Skip to main content

Boundless Biology: 39.4: Transport of Gases in Human Bodily Fluids

Boundless Biology
39.4: Transport of Gases in Human Bodily Fluids
  • Show the following:

    Annotations
    Resources
  • Adjust appearance:

    Font
    Font style
    Color Scheme
    Light
    Dark
    Annotation contrast
    Low
    High
    Margins
  • Search within:
    • Notifications
    • Privacy
  • Project HomeNatural Sciences Collection: Anatomy, Biology, and Chemistry
  • Projects
  • Learn more about Manifold

Notes

table of contents
  1. 1: The Study of Life
    1. 1.1: The Science of Biology
      1. 1.1.0: Introduction to the Study of Biology
      2. 1.1.1: Scientific Reasoning
      3. 1.1.2: The Scientific Method
      4. 1.1.3: Basic and Applied Science
      5. 1.1.4: Publishing Scientific Work
      6. 1.1.5: Branches and Subdisciplines of Biology
    2. 1.2: Themes and Concepts of Biology
      1. 1.2.0: Properties of Life
      2. 1.2.1: Levels of Organization of Living Things
      3. 1.2.2: The Diversity of Life
  2. 2: The Chemical Foundation of Life
    1. 2.1: Atoms, Isotopes, Ions, and Molecules
      1. 2.1.0: Overview of Atomic Structure
      2. 2.1.1: Atomic Number and Mass Number
      3. 2.1.2: Isotopes
      4. 2.1.3: The Periodic Table
      5. 2.1.4: Electron Shells and the Bohr Model
      6. 2.1.5: Electron Orbitals
      7. 2.1.6: Chemical Reactions and Molecules
      8. 2.1.7: Ions and Ionic Bonds
      9. 2.1.8: Covalent Bonds and Other Bonds and Interactions
      10. 2.1.9: Hydrogen Bonding and Van der Waals Forces
    2. 2.2: Water
      1. 2.2.0: Water’s Polarity
      2. 2.2.1: Water’s States: Gas, Liquid, and Solid
      3. 2.2.2: Water’s High Heat Capacity
      4. 2.2.3: Water’s Heat of Vaporization
      5. 2.2.4: Water’s Solvent Properties
      6. 2.2.5: Water’s Cohesive and Adhesive Properties
      7. 2.2.6: pH, Buffers, Acids, and Bases
    3. 2.3: Carbon
      1. 2.3.0: The Chemical Basis for Life
      2. 2.3.1: Hydrocarbons
      3. 2.3.2: Organic Isomers
      4. 2.3.3: Organic Enantiomers
      5. 2.3.4: Organic Molecules and Functional Groups
  3. 3: Biological Macromolecules
    1. 3.1: Synthesis of Biological Macromolecules
      1. 3.1.0: Types of Biological Macromolecules
      2. 3.1.1: Dehydration Synthesis
      3. 3.1.2: Hydrolysis
    2. 3.2: Carbohydrates
      1. 3.2.0: Carbohydrate Molecules
      2. 3.2.1: Importance of Carbohydrates
    3. 3.3: Lipids
      1. 3.3.0: Lipid Molecules
      2. 3.3.1: Waxes
      3. 3.3.2: Phospholipids
      4. 3.3.3: Steroids
    4. 3.4: Proteins
      1. 3.4.0: Types and Functions of Proteins
      2. 3.4.1: Amino Acids
      3. 3.4.2: Protein Structure
      4. 3.4.3: Denaturation and Protein Folding
    5. 3.5: Nucleic Acids
      1. 3.5.0: DNA and RNA
      2. 3.5.1: The DNA Double Helix
      3. 3.5.2: DNA Packaging
      4. 3.5.3: Types of RNA
  4. 4: Cell Structure
    1. 4.1: Studying Cells
      1. 4.1.0: Cells as the Basic Unit of Life
      2. 4.1.1: Microscopy
      3. 4.1.2: Cell Theory
      4. 4.1.3: Cell Size
    2. 4.2: Prokaryotic Cells
      1. 4.2.0: Characteristics of Prokaryotic Cells
    3. 4.3: Eukaryotic Cells
      1. 4.3.0: Characteristics of Eukaryotic Cells
      2. 4.3.1: The Plasma Membrane and the Cytoplasm
      3. 4.3.2: The Nucleus and Ribosomes
      4. 4.3.3: Mitochondria
      5. 4.3.4: Comparing Plant and Animal Cells
    4. 4.4: The Endomembrane System and Proteins
      1. 4.4.0: Vesicles and Vacuoles
      2. 4.4.1: The Endoplasmic Reticulum
      3. 4.4.2: The Golgi Apparatus
      4. 4.4.3: Lysosomes
      5. 4.4.4: Peroxisomes
    5. 4.5: The Cytoskeleton
      1. 4.5.0: Microfilaments
      2. 4.5.1: Intermediate Filaments and Microtubules
    6. 4.6: Connections between Cells and Cellular Activities
      1. 4.6.0: Extracellular Matrix of Animal Cells
      2. 4.6.1: Intercellular Junctions
  5. 5: Structure and Function of Plasma Membranes
    1. 5.1: Components and Structure
      1. 5.1.0: Components of Plasma Membranes
      2. 5.1.1: Fluid Mosaic Model
      3. 5.1.2: Membrane Fluidity
    2. 5.2: Passive Transport
      1. 5.2.0: The Role of Passive Transport
      2. 5.2.1: Selective Permeability
      3. 5.2.2: Diffusion
      4. 5.2.3: Facilitated transport
      5. 5.2.4: Osmosis
      6. 5.2.5: Tonicity
      7. 5.2.6: Osmoregulation
    3. 5.3: Active Transport
      1. 5.3.0: Electrochemical Gradient
      2. 5.3.1: Primary Active Transport
      3. 5.3.2: Secondary Active Transport
    4. 5.4: Bulk Transport
      1. 5.4.0: Endocytosis
      2. 5.4.1: Exocytosis
  6. 6: Metabolism
    1. 6.1: Energy and Metabolism
      1. 6.1.0: The Role of Energy and Metabolism
      2. 6.1.1: Types of Energy
      3. 6.1.2: Metabolic Pathways
      4. 6.1.3: Metabolism of Carbohydrates
    2. 6.2: Potential, Kinetic, Free, and Activation Energy
      1. 6.2.0: Free Energy
      2. 6.2.1: The First Law of Thermodynamics
      3. 6.2.2: The Second Law of Thermodynamics
      4. 6.2.3: Activation Energy
    3. 6.3: ATP: Adenosine Triphosphate
      1. 6.3.0: ATP: Adenosine Triphosphate
    4. 6.4: Enzymes
      1. 6.4.0: Enzyme Active Site and Substrate Specificity
      2. 6.4.1: Control of Metabolism Through Enzyme Regulation
  7. 7: Cellular Respiration
    1. 7.1: Energy in Living Systems
      1. 7.1.0: Transforming Chemical Energy
      2. 7.1.1: Electrons and Energy
      3. 7.1.2: ATP in Metabolism
    2. 7.2: Glycolysis
      1. 7.2.0: Importance of Glycolysis
      2. 7.2.1: The Energy-Requiring Steps of Glycolysis
      3. 7.2.2: The Energy-Releasing Steps of Glycolysis
      4. 7.2.3: Outcomes of Glycolysis
    3. 7.3: Oxidation of Pyruvate and the Citric Acid Cycle
      1. 7.3.0: Breakdown of Pyruvate
      2. 7.3.1: Acetyl CoA to CO2
      3. 7.3.2: Citric Acid Cycle
    4. 7.4: Oxidative Phosphorylation
      1. 7.4.0: Electron Transport Chain
      2. 7.4.1: Chemiosmosis and Oxidative Phosphorylation
      3. 7.4.2: ATP Yield
    5. 7.5: Metabolism without Oxygen
      1. 7.5.0: Anaerobic Cellular Respiration
    6. 7.6: Connections of Carbohydrate, Protein, and Lipid Metabolic Pathways
      1. 7.6.0: Connecting Other Sugars to Glucose Metabolism
      2. 7.6.1: Connecting Proteins to Glucose Metabolism
      3. 7.6.2: Connecting Lipids to Glucose Metabolism
    7. 7.7: Regulation of Cellular Respiration
      1. 7.7.0: Regulatory Mechanisms for Cellular Respiration
      2. 7.7.1: Control of Catabolic Pathways
  8. 8: Photosynthesis
    1. 8.1: Overview of Photosynthesis
      1. 8.1.0: The Purpose and Process of Photosynthesis
      2. 8.1.1: Main Structures and Summary of Photosynthesis
      3. 8.1.2: The Two Parts of Photosynthesis
    2. 8.2: The Light-Dependent Reactions of Photosynthesis
      1. 8.2.0: Introduction to Light Energy
      2. 8.2.1: Absorption of Light
      3. 8.2.2: Processes of the Light-Dependent Reactions
    3. 8.3: The Light-Independent Reactions of Photosynthesis
      1. 8.3.0: CAM and C4 Photosynthesis
      2. 8.3.1: The Calvin Cycle
      3. 8.3.2: The Carbon Cycle
  9. 9: Cell Communication
    1. 9.1: Signaling Molecules and Cellular Receptors
