Skip to main content

Boundless Biology: 42.1: Innate Immune Response

Boundless Biology
42.1: Innate Immune Response
  • Show the following:

    Annotations
    Resources
  • Adjust appearance:

    Font
    Font style
    Color Scheme
    Light
    Dark
    Annotation contrast
    Low
    High
    Margins
  • Search within:
    • My Notes + Comments
    • Notifications
    • Privacy
  • Project HomeNatural Sciences Collection: Anatomy, Biology, and Chemistry
  • Projects
  • Learn more about Manifold

Notes

table of contents
  1. 1: The Study of Life
    1. 1.1: The Science of Biology
      1. 1.1.0: Introduction to the Study of Biology
      2. 1.1.1: Scientific Reasoning
      3. 1.1.2: The Scientific Method
      4. 1.1.3: Basic and Applied Science
      5. 1.1.4: Publishing Scientific Work
      6. 1.1.5: Branches and Subdisciplines of Biology
    2. 1.2: Themes and Concepts of Biology
      1. 1.2.0: Properties of Life
      2. 1.2.1: Levels of Organization of Living Things
      3. 1.2.2: The Diversity of Life
  2. 2: The Chemical Foundation of Life
    1. 2.1: Atoms, Isotopes, Ions, and Molecules
      1. 2.1.0: Overview of Atomic Structure
      2. 2.1.1: Atomic Number and Mass Number
      3. 2.1.2: Isotopes
      4. 2.1.3: The Periodic Table
      5. 2.1.4: Electron Shells and the Bohr Model
      6. 2.1.5: Electron Orbitals
      7. 2.1.6: Chemical Reactions and Molecules
      8. 2.1.7: Ions and Ionic Bonds
      9. 2.1.8: Covalent Bonds and Other Bonds and Interactions
      10. 2.1.9: Hydrogen Bonding and Van der Waals Forces
    2. 2.2: Water
      1. 2.2.0: Water’s Polarity
      2. 2.2.1: Water’s States: Gas, Liquid, and Solid
      3. 2.2.2: Water’s High Heat Capacity
      4. 2.2.3: Water’s Heat of Vaporization
      5. 2.2.4: Water’s Solvent Properties
      6. 2.2.5: Water’s Cohesive and Adhesive Properties
      7. 2.2.6: pH, Buffers, Acids, and Bases
    3. 2.3: Carbon
      1. 2.3.0: The Chemical Basis for Life
      2. 2.3.1: Hydrocarbons
      3. 2.3.2: Organic Isomers
      4. 2.3.3: Organic Enantiomers
      5. 2.3.4: Organic Molecules and Functional Groups
  3. 3: Biological Macromolecules
    1. 3.1: Synthesis of Biological Macromolecules
      1. 3.1.0: Types of Biological Macromolecules
      2. 3.1.1: Dehydration Synthesis
      3. 3.1.2: Hydrolysis
    2. 3.2: Carbohydrates
      1. 3.2.0: Carbohydrate Molecules
      2. 3.2.1: Importance of Carbohydrates
    3. 3.3: Lipids
      1. 3.3.0: Lipid Molecules
      2. 3.3.1: Waxes
      3. 3.3.2: Phospholipids
      4. 3.3.3: Steroids
    4. 3.4: Proteins
      1. 3.4.0: Types and Functions of Proteins
      2. 3.4.1: Amino Acids
      3. 3.4.2: Protein Structure
      4. 3.4.3: Denaturation and Protein Folding
    5. 3.5: Nucleic Acids
      1. 3.5.0: DNA and RNA
      2. 3.5.1: The DNA Double Helix
      3. 3.5.2: DNA Packaging
      4. 3.5.3: Types of RNA
  4. 4: Cell Structure
    1. 4.1: Studying Cells
      1. 4.1.0: Cells as the Basic Unit of Life
      2. 4.1.1: Microscopy
      3. 4.1.2: Cell Theory
      4. 4.1.3: Cell Size
    2. 4.2: Prokaryotic Cells
      1. 4.2.0: Characteristics of Prokaryotic Cells
    3. 4.3: Eukaryotic Cells
      1. 4.3.0: Characteristics of Eukaryotic Cells
      2. 4.3.1: The Plasma Membrane and the Cytoplasm
      3. 4.3.2: The Nucleus and Ribosomes
      4. 4.3.3: Mitochondria
      5. 4.3.4: Comparing Plant and Animal Cells
    4. 4.4: The Endomembrane System and Proteins
      1. 4.4.0: Vesicles and Vacuoles
      2. 4.4.1: The Endoplasmic Reticulum
      3. 4.4.2: The Golgi Apparatus
      4. 4.4.3: Lysosomes
      5. 4.4.4: Peroxisomes
    5. 4.5: The Cytoskeleton
      1. 4.5.0: Microfilaments
      2. 4.5.1: Intermediate Filaments and Microtubules
    6. 4.6: Connections between Cells and Cellular Activities
      1. 4.6.0: Extracellular Matrix of Animal Cells
      2. 4.6.1: Intercellular Junctions
  5. 5: Structure and Function of Plasma Membranes
    1. 5.1: Components and Structure
      1. 5.1.0: Components of Plasma Membranes
      2. 5.1.1: Fluid Mosaic Model
      3. 5.1.2: Membrane Fluidity
    2. 5.2: Passive Transport
      1. 5.2.0: The Role of Passive Transport
      2. 5.2.1: Selective Permeability
      3. 5.2.2: Diffusion
      4. 5.2.3: Facilitated transport
      5. 5.2.4: Osmosis
      6. 5.2.5: Tonicity
      7. 5.2.6: Osmoregulation
    3. 5.3: Active Transport
      1. 5.3.0: Electrochemical Gradient
      2. 5.3.1: Primary Active Transport
      3. 5.3.2: Secondary Active Transport
    4. 5.4: Bulk Transport
      1. 5.4.0: Endocytosis
      2. 5.4.1: Exocytosis
  6. 6: Metabolism
    1. 6.1: Energy and Metabolism
      1. 6.1.0: The Role of Energy and Metabolism
      2. 6.1.1: Types of Energy
      3. 6.1.2: Metabolic Pathways
      4. 6.1.3: Metabolism of Carbohydrates
    2. 6.2: Potential, Kinetic, Free, and Activation Energy
      1. 6.2.0: Free Energy
      2. 6.2.1: The First Law of Thermodynamics
      3. 6.2.2: The Second Law of Thermodynamics
      4. 6.2.3: Activation Energy
    3. 6.3: ATP: Adenosine Triphosphate
      1. 6.3.0: ATP: Adenosine Triphosphate
    4. 6.4: Enzymes
      1. 6.4.0: Enzyme Active Site and Substrate Specificity
      2. 6.4.1: Control of Metabolism Through Enzyme Regulation
  7. 7: Cellular Respiration
    1. 7.1: Energy in Living Systems
      1. 7.1.0: Transforming Chemical Energy
      2. 7.1.1: Electrons and Energy
      3. 7.1.2: ATP in Metabolism
    2. 7.2: Glycolysis
      1. 7.2.0: Importance of Glycolysis
      2. 7.2.1: The Energy-Requiring Steps of Glycolysis
      3. 7.2.2: The Energy-Releasing Steps of Glycolysis
      4. 7.2.3: Outcomes of Glycolysis
    3. 7.3: Oxidation of Pyruvate and the Citric Acid Cycle
      1. 7.3.0: Breakdown of Pyruvate
      2. 7.3.1: Acetyl CoA to CO2
      3. 7.3.2: Citric Acid Cycle
    4. 7.4: Oxidative Phosphorylation
      1. 7.4.0: Electron Transport Chain
      2. 7.4.1: Chemiosmosis and Oxidative Phosphorylation
      3. 7.4.2: ATP Yield
    5. 7.5: Metabolism without Oxygen
      1. 7.5.0: Anaerobic Cellular Respiration
    6. 7.6: Connections of Carbohydrate, Protein, and Lipid Metabolic Pathways
      1. 7.6.0: Connecting Other Sugars to Glucose Metabolism
      2. 7.6.1: Connecting Proteins to Glucose Metabolism
      3. 7.6.2: Connecting Lipids to Glucose Metabolism
    7. 7.7: Regulation of Cellular Respiration
      1. 7.7.0: Regulatory Mechanisms for Cellular Respiration
      2. 7.7.1: Control of Catabolic Pathways
  8. 8: Photosynthesis
    1. 8.1: Overview of Photosynthesis
      1. 8.1.0: The Purpose and Process of Photosynthesis
      2. 8.1.1: Main Structures and Summary of Photosynthesis
      3. 8.1.2: The Two Parts of Photosynthesis
    2. 8.2: The Light-Dependent Reactions of Photosynthesis
      1. 8.2.0: Introduction to Light Energy
      2. 8.2.1: Absorption of Light
      3. 8.2.2: Processes of the Light-Dependent Reactions
    3. 8.3: The Light-Independent Reactions of Photosynthesis
      1. 8.3.0: CAM and C4 Photosynthesis
      2. 8.3.1: The Calvin Cycle
      3. 8.3.2: The Carbon Cycle
  9. 9: Cell Communication
    1. 9.1: Signaling Molecules and Cellular Receptors
      1. 9.1.0: Signaling Molecules and Cellular Receptors
      2. 9.1.1: Forms of Signaling
      3. 9.1.2: Types of Receptors
      4. 9.1.3: Signaling Molecules
    2. 9.2: Propagation of the Cellular Signal
      1. 9.2.0: Binding Initiates a Signaling Pathway
      2. 9.2.1: Methods of Intracellular Signaling
    3. 9.3: Response to the Cellular Signal
      1. 9.3.0: Termination of the Signal Cascade
      2. 9.3.1: Cell Signaling and Gene Expression
      3. 9.3.2: Cell Signaling and Cellular Metabolism
      4. 9.3.3: Cell Signaling and Cell Growth
      5. 9.3.4: Cell Signaling and Cell Death
    4. 9.4: Signaling in Single-Celled Organisms
      1. 9.4.0: Signaling in Yeast
      2. 9.4.1: Signaling in Bacteria
  10. 10: Cell Reproduction
    1. 10.1: Cell Division
      1. 10.1.0: The Role of the Cell Cycle
      2. 10.1.1: Genomic DNA and Chromosomes
      3. 10.1.2: Eukaryotic Chromosomal Structure and Compaction
    2. 10.2: The Cell Cycle
      1. 10.2.0: Interphase
      2. 10.2.1: The Mitotic Phase and the G0 Phase
    3. 10.3: Control of the Cell Cycle
      1. 10.3.0: Regulation of the Cell Cycle by External Events
      2. 10.3.1: Regulation of the Cell Cycle at Internal Checkpoints
      3. 10.3.2: Regulator Molecules of the Cell Cycle
    4. 10.4: Cancer and the Cell Cycle
      1. 10.4.0: Proto-oncogenes
      2. 10.4.1: Tumor Suppressor Genes
    5. 10.5: Prokaryotic Cell Division
      1. 10.5.0: Binary Fission
