Skip to main content

Allied Health Microbiology: 17.3 Viral Infections of the Respiratory Tract

Allied Health Microbiology
17.3 Viral Infections of the Respiratory Tract
  • Show the following:

    Annotations
    Resources
  • Adjust appearance:

    Font
    Font style
    Color Scheme
    Light
    Dark
    Annotation contrast
    Low
    High
    Margins
  • Search within:
    • My Notes + Comments
    • Notifications
    • Privacy
  • Project HomeNatural Sciences Collection: Anatomy, Biology, and Chemistry
  • Projects
  • Learn more about Manifold

Notes

table of contents
  1. Cover
  2. Title Page
  3. Copyright
  4. Table Of Contents
  5. Preface
  6. Forward
  7. Chapter 1: An Invisible World
    1. 1.1 What Our Ancestors Knew
    2. 1.2 A Systematic Approach
    3. 1.3 Types of Microorganisms
    4. Summary
  8. Chapter 2: The Cell
    1. 2.1 Spontaneous Generation
    2. 2.2 Foundations of Modern Cell Theory
    3. 2.3 Unique Characteristics of Prokaryotic Cells
    4. Summary
  9. Chapter 3: Prokaryotic Diversity
    1. 3.1 Prokaryote Habitats, Relationships, and Microbiomes
    2. Summary
  10. Chapter 4: The Eukaryotes of Microbiology
    1. 4.1 Unicellular Eukaryotic Parasites
    2. 4.2 Parasitic Helminths
    3. 4.3 Fungi
    4. Summary
  11. Chapter 5: Acellular Pathogens
    1. 5.1 Viruses
    2. 5.2 The Viral Life Cycle
    3. 5.3 Prions
    4. Summary
  12. Chapter 6: Microbial Biochemistry
    1. 6.1 Microbial Biochemistry
    2. Summary
  13. Chapter 7: Microbial Growth
    1. 7.1 How Microbes Grow
    2. 7.2 Oxygen Requirements for Microbial Growth
    3. 7.3 The Effects of pH on Microbial Growth
    4. 7.4 Temperature and Microbial Growth
    5. Summary
  14. Chapter 8: Modern Applications of Microbial Genetics
    1. 8.1 Whole Genome Methods and Pharmaceutical Applications of Genetic Engineering
    2. 8.2 Gene Therapy
    3. Summary
  15. Chapter 9: Control of Microbial Growth
    1. 9.1 Controlling Microbial Growth
    2. 9.2 Testing the Effectiveness of Antiseptics and Disinfectants
    3. Summary
  16. Chapter 10: Antimicrobial Drugs
    1. 10.1 Fundamentals of Antimicrobial Chemotherapy
    2. 10.2 Mechanisms of Antibacterial Drugs
    3. 10.3 Mechanisms of Other Antimicrobial Drugs
    4. 10.4 Drug Resistance
    5. 10.5 Testing the Effectiveness of Antimicrobials
    6. 10.6 Current Strategies for Antimicrobial Discovery
    7. Summary
  17. Chapter 11: Microbial Mechanisms of Pathogenicity
    1. 11.1 Characteristics of Infectious Disease
    2. 11.2 How Pathogens Cause Disease
    3. 11.3 Virulence Factors of Bacterial and Viral Pathogens
    4. Summary
  18. Chapter 12: Disease and Epidemiology
    1. 12.1 The Language of Epidemiologists
    2. 12.2 Tracking Infectious Diseases
    3. 12.3 Modes of Disease Transmission
    4. 12.4 Global Public Health
    5. Summary
  19. Chapter 13: Innate Nonspecific Host Defenses
    1. 13.1 Physical Defenses
    2. 13.2 Chemical Defenses
    3. 13.3 Cellular Defenses
    4. 13.4 Pathogen Recognition and Phagocytosis
    5. 13.5 Inflammation and Fever
    6. Summary
  20. Chapter 14: Adaptive Specific Host Defenses
    1. 14.1 Overview of Specific Adaptive Immunity
    2. 14.2 Major Histocompatibility Complexes and Antigen-Presenting Cells
    3. 14.3 T Lymphocytes and Cellular Immunity
    4. 14.4 B Lymphocytes and Humoral Immunity
    5. 14.5 Vaccines
    6. Summary
  21. Chapter 15: Diseases of the Immune System
    1. 15.1 Hypersensitivities
    2. 15.2 Autoimmune Disorders
    3. 15.3 Organ Transplantation and Rejection
    4. Summary
  22. Chapter 16: Skin and Eye Infections
    1. 16.1 Anatomy and Normal Microbiota of the Skin and Eyes
    2. 16.2 Bacterial Infections of the Skin and Eyes
    3. 16.3 Viral Infections of the Skin and Eyes
    4. 16.4 Mycoses of the Skin
    5. 16.5 Helminthic Infections of the Skin and Eyes
    6. Summary
  23. Chapter 17: Respiratory System Infections
    1. 17.1 Anatomy and Normal Microbiota of the Respiratory Tract
    2. 17.2 Bacterial Infections of the Respiratory Tract
    3. 17.3 Viral Infections of the Respiratory Tract
    4. Summary
  24. Chapter 18: Urogenital System Infections
    1. 18.1 Anatomy and Normal Microbiota of the Urogenital Tract
    2. 18.2 Bacterial Infections of the Urinary System
    3. 18.3 Bacterial Infections of the Reproductive System
    4. 18.4 Viral Infections of the Reproductive System
    5. 18.5 Fungal Infections of the Reproductive System
    6. 18.6 Protozoan Infections of the Urogenital System
    7. Summary
  25. Chapter 19: Digestive System Infections
    1. 19.1 Anatomy and Normal Microbiota of the Digestive System
    2. 19.2 Microbial Diseases of the Mouth and Oral Cavity
    3. 19.3 Bacterial Infections of the Gastrointestinal Tract
    4. 19.4 Viral Infections of the Gastrointestinal Tract
    5. 19.5 Protozoan Infections of the Gastrointestinal Tract
    6. 19.6 Helminthic Infections of the Gastrointestinal Tract
    7. Summary
  26. Chapter 20: Circulatory and Lymphatic System Infections
    1. 20.1 Anatomy of the Circulatory and Lymphatic Systems
    2. 20.2 Bacterial Infections of the Circulatory and Lymphatic Systems
    3. 20.3 Viral Infections of the Circulatory and Lymphatic Systems
    4. 20.4 Parasitic Infections of the Circulatory and Lymphatic Systems
    5. Summary
  27. Chapter 21: Nervous System Infections
    1. 21.1 Anatomy of the Nervous System
    2. 21.2 Bacterial Diseases of the Nervous System
    3. 21.3 Acellular Diseases of the Nervous System
    4. Summary
  28. Creative Commons License
  29. Recommended Citations
  30. Versioning

