Skip to main content

Allied Health Microbiology: 13.5 Inflammation and Fever

Allied Health Microbiology
13.5 Inflammation and Fever
  • Show the following:

    Annotations
    Resources
  • Adjust appearance:

    Font
    Font style
    Color Scheme
    Light
    Dark
    Annotation contrast
    Low
    High
    Margins
  • Search within:
    • Notifications
    • Privacy
  • Project HomeNatural Sciences Collection: Anatomy, Biology, and Chemistry
  • Projects
  • Learn more about Manifold

Notes

table of contents
  1. Cover
  2. Title Page
  3. Copyright
  4. Table Of Contents
  5. Preface
  6. Forward
  7. Chapter 1: An Invisible World
    1. 1.1 What Our Ancestors Knew
    2. 1.2 A Systematic Approach
    3. 1.3 Types of Microorganisms
    4. Summary
  8. Chapter 2: The Cell
    1. 2.1 Spontaneous Generation
    2. 2.2 Foundations of Modern Cell Theory
    3. 2.3 Unique Characteristics of Prokaryotic Cells
    4. Summary
  9. Chapter 3: Prokaryotic Diversity
    1. 3.1 Prokaryote Habitats, Relationships, and Microbiomes
    2. Summary
  10. Chapter 4: The Eukaryotes of Microbiology
    1. 4.1 Unicellular Eukaryotic Parasites
    2. 4.2 Parasitic Helminths
    3. 4.3 Fungi
    4. Summary
  11. Chapter 5: Acellular Pathogens
    1. 5.1 Viruses
    2. 5.2 The Viral Life Cycle
    3. 5.3 Prions
    4. Summary
  12. Chapter 6: Microbial Biochemistry
    1. 6.1 Microbial Biochemistry
    2. Summary
  13. Chapter 7: Microbial Growth
    1. 7.1 How Microbes Grow
    2. 7.2 Oxygen Requirements for Microbial Growth
    3. 7.3 The Effects of pH on Microbial Growth
    4. 7.4 Temperature and Microbial Growth
    5. Summary
  14. Chapter 8: Modern Applications of Microbial Genetics
    1. 8.1 Whole Genome Methods and Pharmaceutical Applications of Genetic Engineering
    2. 8.2 Gene Therapy
    3. Summary
  15. Chapter 9: Control of Microbial Growth
    1. 9.1 Controlling Microbial Growth
    2. 9.2 Testing the Effectiveness of Antiseptics and Disinfectants
    3. Summary
  16. Chapter 10: Antimicrobial Drugs
    1. 10.1 Fundamentals of Antimicrobial Chemotherapy
    2. 10.2 Mechanisms of Antibacterial Drugs
    3. 10.3 Mechanisms of Other Antimicrobial Drugs
    4. 10.4 Drug Resistance
    5. 10.5 Testing the Effectiveness of Antimicrobials
    6. 10.6 Current Strategies for Antimicrobial Discovery
    7. Summary
  17. Chapter 11: Microbial Mechanisms of Pathogenicity
    1. 11.1 Characteristics of Infectious Disease
    2. 11.2 How Pathogens Cause Disease
    3. 11.3 Virulence Factors of Bacterial and Viral Pathogens
    4. Summary
  18. Chapter 12: Disease and Epidemiology
    1. 12.1 The Language of Epidemiologists
    2. 12.2 Tracking Infectious Diseases
    3. 12.3 Modes of Disease Transmission
    4. 12.4 Global Public Health
    5. Summary
  19. Chapter 13: Innate Nonspecific Host Defenses
    1. 13.1 Physical Defenses
    2. 13.2 Chemical Defenses
    3. 13.3 Cellular Defenses
    4. 13.4 Pathogen Recognition and Phagocytosis
    5. 13.5 Inflammation and Fever
    6. Summary
  20. Chapter 14: Adaptive Specific Host Defenses
    1. 14.1 Overview of Specific Adaptive Immunity
    2. 14.2 Major Histocompatibility Complexes and Antigen-Presenting Cells
    3. 14.3 T Lymphocytes and Cellular Immunity
    4. 14.4 B Lymphocytes and Humoral Immunity
    5. 14.5 Vaccines
    6. Summary
  21. Chapter 15: Diseases of the Immune System
    1. 15.1 Hypersensitivities
    2. 15.2 Autoimmune Disorders
    3. 15.3 Organ Transplantation and Rejection
    4. Summary
  22. Chapter 16: Skin and Eye Infections
    1. 16.1 Anatomy and Normal Microbiota of the Skin and Eyes
    2. 16.2 Bacterial Infections of the Skin and Eyes
    3. 16.3 Viral Infections of the Skin and Eyes
    4. 16.4 Mycoses of the Skin
    5. 16.5 Helminthic Infections of the Skin and Eyes
    6. Summary
  23. Chapter 17: Respiratory System Infections
    1. 17.1 Anatomy and Normal Microbiota of the Respiratory Tract
    2. 17.2 Bacterial Infections of the Respiratory Tract
    3. 17.3 Viral Infections of the Respiratory Tract
    4. Summary
  24. Chapter 18: Urogenital System Infections
    1. 18.1 Anatomy and Normal Microbiota of the Urogenital Tract
    2. 18.2 Bacterial Infections of the Urinary System
    3. 18.3 Bacterial Infections of the Reproductive System
    4. 18.4 Viral Infections of the Reproductive System
    5. 18.5 Fungal Infections of the Reproductive System
    6. 18.6 Protozoan Infections of the Urogenital System
    7. Summary
  25. Chapter 19: Digestive System Infections
    1. 19.1 Anatomy and Normal Microbiota of the Digestive System
    2. 19.2 Microbial Diseases of the Mouth and Oral Cavity
    3. 19.3 Bacterial Infections of the Gastrointestinal Tract
    4. 19.4 Viral Infections of the Gastrointestinal Tract
    5. 19.5 Protozoan Infections of the Gastrointestinal Tract
    6. 19.6 Helminthic Infections of the Gastrointestinal Tract
    7. Summary
  26. Chapter 20: Circulatory and Lymphatic System Infections
    1. 20.1 Anatomy of the Circulatory and Lymphatic Systems
    2. 20.2 Bacterial Infections of the Circulatory and Lymphatic Systems
    3. 20.3 Viral Infections of the Circulatory and Lymphatic Systems
    4. 20.4 Parasitic Infections of the Circulatory and Lymphatic Systems
    5. Summary
  27. Chapter 21: Nervous System Infections
    1. 21.1 Anatomy of the Nervous System
    2. 21.2 Bacterial Diseases of the Nervous System
    3. 21.3 Acellular Diseases of the Nervous System
    4. Summary
  28. Creative Commons License
  29. Recommended Citations
  30. Versioning