  11. 11: Meiosis and Sexual Reproduction
    1. 11.1: The Process of Meiosis
      1. 11.1.0: Introduction to Meiosis
      2. 11.1.1: Meiosis I
      3. 11.1.2: Meiosis II
      4. 11.1.3: Comparing Meiosis and Mitosis
    2. 11.2: Sexual Reproduction
      1. 11.2.0: Advantages and Disadvantages of Sexual Reproduction
      2. 11.2.1: Life Cycles of Sexually Reproducing Organisms
  12. 12: Mendel's Experiments and Heredity
    1. 12.1: Mendel’s Experiments and the Laws of Probability
      1. 12.1.0: Introduction to Mendelian Inheritance
      2. 12.1.1: Mendel’s Model System
      3. 12.1.2: Mendelian Crosses
      4. 12.1.3: Garden Pea Characteristics Revealed the Basics of Heredity
      5. 12.1.4: Rules of Probability for Mendelian Inheritance
    2. 12.2: Patterns of Inheritance
      1. 12.2.0: Genes as the Unit of Heredity
      2. 12.2.1: Phenotypes and Genotypes
      3. 12.2.2: The Punnett Square Approach for a Monohybrid Cross
      4. 12.2.3: Alternatives to Dominance and Recessiveness
      5. 12.2.4: Sex-Linked Traits
      6. 12.2.5: Lethal Inheritance Patterns
    3. 12.3: Laws of Inheritance
      1. 12.3.0: Mendel's Laws of Heredity
      2. 12.3.1: Mendel's Law of Dominance
      3. 12.3.2: Mendel's Law of Segregation
      4. 12.3.3: Mendel's Law of Independent Assortment
      5. 12.3.4: Genetic Linkage and Violation of the Law of Independent Assortment
      6. 12.3.5: Epistasis
  13. 13: Modern Understandings of Inheritance
    1. 13.1: Chromosomal Theory and Genetic Linkage
      1. 13.1.0: Chromosomal Theory of Inheritance
      2. 13.1.1: Genetic Linkage and Distances
      3. 13.1.2: Identification of Chromosomes and Karyotypes
    2. 13.2: Chromosomal Basis of Inherited Disorders
      1. 13.2.0: Disorders in Chromosome Number
      2. 13.2.1: Chromosomal Structural Rearrangements
      3. 13.2.2: X-Inactivation
  14. 14: DNA Structure and Function
    1. 14.1: Historical Basis of Modern Understanding
      1. 14.1.0: Discovery of DNA
      2. 14.1.1: Modern Applications of DNA
    2. 14.2: DNA Structure and Sequencing
      1. 14.2.0: The Structure and Sequence of DNA
      2. 14.2.1: DNA Sequencing Techniques
    3. 14.3: DNA Replication
      1. 14.3.0: Basics of DNA Replication
      2. 14.3.1: DNA Replication in Prokaryotes
      3. 14.3.2: DNA Replication in Eukaryotes
      4. 14.3.3: Telomere Replication
    4. 14.4: DNA Repair
      1. 14.4.0: DNA Repair
  15. 15: Genes and Proteins
    1. 15.1: The Genetic Code
      1. 15.1.0: The Relationship Between Genes and Proteins
      2. 15.1.1: The Central Dogma: DNA Encodes RNA and RNA Encodes Protein
    2. 15.2: Prokaryotic Transcription
      1. 15.2.0: Transcription in Prokaryotes
      2. 15.2.1: Initiation of Transcription in Prokaryotes
      3. 15.2.2: Elongation and Termination in Prokaryotes
    3. 15.3: Eukaryotic Transcription
      1. 15.3.0: Initiation of Transcription in Eukaryotes
      2. 15.3.1: Elongation and Termination in Eukaryotes
    4. 15.4: RNA Processing in Eukaryotes
      1. 15.4.0: mRNA Processing
      2. 15.4.1: Processing of tRNAs and rRNAs
    5. 15.5: Ribosomes and Protein Synthesis
      1. 15.5.0: The Protein Synthesis Machinery
      2. 15.5.1: The Mechanism of Protein Synthesis
      3. 15.5.2: Protein Folding, Modification, and Targeting
  16. 16: Gene Expression
    1. 16.1: Regulation of Gene Expression
      1. 16.1.0: The Process and Purpose of Gene Expression Regulation
      2. 16.1.1: Prokaryotic versus Eukaryotic Gene Expression
    2. 16.2: Prokaryotic Gene Regulation
      1. 16.2.0: The trp Operon: A Repressor Operon
      2. 16.2.1: Catabolite Activator Protein (CAP): An Activator Regulator
      3. 16.2.2: The lac Operon: An Inducer Operon
    3. 16.3: Eukaryotic Gene Regulation
      1. 16.3.0: The Promoter and the Transcription Machinery
      2. 16.3.1: Transcriptional Enhancers and Repressors
      3. 16.3.2: Epigenetic Control: Regulating Access to Genes within the Chromosome
      4. 16.3.3: RNA Splicing
      5. 16.3.4: The Initiation Complex and Translation Rate
      6. 16.3.5: Regulating Protein Activity and Longevity
    4. 16.4: Regulating Gene Expression in Cell Development
      1. 16.4.0: Gene Expression in Stem Cells
      2. 16.4.1: Cellular Differentiation
      3. 16.4.2: Mechanics of Cellular Differentation
      4. 16.4.3: Establishing Body Axes during Development
      5. 16.4.4: Gene Expression for Spatial Positioning
      6. 16.4.5: Cell Migration in Multicellular Organisms
      7. 16.4.6: Programmed Cell Death
    5. 16.5: Cancer and Gene Regulation
      1. 16.5.0: Altered Gene Expression in Cancer
      2. 16.5.1: Epigenetic Alterations in Cancer
      3. 16.5.2: Cancer and Transcriptional Control
      4. 16.5.3: Cancer and Post-Transcriptional Control
      5. 16.5.4: Cancer and Translational Control
  17. 17: Biotechnology and Genomics
    1. 17.1: Biotechnology
      1. 17.1.0: Biotechnology
      2. 17.1.1: Basic Techniques to Manipulate Genetic Material (DNA and RNA)
      3. 17.1.2: Molecular and Cellular Cloning
      4. 17.1.3: Reproductive Cloning
      5. 17.1.4: Genetic Engineering
      6. 17.1.5: Genetically Modified Organisms (GMOs)
      7. 17.1.6: Biotechnology in Medicine
      8. 17.1.7: Production of Vaccines, Antibiotics, and Hormones
    2. 17.2: Mapping Genomes
      1. 17.2.0: Genetic Maps
      2. 17.2.1: Physical Maps and Integration with Genetic Maps
    3. 17.3: Whole-Genome Sequencing
      1. 17.3.0: Strategies Used in Sequencing Projects
      2. 17.3.1: Use of Whole-Genome Sequences of Model Organisms
      3. 17.3.2: Uses of Genome Sequences
    4. 17.4: Applying Genomics
      1. 17.4.0: Predicting Disease Risk at the Individual Level
      2. 17.4.1: Pharmacogenomics, Toxicogenomics, and Metagenomics
      3. 17.4.2: Genomics and Biofuels
    5. 17.5: Genomics and Proteomics
      1. 17.5.0: Genomics and Proteomics
      2. 17.5.1: Basic Techniques in Protein Analysis
      3. 17.5.2: Cancer Proteomics
  18. 18: Evolution and the Origin of Species
    1. 18.1: Understanding Evolution
      1. 18.1.0: What is Evolution?
      2. 18.1.1: Charles Darwin and Natural Selection
      3. 18.1.2: The Galapagos Finches and Natural Selection
      4. 18.1.3: Processes and Patterns of Evolution
      5. 18.1.4: Evidence of Evolution
      6. 18.1.5: Misconceptions of Evolution
    2. 18.2: Formation of New Species
      1. 18.2.0: The Biological Species Concept
      2. 18.2.1: Reproductive Isolation
      3. 18.2.2: Speciation
      4. 18.2.3: Allopatric Speciation
      5. 18.2.4: Sympatric Speciation
    3. 18.3: Hybrid Zones and Rates of Speciation
      1. 18.3.0: Hybrid Zones
      2. 18.3.1: Varying Rates of Speciation
    4. 18.4: Evolution of Genomes
      1. 18.4.0: Genomic Similiarities between Distant Species
      2. 18.4.1: Genome Evolution
      3. 18.4.2: Whole-Genome Duplication
      4. 18.4.3: Gene Duplications and Divergence
      5. 18.4.4: Noncoding DNA
      6. 18.4.5: Variations in Size and Number of Genes
    5. 18.5: Evidence of Evolution
      1. 18.5.0: The Fossil Record as Evidence for Evolution
      2. 18.5.1: Fossil Formation
      3. 18.5.2: Gaps in the Fossil Record
      4. 18.5.3: Carbon Dating and Estimating Fossil Age
      5. 18.5.4: The Fossil Record and the Evolution of the Modern Horse
      6. 18.5.5: Homologous Structures
      7. 18.5.6: Convergent Evolution
      8. 18.5.7: Vestigial Structures
      9. 18.5.8: Biogeography and the Distribution of Species
  19. 19: The Evolution of Populations
    1. 19.1: Population Evolution
      1. 19.1.0: Defining Population Evolution
      2. 19.1.1: Population Genetics
      3. 19.1.2: Hardy-Weinberg Principle of Equilibrium
    2. 19.2: Population Genetics
      1. 19.2.0: Genetic Variation
      2. 19.2.1: Genetic Drift
      3. 19.2.2: Gene Flow and Mutation
      4. 19.2.3: Nonrandom Mating and Environmental Variance
    3. 19.3: Adaptive Evolution
      1. 19.3.0: Natural Selection and Adaptive Evolution
      2. 19.3.1: Stabilizing, Directional, and Diversifying Selection
      3. 19.3.2: Frequency-Dependent Selection
      4. 19.3.3: Sexual Selection
      5. 19.3.4: No Perfect Organism
  20. 20: Phylogenies and the History of Life
    1. 20.1: Organizing Life on Earth
      1. 20.1.0: Phylogenetic Trees
      2. 20.1.1: Limitations of Phylogenetic Trees
      3. 20.1.2: The Levels of Classification
    2. 20.2: Determining Evolutionary Relationships
      1. 20.2.0: Distinguishing between Similar Traits
      2. 20.2.1: Building Phylogenetic Trees
    3. 20.3: Perspectives on the Phylogenetic Tree