17.3 Viral Infections of the Respiratory Tract

Learning Objectives

  • Identify the most common viruses that can cause infections of the upper and lower respiratory tract
  • Compare the major characteristics of specific viral diseases of the respiratory tract

Viruses are the most frequent cause of respiratory tract infections. Unlike the bacterial pathogens, we have few effective therapies to combat viral respiratory infections. Fortunately, many of these diseases are mild and self- limiting. A few respiratory infections manifest their primary symptoms at other locations in the body.

The Common Cold

The common cold is a generic term for a variety of mild viral infections of the nasal cavity. More than 200 different viruses are known to cause the common cold. The most common groups of cold viruses include rhinoviruses, coronaviruses, and adenoviruses. These infections are widely disseminated in the human population and are transmitted through direct contact and droplet transmission. Coughing and sneezing efficiently produce infectious aerosols, and rhinoviruses are known to persist on environmental surfaces for up to a week.[1]

Viral contact with the nasal mucosa or eyes can lead to infection. Rhinoviruses tend to replicate best between 33 °C (91.4 °F) and 35 °C (95 °F), somewhat below normal body temperature (37 °C [98.6 °F]). As a consequence, they tend to infect the cooler tissues of the nasal cavities. Colds are marked by an irritation of the mucosa that leads to an inflammatory response. This produces common signs and symptoms such as nasal excess nasal secretions (runny nose), congestion, sore throat, coughing, and sneezing. The absence of high fever is typically used to differentiate common colds from other viral infections, like influenza. Some colds may progress to cause otitis media, pharyngitis, or laryngitis, and patients may also experience headaches and body aches. The disease, however, is self-limiting and typically resolves within 1–2 weeks.