      1. 9.1.0: Signaling Molecules and Cellular Receptors
      2. 9.1.1: Forms of Signaling
      3. 9.1.2: Types of Receptors
      4. 9.1.3: Signaling Molecules
    2. 9.2: Propagation of the Cellular Signal
      1. 9.2.0: Binding Initiates a Signaling Pathway
      2. 9.2.1: Methods of Intracellular Signaling
    3. 9.3: Response to the Cellular Signal
      1. 9.3.0: Termination of the Signal Cascade
      2. 9.3.1: Cell Signaling and Gene Expression
      3. 9.3.2: Cell Signaling and Cellular Metabolism
      4. 9.3.3: Cell Signaling and Cell Growth
      5. 9.3.4: Cell Signaling and Cell Death
    4. 9.4: Signaling in Single-Celled Organisms
      1. 9.4.0: Signaling in Yeast
      2. 9.4.1: Signaling in Bacteria
  10. 10: Cell Reproduction
    1. 10.1: Cell Division
      1. 10.1.0: The Role of the Cell Cycle
      2. 10.1.1: Genomic DNA and Chromosomes
      3. 10.1.2: Eukaryotic Chromosomal Structure and Compaction
    2. 10.2: The Cell Cycle
      1. 10.2.0: Interphase
      2. 10.2.1: The Mitotic Phase and the G0 Phase
    3. 10.3: Control of the Cell Cycle
      1. 10.3.0: Regulation of the Cell Cycle by External Events
      2. 10.3.1: Regulation of the Cell Cycle at Internal Checkpoints
      3. 10.3.2: Regulator Molecules of the Cell Cycle
    4. 10.4: Cancer and the Cell Cycle
      1. 10.4.0: Proto-oncogenes
      2. 10.4.1: Tumor Suppressor Genes
    5. 10.5: Prokaryotic Cell Division
      1. 10.5.0: Binary Fission
  11. 11: Meiosis and Sexual Reproduction
    1. 11.1: The Process of Meiosis
      1. 11.1.0: Introduction to Meiosis
      2. 11.1.1: Meiosis I
      3. 11.1.2: Meiosis II
      4. 11.1.3: Comparing Meiosis and Mitosis
    2. 11.2: Sexual Reproduction
      1. 11.2.0: Advantages and Disadvantages of Sexual Reproduction
      2. 11.2.1: Life Cycles of Sexually Reproducing Organisms
  12. 12: Mendel's Experiments and Heredity
    1. 12.1: Mendel’s Experiments and the Laws of Probability
      1. 12.1.0: Introduction to Mendelian Inheritance
      2. 12.1.1: Mendel’s Model System
      3. 12.1.2: Mendelian Crosses
      4. 12.1.3: Garden Pea Characteristics Revealed the Basics of Heredity
      5. 12.1.4: Rules of Probability for Mendelian Inheritance
    2. 12.2: Patterns of Inheritance
      1. 12.2.0: Genes as the Unit of Heredity
      2. 12.2.1: Phenotypes and Genotypes
      3. 12.2.2: The Punnett Square Approach for a Monohybrid Cross
      4. 12.2.3: Alternatives to Dominance and Recessiveness
      5. 12.2.4: Sex-Linked Traits
      6. 12.2.5: Lethal Inheritance Patterns
    3. 12.3: Laws of Inheritance
      1. 12.3.0: Mendel's Laws of Heredity
      2. 12.3.1: Mendel's Law of Dominance
      3. 12.3.2: Mendel's Law of Segregation
      4. 12.3.3: Mendel's Law of Independent Assortment
      5. 12.3.4: Genetic Linkage and Violation of the Law of Independent Assortment
      6. 12.3.5: Epistasis
  13. 13: Modern Understandings of Inheritance
    1. 13.1: Chromosomal Theory and Genetic Linkage
      1. 13.1.0: Chromosomal Theory of Inheritance
      2. 13.1.1: Genetic Linkage and Distances
      3. 13.1.2: Identification of Chromosomes and Karyotypes
    2. 13.2: Chromosomal Basis of Inherited Disorders
      1. 13.2.0: Disorders in Chromosome Number
      2. 13.2.1: Chromosomal Structural Rearrangements
      3. 13.2.2: X-Inactivation
  14. 14: DNA Structure and Function
    1. 14.1: Historical Basis of Modern Understanding
      1. 14.1.0: Discovery of DNA
      2. 14.1.1: Modern Applications of DNA
    2. 14.2: DNA Structure and Sequencing
      1. 14.2.0: The Structure and Sequence of DNA
      2. 14.2.1: DNA Sequencing Techniques
    3. 14.3: DNA Replication
      1. 14.3.0: Basics of DNA Replication
      2. 14.3.1: DNA Replication in Prokaryotes
      3. 14.3.2: DNA Replication in Eukaryotes
      4. 14.3.3: Telomere Replication
    4. 14.4: DNA Repair
      1. 14.4.0: DNA Repair
  15. 15: Genes and Proteins
    1. 15.1: The Genetic Code
      1. 15.1.0: The Relationship Between Genes and Proteins
      2. 15.1.1: The Central Dogma: DNA Encodes RNA and RNA Encodes Protein
    2. 15.2: Prokaryotic Transcription
      1. 15.2.0: Transcription in Prokaryotes
      2. 15.2.1: Initiation of Transcription in Prokaryotes
      3. 15.2.2: Elongation and Termination in Prokaryotes
    3. 15.3: Eukaryotic Transcription
      1. 15.3.0: Initiation of Transcription in Eukaryotes
      2. 15.3.1: Elongation and Termination in Eukaryotes
    4. 15.4: RNA Processing in Eukaryotes
      1. 15.4.0: mRNA Processing
      2. 15.4.1: Processing of tRNAs and rRNAs
    5. 15.5: Ribosomes and Protein Synthesis
      1. 15.5.0: The Protein Synthesis Machinery
      2. 15.5.1: The Mechanism of Protein Synthesis
      3. 15.5.2: Protein Folding, Modification, and Targeting
  16. 16: Gene Expression
    1. 16.1: Regulation of Gene Expression
      1. 16.1.0: The Process and Purpose of Gene Expression Regulation
      2. 16.1.1: Prokaryotic versus Eukaryotic Gene Expression
    2. 16.2: Prokaryotic Gene Regulation
      1. 16.2.0: The trp Operon: A Repressor Operon
      2. 16.2.1: Catabolite Activator Protein (CAP): An Activator Regulator
      3. 16.2.2: The lac Operon: An Inducer Operon
    3. 16.3: Eukaryotic Gene Regulation
      1. 16.3.0: The Promoter and the Transcription Machinery
      2. 16.3.1: Transcriptional Enhancers and Repressors
      3. 16.3.2: Epigenetic Control: Regulating Access to Genes within the Chromosome
      4. 16.3.3: RNA Splicing
      5. 16.3.4: The Initiation Complex and Translation Rate
      6. 16.3.5: Regulating Protein Activity and Longevity
    4. 16.4: Regulating Gene Expression in Cell Development
      1. 16.4.0: Gene Expression in Stem Cells
      2. 16.4.1: Cellular Differentiation
      3. 16.4.2: Mechanics of Cellular Differentation
      4. 16.4.3: Establishing Body Axes during Development
      5. 16.4.4: Gene Expression for Spatial Positioning
      6. 16.4.5: Cell Migration in Multicellular Organisms
      7. 16.4.6: Programmed Cell Death
    5. 16.5: Cancer and Gene Regulation
      1. 16.5.0: Altered Gene Expression in Cancer
      2. 16.5.1: Epigenetic Alterations in Cancer
      3. 16.5.2: Cancer and Transcriptional Control
      4. 16.5.3: Cancer and Post-Transcriptional Control
      5. 16.5.4: Cancer and Translational Control
  17. 17: Biotechnology and Genomics
    1. 17.1: Biotechnology
      1. 17.1.0: Biotechnology
      2. 17.1.1: Basic Techniques to Manipulate Genetic Material (DNA and RNA)
      3. 17.1.2: Molecular and Cellular Cloning
      4. 17.1.3: Reproductive Cloning
      5. 17.1.4: Genetic Engineering
      6. 17.1.5: Genetically Modified Organisms (GMOs)
      7. 17.1.6: Biotechnology in Medicine
      8. 17.1.7: Production of Vaccines, Antibiotics, and Hormones
    2. 17.2: Mapping Genomes
      1. 17.2.0: Genetic Maps
      2. 17.2.1: Physical Maps and Integration with Genetic Maps
    3. 17.3: Whole-Genome Sequencing
      1. 17.3.0: Strategies Used in Sequencing Projects
      2. 17.3.1: Use of Whole-Genome Sequences of Model Organisms
      3. 17.3.2: Uses of Genome Sequences
    4. 17.4: Applying Genomics
      1. 17.4.0: Predicting Disease Risk at the Individual Level