      1. 20.3.0: Limitations to the Classic Model of Phylogenetic Trees
      2. 20.3.1: Horizontal Gene Transfer
      3. 20.3.2: Endosymbiotic Theory and the Evolution of Eukaryotes
      4. 20.3.3: Web, Network, and Ring of Life Models
  21. 21: Viruses
    1. 21.1: Viral Evolution, Morphology, and Classification
      1. 21.1.0: Discovery and Detection of Viruses
      2. 21.1.1: Evolution of Viruses
      3. 21.1.2: Viral Morphology
      4. 21.1.3: Virus Classification
    2. 21.2: Virus Infections and Hosts
      1. 21.2.0: Steps of Virus Infections
      2. 21.2.1: The Lytic and Lysogenic Cycles of Bacteriophages
      3. 21.2.2: Animal Viruses
      4. 21.2.3: Plant Viruses
    3. 21.3: Prevention and Treatment of Viral Infections
      1. 21.3.0: Vaccines and Immunity
      2. 21.3.1: Vaccines and Anti-Viral Drugs for Treatment
    4. 21.4: Prions and Viroids
      1. 21.4.0: Prions and Viroids
  22. 22: Prokaryotes: Bacteria and Archaea
    1. 22.1: Prokaryotic Diversity
      1. 22.1.0: Classification of Prokaryotes
      2. 22.1.1: The Origins of Archaea and Bacteria
      3. 22.1.2: Extremophiles and Biofilms
    2. 22.2: Structure of Prokaryotes
      1. 22.2.0: Basic Structures of Prokaryotic Cells
      2. 22.2.1: Prokaryotic Reproduction
    3. 22.3: Prokaryotic Metabolism
      1. 22.3.0: Energy and Nutrient Requirements for Prokaryotes
      2. 22.3.1: The Role of Prokaryotes in Ecosystems
    4. 22.4: Bacterial Diseases in Humans
      1. 22.4.0: History of Bacterial Diseases
      2. 22.4.1: Biofilms and Disease
      3. 22.4.2: Antibiotics: Are We Facing a Crisis?
      4. 22.4.3: Bacterial Foodborne Diseases
    5. 22.5: Beneficial Prokaryotes
      1. 22.5.0: Symbiosis between Bacteria and Eukaryotes
      2. 22.5.1: Early Biotechnology: Cheese, Bread, Wine, Beer, and Yogurt
      3. 22.5.2: Prokaryotes and Environmental Bioremediation
  23. 23: Protists
    1. 23.1: Eukaryotic Origins
      1. 23.1.0: Early Eukaryotes
      2. 23.1.1: Characteristics of Eukaryotic DNA
      3. 23.1.2: Endosymbiosis and the Evolution of Eukaryotes
      4. 23.1.3: The Evolution of Mitochondria
      5. 23.1.4: The Evolution of Plastids
    2. 23.2: Characteristics of Protists
      1. 23.2.0: Cell Structure, Metabolism, and Motility
      2. 23.2.1: Protist Life Cycles and Habitats
    3. 23.3: Groups of Protists
      1. 23.3.0: Excavata
      2. 23.3.1: Chromalveolata: Alveolates
      3. 23.3.2: Chromalveolata: Stramenopiles
      4. 23.3.3: Rhizaria
      5. 23.3.4: Archaeplastida
      6. 23.3.5: Amoebozoa and Opisthokonta
    4. 23.4: Ecology of Protists
      1. 23.4.0: Protists as Primary Producers, Food Sources, and Symbionts
      2. 23.4.1: Protists as Human Pathogens
      3. 23.4.2: Protists as Plant Pathogens
  24. 24: Fungi
    1. 24.1: Characteristics of Fungi
      1. 24.1.0: Characteristics of Fungi
      2. 24.1.1: Fungi Cell Structure and Function
      3. 24.1.2: Fungi Reproduction
    2. 24.2: Ecology of Fungi
      1. 24.2.0: Fungi Habitat, Decomposition, and Recycling
      2. 24.2.1: Mutualistic Relationships with Fungi and Fungivores
    3. 24.3: Classifications of Fungi
      1. 24.3.0: Chytridiomycota: The Chytrids
      2. 24.3.1: Zygomycota: The Conjugated Fungi
      3. 24.3.2: Ascomycota: The Sac Fungi
      4. 24.3.3: Basidiomycota: The Club Fungi
      5. 24.3.4: Deuteromycota: The Imperfect Fungi
      6. 24.3.5: Glomeromycota
    4. 24.4: Fungal Parasites and Pathogens
      1. 24.4.0: Fungi as Plant, Animal, and Human Pathogens
    5. 24.5: Importance of Fungi in Human Life
      1. 24.5.0: Importance of Fungi in Human Life
  25. 25: Seedless Plants
    1. 25.1: Early Plant Life
      1. 25.1.0: Early Plant Life
      2. 25.1.1: Evolution of Land Plants
      3. 25.1.2: Plant Adaptations to Life on Land
      4. 25.1.3: Sporophytes and Gametophytes in Seedless Plants
      5. 25.1.4: Structural Adaptations for Land in Seedless Plants
      6. 25.1.5: The Major Divisions of Land Plants
    2. 25.2: Green Algae: Precursors of Land Plants
      1. 25.2.0: Streptophytes and Reproduction of Green Algae
      2. 25.2.1: Charales
    3. 25.3: Bryophytes
      1. 25.3.0: Bryophytes
      2. 25.3.1: Liverworts and Hornworts
      3. 25.3.2: Mosses
    4. 25.4: Seedless Vascular Plants
      1. 25.4.0: Seedless Vascular Plants
      2. 25.4.1: Vascular Tissue: Xylem and Phloem
      3. 25.4.2: The Evolution of Roots in Seedless Plants
      4. 25.4.3: Ferns and Other Seedless Vascular Plants
      5. 25.4.4: The Importance of Seedless Vascular Plants
  26. 26: Seed Plants
    1. 26.1: Evolution of Seed Plants
      1. 26.1.0: The Evolution of Seed Plants and Adaptations for Land
      2. 26.1.1: Evolution of Gymnosperms
      3. 26.1.2: Evolution of Angiosperms
    2. 26.2: Gymnosperms
      1. 26.2.0: Characteristics of Gymnosperms
      2. 26.2.1: Life Cycle of a Conifer
      3. 26.2.2: Diversity of Gymnosperms
    3. 26.3: Angiosperms
      1. 26.3.0: Angiosperm Flowers
      2. 26.3.1: Angsiosperm Fruit
      3. 26.3.2: The Life Cycle of an Angiosperm
      4. 26.3.3: Diversity of Angiosperms
    4. 26.4: The Role of Seed Plants
      1. 26.4.0: Herbivory and Pollination
      2. 26.4.1: The Importance of Seed Plants in Human Life
      3. 26.4.2: Biodiversity of Plants
  27. 27: Introduction to Animal Diversity
    1. 27.1: Features of the Animal Kingdom
      1. 27.1.0: Characteristics of the Animal Kingdom
      2. 27.1.1: Complex Tissue Structure
      3. 27.1.2: Animal Reproduction and Development
    2. 27.2: Features Used to Classify Animals
      1. 27.2.0: Animal Characterization Based on Body Symmetry
      2. 27.2.1: Animal Characterization Based on Features of Embryological Development
    3. 27.3: Animal Phylogeny
      1. 27.3.0: Constructing an Animal Phylogenetic Tree
      2. 27.3.1: Molecular Analyses and Modern Phylogenetic Trees
    4. 27.4: The Evolutionary History of the Animal Kingdom
      1. 27.4.0: Pre-Cambrian Animal Life
      2. 27.4.1: The Cambrian Explosion of Animal Life
      3. 27.4.2: Post-Cambrian Evolution and Mass Extinctions
  28. 28: Invertebrates
    1. 28.1: Phylum Porifera
      1. 28.1.0: Phylum Porifera
      2. 28.1.1: Morphology of Sponges
      3. 28.1.2: Physiological Processes in Sponges
    2. 28.2: Phylum Cnidaria
      1. 28.2.0: Phylum Cnidaria
      2. 28.2.1: Class Anthozoa
      3. 28.2.2: Class Scyphozoa
      4. 28.2.3: Class Cubozoa and Class Hydrozoa
    3. 28.3: Superphylum Lophotrochozoa
      1. 28.3.0: Superphylum Lophotrochozoa
      2. 28.3.1: Phylum Platyhelminthes
      3. 28.3.2: Phylum Rotifera
      4. 28.3.3: Phylum Nemertea
      5. 28.3.4: Phylum Mollusca
      6. 28.3.5: Classification of Phylum Mollusca
      7. 28.3.6: Phylum Annelida
    4. 28.4: Superphylum Ecdysozoa
      1. 28.4.0: Superphylum Ecdysozoa
      2. 28.4.1: Phylum Nematoda
      3. 28.4.2: Phylum Arthropoda
      4. 28.4.3: Subphyla of Arthropoda
    5. 28.5: Superphylum Deuterostomia
      1. 28.5.0: Phylum Echinodermata
      2. 28.5.1: Classes of Echinoderms
      3. 28.5.2: Phylum Chordata
  29. 29: Vertebrates
    1. 29.1: Chordates
      1. 29.1.0: Characteristics of Chordata
      2. 29.1.1: Chordates and the Evolution of Vertebrates
      3. 29.1.2: The Evolution of Craniata and Vertebrata
      4. 29.1.3: Characteristics of Vertebrates
    2. 29.2: Fishes
      1. 29.2.0: Agnathans: Jawless Fishes
      2. 29.2.1: Gnathostomes: Jawed Fishes
    3. 29.3: Amphibians
      1. 29.3.0: Characteristics and Evolution of Amphibians
      2. 29.3.1: Modern Amphibians
    4. 29.4: Reptiles
      1. 29.4.0: Characteristics of Amniotes
      2. 29.4.1: Evolution of Amniotes
      3. 29.4.2: Characteristics of Reptiles
      4. 29.4.3: Evolution of Reptiles
      5. 29.4.4: Modern Reptiles
    5. 29.5: Birds
      1. 29.5.0: Characteristics of Birds
      2. 29.5.1: Evolution of Birds
    6. 29.6: Mammals
      1. 29.6.0: Characteristics of Mammals
      2. 29.6.1: Evolution of Mammals
      3. 29.6.2: Living Mammals
    7. 29.7: The Evolution of Primates
      1. 29.7.0: Characteristics and Evolution of Primates
      2. 29.7.1: Early Human Evolution
      3. 29.7.2: Early Hominins
      4. 29.7.3: Genus Homo
  30. 30: Plant Form and Physiology
    1. 30.1: The Plant Body
      1. 30.1.0: Plant Tissues and Organ Systems
    2. 30.2: Stems
      1. 30.2.0: Functions of Stems
      2. 30.2.1: Stem Anatomy
      3. 30.2.2: Primary and Secondary Growth in Stems
      4. 30.2.3: Stem Modifications
    3. 30.3: Roots
      1. 30.3.0: Types of Root Systems and Zones of Growth
      2. 30.3.1: Root Modifications