There are no effective antiviral treatments for the common cold and antibacterial drugs should not be prescribed unless secondary bacterial infections have been established. Many of the viruses that cause colds are related, so immunity develops throughout life. Given the number of viruses that cause colds, however, individuals are never likely to develop immunity to all causes of the common cold.

  • How are colds transmitted?
  • What is responsible for the symptoms of a cold?

Influenza

Commonly known as the flu, influenza is a common viral disease of the lower respiratory system caused by an orthomyxovirus. Influenza is pervasive worldwide and causes 3,000–50,000 deaths each year in the United States. The annual mortality rate can vary greatly depending on the virulence of the strain(s) responsible for seasonal epidemics.[2]

Influenza infections are most typically characterized by fever, chills, and body aches. This is followed by symptoms similar to the common cold that may last a week or more. Table 17.2 compares the signs and symptoms of influenza and the common cold.

Table 17.2 Comparing the Common Cold and Influenza

Sign/Symptom

Common Cold

Influenza

Fever

Low (37.2 °C [99 °F])

High (39 °C [102.2 °F])

Headache

Common

Common

Aches and pains

Mild

Severe

Fatigue

Slight

Severe

Nasal congestion

Common

Rare

Sneezing

Common

Rare

In general, influenza is self-limiting. However, serious cases can lead to pneumonia and other complications that can be fatal. Such cases are more common in the very young and the elderly; however, certain strains of influenza virus (like the 1918–1919 variant discussed later in this chapter) are more lethal to young adults than to the very young or old. Strains that affect young adults are believed to involve a cytokine storm—a positive feedback loop that forms between cytokine production and leukocytes. This cytokine storm produces an acute inflammatory response that leads to rapid fluid accumulation in the lungs, culminating in pulmonary failure. In such cases, the ability to mount a vigorous immune response is actually detrimental to the patient. The very young and very old are less susceptible to this effect because their immune systems are less robust.

A complication of influenza that occurs primarily in children and teenagers is Reye syndrome. This sequela causes swelling in the liver and brain, and may progress to neurological damage, coma, or death. Reye syndrome may follow other viral infections, like chickenpox, and has been associated with the use of aspirin. For this reason, the CDC and other agencies recommend that aspirin and products containing aspirin never be used to treat viral illnesses in children younger than age 19 years.[3]

The influenza virus is primarily transmitted by direct contact and inhalation of aerosols. The RNA genome of this virus exists as seven or eight segments, each coated with ribonucleoprotein and encoding one or two specific viral proteins. The influenza virus is surrounded by a lipid membrane envelope, and two of the main antigens of the influenza virus are the spike proteins hemagglutinin (H) and neuraminidase (N), as shown in Figure 17.15. These spike proteins play important roles in the viral infectious cycle.

The illustration shows the structure of an influenza virus. The viral envelope is studded with copies of the proteins neuraminidase and hemagglutinin, and surrounds the individual seven or eight RNA genome segments.
Figure 17.15 The illustration shows the structure of an influenza virus. The viral envelope is studded with copies of the proteins neuraminidase and hemagglutinin, and surrounds the individual seven or eight RNA genome segments. (credit: modification of work by Dan Higgins, Centers for Disease Control and Prevention)

Following inhalation, the influenza virus uses the hemagglutinin protein to bind to sialic acid receptors on host respiratory epithelial cells. This facilitates endocytosis of the viral particle. Once inside the host cell, the negative strand viral RNA is replicated by the viral RNA polymerase to form mRNA, which is translated by the host to produce viral proteins. Additional viral RNA molecules are transcribed to produce viral genomic RNA, which assemble with viral proteins to form mature virions. Release of the virions from the host cell is facilitated by viral neuraminidase, which cleaves sialic-acid receptors to allow progeny viruses to make a clean exit when budding from an infected cell.

