. Recommended Citations
  30. Versioning

11.1 Characteristics of Infectious Disease

Learning Objectives

  • Distinguish between signs and symptoms of disease
  • Explain the difference between a communicable disease and a noncommunicable disease
  • Compare different types of infectious diseases, including iatrogenic, nosocomial, and zoonotic diseases
  • Identify and describe the stages of an acute infectious disease in terms of number of pathogens present and severity of signs and symptoms

A disease is any condition in which the normal structure or functions of the body are damaged or impaired. Physical injuries or disabilities are not classified as disease, but there can be several causes for disease, including infection by a pathogen, genetics (as in many cancers or deficiencies), noninfectious environmental causes, or inappropriate immune responses. Our focus in this chapter will be on infectious diseases, although when diagnosing infectious diseases, it is always important to consider possible noninfectious causes.

Signs and Symptoms of Disease

An infection is the successful colonization of a host by a microorganism. Infections can lead to disease, which causes signs and symptoms resulting in a deviation from the normal structure or functioning of the host. Microorganisms that can cause disease are known as pathogens.

The signs of disease are objective and measurable, and can be directly observed by a clinician. Vital signs, which are used to measure the body’s basic functions, include body temperature (normally 37 °C [98.6 °F]), heart rate (normally 60–100 beats per minute), breathing rate (normally 12–18 breaths per minute), and blood pressure (normally between 90/60 and 120/80 mm Hg). Changes in any of the body’s vital signs may be indicative of disease. For example, having a fever (a body temperature significantly higher than 37 °C or 98.6 °F) is a sign of disease because it can be measured.

In addition to changes in vital signs, other observable conditions may be considered signs of disease. For example, the presence of antibodies in a patient’s serum (the liquid portion of blood that lacks clotting factors) can be observed and measured through blood tests and, therefore, can be considered a sign. However, it is important to note that the presence of antibodies is not always a sign of an active disease. Antibodies can remain in the body long after an infection has resolved; also, they may develop in response to a pathogen that is in the body but not currently causing disease.

Unlike signs, symptoms of disease are subjective. Symptoms are felt or experienced by the patient, but they cannot be clinically confirmed or objectively measured. Examples of symptoms include nausea, loss of appetite, and pain. Such symptoms are important to consider when diagnosing disease, but they are subject to memory bias and are difficult to measure precisely. Some clinicians attempt to quantify symptoms by asking patients to assign a numerical value to their symptoms. For example, the Wong-Baker Faces pain-rating scale asks patients to rate their pain on a scale of 0–10. An alternative method of quantifying pain is measuring skin conductance fluctuations. These fluctuations reflect sweating due to skin sympathetic nerve activity resulting from the stressor of pain.[1]

A specific group of signs and symptoms characteristic of a particular disease is called a syndrome. Many syndromes are named using a nomenclature based on signs and symptoms or the location of the disease. Table 11.1 lists some of the prefixes and suffixes commonly used in naming syndromes.

Table 11.1 Nomenclature of Symptoms

Affix

Meaning

Example

cyto-

cell

cytopenia: reduction in the number of blood cells

hepat-

of the liver

hepatitis: inflammation of the liver

-pathy

disease

neuropathy: a disease affecting nerves

-emia

of the blood

bacteremia: presence of bacteria in blood

-itis

inflammation

colitis: inflammation of the colon

-lysis

destruction

hemolysis: destruction of red blood cells

-oma

tumor

lymphoma: cancer of the lymphatic system

-osis

diseased or abnormal condition

leukocytosis: abnormally high number of white blood cells

-derma

of the skin

keratoderma: a thickening of the skin

Clinicians must rely on signs and on asking questions about symptoms, medical history, and the patient’s recent activities to identify a particular disease and the potential causative agent. Diagnosis is complicated by the fact that different microorganisms can cause similar signs and symptoms in a patient. For example, an individual presenting with symptoms of diarrhea may have been infected by one of a wide variety of pathogenic microorganisms, such as bacteria, viruses, or protozoa.. Likewise, fever is indicative of many types of infection, from the common cold to the deadly Ebola hemorrhagic fever.

Finally, some diseases may be asymptomatic or subclinical, meaning they do not present any noticeable signs or symptoms. For example, most individual infected with herpes simplex virus remain asymptomatic and are unaware that they have been infected.