    4. 30.4: Leaves
      1. 30.4.0: Leaf Structure and Arrangment
      2. 30.4.1: Types of Leaf Forms
      3. 30.4.2: Leaf Structure, Function, and Adaptation
    5. 30.5: Plant Development
      1. 30.5.0: Meristems
      2. 30.5.1: Genetic Control of Flowers
    6. 30.6: Transport of Water and Solutes in Plants
      1. 30.6.0: Water and Solute Potential
      2. 30.6.1: Pressure, Gravity, and Matric Potential
      3. 30.6.2: Movement of Water and Minerals in the Xylem
      4. 30.6.3: Transportation of Photosynthates in the Phloem
    7. 30.7: Plant Sensory Systems and Responses
      1. 30.7.0: Plant Responses to Light
      2. 30.7.1: The Phytochrome System and Red Light Response
      3. 30.7.2: Blue Light Response
      4. 30.7.3: Plant Responses to Gravity
      5. 30.7.4: Auxins, Cytokinins, and Gibberellins
      6. 30.7.5: Abscisic Acid, Ethylene, and Nontraditional Hormones
      7. 30.7.6: Plant Responses to Wind and Touch
    8. 30.8: Plant Defense Mechanisms
      1. 30.8.0: Plant Defenses Against Herbivores
      2. 30.8.1: Plant Defenses Against Pathogens
  31. 31: Soil and Plant Nutrition
    1. 31.1: Nutritional Requirements of Plants
      1. 31.1.0: Plant Nutrition
      2. 31.1.1: The Chemical Composition of Plants
      3. 31.1.2: Essential Nutrients for Plants
    2. 31.2: The Soil
      1. 31.2.0: Soil Composition
      2. 31.2.1: Soil Formation
      3. 31.2.2: Physical Properties of Soil
    3. 31.3: Nutritional Adaptations of Plants
      1. 31.3.0: Nitrogen Fixation: Root and Bacteria Interactions
      2. 31.3.1: Mycorrhizae: The Symbiotic Relationship between Fungi and Roots
      3. 31.3.2: Nutrients from Other Sources
  32. 32: Plant Reproduction
    1. 32.1: Plant Reproductive Development and Structure
      1. 32.1.0: Plant Reproductive Development and Structure
      2. 32.1.1: Sexual Reproduction in Gymnosperms
      3. 32.1.2: Sexual Reproduction in Angiosperms
    2. 32.2: Pollination and Fertilization
      1. 32.2.0: Pollination and Fertilization
      2. 32.2.1: Pollination by Insects
      3. 32.2.2: Pollination by Bats, Birds, Wind, and Water
      4. 32.2.3: Double Fertilization in Plants
      5. 32.2.4: Development of the Seed
      6. 32.2.5: Development of Fruit and Fruit Types
      7. 32.2.6: Fruit and Seed Dispersal
    3. 32.3: Asexual Reproduction
      1. 32.3.0: Asexual Reproduction in Plants
      2. 32.3.1: Natural and Artificial Methods of Asexual Reproduction in Plants
      3. 32.3.2: Plant Life Spans
  33. 33: The Animal Body: Basic Form and Function
    1. 33.1: Animal Form and Function
      1. 33.1.0: Characteristics of the Animal Body
      2. 33.1.1: Body Plans
      3. 33.1.2: Limits on Animal Size and Shape
      4. 33.1.3: Limiting Effects of Diffusion on Size and Development
      5. 33.1.4: Animal Bioenergetics
      6. 33.1.5: Animal Body Planes and Cavities
    2. 33.2: Animal Primary Tissues
      1. 33.2.0: Epithelial Tissues
      2. 33.2.1: Connective Tissues: Loose, Fibrous, and Cartilage
      3. 33.2.2: Connective Tissues: Bone, Adipose, and Blood
      4. 33.2.3: Muscle Tissues and Nervous Tissues
    3. 33.3: Homeostasis
      1. 33.3.0: Homeostatic Process
      2. 33.3.1: Control of Homeostasis
      3. 33.3.2: Homeostasis: Thermoregulation
      4. 33.3.3: Heat Conservation and Dissipation
  34. 34: Animal Nutrition and the Digestive System
    1. 34.1: Digestive Systems
      1. 34.1.0: Digestive Systems
      2. 34.1.1: Herbivores, Omnivores, and Carnivores
      3. 34.1.2: Invertebrate Digestive Systems
      4. 34.1.3: Vertebrate Digestive Systems
      5. 34.1.4: Digestive System: Mouth and Stomach
      6. 34.1.5: Digestive System: Small and Large Intestines
    2. 34.2: Nutrition and Energy Production
      1. 34.2.0: Food Requirements and Essential Nutrients
      2. 34.2.1: Food Energy and ATP
    3. 34.3: Digestive System Processes
      1. 34.3.0: Ingestion
      2. 34.3.1: Digestion and Absorption
      3. 34.3.2: Elimination
    4. 34.4: Digestive System Regulation
      1. 34.4.0: Neural Responses to Food
      2. 34.4.1: Hormonal Responses to Food
  35. 35: The Nervous System
    1. 35.1: Neurons and Glial Cells
      1. 35.1.0: Neurons and Glial Cells
      2. 35.1.1: Neurons
      3. 35.1.2: Glia
    2. 35.2: How Neurons Communicate
      1. 35.2.0: Nerve Impulse Transmission within a Neuron: Resting Potential
      2. 35.2.1: Nerve Impulse Transmission within a Neuron: Action Potential
      3. 35.2.2: Synaptic Transmission
      4. 35.2.3: Signal Summation
      5. 35.2.4: Synaptic Plasticity
    3. 35.3: The Nervous System
      1. 35.3.0: The Nervous System
    4. 35.4: The Central Nervous System
      1. 35.4.0: Brain: Cerebral Cortex and Brain Lobes
      2. 35.4.1: Brain: Midbrain and Brain Stem
      3. 35.4.2: Spinal Cord
    5. 35.5: The Peripheral Nervous System
      1. 35.5.0: Autonomic Nervous System
      2. 35.5.1: Sensory-Somatic Nervous System
    6. 35.6: Nervous System Disorders
      1. 35.6.0: Neurodegenerative Disorders
      2. 35.6.1: Neurodevelopmental Disorders: Autism and ADHD
      3. 35.6.2: Neurodevelopmental Disorders: Mental Illnesses
      4. 35.6.3: Other Neurological Disorders
  36. 36: Sensory Systems
    1. 36.1: Sensory Processes
      1. 36.1.0: Reception
      2. 36.1.1: Transduction and Perception
    2. 36.2: Somatosensation
      1. 36.2.0: Somatosensory Receptors
      2. 36.2.1: Integration of Signals from Mechanoreceptors
      3. 36.2.2: Thermoreception
    3. 36.3: Taste and Smell
      1. 36.3.0: Tastes and Odors
      2. 36.3.1: Reception and Transduction
    4. 36.4: Hearing and Vestibular Sensation
      1. 36.4.0: Sound
      2. 36.4.1: Reception of Sound
      3. 36.4.2: Transduction of Sound
      4. 36.4.3: The Vestibular System
      5. 36.4.4: Balance and Determining Equilibrium
    5. 36.5: Vision
      1. 36.5.0: Light
      2. 36.5.1: Anatomy of the Eye
      3. 36.5.2: Transduction of Light
      4. 36.5.3: Visual Processing
  37. 37: The Endocrine System
    1. 37.1: Types of Hormones
      1. 37.1.0: Hormone Functions
      2. 37.1.1: Lipid-Derived, Amino Acid-Derived, and Peptide Hormones
    2. 37.2: How Hormones Work
      1. 37.2.0: How Hormones Work
      2. 37.2.1: Intracellular Hormone Receptors
      3. 37.2.2: Plasma Membrane Hormone Receptors
    3. 37.3: Regulation of Body Processes
      1. 37.3.0: Hormonal Regulation of the Excretory System
      2. 37.3.1: Hormonal Regulation of the Reproductive System
      3. 37.3.2: Hormonal Regulation of Metabolism
      4. 37.3.3: Hormonal Control of Blood Calcium Levels
      5. 37.3.4: Hormonal Regulation of Growth
      6. 37.3.5: Hormonal Regulation of Stress
    4. 37.4: Regulation of Hormone Production
      1. 37.4.0: Humoral, Hormonal, and Neural Stimuli
    5. 37.5: Endocrine Glands
      1. 37.5.0: Hypothalamic-Pituitary Axis
      2. 37.5.1: Thyroid Gland
      3. 37.5.2: Parathyroid Glands
      4. 37.5.3: Adrenal Glands
      5. 37.5.4: Pancreas
      6. 37.5.5: Pineal Gland and Gonads
      7. 37.5.6: Organs with Secondary Endocrine Functions
  38. 38: The Musculoskeletal System
    1. 38.1: Types of Skeletal Systems
      1. 38.1.0: Functions of the Musculoskeletal System
      2. 38.1.1: Types of Skeletal Systems
      3. 38.1.2: Human Axial Skeleton
      4. 38.1.3: Human Appendicular Skeleton
    2. 38.2: Bone
      1. 38.2.0: Bone
      2. 38.2.1: Cell Types in Bones
      3. 38.2.2: Bone Development
      4. 38.2.3: Growth of Bone
      5. 38.2.4: Bone Remodeling and Repair
    3. 38.3: Joints and Skeletal Movement
      1. 38.3.0: Classification of Joints on the Basis of Structure and Function
      2. 38.3.1: Movement at Synovial Joints
      3. 38.3.2: Types of Synovial Joints
      4. 38.3.3: Bone and Joint Disorders
    4. 38.4: Muscle Contraction and Locomotion
      1. 38.4.0: Structure and Function of the Muscular System
      2. 38.4.1: Skeletal Muscle Fibers
      3. 38.4.2: Sliding Filament Model of Contraction
      4. 38.4.3: ATP and Muscle Contraction
      5. 38.4.4: Regulatory Proteins
      6. 38.4.5: Excitation–Contraction Coupling
      7. 38.4.6: Control of Muscle Tension
  39. 39: The Respiratory System
    1. 39.1: Systems of Gas Exchange
      1. 39.1.0: The Respiratory System and Direct Diffusion
      2. 39.1.1: Skin, Gills, and Tracheal Systems
      3. 39.1.2: Amphibian and Bird Respiratory Systems
      4. 39.1.3: Mammalian Systems and Protective Mechanisms
    2. 39.2: Gas Exchange across Respiratory Surfaces
      1. 39.2.0: Gas Pressure and Respiration
      2. 39.2.1: Basic Principles of Gas Exchange