There are three genetically related influenza viruses, called A, B, and C. The influenza A viruses have different subtypes based on the structure of their hemagglutinin and neuraminidase proteins. There are currently 18 known subtypes of hemagglutinin and 11 known subtypes of neuraminidase. Influenza viruses are serologically characterized by the type of H and N proteins that they possess. Of the nearly 200 different combinations of H and N, only a few, such as the H1N1 strain, are associated with human disease. The influenza viruses A, B, and C make up three of the five major groups of orthomyxoviruses. The differences between the three types of influenza are summarized in Table 17.3. The most virulent group is the influenza A viruses, which cause seasonal pandemics of influenza each year. Influenza A virus can infect a variety of animals, including pigs, horses, pigs, and even whales and dolphins. Influenza B virus is less virulent and is sometimes associated with epidemic outbreaks. Influenza C virus generally produces the mildest disease symptoms and is rarely connected with epidemics. Neither influenza B virus nor influenza C virus has significant animal reservoirs.

Table 17.3

Influenza A virus

Influenza B virus

Influenza C virus

Severity

Severe

Moderate

Mild

Animal reservoir

Yes

No

No

Genome segments

8

8

7

Population spread

Epidemic and pandemic

Epidemic

Sporadic

Antigenic variation

Shift/drift

Drift

Drift

Influenza virus infections elicit a strong immune response, particularly to the hemagglutinin protein, which would protect the individual if they encountered the same virus. Unfortunately, the antigenic properties of the virus change relatively rapidly, so new strains are evolving that immune systems previously challenged by influenza virus cannot recognize. When an influenza virus gains a new hemagglutinin or neuraminidase type, it is able to evade the host’s immune response and be successfully transmitted, often leading to an epidemic.

There are two mechanisms by which these evolutionary changes may occur. The mechanisms of antigen drift and antigenic shift for influenza virus have been described in Virulence Factors of Bacterial and Viral Pathogens. Of these two genetic processes, it is viruses produced by antigenic shift that have the potential to be extremely virulent because individuals previously infected by other strains are unlikely to produce any protective immune response against these novel variants.

The most lethal influenza pandemic in recorded history occurred from 1918 through 1919. Near the end of World War I, an antigenic shift involving the recombination of avian and human viruses is thought to have produced a new H1N1 virus. This strain rapidly spread worldwide and is commonly claimed to have killed as many as 40 million to 50 million people—more than double the number killed in the war. Although referred to as the Spanish flu, this disease is thought to have originated in the United States. Regardless of its source, the conditions of World War I greatly contributed to the spread of this disease. Crowding, poor sanitation, and rapid mobilization of large numbers of personnel and animals facilitated the dissemination of the new virus once it appeared.

Laboratory diagnosis of influenza is typically performed using a variety of RIDTs. These tests are inoculated by point-of-care personnel and give results within 15–20 minutes. Unfortunately, these tests have variable sensitivity and commonly yield false-negative results. Other tests include hemagglutination of erythrocytes (due to hemagglutinin action) or complement fixation. Patient serum antibodies against influenza viruses can also be detected in blood samples. Because influenza is self-limiting disease, diagnosis through these more time-consuming and expensive methods is not typically used.

Three drugs that inhibit influenza neuraminidase activity are available: inhaled zanamivir, oral oseltamivir, and intravenous peramivir. If taken at the onset of symptoms, these drugs can shorten the course of the disease. These drugs are thought to impair the ability of the virus to efficiently exit infected host cells. A more effective means of controlling influenza outbreaks, though, is vaccination. Every year, new influenza vaccines are developed to be effective against the strains expected to be predominant. This is determined in February by a review of the dominant strains around the world from a network of reporting sites; their reports are used to generate a recommendation for the vaccine combination for the following winter in the northern hemisphere. In September, a similar recommendation is made for the winter in the southern hemisphere.[4] These recommendations are used by vaccine manufacturers to formulate each year’s vaccine. In most cases, three or four viruses are selected—the two most prevalent influenza A strains and one or two influenza B strains. The chosen strains are typically cultivated in eggs and used to produce either an inactivated or a live attenuated vaccine (e.g., FluMist). For individuals 18 years or older with an allergy to egg products, a recombinant egg-free trivalent vaccine is available. Most of the influenza vaccines over the past decade have had an effectiveness of about 50%.[5]