      2. 17.4.1: Pharmacogenomics, Toxicogenomics, and Metagenomics
      3. 17.4.2: Genomics and Biofuels
    5. 17.5: Genomics and Proteomics
      1. 17.5.0: Genomics and Proteomics
      2. 17.5.1: Basic Techniques in Protein Analysis
      3. 17.5.2: Cancer Proteomics
  18. 18: Evolution and the Origin of Species
    1. 18.1: Understanding Evolution
      1. 18.1.0: What is Evolution?
      2. 18.1.1: Charles Darwin and Natural Selection
      3. 18.1.2: The Galapagos Finches and Natural Selection
      4. 18.1.3: Processes and Patterns of Evolution
      5. 18.1.4: Evidence of Evolution
      6. 18.1.5: Misconceptions of Evolution
    2. 18.2: Formation of New Species
      1. 18.2.0: The Biological Species Concept
      2. 18.2.1: Reproductive Isolation
      3. 18.2.2: Speciation
      4. 18.2.3: Allopatric Speciation
      5. 18.2.4: Sympatric Speciation
    3. 18.3: Hybrid Zones and Rates of Speciation
      1. 18.3.0: Hybrid Zones
      2. 18.3.1: Varying Rates of Speciation
    4. 18.4: Evolution of Genomes
      1. 18.4.0: Genomic Similiarities between Distant Species
      2. 18.4.1: Genome Evolution
      3. 18.4.2: Whole-Genome Duplication
      4. 18.4.3: Gene Duplications and Divergence
      5. 18.4.4: Noncoding DNA
      6. 18.4.5: Variations in Size and Number of Genes
    5. 18.5: Evidence of Evolution
      1. 18.5.0: The Fossil Record as Evidence for Evolution
      2. 18.5.1: Fossil Formation
      3. 18.5.2: Gaps in the Fossil Record
      4. 18.5.3: Carbon Dating and Estimating Fossil Age
      5. 18.5.4: The Fossil Record and the Evolution of the Modern Horse
      6. 18.5.5: Homologous Structures
      7. 18.5.6: Convergent Evolution
      8. 18.5.7: Vestigial Structures
      9. 18.5.8: Biogeography and the Distribution of Species
  19. 19: The Evolution of Populations
    1. 19.1: Population Evolution
      1. 19.1.0: Defining Population Evolution
      2. 19.1.1: Population Genetics
      3. 19.1.2: Hardy-Weinberg Principle of Equilibrium
    2. 19.2: Population Genetics
      1. 19.2.0: Genetic Variation
      2. 19.2.1: Genetic Drift
      3. 19.2.2: Gene Flow and Mutation
      4. 19.2.3: Nonrandom Mating and Environmental Variance
    3. 19.3: Adaptive Evolution
      1. 19.3.0: Natural Selection and Adaptive Evolution
      2. 19.3.1: Stabilizing, Directional, and Diversifying Selection
      3. 19.3.2: Frequency-Dependent Selection
      4. 19.3.3: Sexual Selection
      5. 19.3.4: No Perfect Organism
  20. 20: Phylogenies and the History of Life
    1. 20.1: Organizing Life on Earth
      1. 20.1.0: Phylogenetic Trees
      2. 20.1.1: Limitations of Phylogenetic Trees
      3. 20.1.2: The Levels of Classification
    2. 20.2: Determining Evolutionary Relationships
      1. 20.2.0: Distinguishing between Similar Traits
      2. 20.2.1: Building Phylogenetic Trees
    3. 20.3: Perspectives on the Phylogenetic Tree
      1. 20.3.0: Limitations to the Classic Model of Phylogenetic Trees
      2. 20.3.1: Horizontal Gene Transfer
      3. 20.3.2: Endosymbiotic Theory and the Evolution of Eukaryotes
      4. 20.3.3: Web, Network, and Ring of Life Models
  21. 21: Viruses
    1. 21.1: Viral Evolution, Morphology, and Classification
      1. 21.1.0: Discovery and Detection of Viruses
      2. 21.1.1: Evolution of Viruses
      3. 21.1.2: Viral Morphology
      4. 21.1.3: Virus Classification
    2. 21.2: Virus Infections and Hosts
      1. 21.2.0: Steps of Virus Infections
      2. 21.2.1: The Lytic and Lysogenic Cycles of Bacteriophages
      3. 21.2.2: Animal Viruses
      4. 21.2.3: Plant Viruses
    3. 21.3: Prevention and Treatment of Viral Infections
      1. 21.3.0: Vaccines and Immunity
      2. 21.3.1: Vaccines and Anti-Viral Drugs for Treatment
    4. 21.4: Prions and Viroids
      1. 21.4.0: Prions and Viroids
  22. 22: Prokaryotes: Bacteria and Archaea
    1. 22.1: Prokaryotic Diversity
      1. 22.1.0: Classification of Prokaryotes
      2. 22.1.1: The Origins of Archaea and Bacteria
      3. 22.1.2: Extremophiles and Biofilms
    2. 22.2: Structure of Prokaryotes
      1. 22.2.0: Basic Structures of Prokaryotic Cells
      2. 22.2.1: Prokaryotic Reproduction
    3. 22.3: Prokaryotic Metabolism
      1. 22.3.0: Energy and Nutrient Requirements for Prokaryotes
      2. 22.3.1: The Role of Prokaryotes in Ecosystems
    4. 22.4: Bacterial Diseases in Humans
      1. 22.4.0: History of Bacterial Diseases
      2. 22.4.1: Biofilms and Disease
      3. 22.4.2: Antibiotics: Are We Facing a Crisis?
      4. 22.4.3: Bacterial Foodborne Diseases
    5. 22.5: Beneficial Prokaryotes
      1. 22.5.0: Symbiosis between Bacteria and Eukaryotes
      2. 22.5.1: Early Biotechnology: Cheese, Bread, Wine, Beer, and Yogurt
      3. 22.5.2: Prokaryotes and Environmental Bioremediation
  23. 23: Protists
    1. 23.1: Eukaryotic Origins
      1. 23.1.0: Early Eukaryotes
      2. 23.1.1: Characteristics of Eukaryotic DNA
      3. 23.1.2: Endosymbiosis and the Evolution of Eukaryotes
      4. 23.1.3: The Evolution of Mitochondria
      5. 23.1.4: The Evolution of Plastids
    2. 23.2: Characteristics of Protists
      1. 23.2.0: Cell Structure, Metabolism, and Motility
      2. 23.2.1: Protist Life Cycles and Habitats
    3. 23.3: Groups of Protists
      1. 23.3.0: Excavata
      2. 23.3.1: Chromalveolata: Alveolates
      3. 23.3.2: Chromalveolata: Stramenopiles
      4. 23.3.3: Rhizaria
      5. 23.3.4: Archaeplastida
      6. 23.3.5: Amoebozoa and Opisthokonta
    4. 23.4: Ecology of Protists
      1. 23.4.0: Protists as Primary Producers, Food Sources, and Symbionts
      2. 23.4.1: Protists as Human Pathogens
      3. 23.4.2: Protists as Plant Pathogens
  24. 24: Fungi
    1. 24.1: Characteristics of Fungi
      1. 24.1.0: Characteristics of Fungi
      2. 24.1.1: Fungi Cell Structure and Function
      3. 24.1.2: Fungi Reproduction
    2. 24.2: Ecology of Fungi
      1. 24.2.0: Fungi Habitat, Decomposition, and Recycling
      2. 24.2.1: Mutualistic Relationships with Fungi and Fungivores
    3. 24.3: Classifications of Fungi
      1. 24.3.0: Chytridiomycota: The Chytrids
      2. 24.3.1: Zygomycota: The Conjugated Fungi
      3. 24.3.2: Ascomycota: The Sac Fungi
      4. 24.3.3: Basidiomycota: The Club Fungi
      5. 24.3.4: Deuteromycota: The Imperfect Fungi
      6. 24.3.5: Glomeromycota
    4. 24.4: Fungal Parasites and Pathogens
      1. 24.4.0: Fungi as Plant, Animal, and Human Pathogens
    5. 24.5: Importance of Fungi in Human Life
      1. 24.5.0: Importance of Fungi in Human Life
  25. 25: Seedless Plants
    1. 25.1: Early Plant Life
      1. 25.1.0: Early Plant Life
      2. 25.1.1: Evolution of Land Plants
      3. 25.1.2: Plant Adaptations to Life on Land
      4. 25.1.3: Sporophytes and Gametophytes in Seedless Plants
      5. 25.1.4: Structural Adaptations for Land in Seedless Plants
      6. 25.1.5: The Major Divisions of Land Plants
    2. 25.2: Green Algae: Precursors of Land Plants
      1. 25.2.0: Streptophytes and Reproduction of Green Algae
      2. 25.2.1: Charales
    3. 25.3: Bryophytes
      1. 25.3.0: Bryophytes
      2. 25.3.1: Liverworts and Hornworts
      3. 25.3.2: Mosses
    4. 25.4: Seedless Vascular Plants