13.5 Inflammation and Fever

Learning Objectives

  • Identify the signs of inflammation and fever and explain why they occur
  • Explain the advantages and risks posed by inflammatory responses

The inflammatory response, or inflammation, is triggered by a cascade of chemical mediators and cellular responses that may occur when cells are damaged and stressed or when pathogens successfully breach the physical barriers of the innate immune system. Although inflammation is typically associated with negative consequences of injury or disease, it is a necessary process insofar as it allows for recruitment of the cellular defenses needed to eliminate pathogens, remove damaged and dead cells, and initiate repair mechanisms. Excessive inflammation, however, can result in local tissue damage and, in severe cases, may even become deadly.

Acute Inflammation

An early, if not immediate, response to tissue injury is acute inflammation. Immediately following an injury, vasoconstriction of blood vessels will occur to minimize blood loss. The amount of vasoconstriction is related to the amount of vascular injury, but it is usually brief. Vasoconstriction is followed by vasodilation and increased vascular permeability, as a direct result of the release of histamine from resident mast cells. Increased blood flow and vascular permeability can dilute toxins and bacterial products at the site of injury or infection. They also contribute to the five observable signs associated with the inflammatory response: erythema (redness), edema (swelling), heat, pain, and altered function. Vasodilation and increased vascular permeability are also associated with an influx of phagocytes at the site of injury and/or infection. This can enhance the inflammatory response because phagocytes may release proinflammatory chemicals when they are activated by cellular distress signals released from damaged cells. Figure 13.15 illustrates a typical case of acute inflammation at the site of a skin wound.

(a) Mast cells detect injury to nearby cells and release histamine, initiating an inflammatory response. (b)  Histamine increases blood flow to the wound site, and increased vascular permeability allows fluid, proteins, phagocytes, and other immune cells to enter infected tissue. These events result in the swelling and reddening of the injured site, and the increased blood flow to the injured site causes it to feel warm. Inflammation is also associated with pain due to these events stimulating nerve pain receptors in the tissue. The interaction of phagocyte PRRs with cellular distress signals and PAMPs and opsonins on the surface of pathogens leads to the release of more proinflammatory chemicals, enhancing the inflammatory response.
Figure 13.15 (a) Mast cells detect injury to nearby cells and release histamine, initiating an inflammatory response. Histamine increases blood flow to the wound site, and increased vascular permeability allows fluid, proteins, phagocytes, and other immune cells to enter infected tissue. These events result in the swelling and reddening of the injured site, and the increased blood flow to the injured site causes it to feel warm. Inflammation is also associated with pain due to these events stimulating nerve pain receptors in the tissue. The interaction of phagocyte PRRs with cellular distress signals and PAMPs and opsonins on the surface of pathogens leads to the release of more proinflammatory chemicals, enhancing the inflammatory response.

