Skip to main content

Introduction to Exercise Science for Fitness Professionals: The Nervous System

Introduction to Exercise Science for Fitness Professionals
The Nervous System
  • Show the following:

    Annotations
    Resources
  • Adjust appearance:

    Font
    Font style
    Color Scheme
    Light
    Dark
    Annotation contrast
    Low
    High
    Margins
  • Search within:
    • Notifications
    • Privacy
  • Project HomeNatural Sciences Collection: Anatomy, Biology, and Chemistry
  • Projects
  • Learn more about Manifold

Notes

table of contents
  1. Cover
  2. Title Page
  3. Copyright
  4. Table Of Contents
  5. Attribution and OER Revision Statement
  6. Chapter 1: Body Systems Review
    1. The Cardiovascular System
    2. The Nervous System
    3. Reflexes
    4. The Skeletal System
    5. Divisions of the Skeletal System
    6. Skeletal Muscle
    7. Divisions of the Skeletal Muscles
    8. Describing Motion and Movements
    9. Identify Anatomical Locations
  7. Chapter 2: Biomechanics and Human Movement
    1. The Basics of Biomechanics
    2. Inertia and Momentum
    3. Force
    4. Doing Work
    5. Body Levers
    6. Nervous System Control of Muscle Tension
    7. Muscle Tissue and Motion
  8. Chapter 3: Exercise Metabolism
    1. Introduction to Bioenergetics and Metabolism
    2. Overview of Metabolic Reactions
    3. Metabolic States of the Body
    4. The Cardiorespiratory System and Energy Production
    5. ATP in Living Systems
    6. Types of Muscle Fibers
    7. Exercise and Muscle Performance
    8. Nutrition, Performance, and Recovery
    9. Carbohydrate Metabolism
    10. Protein Metabolism
    11. Lipid Metabolism
  9. Chapter 4: Fitness Principles
    1. What are Physical Activity and Exercise?
    2. The Physical Activity Guidelines for Americans
    3. Components of Health-Related Fitness
    4. Principles of Adaptation and Stress
    5. FITT Principle
    6. Rest, Recovery, and Periodization
    7. Reversibility
    8. Training Volume
    9. Individual Differences
    10. Creating a Successful Fitness Plan
    11. Additional Safety Concerns
    12. Test Your Knowledge
  10. Chapter 5: Flexibility Training Principles
    1. What is Flexibility?
    2. Benefits of Flexibility and Stretching
    3. Improving Range of Motion
    4. Improving Flexibility
    5. Creating an Effective Stretching Program
    6. Assessing Your Flexibility
    7. Test Your Knowledge
  11. Chapter 6: Cardiorespiratory Training Principles
    1. What are the Cardiovascular and Respiratory Systems?
    2. Introduction: The Cardiovascular System
    3. Introduction: The Respiratory System
    4. The Process of Breathing and Respiratory Function
    5. Modifications to Breathing
    6. Changes in the CR System
    7. Measuring Heart Rate
    8. Measuring Intensity
    9. Cardiorespiratory Fitness Assessment
    10. Test Your Knowledge
  12. Chapter 7: Core and Balance Training Principles
    1. Lumbar Spine
    2. Abdomen
    3. The Pelvic Girdle
    4. Creating Movement at the Hip
    5. Balance
    6. Center of Gravity
    7. Supporting the Body
    8. Friction in Joints
    9. Human Stability
    10. Guidelines for Core and Balance Training
  13. Chapter 8: Plyometrics, Speed, Agility, and Quickness Training Principles
    1. Plyometric Exercises
    2. Variables of Plyometric Training
    3. Progressing a Plyometric Program
    4. Speed, Agility, and Quickness
    5. Speed
    6. Agility
    7. Quickness
  14. Chapter 9: Resistance Training Principles
    1. Resistance Exercise Programming
    2. Exercise Order
    3. Types of Resistance Training
    4. Basics of Form during Resistance Training
    5. Resistance Training Systems
    6. Resistance Training Conclusion
    7. Test Your Knowledge
  15. References
  16. Glossary
  17. MARC Record

2

The Nervous System

Heather Ketchum and Eric Bright

The nervous system is responsible for controlling much of the body, both through somatic (voluntary) and autonomic (involuntary) functions. The structures of the nervous system must be described in detail to understand how many of these functions are possible. There is a physiological concept known as localization of function that states that certain structures are specifically responsible for prescribed functions. It is an underlying concept in all of anatomy and physiology, but the nervous system illustrates the concept very well.

Fresh, unstained nervous tissue can be described as gray or white matter, and within those two types of tissue it can be very hard to see any detail. However, as specific regions and structures have been described, they were related to specific functions. Understanding these structures and the functions they perform requires a detailed description of the anatomy of the nervous system, delving deep into what the central and peripheral structures are.