      1. 25.4.0: Seedless Vascular Plants
      2. 25.4.1: Vascular Tissue: Xylem and Phloem
      3. 25.4.2: The Evolution of Roots in Seedless Plants
      4. 25.4.3: Ferns and Other Seedless Vascular Plants
      5. 25.4.4: The Importance of Seedless Vascular Plants
  26. 26: Seed Plants
    1. 26.1: Evolution of Seed Plants
      1. 26.1.0: The Evolution of Seed Plants and Adaptations for Land
      2. 26.1.1: Evolution of Gymnosperms
      3. 26.1.2: Evolution of Angiosperms
    2. 26.2: Gymnosperms
      1. 26.2.0: Characteristics of Gymnosperms
      2. 26.2.1: Life Cycle of a Conifer
      3. 26.2.2: Diversity of Gymnosperms
    3. 26.3: Angiosperms
      1. 26.3.0: Angiosperm Flowers
      2. 26.3.1: Angsiosperm Fruit
      3. 26.3.2: The Life Cycle of an Angiosperm
      4. 26.3.3: Diversity of Angiosperms
    4. 26.4: The Role of Seed Plants
      1. 26.4.0: Herbivory and Pollination
      2. 26.4.1: The Importance of Seed Plants in Human Life
      3. 26.4.2: Biodiversity of Plants
  27. 27: Introduction to Animal Diversity
    1. 27.1: Features of the Animal Kingdom
      1. 27.1.0: Characteristics of the Animal Kingdom
      2. 27.1.1: Complex Tissue Structure
      3. 27.1.2: Animal Reproduction and Development
    2. 27.2: Features Used to Classify Animals
      1. 27.2.0: Animal Characterization Based on Body Symmetry
      2. 27.2.1: Animal Characterization Based on Features of Embryological Development
    3. 27.3: Animal Phylogeny
      1. 27.3.0: Constructing an Animal Phylogenetic Tree
      2. 27.3.1: Molecular Analyses and Modern Phylogenetic Trees
    4. 27.4: The Evolutionary History of the Animal Kingdom
      1. 27.4.0: Pre-Cambrian Animal Life
      2. 27.4.1: The Cambrian Explosion of Animal Life
      3. 27.4.2: Post-Cambrian Evolution and Mass Extinctions
  28. 28: Invertebrates
    1. 28.1: Phylum Porifera
      1. 28.1.0: Phylum Porifera
      2. 28.1.1: Morphology of Sponges
      3. 28.1.2: Physiological Processes in Sponges
    2. 28.2: Phylum Cnidaria
      1. 28.2.0: Phylum Cnidaria
      2. 28.2.1: Class Anthozoa
      3. 28.2.2: Class Scyphozoa
      4. 28.2.3: Class Cubozoa and Class Hydrozoa
    3. 28.3: Superphylum Lophotrochozoa
      1. 28.3.0: Superphylum Lophotrochozoa
      2. 28.3.1: Phylum Platyhelminthes
      3. 28.3.2: Phylum Rotifera
      4. 28.3.3: Phylum Nemertea
      5. 28.3.4: Phylum Mollusca
      6. 28.3.5: Classification of Phylum Mollusca
      7. 28.3.6: Phylum Annelida
    4. 28.4: Superphylum Ecdysozoa
      1. 28.4.0: Superphylum Ecdysozoa
      2. 28.4.1: Phylum Nematoda
      3. 28.4.2: Phylum Arthropoda
      4. 28.4.3: Subphyla of Arthropoda
    5. 28.5: Superphylum Deuterostomia
      1. 28.5.0: Phylum Echinodermata
      2. 28.5.1: Classes of Echinoderms
      3. 28.5.2: Phylum Chordata
  29. 29: Vertebrates
    1. 29.1: Chordates
      1. 29.1.0: Characteristics of Chordata
      2. 29.1.1: Chordates and the Evolution of Vertebrates
      3. 29.1.2: The Evolution of Craniata and Vertebrata
      4. 29.1.3: Characteristics of Vertebrates
    2. 29.2: Fishes
      1. 29.2.0: Agnathans: Jawless Fishes
      2. 29.2.1: Gnathostomes: Jawed Fishes
    3. 29.3: Amphibians
      1. 29.3.0: Characteristics and Evolution of Amphibians
      2. 29.3.1: Modern Amphibians
    4. 29.4: Reptiles
      1. 29.4.0: Characteristics of Amniotes
      2. 29.4.1: Evolution of Amniotes
      3. 29.4.2: Characteristics of Reptiles
      4. 29.4.3: Evolution of Reptiles
      5. 29.4.4: Modern Reptiles
    5. 29.5: Birds
      1. 29.5.0: Characteristics of Birds
      2. 29.5.1: Evolution of Birds
    6. 29.6: Mammals
      1. 29.6.0: Characteristics of Mammals
      2. 29.6.1: Evolution of Mammals
      3. 29.6.2: Living Mammals
    7. 29.7: The Evolution of Primates
      1. 29.7.0: Characteristics and Evolution of Primates
      2. 29.7.1: Early Human Evolution
      3. 29.7.2: Early Hominins
      4. 29.7.3: Genus Homo
  30. 30: Plant Form and Physiology
    1. 30.1: The Plant Body
      1. 30.1.0: Plant Tissues and Organ Systems
    2. 30.2: Stems
      1. 30.2.0: Functions of Stems
      2. 30.2.1: Stem Anatomy
      3. 30.2.2: Primary and Secondary Growth in Stems
      4. 30.2.3: Stem Modifications
    3. 30.3: Roots
      1. 30.3.0: Types of Root Systems and Zones of Growth
      2. 30.3.1: Root Modifications
    4. 30.4: Leaves
      1. 30.4.0: Leaf Structure and Arrangment
      2. 30.4.1: Types of Leaf Forms
      3. 30.4.2: Leaf Structure, Function, and Adaptation
    5. 30.5: Plant Development
      1. 30.5.0: Meristems
      2. 30.5.1: Genetic Control of Flowers
    6. 30.6: Transport of Water and Solutes in Plants
      1. 30.6.0: Water and Solute Potential
      2. 30.6.1: Pressure, Gravity, and Matric Potential
      3. 30.6.2: Movement of Water and Minerals in the Xylem
      4. 30.6.3: Transportation of Photosynthates in the Phloem
    7. 30.7: Plant Sensory Systems and Responses
      1. 30.7.0: Plant Responses to Light
      2. 30.7.1: The Phytochrome System and Red Light Response
      3. 30.7.2: Blue Light Response
      4. 30.7.3: Plant Responses to Gravity
      5. 30.7.4: Auxins, Cytokinins, and Gibberellins
      6. 30.7.5: Abscisic Acid, Ethylene, and Nontraditional Hormones
      7. 30.7.6: Plant Responses to Wind and Touch
    8. 30.8: Plant Defense Mechanisms
      1. 30.8.0: Plant Defenses Against Herbivores
      2. 30.8.1: Plant Defenses Against Pathogens
  31. 31: Soil and Plant Nutrition
    1. 31.1: Nutritional Requirements of Plants
      1. 31.1.0: Plant Nutrition
      2. 31.1.1: The Chemical Composition of Plants
      3. 31.1.2: Essential Nutrients for Plants
    2. 31.2: The Soil
      1. 31.2.0: Soil Composition
      2. 31.2.1: Soil Formation
      3. 31.2.2: Physical Properties of Soil
    3. 31.3: Nutritional Adaptations of Plants
      1. 31.3.0: Nitrogen Fixation: Root and Bacteria Interactions
      2. 31.3.1: Mycorrhizae: The Symbiotic Relationship between Fungi and Roots
      3. 31.3.2: Nutrients from Other Sources
  32. 32: Plant Reproduction
    1. 32.1: Plant Reproductive Development and Structure
      1. 32.1.0: Plant Reproductive Development and Structure
      2. 32.1.1: Sexual Reproduction in Gymnosperms
      3. 32.1.2: Sexual Reproduction in Angiosperms
    2. 32.2: Pollination and Fertilization
      1. 32.2.0: Pollination and Fertilization
      2. 32.2.1: Pollination by Insects
      3. 32.2.2: Pollination by Bats, Birds, Wind, and Water
      4. 32.2.3: Double Fertilization in Plants
      5. 32.2.4: Development of the Seed
      6. 32.2.5: Development of Fruit and Fruit Types
      7. 32.2.6: Fruit and Seed Dispersal
    3. 32.3: Asexual Reproduction
      1. 32.3.0: Asexual Reproduction in Plants
      2. 32.3.1: Natural and Artificial Methods of Asexual Reproduction in Plants
      3. 32.3.2: Plant Life Spans
  33. 33: The Animal Body: Basic Form and Function
    1. 33.1: Animal Form and Function
      1. 33.1.0: Characteristics of the Animal Body
      2. 33.1.1: Body Plans
      3. 33.1.2: Limits on Animal Size and Shape
      4. 33.1.3: Limiting Effects of Diffusion on Size and Development
      5. 33.1.4: Animal Bioenergetics