      3. 39.2.2: Lung Volumes and Capacities
      4. 39.2.3: Gas Exchange across the Alveoli
    3. 39.3: Breathing
      1. 39.3.0: The Mechanics of Human Breathing
      2. 39.3.1: Types of Breathing
      3. 39.3.2: The Work of Breathing
      4. 39.3.3: Dead Space: V/Q Mismatch
    4. 39.4: Transport of Gases in Human Bodily Fluids
      1. 39.4.0: Transport of Oxygen in the Blood
      2. 39.4.1: Transport of Carbon Dioxide in the Blood
  40. 40: The Circulatory System
    1. 40.1: Overview of the Circulatory System
      1. 40.1.0: The Role of the Circulatory System
      2. 40.1.1: Open and Closed Circulatory Systems
      3. 40.1.2: Types of Circulatory Systems in Animals
    2. 40.2: Components of the Blood
      1. 40.2.0: The Role of Blood in the Body
      2. 40.2.1: Red Blood Cells
      3. 40.2.2: White Blood Cells
      4. 40.2.3: Platelets and Coagulation Factors
      5. 40.2.4: Plasma and Serum
    3. 40.3: Mammalian Heart and Blood Vessels
      1. 40.3.0: Structures of the Heart
      2. 40.3.1: Arteries, Veins, and Capillaries
      3. 40.3.2: The Cardiac Cycle
    4. 40.4: Blood Flow and Blood Pressure Regulation
      1. 40.4.0: Blood Flow Through the Body
      2. 40.4.1: Blood Pressure
  41. 41: Osmotic Regulation and the Excretory System
    1. 41.1: Osmoregulation and Osmotic Balance
      1. 41.1.0: Introduction to Osmoregulation
      2. 41.1.1: Transport of Electrolytes across Cell Membranes
      3. 41.1.2: Concept of Osmolality and Milliequivalent
      4. 41.1.3: Osmoregulators and Osmoconformers
    2. 41.2: Nitrogenous Wastes
      1. 41.2.0: Nitrogenous Waste in Terrestrial Animals: The Urea Cycle
      2. 41.2.1: Nitrogenous Waste in Birds and Reptiles: Uric Acid
    3. 41.3: Excretion Systems
      1. 41.3.0: Contractile Vacuoles in Microorganisms
      2. 41.3.1: Flame Cells of Planaria and Nephridia of Worms
      3. 41.3.2: Malpighian Tubules of Insects
    4. 41.4: Human Osmoregulatory and Excretory Systems
      1. 41.4.0: Kidney Structure
      2. 41.4.1: Nephron: The Functional Unit of the Kidney
      3. 41.4.2: Kidney Function and Physiology
    5. 41.5: Hormonal Control of Osmoregulatory Functions
      1. 41.5.0: Epinephrine and Norepinephrine
      2. 41.5.1: Other Hormonal Controls for Osmoregulation
  42. 42: The Immune System
    1. 42.1: Innate Immune Response
      1. 42.1.0: Innate Immune Response
      2. 42.1.1: Physical and Chemical Barriers
      3. 42.1.2: Pathogen Recognition
      4. 42.1.3: Natural Killer Cells
      5. 42.1.4: The Complement System
    2. 42.2: Adaptive Immune Response
      1. 42.2.0: Antigen-presenting Cells: B and T cells
      2. 42.2.1: Humoral Immune Response
      3. 42.2.2: Cell-Mediated Immunity
      4. 42.2.3: Cytotoxic T Lymphocytes and Mucosal Surfaces
      5. 42.2.4: Immunological Memory
      6. 42.2.5: Regulating Immune Tolerance
    3. 42.3: Antibodies
      1. 42.3.0: Antibody Structure
      2. 42.3.1: Antibody Functions
    4. 42.4: Disruptions in the Immune System
      1. 42.4.0: Immunodeficiency
      2. 42.4.1: Hypersensitivities
  43. 43: Animal Reproduction and Development
    1. 43.1: Reproduction Methods
      1. 43.1.0: Methods of Reproducing
      2. 43.1.1: Types of Sexual and Asexual Reproduction
      3. 43.1.2: Sex Determination
    2. 43.2: Fertilization
      1. 43.2.0: External and Internal Fertilization
      2. 43.2.1: The Evolution of Reproduction
    3. 43.3: Human Reproductive Anatomy and Gametogenesis
      1. 43.3.0: Male Reproductive Anatomy
      2. 43.3.1: Female Reproductive Anatomy
      3. 43.3.2: Gametogenesis (Spermatogenesis and Oogenesis)
    4. 43.4: Hormonal Control of Human Reproduction
      1. 43.4.0: Male Hormones
      2. 43.4.1: Female Hormones
    5. 43.5: Fertilization and Early Embryonic Development
      1. 43.5.0: Fertilization
      2. 43.5.1: Cleavage, the Blastula Stage, and Gastrulation
    6. 43.6: Organogenesis and Vertebrate Formation
      1. 43.6.0: Organogenesis
      2. 43.6.1: Vertebrate Axis Formation
    7. 43.7: Human Pregnancy and Birth
      1. 43.7.0: Human Gestation
      2. 43.7.1: Labor and Birth
      3. 43.7.2: Contraception and Birth Control
      4. 43.7.3: Infertility
  44. 44: Ecology and the Biosphere
    1. 44.1: The Scope of Ecology
      1. 44.1.0: Introduction to Ecology
      2. 44.1.1: Organismal Ecology and Population Ecology
      3. 44.1.2: Community Ecology and Ecosystem Ecology
    2. 44.2: Biogeography
      1. 44.2.0: Biogeography
      2. 44.2.1: Energy Sources
      3. 44.2.2: Temperature and Water
      4. 44.2.3: Inorganic Nutrients and Other Factors
      5. 44.2.4: Abiotic Factors Influencing Plant Growth
    3. 44.3: Terrestrial Biomes
      1. 44.3.0: What constitutes a biome?
      2. 44.3.1: Tropical Wet Forest and Savannas
      3. 44.3.2: Subtropical Deserts and Chaparral
      4. 44.3.3: Temperate Grasslands
      5. 44.3.4: Temperate Forests
      6. 44.3.5: Boreal Forests and Arctic Tundra
    4. 44.4: Aquatic Biomes
      1. 44.4.0: Abiotic Factors Influencing Aquatic Biomes
      2. 44.4.1: Marine Biomes
      3. 44.4.2: Estuaries: Where the Ocean Meets Fresh Water
      4. 44.4.3: Freshwater Biomes
    5. 44.5: Climate and the Effects of Global Climate Change
      1. 44.5.0: Climate and Weather
      2. 44.5.1: Causes of Global Climate Change
      3. 44.5.2: Evidence of Global Climate Change
      4. 44.5.3: Past and Present Effects of Climate Change
  45. 45: Population and Community Ecology
    1. 45.1: Population Demography
      1. 45.1.0: Population Demography
      2. 45.1.1: Population Size and Density
      3. 45.1.2: Species Distribution
      4. 45.1.3: The Study of Population Dynamics
    2. 45.2: Environmental Limits to Population Growth
      1. 45.2.0: Exponential Population Growth
      2. 45.2.1: Logistic Population Growth
      3. 45.2.2: Density-Dependent and Density-Independent Population Regulation
    3. 45.3: Life History Patterns
      1. 45.3.0: Life History Patterns and Energy Budgets
      2. 45.3.1: Theories of Life History
    4. 45.4: Human Population Growth
      1. 45.4.0: Human Population Growth
      2. 45.4.1: Overcoming Density-Dependent Regulation
      3. 45.4.2: Age Structure, Population Growth, and Economic Development
    5. 45.5: Community Ecology
      1. 45.5.0: The Role of Species within Communities
      2. 45.5.1: Predation, Herbivory, and the Competitive Exclusion Principle
      3. 45.5.2: Symbiosis
      4. 45.5.3: Ecological Succession
    6. 45.6: Innate Animal Behavior
      1. 45.6.0: Introduction to Animal Behavior
      2. 45.6.1: Movement and Migration
      3. 45.6.2: Animal Communication and Living in Groups
      4. 45.6.3: Altruism and Populations
      5. 45.6.4: Mating Systems and Sexual Selection
    7. 45.7: Learned Animal Behavior
      1. 45.7.0: Simple Learned Behaviors
      2. 45.7.1: Conditioned Behavior
      3. 45.7.2: Cognitive Learning and Sociobiology
  46. 46: Ecosystems
    1. 46.1: Ecology of Ecosystems
      1. 46.1.0: Ecosystem Dynamics
      2. 46.1.1: Food Chains and Food Webs
      3. 46.1.2: Studying Ecosystem Dynamics
      4. 46.1.3: Modeling Ecosystem Dynamics
    2. 46.2: Energy Flow through Ecosystems
      1. 46.2.0: Strategies for Acquiring Energy
      2. 46.2.1: Productivity within Trophic Levels
      3. 46.2.2: Transfer of Energy between Trophic Levels
      4. 46.2.3: Ecological Pyramids
      5. 46.2.4: Biological Magnification
    3. 46.3: Biogeochemical Cycles
      1. 46.3.0: Biogeochemical Cycles
      2. 46.3.1: The Water (Hydrologic) Cycle
      3. 46.3.2: The Carbon Cycle
      4. 46.3.3: The Nitrogen Cycle
      5. 46.3.4: The Phosphorus Cycle
      6. 46.3.5: The Sulfur Cycle
  47. 47: Conservation Biology and Biodiversity
    1. 47.1: The Biodiversity Crisis
      1. 47.1.0: Loss of Biodiversity
      2. 47.1.1: Types of Biodiversity
      3. 47.1.2: Biodiversity Change through Geological Time
      4. 47.1.3: The Pleistocene Extinction
      5. 47.1.4: Present-Time Extinctions
    2. 47.2: The Importance of Biodiversity to Human Life
      1. 47.2.0: Human Health and Biodiversity
      2. 47.2.1: Agricultural Diversity
      3. 47.2.2: Managing Fisheries
    3. 47.3: Threats to Biodiversity
      1. 47.3.0: Habitat Loss and Sustainability
      2. 47.3.1: Overharvesting
      3. 47.3.2: Exotic Species
      4. 47.3.3: Climate Change and Biodiversity
    4. 47.4: Preserving Biodiversity
      1. 47.4.0: Measuring Biodiversity
      2. 47.4.1: Changing Human Behavior in Response to Biodiversity Loss
      3. 47.4.2: Ecological Restoration