Case in Point

Flu Pandemic

During the spring of 2013, a new strain of H7N9 influenza was reported in China. A total of 132 people were infected. Of those infected, 44 (33%) died. A genetic analysis of the virus suggested that this strain arose from the reassortment of three different influenza viruses: a domestic duck H7N3 virus, a wild bird H7N9 virus, and a domestic poultry H9N2 virus. The virus was detected in the Chinese domestic bird flocks and contact with this reservoir is thought to have been the primary source of infection. This strain of influenza was not able to spread from person to person. Therefore, the disease did not become a global problem. This case does, though, illustrate the potential threat that influenza still represents. If a strain like the H7N9 virus were to undergo another antigenic shift, it could become more communicable in the human population. With a mortality rate of 33%, such a pandemic would be disastrous. For this reason, organizations like the World Health Organization and the Centers for Disease Control and Prevention keep all known influenza outbreaks under constant surveillance.

  • Compare the severity of the three types of influenza viruses.
  • Why must new influenza vaccines be developed each year?

Viral Respiratory Diseases Causing Skin Rashes

Measles, rubella (German measles), and chickenpox are three important viral diseases often associated with skin rashes. However, their symptoms are systemic, and because their portal of entry is the respiratory tract, they can be considered respiratory infections.

Measles (Rubeola)

The measles virus (MeV) causes the highly contagious disease measles, also known as rubeola, which is a major cause of childhood mortality worldwide. Although vaccination efforts have greatly reduced the incidence of measles in much of the world, epidemics are still common in unvaccinated populations in certain countries.[6]

The measles virus is a single-stranded, negative-strand RNA virus and, like the influenza virus, it possesses an envelope with spikes of embedded hemagglutinin. The infection is spread by direct contact with infectious secretions or inhalation of airborne droplets spread by breathing, coughing, or sneezing. Measles is initially characterized by a high fever, conjunctivitis, and a sore throat. The virus then moves systemically through the bloodstream and causes a characteristic rash. The measles rash initially forms on the face and later spreads to the extremities. The red, raised macular rash will eventually become confluent and can last for several days. At the same time, extremely high fevers (higher than 40.6 °C [105 °F]) can occur. Another diagnostic sign of measles infections is Koplik’s spots, white spots that form on the inner lining of inflamed cheek tissues (Figure 17.16).

(a) Measles typically presents as a raised macular rash that begins on the face and spreads to the extremities. (b) Koplik’s spots on the oral mucosa are also characteristic of measles. (c) A thin-section transmission electron micrograph of a measles virion.
Figure 17.16 (a) Measles typically presents as a raised macular rash that begins on the face and spreads to the extremities. (b) Koplik’s spots on the oral mucosa are also characteristic of measles. (c) A thin-section transmission electron micrograph of a measles virion. (credit a, b, c: modification of work by Centers for Disease Control and Prevention)

Although measles is usually self-limiting, it can lead to pneumonia, encephalitis, and death. In addition, the inhibition of immune system cells by the measles virus predisposes patients to secondary infections. In severe infections with highly virulent strains, measles fatality rates can be as high as 10% to 15%. There were more than 145,000 measles deaths (mostly young children) worldwide in 2013.[7]

The preliminary diagnosis of measles is typically based on the appearance of the rash and Koplik’s spots. Hemagglutination inhibition tests and serological tests may be used to confirm measles infections in low-prevalence settings.

There are no effective treatments for measles. Vaccination is widespread in developed countries as part of the measles, mumps, and rubella (MMR) vaccine. As a result, there are typically fewer than 200 cases of measles in the United States annually.[8] When it is seen, it is often associated with children who have not been vaccinated.

Micro Connections

Preventable Measles Outbreaks

In December 2014, a measles epidemic began at Disneyland in southern California. Within just 4 months, this outbreak affected 134 people in 24 states.[9] Characterization of the virus suggests that an unidentified infected individual brought the disease to the United States from the Philippines, where a similar virus had sickened more than 58,000 people and killed 110.[10] Measles is highly communicable, and its spread at Disneyland may have been facilitated by the low vaccination rate in some communities in California.[11]

Several factors could conceivably lead to a strong comeback of measles in the U.S. Measles is still an epidemic disease in many locations worldwide. Air travel enables infected individuals to rapidly translocate these infections globally. Compounding this problem, low vaccination rates in some local areas in the United States (such as in Amish communities) provide populations of susceptible hosts for the virus to establish itself. Finally, measles has been a low-prevalence infection in the U.S. for some time. As a consequence, physicians are not as likely to recognize the initial symptoms and make accurate diagnoses. Until vaccination rates become high enough to ensure herd immunity, measles is likely to be an ongoing problem in the United States.