      6. 33.1.5: Animal Body Planes and Cavities
    2. 33.2: Animal Primary Tissues
      1. 33.2.0: Epithelial Tissues
      2. 33.2.1: Connective Tissues: Loose, Fibrous, and Cartilage
      3. 33.2.2: Connective Tissues: Bone, Adipose, and Blood
      4. 33.2.3: Muscle Tissues and Nervous Tissues
    3. 33.3: Homeostasis
      1. 33.3.0: Homeostatic Process
      2. 33.3.1: Control of Homeostasis
      3. 33.3.2: Homeostasis: Thermoregulation
      4. 33.3.3: Heat Conservation and Dissipation
  34. 34: Animal Nutrition and the Digestive System
    1. 34.1: Digestive Systems
      1. 34.1.0: Digestive Systems
      2. 34.1.1: Herbivores, Omnivores, and Carnivores
      3. 34.1.2: Invertebrate Digestive Systems
      4. 34.1.3: Vertebrate Digestive Systems
      5. 34.1.4: Digestive System: Mouth and Stomach
      6. 34.1.5: Digestive System: Small and Large Intestines
    2. 34.2: Nutrition and Energy Production
      1. 34.2.0: Food Requirements and Essential Nutrients
      2. 34.2.1: Food Energy and ATP
    3. 34.3: Digestive System Processes
      1. 34.3.0: Ingestion
      2. 34.3.1: Digestion and Absorption
      3. 34.3.2: Elimination
    4. 34.4: Digestive System Regulation
      1. 34.4.0: Neural Responses to Food
      2. 34.4.1: Hormonal Responses to Food
  35. 35: The Nervous System
    1. 35.1: Neurons and Glial Cells
      1. 35.1.0: Neurons and Glial Cells
      2. 35.1.1: Neurons
      3. 35.1.2: Glia
    2. 35.2: How Neurons Communicate
      1. 35.2.0: Nerve Impulse Transmission within a Neuron: Resting Potential
      2. 35.2.1: Nerve Impulse Transmission within a Neuron: Action Potential
      3. 35.2.2: Synaptic Transmission
      4. 35.2.3: Signal Summation
      5. 35.2.4: Synaptic Plasticity
    3. 35.3: The Nervous System
      1. 35.3.0: The Nervous System
    4. 35.4: The Central Nervous System
      1. 35.4.0: Brain: Cerebral Cortex and Brain Lobes
      2. 35.4.1: Brain: Midbrain and Brain Stem
      3. 35.4.2: Spinal Cord
    5. 35.5: The Peripheral Nervous System
      1. 35.5.0: Autonomic Nervous System
      2. 35.5.1: Sensory-Somatic Nervous System
    6. 35.6: Nervous System Disorders
      1. 35.6.0: Neurodegenerative Disorders
      2. 35.6.1: Neurodevelopmental Disorders: Autism and ADHD
      3. 35.6.2: Neurodevelopmental Disorders: Mental Illnesses
      4. 35.6.3: Other Neurological Disorders
  36. 36: Sensory Systems
    1. 36.1: Sensory Processes
      1. 36.1.0: Reception
      2. 36.1.1: Transduction and Perception
    2. 36.2: Somatosensation
      1. 36.2.0: Somatosensory Receptors
      2. 36.2.1: Integration of Signals from Mechanoreceptors
      3. 36.2.2: Thermoreception
    3. 36.3: Taste and Smell
      1. 36.3.0: Tastes and Odors
      2. 36.3.1: Reception and Transduction
    4. 36.4: Hearing and Vestibular Sensation
      1. 36.4.0: Sound
      2. 36.4.1: Reception of Sound
      3. 36.4.2: Transduction of Sound
      4. 36.4.3: The Vestibular System
      5. 36.4.4: Balance and Determining Equilibrium
    5. 36.5: Vision
      1. 36.5.0: Light
      2. 36.5.1: Anatomy of the Eye
      3. 36.5.2: Transduction of Light
      4. 36.5.3: Visual Processing
  37. 37: The Endocrine System
    1. 37.1: Types of Hormones
      1. 37.1.0: Hormone Functions
      2. 37.1.1: Lipid-Derived, Amino Acid-Derived, and Peptide Hormones
    2. 37.2: How Hormones Work
      1. 37.2.0: How Hormones Work
      2. 37.2.1: Intracellular Hormone Receptors
      3. 37.2.2: Plasma Membrane Hormone Receptors
    3. 37.3: Regulation of Body Processes
      1. 37.3.0: Hormonal Regulation of the Excretory System
      2. 37.3.1: Hormonal Regulation of the Reproductive System
      3. 37.3.2: Hormonal Regulation of Metabolism
      4. 37.3.3: Hormonal Control of Blood Calcium Levels
      5. 37.3.4: Hormonal Regulation of Growth
      6. 37.3.5: Hormonal Regulation of Stress
    4. 37.4: Regulation of Hormone Production
      1. 37.4.0: Humoral, Hormonal, and Neural Stimuli
    5. 37.5: Endocrine Glands
      1. 37.5.0: Hypothalamic-Pituitary Axis
      2. 37.5.1: Thyroid Gland
      3. 37.5.2: Parathyroid Glands
      4. 37.5.3: Adrenal Glands
      5. 37.5.4: Pancreas
      6. 37.5.5: Pineal Gland and Gonads
      7. 37.5.6: Organs with Secondary Endocrine Functions
  38. 38: The Musculoskeletal System
    1. 38.1: Types of Skeletal Systems
      1. 38.1.0: Functions of the Musculoskeletal System
      2. 38.1.1: Types of Skeletal Systems
      3. 38.1.2: Human Axial Skeleton
      4. 38.1.3: Human Appendicular Skeleton
    2. 38.2: Bone
      1. 38.2.0: Bone
      2. 38.2.1: Cell Types in Bones
      3. 38.2.2: Bone Development
      4. 38.2.3: Growth of Bone
      5. 38.2.4: Bone Remodeling and Repair
    3. 38.3: Joints and Skeletal Movement
      1. 38.3.0: Classification of Joints on the Basis of Structure and Function
      2. 38.3.1: Movement at Synovial Joints
      3. 38.3.2: Types of Synovial Joints
      4. 38.3.3: Bone and Joint Disorders
    4. 38.4: Muscle Contraction and Locomotion
      1. 38.4.0: Structure and Function of the Muscular System
      2. 38.4.1: Skeletal Muscle Fibers
      3. 38.4.2: Sliding Filament Model of Contraction
      4. 38.4.3: ATP and Muscle Contraction
      5. 38.4.4: Regulatory Proteins
      6. 38.4.5: Excitation–Contraction Coupling
      7. 38.4.6: Control of Muscle Tension
  39. 39: The Respiratory System
    1. 39.1: Systems of Gas Exchange
      1. 39.1.0: The Respiratory System and Direct Diffusion
      2. 39.1.1: Skin, Gills, and Tracheal Systems
      3. 39.1.2: Amphibian and Bird Respiratory Systems
      4. 39.1.3: Mammalian Systems and Protective Mechanisms
    2. 39.2: Gas Exchange across Respiratory Surfaces
      1. 39.2.0: Gas Pressure and Respiration
      2. 39.2.1: Basic Principles of Gas Exchange
      3. 39.2.2: Lung Volumes and Capacities
      4. 39.2.3: Gas Exchange across the Alveoli
    3. 39.3: Breathing
      1. 39.3.0: The Mechanics of Human Breathing
      2. 39.3.1: Types of Breathing
      3. 39.3.2: The Work of Breathing
      4. 39.3.3: Dead Space: V/Q Mismatch
    4. 39.4: Transport of Gases in Human Bodily Fluids
      1. 39.4.0: Transport of Oxygen in the Blood
      2. 39.4.1: Transport of Carbon Dioxide in the Blood
  40. 40: The Circulatory System
    1. 40.1: Overview of the Circulatory System
      1. 40.1.0: The Role of the Circulatory System
      2. 40.1.1: Open and Closed Circulatory Systems
      3. 40.1.2: Types of Circulatory Systems in Animals
    2. 40.2: Components of the Blood
      1. 40.2.0: The Role of Blood in the Body
      2. 40.2.1: Red Blood Cells
      3. 40.2.2: White Blood Cells
      4. 40.2.3: Platelets and Coagulation Factors
      5. 40.2.4: Plasma and Serum
    3. 40.3: Mammalian Heart and Blood Vessels
      1. 40.3.0: Structures of the Heart
      2. 40.3.1: Arteries, Veins, and Capillaries
      3. 40.3.2: The Cardiac Cycle
    4. 40.4: Blood Flow and Blood Pressure Regulation
      1. 40.4.0: Blood Flow Through the Body
      2. 40.4.1: Blood Pressure
  41. 41: Osmotic Regulation and the Excretory System
    1. 41.1: Osmoregulation and Osmotic Balance
      1. 41.1.0: Introduction to Osmoregulation
      2. 41.1.1: Transport of Electrolytes across Cell Membranes