42.1: Innate Immune Response

42.1.1: Innate Immune Response

The immune system serves to defend against pathogens: microorganisms that attempt to invade and cause disease in a host.

Learning Objective

Explain the purpose of the immune system

Key Points

  • The mammalian immune system has evolved an extremely-diverse array of specialized cells and soluble molecules that allow it to defend against a variety of pathogens, including bacteria, protists, fungi, and other infectious organisms.
  • The innate immune response serves as a general defense against all pathogens, but has no capacity to adapt or learn when new pathogens attack.
  • The adaptive immune response has a "memory" about previously encountered pathogens and is able to mount pathogen-specific defenses based on this memory.

Key Terms

immune system

the system that differentiates self from non-self and protects the body from foreign substances and pathogenic organisms by producing an immune response

pathogen

any organism or substance, especially a microorganism, capable of causing disease, such as bacteria, viruses, protozoa, or fungi

The environment surrounding all of us consists of numerous pathogens: agents (usually microorganisms) that cause disease(s) in their hosts. A host is the organism that is invaded and often harmed by a pathogen. Pathogens, which include bacteria, protists, fungi, and other infectious organisms, can be found in food and water, on surfaces, and in the air. Concern over pathogens is one of the main reasons that we wash our hands after going to the bathroom or touching raw meat.

Mammalian immune systems evolved for protection from such pathogens. They are composed of an extremely-diverse array of specialized cells and soluble molecules that coordinate a rapid, flexible defense system capable of providing protection from a majority of these disease agents . Central to this goal, the immune system must be capable of recognizing "self" from "other" so that when it destroys cells, it destroys pathogen cells and not host cells.

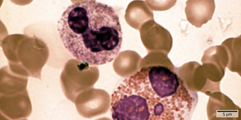
Neutrophils and eosinophils

Neutrophils and eosinophils

In this compound light micrograph, purple-stained neutrophil (upper left) and eosinophil (lower right) are white blood cells that float among red blood cells in this blood smear. Neutrophils provide an early, rapid, and nonspecific defense against invading pathogens. Eosinophils play a variety of roles in the immune response.

The immune response that defends against pathogens can be classified as either innate or active. The innate immune response is present in its final state from birth and attempts to defend against all pathogens. Conversely, the adaptive immune response stores information about past infections and mounts pathogen-specific defenses. It expands over time, gaining more information about past targets so that it can respond quickly to future pathogens. The adaptive immune response functions throughout the body to combat specific pathogens that it has encountered before (a process known as reactivation). However, we are born with only innate immunity, developing our adaptive immune response after birth.

Components of both immune systems constantly search the body for signs of pathogens. When pathogens are found, immune factors are mobilized to the site of an infection. The immune factors identify the nature of the pathogen, strengthen the corresponding cells and molecules to combat it efficiently, and then halt the immune response after the infection is cleared to avoid unnecessary host cell damage. Features of the immune system (e.g., pathogen identification, specific response, amplification, retreat, and remembrance) are essential for survival against pathogens.

42.1.2: Physical and Chemical Barriers

The innate immune response has physical and chemical barriers that exist as the first line of defense against infectious pathogens.

Learning Objective

Describe physical and chemical barriers in the innate immune response

Key Points

  • The skin, or epithelial surface, serves as the primary barrier to microbial entry into the body; skin peeling, drying out, and the skin's acidity all serve to dislodge or kill foreign pathogens.
  • Orifices such as the eyes and mouth, which are not covered by skin, have other mechanisms by which they prevent entry; tears wash away microbes, while cilia in the nasal passages and respiratory tract push mucus (which traps pathogens) out of the body.
  • Many chemical barriers also exist once pathogens make it past the outer physical barriers; the acidity of the stomach ensures that few organisms arriving with food survive the digestive system.

Key Terms

microbicidal

functioning to reduce the infectivity of microbes

cilium

a hairlike organelle projecting from a eukaryotic cell (such as unicellular organism or one cell of a multicelled organism), which serves either for locomotion by moving or as sensors

Physical and chemical barriers

The immune system comprises both innate and adaptive immune responses. Innate immunity occurs naturally due to genetic factors or physiology. It is not induced by infection or vaccination, but is constantly available to reduce the workload for the adaptive immune response. The adaptive immune response expands over time, storing information about past infections and mounting pathogen-specific defenses. Both the innate and adaptive levels of the immune response involve secreted proteins, receptor-mediated signaling, and intricate cell-to-cell communication. From an historical perspective, the innate immune system developed early in animal evolution, roughly a billion years ago, as an essential response to infection. In the innate immune response, any pathogenic threat triggers a consistent sequence of events that can identify the type of pathogen and either clear the infection independently or mobilize a highly-specialized adaptive immune response.

Before any immune factors are triggered, the skin (also known as the epithelial surface) functions as a continuous, impassable barrier to potentially-infectious pathogens . The skin is considered the first defense of the innate immune system; it is the first of the nonspecific barrier defenses. Pathogens are killed or inactivated on the skin by desiccation (drying out) and by the skin's acidity. In addition, beneficial microorganisms that coexist on the skin compete with invading pathogens, preventing infection. Desquamation, or peeling skin, also serves to dislodge organisms that have adhered to the surface of the body and are awaiting entry. Regions of the body that are not protected by skin (such as the eyes and mucous membranes) have alternative methods of defense. These include tears in the eyes; mucous membranes that provide partial protection despite having to allow absorption and secretion; mucus secretions that trap and rinse away pathogens; and cilia (singular cilium) in the nasal passages and respiratory tract that push the mucus with the pathogens out of the body . Furthermore, tears and mucus secretions contain microbicidal factors that prevent many infections from entering via these routes.