The place to start this study of the nervous system is the beginning of the individual human life, within the womb. The embryonic development of the nervous system allows for a simple framework on which progressively more complicated structures can be built. With this framework in place, a thorough investigation of the nervous system is possible.

The Central Nervous System (CNS)

The brain and the spinal cord make-up the central nervous system (CNS), and they represent the main organs of the nervous system (Figure). The spinal cord is a single structure, whereas the adult brain is described in terms of four major regions: the cerebrum, the diencephalon, the brain stem, and the cerebellum. A person’s conscious experiences are based on neural activity in the brain. The regulation of homeostasis is governed by a specialized region in the brain. The coordination of reflexes depends on the integration of sensory and motor pathways in the cerebrum. Terms that are used frequently in the central nervous system include nuclei which are clusters of cell bodies and pathways and tracts which are axons that travel in bundles.

Organization of the Nervous System

This figure diagrams the organization of the nervous system.

The Peripheral Nervous System (PNS)

The central nervous system does not act alone; it must communicate with the peripheral nervous system (PNS). The CNS receives signals from the PNS and sends signals back to the PNS so we can respond to a stimulus. Thus, the PNS is the communication line between the CNS and the rest of the body.

The peripheral nervous system (PNS) is not as contained as the central nervous system (CNS) because it is defined as everything that is not the central nervous system. Some peripheral structures are incorporated into the other organs of the body. In describing the anatomy of the PNS, it is necessary to describe the common structures, the nerves and the ganglia, as they are found in various parts of the body. Many of the neural structures that are incorporated into other organs are features of the digestive system; these structures are known as the enteric nervous system and are a special subset of the PNS.

Ganglia

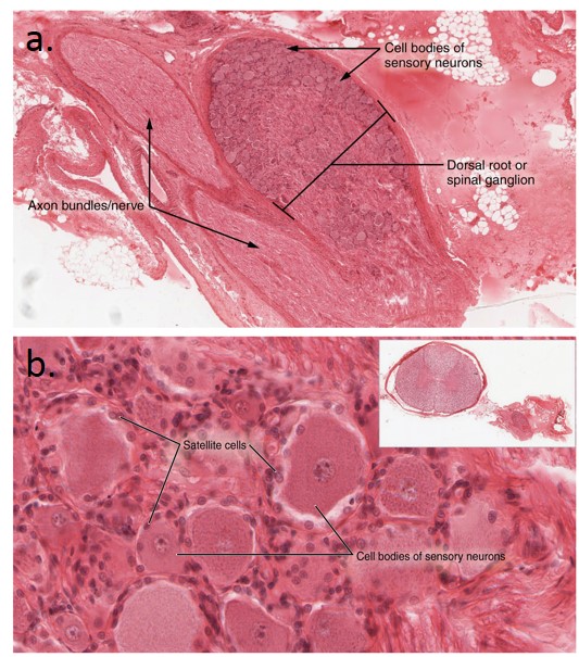
A ganglion is a group of neuron cell bodies in the periphery. Ganglia can be categorized, for the most part, as either sensory ganglia or autonomic ganglia, referring to their primary functions. The most common type of sensory ganglion is a dorsal (posterior) root ganglion. These ganglia are the cell bodies of neurons with axons that are sensory endings in the periphery, such as in the skin, and that extend into the CNS through the dorsal nerve root. The ganglion is an enlargement of the nerve root. Under microscopic inspection, it can be seen to include the cell bodies of the neurons, as well as bundles of fibers that are the posterior nerve root (Figure). The cells of the dorsal root ganglion are unipolar cells, classifying them by shape. Also, the small round nuclei of satellite cells can be seen surrounding—as if they were orbiting—the neuron cell bodies.

Spinal Cord and Ganglia

The top micrograph shows the structure of the dorsal root ganglion. The cell bodies of the neurons and the axon bundles are also labeled. The bottom micrograph shows a magnified view of the dorsal root ganglion, showing the satellite cells and the cell bodies of sensory neurons.Figure 1. a)The cell bodies of sensory neurons, which are unipolar neurons by shape, are seen in this photomicrograph. Also, the fibrous region is composed of the axons of these neurons that are passing through the ganglion to be part of the dorsal nerve root (tissue source: canine). LM × 40. b) The slide includes both a cross-section of the lumbar spinal cord and a section of the dorsal root ganglion (tissue source: canine). LM × 1600. LM × 40. (Micrographs provided by the Regents of University of Michigan Medical School © 2012)