      3. 41.1.2: Concept of Osmolality and Milliequivalent
      4. 41.1.3: Osmoregulators and Osmoconformers
    2. 41.2: Nitrogenous Wastes
      1. 41.2.0: Nitrogenous Waste in Terrestrial Animals: The Urea Cycle
      2. 41.2.1: Nitrogenous Waste in Birds and Reptiles: Uric Acid
    3. 41.3: Excretion Systems
      1. 41.3.0: Contractile Vacuoles in Microorganisms
      2. 41.3.1: Flame Cells of Planaria and Nephridia of Worms
      3. 41.3.2: Malpighian Tubules of Insects
    4. 41.4: Human Osmoregulatory and Excretory Systems
      1. 41.4.0: Kidney Structure
      2. 41.4.1: Nephron: The Functional Unit of the Kidney
      3. 41.4.2: Kidney Function and Physiology
    5. 41.5: Hormonal Control of Osmoregulatory Functions
      1. 41.5.0: Epinephrine and Norepinephrine
      2. 41.5.1: Other Hormonal Controls for Osmoregulation
  42. 42: The Immune System
    1. 42.1: Innate Immune Response
      1. 42.1.0: Innate Immune Response
      2. 42.1.1: Physical and Chemical Barriers
      3. 42.1.2: Pathogen Recognition
      4. 42.1.3: Natural Killer Cells
      5. 42.1.4: The Complement System
    2. 42.2: Adaptive Immune Response
      1. 42.2.0: Antigen-presenting Cells: B and T cells
      2. 42.2.1: Humoral Immune Response
      3. 42.2.2: Cell-Mediated Immunity
      4. 42.2.3: Cytotoxic T Lymphocytes and Mucosal Surfaces
      5. 42.2.4: Immunological Memory
      6. 42.2.5: Regulating Immune Tolerance
    3. 42.3: Antibodies
      1. 42.3.0: Antibody Structure
      2. 42.3.1: Antibody Functions
    4. 42.4: Disruptions in the Immune System
      1. 42.4.0: Immunodeficiency
      2. 42.4.1: Hypersensitivities
  43. 43: Animal Reproduction and Development
    1. 43.1: Reproduction Methods
      1. 43.1.0: Methods of Reproducing
      2. 43.1.1: Types of Sexual and Asexual Reproduction
      3. 43.1.2: Sex Determination
    2. 43.2: Fertilization
      1. 43.2.0: External and Internal Fertilization
      2. 43.2.1: The Evolution of Reproduction
    3. 43.3: Human Reproductive Anatomy and Gametogenesis
      1. 43.3.0: Male Reproductive Anatomy
      2. 43.3.1: Female Reproductive Anatomy
      3. 43.3.2: Gametogenesis (Spermatogenesis and Oogenesis)
    4. 43.4: Hormonal Control of Human Reproduction
      1. 43.4.0: Male Hormones
      2. 43.4.1: Female Hormones
    5. 43.5: Fertilization and Early Embryonic Development
      1. 43.5.0: Fertilization
      2. 43.5.1: Cleavage, the Blastula Stage, and Gastrulation
    6. 43.6: Organogenesis and Vertebrate Formation
      1. 43.6.0: Organogenesis
      2. 43.6.1: Vertebrate Axis Formation
    7. 43.7: Human Pregnancy and Birth
      1. 43.7.0: Human Gestation
      2. 43.7.1: Labor and Birth
      3. 43.7.2: Contraception and Birth Control
      4. 43.7.3: Infertility
  44. 44: Ecology and the Biosphere
    1. 44.1: The Scope of Ecology
      1. 44.1.0: Introduction to Ecology
      2. 44.1.1: Organismal Ecology and Population Ecology
      3. 44.1.2: Community Ecology and Ecosystem Ecology
    2. 44.2: Biogeography
      1. 44.2.0: Biogeography
      2. 44.2.1: Energy Sources
      3. 44.2.2: Temperature and Water
      4. 44.2.3: Inorganic Nutrients and Other Factors
      5. 44.2.4: Abiotic Factors Influencing Plant Growth
    3. 44.3: Terrestrial Biomes
      1. 44.3.0: What constitutes a biome?
      2. 44.3.1: Tropical Wet Forest and Savannas
      3. 44.3.2: Subtropical Deserts and Chaparral
      4. 44.3.3: Temperate Grasslands
      5. 44.3.4: Temperate Forests
      6. 44.3.5: Boreal Forests and Arctic Tundra
    4. 44.4: Aquatic Biomes
      1. 44.4.0: Abiotic Factors Influencing Aquatic Biomes
      2. 44.4.1: Marine Biomes
      3. 44.4.2: Estuaries: Where the Ocean Meets Fresh Water
      4. 44.4.3: Freshwater Biomes
    5. 44.5: Climate and the Effects of Global Climate Change
      1. 44.5.0: Climate and Weather
      2. 44.5.1: Causes of Global Climate Change
      3. 44.5.2: Evidence of Global Climate Change
      4. 44.5.3: Past and Present Effects of Climate Change
  45. 45: Population and Community Ecology
    1. 45.1: Population Demography
      1. 45.1.0: Population Demography
      2. 45.1.1: Population Size and Density
      3. 45.1.2: Species Distribution
      4. 45.1.3: The Study of Population Dynamics
    2. 45.2: Environmental Limits to Population Growth
      1. 45.2.0: Exponential Population Growth
      2. 45.2.1: Logistic Population Growth
      3. 45.2.2: Density-Dependent and Density-Independent Population Regulation
    3. 45.3: Life History Patterns
      1. 45.3.0: Life History Patterns and Energy Budgets
      2. 45.3.1: Theories of Life History
    4. 45.4: Human Population Growth
      1. 45.4.0: Human Population Growth
      2. 45.4.1: Overcoming Density-Dependent Regulation
      3. 45.4.2: Age Structure, Population Growth, and Economic Development
    5. 45.5: Community Ecology
      1. 45.5.0: The Role of Species within Communities
      2. 45.5.1: Predation, Herbivory, and the Competitive Exclusion Principle
      3. 45.5.2: Symbiosis
      4. 45.5.3: Ecological Succession
    6. 45.6: Innate Animal Behavior
      1. 45.6.0: Introduction to Animal Behavior
      2. 45.6.1: Movement and Migration
      3. 45.6.2: Animal Communication and Living in Groups
      4. 45.6.3: Altruism and Populations
      5. 45.6.4: Mating Systems and Sexual Selection
    7. 45.7: Learned Animal Behavior
      1. 45.7.0: Simple Learned Behaviors
      2. 45.7.1: Conditioned Behavior
      3. 45.7.2: Cognitive Learning and Sociobiology
  46. 46: Ecosystems
    1. 46.1: Ecology of Ecosystems
      1. 46.1.0: Ecosystem Dynamics
      2. 46.1.1: Food Chains and Food Webs
      3. 46.1.2: Studying Ecosystem Dynamics
      4. 46.1.3: Modeling Ecosystem Dynamics
    2. 46.2: Energy Flow through Ecosystems
      1. 46.2.0: Strategies for Acquiring Energy
      2. 46.2.1: Productivity within Trophic Levels
      3. 46.2.2: Transfer of Energy between Trophic Levels
      4. 46.2.3: Ecological Pyramids
      5. 46.2.4: Biological Magnification
    3. 46.3: Biogeochemical Cycles
      1. 46.3.0: Biogeochemical Cycles
      2. 46.3.1: The Water (Hydrologic) Cycle
      3. 46.3.2: The Carbon Cycle
      4. 46.3.3: The Nitrogen Cycle
      5. 46.3.4: The Phosphorus Cycle
      6. 46.3.5: The Sulfur Cycle
  47. 47: Conservation Biology and Biodiversity
    1. 47.1: The Biodiversity Crisis
      1. 47.1.0: Loss of Biodiversity
      2. 47.1.1: Types of Biodiversity
      3. 47.1.2: Biodiversity Change through Geological Time
      4. 47.1.3: The Pleistocene Extinction
      5. 47.1.4: Present-Time Extinctions
    2. 47.2: The Importance of Biodiversity to Human Life
      1. 47.2.0: Human Health and Biodiversity
      2. 47.2.1: Agricultural Diversity
      3. 47.2.2: Managing Fisheries
    3. 47.3: Threats to Biodiversity
      1. 47.3.0: Habitat Loss and Sustainability
      2. 47.3.1: Overharvesting
      3. 47.3.2: Exotic Species
      4. 47.3.3: Climate Change and Biodiversity
    4. 47.4: Preserving Biodiversity
      1. 47.4.0: Measuring Biodiversity
      2. 47.4.1: Changing Human Behavior in Response to Biodiversity Loss
      3. 47.4.2: Ecological Restoration