Chickenpox and Shingles

Chickenpox, also known as varicella, was once a common viral childhood disease. The causative agent of chickenpox, the varicella-zoster virus, is a member of the herpesvirus family. In children, the disease is mild and self- limiting, and is easily transmitted by direct contact or inhalation of material from the skin lesions. In adults, however, chickenpox infections can be much more severe and can lead to pneumonia and birth defects in the case of infected pregnant women. Reye syndrome, mentioned earlier in this chapter, is also a serious complication associated with chickenpox, generally in children.

Once infected, most individuals acquire a lifetime immunity to future chickenpox outbreaks. For this reason, parents once held “chickenpox parties” for their children. At these events, uninfected children were intentionally exposed to an infected individual so they would contract the disease earlier in life, when the incidence of complications is very low, rather than risk a more severe infection later.

After the initial viral exposure, chickenpox has an incubation period of about 2 weeks. The initial infection of the respiratory tract leads to viremia and eventually produces fever and chills. A pustular rash then develops on the face, progresses to the trunk, and then the extremities, although most form on the trunk (Figure 17.17). Eventually, the lesions burst and form a crusty scab. Individuals with chickenpox are infectious from about 2 days before the outbreak of the rash until all the lesions have scabbed over.

(a) The characteristic appearance of the pustular chickenpox rash is concentrated on the trunk region. (b)  This transmission electron micrograph shows a viroid of human herpesvirus 3, the virus that causes chickenpox in children and shingles when it is reactivated in adults.
Figure 17.17 (a) The characteristic appearance of the pustular chickenpox rash is concentrated on the trunk region. (b) This transmission electron micrograph shows a viroid of human herpesvirus 3, the virus that causes chickenpox in children and shingles when it is reactivated in adults. (credit b: modification of work by Centers for Disease Control and Prevention)

Like other herpesviruses, the varicella-zoster virus can become dormant in nerve cells. While the pustular vesicles are developing, the virus moves along sensory nerves to the dorsal ganglia in the spinal cord. Once there, the varicella-zoster virus can remain latent for decades. These dormant viruses may be reactivated later in life by a variety of stimuli, including stress, aging, and immunosuppression. Once reactivated, the virus moves along sensory nerves to the skin of the face or trunk. This results in the production of the painful lesions in a condition known as shingles (Figure 17.18). These symptoms generally last for 2–6 weeks, and may recur more than once. Postherpetic neuralgia, pain signals sent from damaged nerves long after the other symptoms have subsided, is also possible. In addition, the virus can spread to other organs in immunocompromised individuals. A person with shingles lesions can transmit the virus to a nonimmune contact, and the newly infected individual would develop chickenpox as the primary infection. Shingles cannot be transmitted from one person to another.

The primary diagnosis of chickenpox in children is mainly based on the presentation of a pustular rash of the trunk. Serological and PCR-based tests are available to confirm the initial diagnosis. Treatment for chickenpox infections in children is usually not required. In patients with shingles, acyclovir treatment can often reduce the severity and length of symptoms, and diminish the risk of postherpetic neuralgia. An effective vaccine is now available for chickenpox. A vaccine is also available for adults older than 60 years who were infected with chickenpox in their youth. This vaccine reduces the likelihood of a shingles outbreak by boosting the immune defenses that are keeping the latent infection in check and preventing reactivation.