Cilia up close

Cilia up close

Cilia are a type of organelle found in eukaryotic cells. In the innate immune system, they serve to move pathogens out of the respiratory system via a concerted sweeping motion.

Despite these barriers, pathogens may enter the body through skin abrasions or punctures, or by collecting on mucosal surfaces in large numbers that overcome the mucus or cilia. Some pathogens have evolved specific mechanisms that allow them to overcome physical and chemical barriers.

Once inside, the body still has many other defenses, including chemical barriers. Some of these include the low pH of the stomach, which inhibits the growth of pathogens; blood proteins that bind and disrupt bacterial cell membranes; and the process of urination, which flushes pathogens from the urinary tract. The blood-brain barrier also protects the nervous system from pathogens that have already entered the blood stream, but would do significantly more damage if they entered the central nervous system.

42.1.3: Pathogen Recognition

Upon pathogen entry to the body, the innate immune system uses several mechanisms to destroy the pathogen and any cells it has infected.

Learning Objective

Describe the role of PAMPs and PRRs, interferons, and other cytokines in innate immunity

Key Points

  • Pathogens are recognized by a variety of immune cells, such as macrophages and dendritic cells, via pathogen-associated molecular patterns (PAMPs) on the pathogen surface, which interact with complementary pattern-recognition receptors (PRRs) on the immune cells' surfaces.
  • Upon binding of PRRs with PAMPs (pathogen recognition), immune cells release cytokines to tell other cells to start fighting back.
  • One class of cytokines, interferons, warn nearby uninfected cells of impending infection, cause cells to start cleaving RNA and reduce protein synthesis, and signal nearby infected cells to undergo apoptosis.
  • Another class of cytokines, called inerleukins, mediate interactions between white blood cells (leukocytes) and help bridge the innate and adaptive immune responses.
  • Inflammation (hot, red, swollen, painful tissue associated with infection) is encouraged by cytokines that are produced immediately upon pathogen recognition; the increase in blood flow associated with inflammation allows more leukocytes (a type of innate immune cell) to reach the infected area.

Key Terms

phagocytosis

the process where a cell incorporates a particle by extending pseudopodia and drawing the particle into a vacuole of its cytoplasm

cytokine

any of various small regulatory proteins that regulate the cells of the immune system; they are released upon binding of PRRs to PAMPS

macrophage

a white blood cell that phagocytizes necrotic cell debris and foreign material, including viruses, bacteria, and tattoo ink; part of the innate immune system

Pathogen recognition

When a pathogen enters the body, cells in the blood and lymph detect the specific pathogen-associated molecular patterns (PAMPs) on the pathogen's surface. PAMPs are carbohydrate, polypeptide, and nucleic acid "signatures" that are expressed by viruses, bacteria, and parasites, but which differ from molecules on host cells. These PAMPs allow the immune system to recognize "self" from "other" so as not to destroy the host.

The immune system has specific cells with receptors that recognize these PAMPs . A macrophage is a large, phagocytic cell that engulfs foreign particles and pathogens. Macrophages recognize PAMPs via complementary pattern recognition receptors (PRRs). PRRs are molecules on macrophages and dendritic cells which are in contact with the external environment and can thus recognize PAMPs when present. A monocyte, a type of leukocyte (white blood cell) that circulates in the blood and lymph, differentiates into macrophages after it moves into infected tissue . Dendritic cells bind molecular signatures of pathogens, promoting pathogen engulfment and destruction.

Blood cells related to the innate immune response

Blood cells related to the innate immune response

Cells of the blood include (1) monocytes, (2) lymphocytes, (3) neutrophils, (4) red blood cells, and (5) platelets. Leukocytes (1, 2, 3) are white blood cells that play an important role in the body's immune system.

Cells involved in the innate immune system

Cells involved in the innate immune system

The immune system has specific cells whose job is to recognize pathogen-associated molecular patterns. The characteristics and location of cells involved in the innate immune system are described in this chart.

Once a pathogen is detected, the immune system must also track whether it is replicating intracellularly (inside the cell, as with most viruses and some bacteria) or extracellularly (outside of the cell, as with other bacteria, but not viruses). The innate immune system must respond accordingly by identifying the extracellular pathogen and/or by identifying host cells that have already been infected.

Cytokine release affect

The binding of PRRs with PAMPs triggers the release of cytokines, which signal that a pathogen is present and needs to be destroyed along with any infected cells. A cytokine is a chemical messenger that regulates cell differentiation (form and function), proliferation (production), and gene expression to affect immune responses. At least 40 types of cytokines exist in humans that differ in terms of the cell type that produces them, the cell type that responds to them, and the changes they produce.

One subclass of cytokines is the interleukin (IL), which mediates interactions between leukocytes (white blood cells). Interleukins are involved in bridging the innate and adaptive immune responses. In addition to being released from cells after PAMP recognition, cytokines are released by the infected cells which bind to nearby uninfected cells, inducing those cells to release cytokines, resulting in a cytokine burst.

A second class of cytokines is interferons , which are released by infected cells as a warning to nearby uninfected cells. A function an interferons is to inhibit viral replication, making them particularly effective against viruses. They also have other important functions, such as tumor surveillance. Interferons work by signaling neighboring uninfected cells to destroy RNA (often a very important biomolecule for viruses) and reduce protein synthesis; signaling neighboring infected cells to undergo apoptosis (programmed cell death); and activating immune cells.

Interferon release

Interferon release

Interferons are cytokines that are released by a cell infected with a virus. The response of neighboring cells to interferons helps stem the infection.

Cytokines also send feedback to cells of the nervous system to bring about the overall symptoms of feeling sick, which include lethargy, muscle pain, and nausea. These effects may have evolved because the symptoms encourage the individual to rest, preventing them from spreading the infection to others. Cytokines also increase the core body temperature, causing a fever, which causes the liver to withhold iron from the blood. Without iron, certain pathogens (such as some bacteria) are unable to replicate; this is called nutritional immunity.

Phagocytosis and inflammation

The first cytokines to be produced are pro-inflammatory; that is, they encourage inflammation, or the localized redness, swelling (edema), heat, loss of function, and pain that result from the movement of leukocytes and fluid through increasingly-permeable capillaries to a site of infection. The population of leukocytes that arrives at an infection site depends on the nature of the infecting pathogen. Both macrophages and dendritic cells engulf pathogens and cellular debris through phagocytosis. A neutrophil is also a phagocytic leukocyte that engulfs and digests pathogens . Neutrophils, the most-abundant leukocytes of the immune system, have a nucleus with two to five lobes and contain organelles (lysosomes) that digest engulfed pathogens. An eosinophil is a leukocyte that works with other eosinophils to surround a parasite. It is involved in the allergic response and in protection against helminthes (parasitic worms).

Neutrophils and eosinophils are particularly important leukocytes that engulf large pathogens, such as bacteria and fungi. A mast cell is a leukocyte that produces inflammatory molecules, such as histamine, in response to large pathogens. A basophil is a leukocyte that, like a neutrophil, releases chemicals to stimulate the inflammatory response . Basophils are also involved in allergy and hypersensitivity responses and induce specific types of inflammatory responses. Eosinophils and basophils produce additional inflammatory mediators to recruit more leukocytes. A hypersensitive immune response to harmless antigens, such as in pollen, often involves the release of histamine by basophils and mast cells; this is why many anti-allergy medications are anti-histamines.

Innate immune response to cuts

Innate immune response to cuts

In response to a cut, mast cells secrete histamines that cause nearby capillaries to dilate. Neutrophils and monocytes leave the capillaries. Monocytes mature into macrophages. Neutrophils, dendritic cells, and macrophages release chemicals to stimulate the inflammatory response. Neutrophils and macrophages also consume invading bacteria by phagocytosis.

42.1.4: Natural Killer Cells

Natural killer cells are part of the innate immune response that recognize abnormal MHC I molecules on infected/tumor cells and kill them.

Learning Objective

Describe the role of natural killer cells in the immune response

Key Points

  • Natural killer (NK) cells are lymphocytes (a subclass of white blood cells) that recognize infected or tumorogenic cells and kill them.
  • Unlike the related T cells, NK cells do not recognize fragments of the infecting particle, but rather the incorrect display of major histocompatibility complex (MHC) I molecules.
  • NK cells are always active, but will not perform their killing function on cells with intact MHC I molecules.
  • When NK cells detect an infected or tumor cell, they secrete granules that contain perforin, creating a pore in the target cell; granzymes then pass through these pores, degrading cellular proteins, causing cells to undergo apoptosis.

Key Terms

T cell

a lymphocyte, from the thymus, that can recognize specific antigens and can activate or deactivate other immune cells

major histocompatibility complex

a protein present on the extracellular surface of the cell that displays portions of the proteins that are degraded inside the cell

lymphocyte

a type of white blood cell or leukocyte that is divided into two principal groups and a null group: B-cells, T-cells, and natural killer (NK) cells

Natural killer cells

Lymphocytes are leukocytes (white blood cells) that are histologically identifiable by their large, darkly-staining nuclei; they are small cells with very little cytoplasm . After a pathogen enters the body, infected cells are identified and destroyed by natural killer (NK) cells, which are a type of lymphocyte that can kill cells infected with viruses or tumor cells (abnormal cells that uncontrollably divide and invade other tissue). While NK cells are part of the innate immune response, they are best understood relative to their counterparts in the adaptive immune response,T cells, which are also classified as lymphocytes.