  • Explain the difference between signs and symptoms.

Classifications of Disease

The World Health Organization’s (WHO) International Classification of Diseases (ICD) is used in clinical fields to classify diseases and monitor morbidity (the number of cases of a disease) and mortality (the number of deaths due to a disease). In this section, we will introduce terminology used by the ICD (and in health-care professions in general) to describe and categorize various types of disease.

An infectious disease is any disease caused by the direct effect of a pathogen. A pathogen may be cellular (bacteria, parasites, and fungi) or acellular (viruses, viroids, and prions). Some infectious diseases are also communicable, meaning they are capable of being spread from person to person through either direct or indirect mechanisms. Some infectious communicable diseases are also considered contagious diseases, meaning they are easily spread from person to person. Not all contagious diseases are equally so; the degree to which a disease is contagious usually depends on how the pathogen is transmitted. For example, measles is a highly contagious viral disease that can be transmitted when an infected person coughs or sneezes and an uninfected person breathes in droplets containing the virus. Gonorrhea is not as contagious as measles because transmission of the pathogen (Neisseria gonorrhoeae) requires close intimate contact (usually sexual) between an infected person and an uninfected person.

Diseases that are contracted as the result of a medical procedure are known as iatrogenic diseases. Iatrogenic diseases can occur after procedures involving wound treatments, catheterization, or surgery if the wound or surgical site becomes contaminated.

Diseases acquired in hospital settings are known as nosocomial diseases. Several factors contribute to the prevalence and severity of nosocomial diseases. First, sick patients bring numerous pathogens into hospitals, and some of these pathogens can be transmitted easily via improperly sterilized medical equipment, bed sheets, call buttons, door handles, or by clinicians, nurses, or therapists who do not wash their hands before touching a patient. Second, many hospital patients have weakened immune systems, making them more susceptible to infections. Compounding this, the prevalence of antibiotics in hospital settings can select for drug-resistant bacteria that can cause very serious infections that are difficult to treat.

Certain infectious diseases are not transmitted between humans directly but can be transmitted from animals to humans. Such a disease is called zoonotic disease (or zoonosis). According to WHO, a zoonosis is a disease that occurs when a pathogen is transferred from a vertebrate animal to a human; however, sometimes the term is defined more broadly to include diseases transmitted by all animals (including invertebrates). For example, rabies is a viral zoonotic disease spread from animals to humans through bites and contact with infected saliva. Many other zoonotic diseases rely on insects or other arthropods for transmission. An example is Rocky Mountain spotted fever (transmitted through the bite of ticks infected with Rickettsia rickettsii).

In contrast to communicable infectious diseases, a noncommunicable infectious disease is not spread from one  person to another. One example is tetanus, caused by Clostridium tetani, a bacterium that produces endospores that can survive in the soil for many years. This disease is typically only transmitted through contact with a skin wound; it cannot be passed from an infected person to another person. Similarly, Legionnaires disease is caused by Legionella pneumophila, a bacterium that lives within amoebae in moist locations like water-cooling towers. An individual may contract Legionnaires disease via contact with the contaminated water, but once infected, the individual cannot pass the pathogen to other individuals.