During the period of inflammation, the release of bradykinin causes capillaries to remain dilated, flooding tissues with fluids and leading to edema. Increasing numbers of neutrophils are recruited to the area to fight pathogens. As the fight rages on, pus forms from the accumulation of neutrophils, dead cells, tissue fluids, and lymph. Typically, after a few days, macrophages will help to clear out this pus. Eventually, tissue repair can begin in the wounded area.

Chronic Inflammation

When acute inflammation is unable to clear an infectious pathogen, chronic inflammation may occur. This often results in an ongoing (and sometimes futile) lower-level battle between the host organism and the pathogen. The wounded area may heal at a superficial level, but pathogens may still be present in deeper tissues, stimulating ongoing inflammation. Additionally, chronic inflammation may be involved in the progression of degenerative neurological diseases such as Alzheimer’s and Parkinson’s, heart disease, and metastatic cancer.

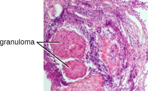
Chronic inflammation may lead to the formation of granulomas, pockets of infected tissue walled off and surrounded by WBCs. Macrophages and other phagocytes wage an unsuccessful battle to eliminate the pathogens and dead cellular materials within a granuloma. One example of a disease that produces chronic inflammation is tuberculosis, which results in the formation of granulomas in lung tissues(Figure 13.16).

Chronic inflammation is not just associated with bacterial infections. Chronic inflammation can be an important cause of tissue damage from viral infections. The extensive scarring observed with hepatitis C infections and liver cirrhosis is the result of chronic inflammation.

A tubercle is a granuloma in the lung tissue of a patient with tuberculosis. In this micrograph, white blood cells (stained purple) have walled off a pocket of tissue infected with Mycobacterium tuberculosis. Granulomas also occur in many other forms of disease.
Figure 13.16 A tubercle is a granuloma in the lung tissue of a patient with tuberculosis. In this micrograph, white blood cells (stained purple) have walled off a pocket of tissue infected with Mycobacterium tuberculosis. Granulomas also occur in many other forms of disease. (credit: modification of work by Piotrowski WJ, Górski P, Duda-Szymańska J, Kwiatkowska S)

  • Name the five signs of inflammation.
  • Is a granuloma an acute or chronic form of inflammation? Explain.

Fever

A fever is an inflammatory response that extends beyond the site of infection and affects the entire body, resulting in an overall increase in body temperature. Body temperature is normally regulated and maintained by the hypothalamus, an anatomical section of the brain that functions to maintain homeostasis in the body. However, certain bacterial or viral infections can result in the production of pyrogens, chemicals that effectively alter the “thermostat setting” of the hypothalamus to elevate body temperature and cause fever. Pyrogens may be exogenous or endogenous.

Like other forms of inflammation, a fever enhances the innate immune defenses by stimulating leukocytes to kill pathogens. The rise in body temperature also may inhibit the growth of many pathogens since human pathogens are mesophiles with optimum growth occurring around 35 °C (95 °F). In addition, some studies suggest that fever may also stimulate release of iron-sequestering compounds from the liver, thereby starving out microbes that rely on iron for growth.[1]

During fever, the skin may appear pale due to vasoconstriction of the blood vessels in the skin, which is mediated by the hypothalamus to divert blood flow away from extremities, minimizing the loss of heat and raising the core temperature. The hypothalamus will also stimulate shivering of muscles, another effective mechanism of generating heat and raising the core temperature.

The crisis phase occurs when the fever breaks. The hypothalamus stimulates vasodilation, resulting in a return of blood flow to the skin and a subsequent release of heat from the body. The hypothalamus also stimulates sweating, which cools the skin as the sweat evaporates.

Although a low-level fever may help an individual overcome an illness, in some instances, this immune response can be too strong, causing tissue and organ damage and, in severe cases, even death. The inflammatory response to bacterial superantigens is one scenario in which a life-threatening fever may develop. Superantigens are bacterial or viral proteins that can cause an excessive activation of T cells from the specific adaptive immune defense, as well as an excessive release of cytokines that overstimulates the inflammatory response. For example, Staphylococcus aureus and Streptococcus pyogenes are capable of producing superantigens that cause toxic shock syndrome and scarlet fever, respectively. Both of these conditions can be associated with very high, life-threatening fevers in excess of 42 °C (108 °F).

image

  • How does a fever inhibit pathogens?

  1. N. Parrow et al. “Sequestration and Scavenging of Iron in Infection.” Infection and Immunity 81 no. 10 (2013):3503–3514 ↵

Annotate

Next Chapter
Summary
PreviousNext
Biology
Copyright © 2019 by Open Stax and Linda Bruslind Allied Health Microbiology by Open Stax and Linda Bruslind is licensed under a Creative Commons Attribution-NonCommercial-ShareAlike 4.0 International License, except where otherwise noted.
Powered by Manifold Scholarship. Learn more at
Opens in new tab or windowmanifoldapp.org