T cells are lymphocytes that mature in the thymus gland and identify intracellular infections, especially from viruses, by the altered expression of major histocompatibility class (MHC) I molecules on the surface of infected cells. MHC I molecules are proteins on the surfaces of all nucleated cells which help the immune system distinguish between "self" and "non-self." If the cell is infected, the MHC I molecules display fragments of proteins from the infectious agents to T-cells. Healthy cells do not display any proteins and will be ignored by the immune system, while the cells identified as "non-self" by foreign proteins will be attacked by the immune system.

Lymphocytes

Lymphocytes

Lymphocytes, such as NK cells, are characterized by their large nuclei that actively absorb Wright stain and, therefore, appear dark colored under a microscope.

An infected cell (or a tumor cell) is often incapable of synthesizing and displaying MHC I molecules appropriately. The metabolic resources of cells infected by some viruses produce proteins that interfere with MHC I processing and/or trafficking to the cell surface. The reduced MHC I on host cells varies from virus to virus and results from active inhibitors being produced by the viruses. This process can deplete host MHC I molecules on the cell surface, which prevents T-cells from recognizing them, but which NK cells detect as "unhealthy" or "abnormal" while searching for cellular MHC I molecules. As such, NK cells offer a complementary check for unhealthy cells, relative to T cells. Similarly, the dramatically-altered gene expression of tumor cells leads to expression of extremely- deformed or absent MHC I molecules that also signal "unhealthy" or "abnormal."

NK cells are always active; an interaction with normal, intact MHC I molecules on a healthy cell disables the killing sequence, causing the NK cell to move on. After the NK cell detects an infected or tumor cell, its cytoplasm secretes granules comprised of perforin: a destructive protein that creates a pore in the target cell. Granzymes are released along with the perforin in the immunological synapse. A granzyme, a protease that digests cellular proteins, induces the target cell to undergo programmed cell death, or apoptosis. Phagocytic cells then digest the cell debris left behind. NK cells are constantly patrolling the body. They are an effective mechanism for controlling potential infections and preventing cancer progression.

42.1.5: The Complement System

Around 20 soluble proteins comprise the complement system, which helps destroy extracellular microorganisms that have invaded the body.

Learning Objective

Explain how the complement system aids antibody response

Key Points

  • The complement system is so named because it is complementary to the antibody response of the adaptive immune system.
  • The complement system proteins are produced continuously by the liver and macrophages, are abundant in the blood serum, and are capable of immediate response to infecting microorganisms.
  • The complement system works by first having several proteins bind to a target; this binding event then begins a series of highly-specific and regulated sequences wherein successive proteins are activated by cleavage and/or structural changes of the preceding proteins.
  • The complement system serves as a marker to indicate targets for phagocytic cells; complement proteins can also combine to form attack complexes capable of opening pores in microbial cell membranes.

Key Terms

opsonization

the process by which a pathogen is marked for ingestion and destruction by a phagocyte

complement system

an aspect of the innate immune system that supplements the actions of the antibodies and phagocytic cells in clearing out pathogens from an organism

Complement

The innate immune system serves as a first responder to pathogenic threats that bypass natural physical and chemical barriers of the body. Using a combination of cellular and molecular attacks, the innate immune system identifies the nature of a pathogen and responds with inflammation, phagocytosis (where a cell engulfs a foreign particle), cytokine release, destruction by NK cells, and/or a complement system. In this concept, we will discuss the complement system.

An array of approximately 20 types of soluble proteins, called a complement system, functions to destroy extracellular pathogens. Cells of the liver and macrophages synthesize complement proteins continuously. These proteins are abundant in the blood serum and are capable of responding immediately to infecting microorganisms. The complement system is so named because it is complementary to the antibody response of the adaptive immune system. Complement proteins bind to the surfaces of microorganisms and are particularly attracted to pathogens that are already bound by antibodies. Binding of complement proteins occurs in a specific and highly-regulated sequence, with each successive protein being activated by cleavage and/or structural changes induced upon binding of the preceding protein(s). After the first few complement proteins bind, a cascade of sequential binding events follows in which the pathogen rapidly becomes coated in complement proteins.

Complement proteins perform several functions. They serve as a marker to indicate the presence of a pathogen to phagocytic cells, such as macrophages and B cells, to enhance engulfment. This process is called opsonization. Certain complement proteins can combine to form attack complexes that open pores in microbial cell membranes. These structures destroy pathogens by causing their contents to leak . When innate mechanisms are insufficient to clear an infection, the adaptive immune response is informed and mobilized.

Complement cascade in the innate immune response

Complement cascade in the innate immune response

The classic pathway for the complement cascade involves the attachment of several initial complement proteins to an antibody-bound pathogen, followed by rapid activation and binding of many more complement proteins and the creation of destructive pores in the microbial cell envelope and cell wall. The alternate pathway does not involve antibody activation. Rather, C3 convertase spontaneously breaks down C3. Endogenous regulatory proteins prevent the complement complex from binding to host cells. Pathogens lacking these regulatory proteins are lysed.

Attributions

  • Innate Immune Response
    • "Boundless." http://www.boundless.com/. Boundless Learning CC BY-SA 3.0.
    • "pathogen." http://en.wiktionary.org/wiki/pathogen. Wiktionary CC BY-SA 3.0.
    • "immune system." http://en.wiktionary.org/wiki/immune_system. Wiktionary CC BY-SA 3.0.
    • "OpenStax College, Biology. October 17, 2013." http://cnx.org/content/m44817/latest/?collection=col11448/latest. OpenStax CNX CC BY 3.0.
    • "OpenStax College, Introduction. October 17, 2013." http://cnx.org/content/m44817/latest/Figure_42_00_01.jpg. OpenStax CNX CC BY 3.0.
  • Physical and Chemical Barriers
    • "OpenStax College, Biology. October 17, 2013." http://openstaxcollege.org/textbooks/biology. OpenStax CNX CC BY-SA 3.0.
    • "Innate immune system." http://en.wikipedia.org/wiki/Innate_immune_system. Wikipedia CC BY-SA 3.0.
    • "cilium." http://en.wiktionary.org/wiki/cilium. Wiktionary CC BY-SA 3.0.
    • "microbicidal." http://en.wiktionary.org/wiki/microbicidal. Wiktionary CC BY-SA 3.0.
    • "OpenStax College, Biology. December 4, 2013." http://cnx.org/content/m44820/latest/?collection=col11448/latest. OpenStax CNX CC BY 3.0.
    • "OpenStax College, Biology. October 17, 2013." http://cnx.org/content/m44820/latest/?collection=col11448/latest. OpenStax CNX CC BY 3.0.
    • "Bronchiolar epithelium 3 - SEM." http://en.wikipedia.org/wiki/File:Bronchiolar_epithelium_3_-_SEM.jpg. Wikipedia Public domain.
  • Pathogen Recognition
    • "Boundless." http://www.boundless.com/. Boundless Learning CC BY-SA 3.0.
    • "phagocytosis." http://en.wiktionary.org/wiki/phagocytosis. Wiktionary CC BY-SA 3.0.
    • "macrophage." http://en.wiktionary.org/wiki/macrophage. Wiktionary CC BY-SA 3.0.
    • "OpenStax College, Biology. October 17, 2013." http://cnx.org/content/m44820/latest/?collection=col11448/latest. OpenStax CNX CC BY 3.0.
    • "cytokine." http://en.wiktionary.org/wiki/cytokine. Wiktionary CC BY-SA 3.0.
    • "OpenStax College, Innate Immune Response. October 17, 2013." http://cnx.org/content/m44820/latest/Figure_42_01_04.jpg. OpenStax CNX CC BY 3.0.
    • "OpenStax College, Innate Immune Response. October 17, 2013." http://cnx.org/content/m44820/latest/Figure_42_01_03.jpg. OpenStax CNX CC BY 3.0.
    • "OpenStax College, Innate Immune Response. October 17, 2013." http://cnx.org/content/m44820/latest/Figure_42_01_01.jpg. OpenStax CNX CC BY 3.0.
    • "OpenStax College, Innate Immune Response. October 17, 2013." http://cnx.org/content/m44820/latest/Figure_42_01_02.jpg. OpenStax CNX CC BY 3.0.
  • Natural Killer Cells
    • "Boundless." http://www.boundless.com/. Boundless Learning CC BY-SA 3.0.
    • "lymphocyte." http://en.wiktionary.org/wiki/lymphocyte. Wiktionary CC BY-SA 3.0.
    • "T cell." http://en.wiktionary.org/wiki/T_cell. Wiktionary CC BY-SA 3.0.
    • "major histocompatibility complex." http://en.wiktionary.org/wiki/major+histocompatibility+complex. Wiktionary CC BY-SA 3.0.
    • "OpenStax College, Biology. October 17, 2013." http://cnx.org/content/m44820/latest/?collection=col11448/latest. OpenStax CNX CC BY 3.0.
    • "OpenStax College, Innate Immune Response. October 17, 2013." http://cnx.org/content/m44820/latest/Figure_42_01_05.jpg. OpenStax CNX CC BY 3.0.
  • The Complement System
    • "Boundless." http://www.boundless.com/. Boundless Learning CC BY-SA 3.0.
    • "opsonization." http://en.wikipedia.org/wiki/opsonization. Wikipedia CC BY-SA 3.0.
    • "complement system." http://en.wiktionary.org/wiki/complement_system. Wiktionary CC BY-SA 3.0.
    • "OpenStax College, Biology. October 17, 2013." http://cnx.org/content/m44820/latest/?collection=col11448/latest. OpenStax CNX CC BY 3.0.
    • "OpenStax College, Innate Immune Response. October 17, 2013." http://cnx.org/content/m44820/latest/Figure_42_01_06.jpg. OpenStax CNX CC BY 3.0.

Annotate

Next Chapter
42.2: Adaptive Immune Response
PreviousNext
Biology
Powered by Manifold Scholarship. Learn more at
Opens in new tab or windowmanifoldapp.org