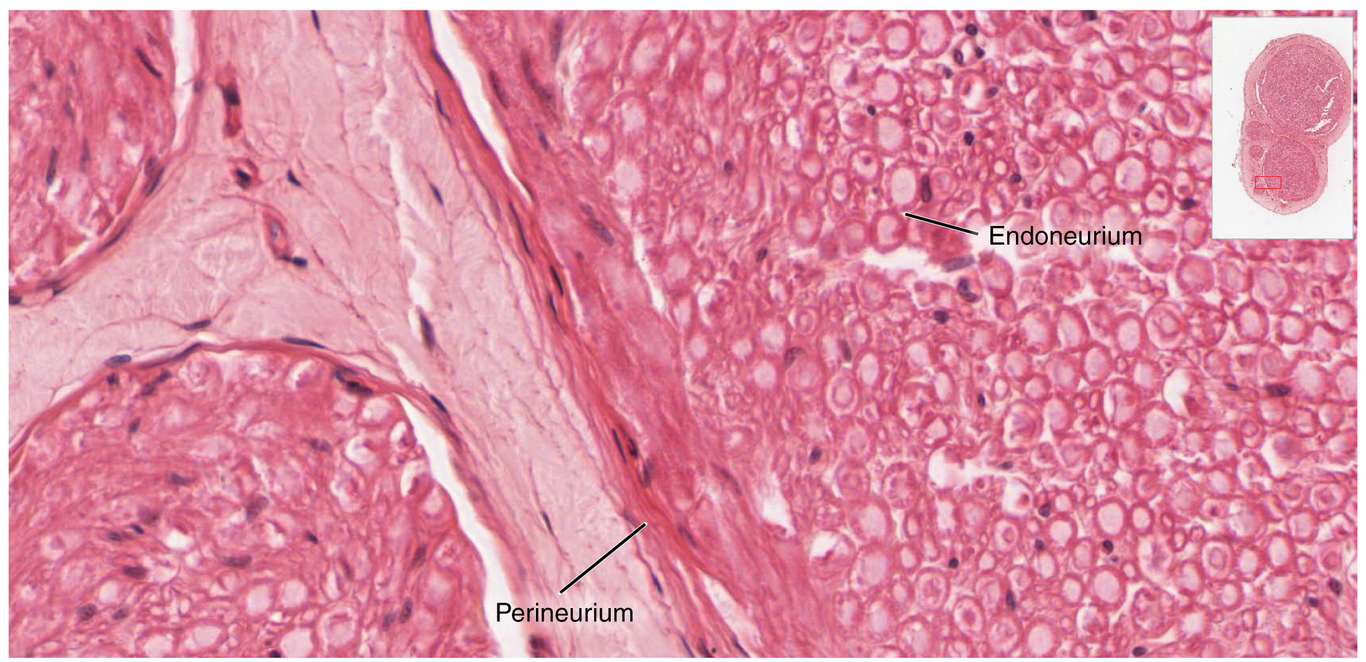
Nerves

Bundles of axons in the PNS are referred to as nerves. These structures in the periphery are different than the central counterpart, called a tract. Nerves are composed of more than just nervous tissue. They have connective tissues invested in their structure, as well as blood vessels supplying the tissues with nourishment. Nerves are associated with the region of the CNS to which they are connected, either as cranial nerves connected to the brain or spinal nerves connected to the spinal cord.

Close-Up of Nerve Trunk

This micrograph shows a magnified view of the nerve. The perineurium and the endoneurium are labeled.Zoom in on this slide of a nerve trunk to examine the endoneurium, perineurium, and epineurium in greater detail (tissue source: simian). LM × 1600. (Micrograph provided by the Regents of University of Michigan Medical School © 2012)

Cranial Nerves

The nerves attached to the brain are the cranial nerves, which are primarily responsible for the sensory and motor functions of the head and neck (one of these nerves targets organs in the thoracic and abdominal cavities as part of the parasympathetic nervous system). There are twelve cranial nerves, which are designated CNI through CNXII for “Cranial Nerve,” using Roman numerals for 1 through 12. They can be classified as sensory nerves, motor nerves, or a combination of both, meaning that the axons in these nerves originate out of sensory ganglia external to the cranium or motor nuclei within the brain stem. Sensory axons enter the brain to synapse in a nucleus. Motor axons connect to skeletal muscles of the head or neck. Three of the nerves are solely composed of sensory fibers; five are strictly motor; and the remaining four are mixed nerves.