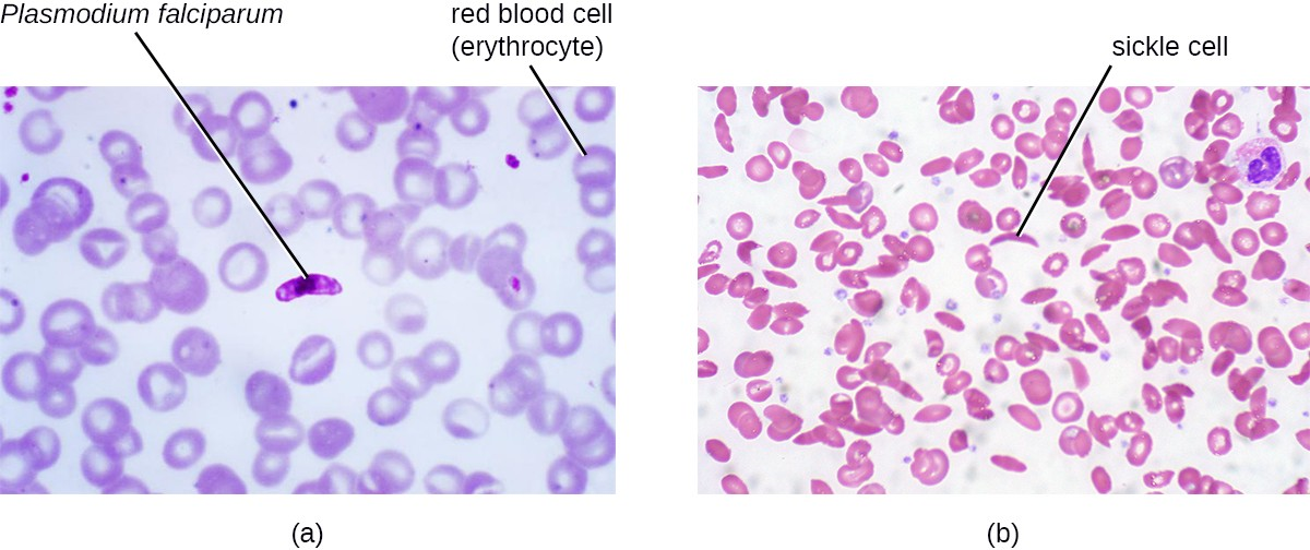
In addition to the wide variety of noncommunicable infectious diseases, noninfectious diseases (those not caused by pathogens) are an important cause of morbidity and mortality worldwide. Noninfectious diseases can be caused by a wide variety factors, including genetics, the environment, or immune system dysfunction, to name a few. For example, sickle cell anemia is an inherited disease caused by a genetic mutation that can be passed from parent to offspring (Figure 11.2).

Blood smears showing two diseases of the blood. (a) Malaria is an infectious, zoonotic disease caused by the protozoan pathogen Plasmodium falciparum (shown here) and several other species of the genus Plasmodium. It is transmitted by mosquitoes to humans. (b) Sickle cell disease is a noninfectious genetic disorder that results in abnormally shaped red blood cells, which can stick together and obstruct the flow of blood through the circulatory system. It is not caused by a pathogen, but rather a genetic mutation.
Figure 11.2 Blood smears showing two diseases of the blood. (a) Malaria is an infectious, zoonotic disease caused by the protozoan pathogen Plasmodium falciparum (shown here) and several other species of the genus Plasmodium. It is transmitted by mosquitoes to humans. (b) Sickle cell disease is a noninfectious genetic disorder that results in abnormally shaped red blood cells, which can stick together and obstruct the flow of blood through the circulatory system. It is not caused by a pathogen, but rather a genetic mutation. (credit a: modification of work by Centers for Disease Control and Prevention; credit b: modification of work by Ed Uthman)

Link to Learning

Lists of common infectious diseases can be found at the following Centers for Disease Control and Prevention (https://openstax.org/l/22CDCdis) (CDC), World Health Organization (https://openstax.org/l/22WHOdis) (WHO), and International Classification of Diseases (https://openstax.org/l/22WHOclass) websites.

  • Describe how a disease can be infectious but not contagious.
  • Explain the difference between iatrogenic disease and nosocomial disease.

Periods of Disease

The five periods of disease (sometimes referred to as stages or phases) include the incubation, prodromal, illness, decline, and convalescence periods (Figure 11.3). The incubation period occurs in an acute disease after the initial entry of the pathogen into the host (patient). It is during this time the pathogen begins multiplying in the host. However, there are insufficient numbers of pathogen particles (cells or viruses) present to cause signs and symptoms of disease. Incubation periods can vary from a day or two in acute disease to months or years in chronic disease, depending upon the pathogen. Factors involved in determining the length of the incubation period are diverse, and can include strength of the pathogen, strength of the host immune defenses, site of infection, type of infection, and the size infectious dose received. During this incubation period, the patient is unaware that a disease is beginning to develop.

The progression of an infectious disease can be divided into five periods, which are related to the number of pathogen particles (red) and the severity of signs and symptoms (blue).
Figure 11.3 The progression of an infectious disease can be divided into five periods, which are related to the number of pathogen particles (red) and the severity of signs and symptoms (blue).