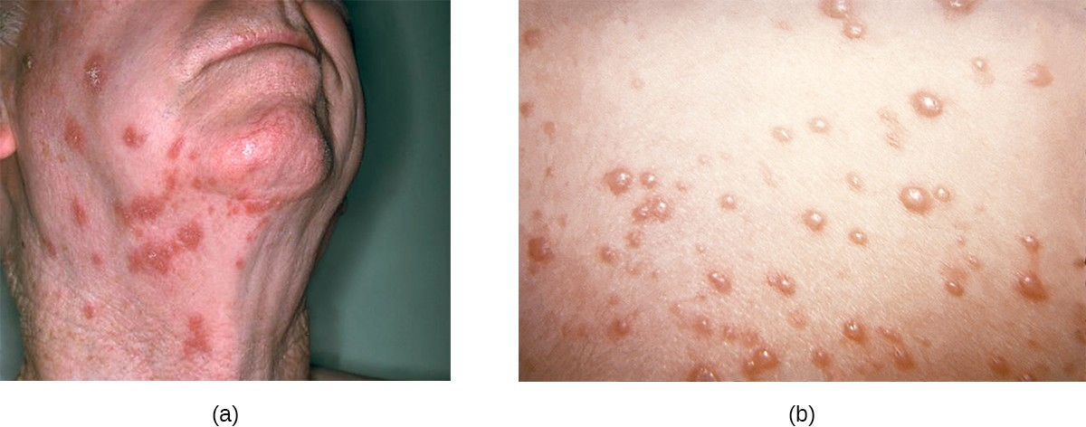
(a) An individual suffering from shingles. (b) The rash is formed because of the reactivation of a varicella-zoster infection that was initially contracted in childhood.
Figure 17.18 (a) An individual suffering from shingles. (b) The rash is formed because of the reactivation of a varicella-zoster infection that was initially contracted in childhood. (credit a: modification of work by National Institute of Allergy and Infectious Diseases (NIAID); credit b: modification of work by Centers for Disease Control and Prevention)

  • Why does measles often lead to secondary infections?
  • Why can chickenpox lead to shingles later in life?
Figure 17.19 Details associated with viruses of the respiratory tract.

  1. AG L’Huillier et al. “Survival of Rhinoviruses on Human Fingers.” Clinical Microbiology and Infection 21, no. 4 (2015):381–385. ↵
  2. Centers for Disease Control and Prevention. “Estimating Seasonal Influenza-Associated Deaths in the United States: CDC Study Confirms Variability of Flu.” 2016. http://www.cdc.gov/flu/about/disease/us_flu-related_deaths.htm. Accessed July 6, 2016. ↵
  3. ED Belay et al. “Reye’s Syndrome in the United States From 1981 Through 1997.” New England Journal of Medicine 340 no. 18 (1999):1377–1382. ↵
  4. World Health Organization. “WHO Report on Global Surveillance of Epidemic-Prone Infectious Diseases.” 2000. http://www.who.int/csr/resources/publications/surveillance/Influenza.pdf. Accessed July 6, 2016. ↵
  5. Centers of Disease Control and Prevention. “Vaccine Effectiveness - How Well Does the Flu Vaccine Work?” 2016. http://www.cdc.gov/flu/about/qa/vaccineeffect.htm. Accessed July 6, 2016. ↵
  6. Centers for Disease Control and Prevention. “Global Health - Measles, Rubella, and CRS, Eliminating Measles, Rubella & Congenital Rubella Syndrome (CRS) Worldwide.” 2015. http://www.cdc.gov/globalhealth/measles/. Accessed July 7, 2016. ↵
  7. World Health Organization. “Measles Factsheet.” 2016. http://www.who.int/mediacentre/factsheets/fs286/en. Accessed July 7, 2016. ↵
  8. Centers for Disease Control and Prevention. “Measles Cases and Outbreaks.” 2016. http://www.cdc.gov/measles/cases-outbreaks.html. Accessed July 7, 2016. ↵
  9. Ibid. ↵
  10. World Health Organization. “Measles-Rubella Bulletin.” Manila, Philippines; Expanded Programme on Immunization Regional Office for the Western Pacific World Health Organization; 9 no. 1 (2015). http://www.wpro.who.int/immunization/documents/mrbulletinvol9issue1.pdf ↵
  11. M. Bloch et al. “Vaccination Rates for Every Kindergartener in California.” The New York Times February 6, 2015. http://www.nytimes.com/interactive/2015/02/06/us/california-measles-vaccines-map.html?_r=1. Accessed July 7, 2016. ↵

Annotate

Next Chapter
Summary
PreviousNext
Biology
Copyright © 2019 by Open Stax and Linda Bruslind Allied Health Microbiology by Open Stax and Linda Bruslind is licensed under a Creative Commons Attribution-NonCommercial-ShareAlike 4.0 International License, except where otherwise noted.
Powered by Manifold Scholarship. Learn more at
Opens in new tab or windowmanifoldapp.org