39.4: Transport of Gases in Human Bodily Fluids

39.4.1: Transport of Oxygen in the Blood

The majority of oxygen in the body is transported by hemoglobin, which is found inside red blood cells.

Learning Objective

Describe how oxygen is bound to hemoglobin and transported to body tissues

Key Points

  • Hemoglobin is made up of four subunits and can bind up to four oxygen molecules.
  • Carbon dioxide levels, blood pH, body temperature, environmental factors, and diseases can all affect oxygen's carrying capacity and delivery.
  • A decrease in the oxygen-carrying ability of hemoglobin is observed with an increase in carbon dioxide and temperature, as well as a decrease in pH within the body.
  • Sickle cell anemia and thalassemia are two hereditary diseases that decrease the blood's oxygen-carrying capacity.

Key Terms

heme

the component of hemoglobin responsible for binding oxygen; consists of an iron ion that binds oxygen and a porphyrin ring that binds the globin molecules; one molecule binds one molecule of oxygen

sickle cell anemia

a hereditary blood disorder, characterized by red blood cells that assume an abnormal, rigid, sickle shape

thalassemia

an inherited disorder in which the person produces a high number of red blood cells, but the cells have lower levels of hemoglobin

Transport of Oxygen in the Blood

Although oxygen dissolves in blood, only a small amount of oxygen is transported this way. Only 1.5 percent of oxygen in the blood is dissolved directly into the blood itself. Most oxygen, 98.5 percent, is bound to a protein called hemoglobin and carried to the tissues.

Hemoglobin

Hemoglobin, or Hb, is a protein molecule found in red blood cells (erythrocytes) made of four subunits: two alpha subunits and two beta subunits . Each subunit surrounds a central heme group that contains iron and binds one oxygen molecule, allowing each hemoglobin molecule to bind four oxygen molecules. Molecules with more oxygen bound to the heme groups are brighter red. As a result, oxygenated arterial blood where the Hb is carrying four oxygen molecules is bright red, while venous blood that is deoxygenated is darker red.

Hemoglobin

Hemoglobin

The protein inside red blood cells (a) that carries oxygen to cells and carbon dioxide to the lungs is hemoglobin (b). Hemoglobin is made up of four symmetrical subunits and four heme groups. Iron associated with the heme binds oxygen. It is the iron in hemoglobin that gives blood its red color.

It is easier to bind a second and third oxygen molecule to Hb than the first molecule. This is because the hemoglobin molecule changes its shape, or conformation, as oxygen binds. The fourth oxygen is then more difficult to bind. The binding of oxygen to hemoglobin can be plotted as a function of the partial pressure of oxygen in the blood (x-axis) versus the relative Hb-oxygen saturation (y-axis). The resulting graph, an oxygen dissociation curve, is sigmoidal, or S-shaped . As the partial pressure of oxygen increases, the hemoglobin becomes increasingly saturated with oxygen.

Oxygen dissociation curve

Oxygen dissociation curve

The oxygen dissociation curve demonstrates that as the partial pressure of oxygen increases, more oxygen binds hemoglobin. However, the affinity of hemoglobin for oxygen may shift to the left or the right depending on environmental conditions.

Factors That Affect Oxygen Binding

The oxygen-carrying capacity of hemoglobin determines how much oxygen is carried in the blood. In addition, other environmental factors and diseases can also affect oxygen-carrying capacity and delivery; the same is true for carbon dioxide levels, blood pH, and body temperature. When carbon dioxide is in the blood, it reacts with water to form bicarbonate (HCO3−) and hydrogen ions (H+). As the level of carbon dioxide in the blood increases, more H+ is produced and the pH decreases. The increase in carbon dioxide and subsequent decrease in pH reduce the affinity of hemoglobin for oxygen. The oxygen dissociates from the Hb molecule, shifting the oxygen dissociation curve to the right. Therefore, more oxygen is needed to reach the same hemoglobin saturation level as when the pH was higher. A similar shift in the curve also results from an increase in body temperature. Increased temperature, such as from increased activity of skeletal muscle, causes the affinity of hemoglobin for oxygen to be reduced.