The prodromal period occurs after the incubation period. During this phase, the pathogen continues to multiply and the host begins to experience general signs and symptoms of illness, which typically result from activation of the immune system, such as fever, pain, soreness, swelling, or inflammation. Usually, such signs and symptoms are too general to indicate a particular disease. Following the prodromal period is the period of illness, during which the signs and symptoms of disease are most obvious and severe.

The period of illness is followed by the period of decline, during which the number of pathogen particles begins to decrease, and the signs and symptoms of illness begin to decline. However, during the decline period, patients may become susceptible to developing secondary infections because their immune systems have been weakened by the primary infection. The final period is known as the period of convalescence. During this stage, the patient generally returns to normal functions, although some diseases may inflict permanent damage that the body cannot fully repair.

Infectious diseases can be contagious during all five of the periods of disease. Which periods of disease are more likely to associated with transmissibility of an infection depends upon the disease, the pathogen, and the mechanisms by which the disease develops and progresses. For example, with meningitis (infection of the lining of brain), the periods of infectivity depend on the type of pathogen causing the infection. Patients with bacterial meningitis are contagious during the incubation period for up to a week before the onset of the prodromal period, whereas patients with viral meningitis become contagious when the first signs and symptoms of the prodromal period appear. With many viral diseases associated with rashes (e.g., chickenpox, measles, rubella, roseola), patients are contagious during the incubation period up to a week before the rash develops. In contrast, with many respiratory infections (e.g., colds, influenza, diphtheria, strep throat, and pertussis) the patient becomes contagious with the onset of the prodromal period. Depending upon the pathogen, the disease, and the individual infected, transmission can still occur during the periods of decline, convalescence, and even long after signs and symptoms of the disease disappear.

  • Name some of the factors that can affect the length of the incubation period of a particular disease.

Acute and Chronic Diseases

The duration of the period of illness can vary greatly, depending on the pathogen, effectiveness of the immune response in the host, and any medical treatment received. For an acute disease, pathologic changes occur over a relatively short time (e.g., hours, days, or a few weeks) and involve a rapid onset of disease conditions. For example, influenza (caused by Influenzavirus) is considered an acute disease because the incubation period is approximately 1–2 days. Infected individuals can spread influenza to others for approximately 5 days after becoming ill. After approximately 1 week, individuals enter the period of decline.

For a chronic disease, pathologic changes can occur over longer time spans (e.g., months, years, or a lifetime). For example, chronic gastritis (inflammation of the lining of the stomach) is caused by the gram-negative bacterium Helicobacter pylori. H. pylori is able to colonize the stomach and persist in its highly acidic environment by producing the enzyme urease, which modifies the local acidity, allowing the bacteria to survive indefinitely.[2] Consequently, H. pylori infections can recur indefinitely unless the infection is cleared using antibiotics.[3]

In latent diseases, as opposed to chronic infections, the causal pathogen goes dormant for extended periods of time with no active replication. An example of a disease that goes into a latent state after the acute infection is chickenpox (varicella-zoster virus [VZV]). VZV evade the host immune system by residing in a latent form within cells of the nervous system for long periods of time, but they can reactivate to become active infections during times of stress and immunosuppression. For example, an initial infection by VZV may result in a case of childhood chickenpox, followed by a long period of latency. The virus may reactivate decades later, causing episodes of shingles in adulthood.

  • Explain the difference between latent disease and chronic disease.

  1. F. Savino et al. “Pain Assessment in Children Undergoing Venipuncture: The Wong–Baker Faces Scale Versus Skin Conductance Fluctuations.” PeerJ 1 (2013):e37; https://peerj.com/articles/37/ ↵
  2. J.G. Kusters et al. Pathogenesis of Helicobacter pylori Infection. Clinical Microbiology Reviews 19 no. 3 (2006):449–490. ↵
  3. N.R. Salama et al. “Life in the Human Stomach: Persistence Strategies of the Bacterial Pathogen Helicobacter pylori.” Nature Reviews Microbiology 11 (2013):385–399. ↵

Annotate

Next Chapter
11.2 How Pathogens Cause Disease
PreviousNext
Biology
Copyright © 2019 by Open Stax and Linda Bruslind Allied Health Microbiology by Open Stax and Linda Bruslind is licensed under a Creative Commons Attribution-NonCommercial-ShareAlike 4.0 International License, except where otherwise noted.
Powered by Manifold Scholarship. Learn more at
Opens in new tab or windowmanifoldapp.org