Diseases such as sickle cell anemia and thalassemia decrease the blood's ability to deliver oxygen to tissues and its oxygen-carrying capacity. In sickle cell anemia, the shape of the red blood cell is crescent-shaped, elongated, and stiffened, reducing its ability to deliver oxygen . In this form, red blood cells cannot pass through the capillaries. This is painful when it occurs. Thalassemia is a rare genetic disease caused by a defect in either the alpha or the beta subunit of Hb. Patients with thalassemia produce a high number of red blood cells, but these cells have lower-than-normal levels of hemoglobin. Therefore, the oxygen-carrying capacity is diminished.

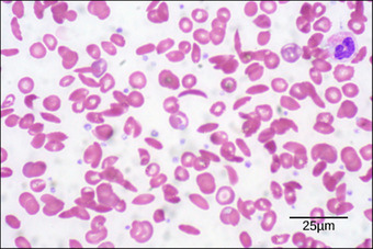
Sickle cell anemia

Sickle cell anemia

Individuals with sickle cell anemia have crescent-shaped red blood cells. Diseases such as this one cause a decreased ability in oxygen delivery throughout the body.

39.4.2: Transport of Carbon Dioxide in the Blood

Dissolution, hemoglobin binding, and the bicarbonate buffer system are ways in which carbon dioxide is transported throughout the body.

Learning Objective

Explain how carbon dioxide is transported from body tissues to the lungs

Key Points

  • Carbon dioxide is more soluble in blood than is oxygen; about 5 to 7 percent of all carbon dioxide is dissolved in the plasma.
  • Carbon dioxide has the ability to attach to hemoglobin molecules; it will be removed from the body once they become dissociated from one another.
  • In the bicarbonate buffer system, the most common form of carbon dioxide transportation in the blood, carbon dioxide is finally expelled from the body through the lungs during exhalation.
  • Importantly, the bicarbonate buffer system allows little change to the pH of the body system; it allows for people to travel and live at high altitudes because the system can adjust itself to regulate carbon dioxide while maintaining the correct pH in the body.

Key Terms

carbon monoxide

a colorless, odourless, flammable, highly toxic gas

carbonic anhydrase

a family of enzymes that catalyze the rapid interconversion of carbon dioxide and water to bicarbonate and protons

carbaminohemoglobin

a compound made up of hemoglobin and carbon dioxide; one of the forms in which carbon dioxide exists in the blood

Transport of Carbon Dioxide in the Blood

Carbon dioxide molecules are transported in the blood from body tissues to the lungs by one of three methods:

  1. Dissolution directly into the blood
  2. Binding to hemoglobin
  3. Carried as a bicarbonate ion

Several properties of carbon dioxide in the blood affect its transport. First, carbon dioxide is more soluble in blood than is oxygen. About 5 to 7 percent of all carbon dioxide is dissolved in the plasma. Second, carbon dioxide can bind to plasma proteins or can enter red blood cells and bind to hemoglobin. This form transports about 10 percent of the carbon dioxide. When carbon dioxide binds to hemoglobin, a molecule called carbaminohemoglobin is formed. Binding of carbon dioxide to hemoglobin is reversible. Therefore, when it reaches the lungs, the carbon dioxide can freely dissociate from the hemoglobin and be expelled from the body.

Third, the majority of carbon dioxide molecules (85 percent) are carried as part of the bicarbonate buffer system. In this system, carbon dioxide diffuses into the red blood cells. Carbonic anhydrase (CA) within the red blood cells quickly converts the carbon dioxide into carbonic acid (H2CO3). Carbonic acid is an unstable, intermediate molecule that immediately dissociates into bicarbonate ions (HCO3−) and hydrogen (H+) ions. Since carbon dioxide is quickly converted into bicarbonate ions, this reaction allows for the continued uptake of carbon dioxide into the blood, down its concentration gradient. It also results in the production of H+ ions. If too much H+ is produced, it can alter blood pH. However, hemoglobin binds to the free H+ ions, limiting shifts in pH. The newly-synthesized bicarbonate ion is transported out of the red blood cell into the liquid component of the blood in exchange for a chloride ion (Cl-); this is called the chloride shift. When the blood reaches the lungs, the bicarbonate ion is transported back into the red blood cell in exchange for the chloride ion. The H+ ion dissociates from the hemoglobin and binds to the bicarbonate ion. This produces the carbonic acid intermediate, which is converted back into carbon dioxide through the enzymatic action of CA. The carbon dioxide produced is expelled through the lungs during exhalation.

The benefit of the bicarbonate buffer system is that carbon dioxide is "soaked up" into the blood with little change to the pH of the system. This is important because it takes only a small change in the overall pH of the body for severe injury or death to result. The presence of this bicarbonate buffer system also allows for people to travel and live at high altitudes. When the partial pressure of oxygen and carbon dioxide change at high altitudes, the bicarbonate buffer system adjusts to regulate carbon dioxide while maintaining the correct pH in the body.

Carbon Monoxide Poisoning

While carbon dioxide can readily associate and dissociate from hemoglobin, other molecules, such as carbon monoxide (CO), cannot. Carbon monoxide has a greater affinity for hemoglobin than does oxygen. Therefore, when carbon monoxide is present, it binds to hemoglobin preferentially over oxygen. As a result, oxygen cannot bind to hemoglobin, so very little oxygen is transported throughout the body . Carbon monoxide is a colorless, odorless gas which is difficult to detect. It is produced by gas-powered vehicles and tools. Carbon monoxide can cause headaches, confusion, and nausea; long-term exposure can cause brain damage or death. Administering 100 percent (pure) oxygen is the usual treatment for carbon monoxide poisoning as it speeds up the separation of carbon monoxide from hemoglobin.

Carbon monoxide poisoning

Carbon monoxide poisoning

When carbon monoxide (CO) in the body increases, the oxygen saturation of hemoglobin decreases since hemoglobin will bind more readily to CO than to oxygen. Therefore, CO exposure leads to death due to a decreased transportation of oxygen in the body.

Attributions

  • Transport of Oxygen in the Blood
    • "OpenStax College, Biology. October 17, 2013." http://openstaxcollege.org/textbooks/biology. OpenStax CNX CC BY-SA 3.0.
    • "sickle cell anemia." http://en.wikipedia.org/wiki/sickle%20cell%20anemia. Wikipedia CC BY-SA 3.0.
    • "OpenStax College, Biology. October 17, 2013." http://cnx.org/content/m44799/latest/?collection=col11448/latest. OpenStax CNX CC BY 3.0.
    • "heme." http://en.wiktionary.org/wiki/heme. Wiktionary CC BY-SA 3.0.
    • "OpenStax College, Transport of Gases in Human Bodily Fluids. October 17, 2013." http://cnx.org/content/m44799/latest/Figure_39_04_03.jpg. OpenStax CNX CC BY 3.0.
    • "OpenStax College, Transport of Gases in Human Bodily Fluids. October 17, 2013." http://cnx.org/content/m44799/latest/Figure_39_04_02.png. OpenStax CNX CC BY 3.0.
    • "OpenStax College, Transport of Gases in Human Bodily Fluids. October 17, 2013." http://cnx.org/content/m44799/latest/Figure_39_04_01.jpg. OpenStax CNX CC BY 3.0.
  • Transport of Carbon Dioxide in the Blood
    • "OpenStax College, Biology. October 17, 2013." http://openstaxcollege.org/textbooks/biology. OpenStax CNX CC BY-SA 3.0.
    • "carbonic anhydrase." http://en.wikipedia.org/wiki/carbonic%20anhydrase. Wikipedia CC BY-SA 3.0.
    • "carbaminohemoglobin." http://en.wikipedia.org/wiki/carbaminohemoglobin. Wikipedia CC BY-SA 3.0.
    • "carbon monoxide." http://en.wiktionary.org/wiki/carbon_monoxide. Wiktionary CC BY-SA 3.0.
    • "OpenStax College, Biology. October 17, 2013." http://cnx.org/content/m44799/latest/?collection=col11448/latest. OpenStax CNX CC BY 3.0.
    • "OpenStax College, Transport of Gases in Human Bodily Fluids. October 17, 2013." http://cnx.org/content/m44799/latest/Figure_39_04_04.jpg. OpenStax CNX CC BY 3.0.

Annotate

Next Chapter
40: The Circulatory System
PreviousNext
Biology
Powered by Manifold Scholarship. Learn more at
Opens in new tab or windowmanifoldapp.org