Learning the cranial nerves is a tradition in anatomy courses, and students have always used mnemonic devices to remember the nerve names. A traditional mnemonic is the rhyming couplet, “On Old Olympus’ Towering Tops/A Finn And German Viewed Some Hops,” in which the initial letter of each word corresponds to the initial letter in the name of each nerve. The names of the nerves have changed over the years to reflect current usage and more accurate naming. An exercise to help learn this sort of information is to generate a mnemonic using words that have personal significance. The names of the cranial nerves are listed in Table along with a brief description of their function, their source (sensory ganglion or motor nucleus), and their target (sensory nucleus or skeletal muscle). They are listed here with a brief explanation of each nerve (Figure).

The olfactory nerve and optic nerve are responsible for the sense of smell and vision, respectively. The oculomotor nerve is responsible for eye movements by controlling four of the extraocular muscles. It is also responsible for lifting the upper eyelid when the eyes point up, and for pupillary constriction. The trochlear nerve and the abducens nerve are both responsible for eye movement, but do so by controlling different extraocular muscles. The trigeminal nerve is responsible for cutaneous sensations of the face and controlling the muscles of mastication. The facial nerve is responsible for the muscles involved in facial expressions, as well as part of the sense of taste and the production of saliva. The vestibulocochlear nerve is responsible for the senses of hearing and balance. The glossopharyngeal nerve is responsible for controlling muscles in the oral cavity and upper throat, as well as part of the sense of taste and the production of saliva. The vagus nerve is responsible for contributing to homeostatic control of the organs of the thoracic and upper abdominal cavities. The spinal accessory nerve is responsible for controlling the muscles of the neck, along with cervical spinal nerves. The hypoglossal nerve is responsible for controlling the muscles of the lower throat and tongue.

The Cranial Nerves

This diagrams shows the brain and the main nerves in the brain are labeled.

The anatomical arrangement of the roots of the cranial nerves observed from an inferior view of the brain.

Three of the cranial nerves also contain autonomic fibers, and a fourth is almost purely a component of the autonomic system. The oculomotor, facial, and glossopharyngeal nerves contain fibers that contact autonomic ganglia. The oculomotor fibers initiate pupillary constriction, whereas the facial and glossopharyngeal fibers both initiate salivation. The vagus nerve primarily targets autonomic ganglia in the thoracic and upper abdominal cavities.
Visit this site to read about a man who wakes with a headache and a loss of vision. His regular doctor sent him to an ophthalmologist to address the vision loss. The ophthalmologist recognizes a greater problem and immediately sends him to the emergency room. Once there, the patient undergoes a large battery of tests, but a definite cause cannot be found. A specialist recognizes the problem as meningitis, but the question is what caused it originally. How can that be cured? The loss of vision comes from swelling around the optic nerve, which probably presented as a bulge on the inside of the eye. Why is swelling related to meningitis going to push on the optic nerve?

Another important aspect of the cranial nerves that lends itself to a mnemonic is the functional role each nerve plays. The nerves fall into one of three basic groups. They are sensory, motor, or both (see Table). The sentence, “Some Say Marry Money But My Brother Says Brains Beauty Matter More,” corresponds to the basic function of each nerve. The first, second, and eighth nerves are purely sensory: the olfactory (CNI), optic (CNII), and vestibulocochlear (CNVIII) nerves. The three eye-movement nerves are all motor: the oculomotor (CNIII), trochlear (CNIV), and abducens (CNVI). The spinal accessory (CNXI) and hypoglossal (CNXII) nerves are also strictly motor. The remainder of the nerves contain both sensory and motor fibers. They are the trigeminal (CNV), facial (CNVII), glossopharyngeal (CNIX), and vagus (CNX) nerves. The nerves that convey both are often related to each other. The trigeminal and facial nerves both concern the face; one concerns the sensations and the other concerns the muscle movements. The facial and glossopharyngeal nerves are both responsible for conveying gustatory, or taste, sensations as well as controlling salivary glands. The vagus nerve is involved in visceral responses to taste, namely the gag reflex. This is not an exhaustive list of what these combination nerves do, but there is a thread of relation between them.

Cranial Nerves
Mnemonic#NameFunction (S/M/B)Central connection (nuclei)Peripheral connection (ganglion or muscle)
OnIOlfactorySmell (S)Olfactory bulbOlfactory epithelium
OldIIOpticVision (S)Hypothalamus/thalamus/midbrainRetina (retinal ganglion cells)
Olympus’IIIOculomotorEye movements (M)Oculomotor nucleusExtraocular muscles (other 4), levator palpebrae superioris, ciliary ganglion (autonomic)
ToweringIVTrochlearEye movements (M)Trochlear nucleusSuperior oblique muscle
TopsVTrigeminalSensory/motor – face (B)Trigeminal nuclei in the midbrain, pons, and medullaTrigeminal
AVIAbducensEye movements (M)Abducens nucleusLateral rectus muscle
FinnVIIFacialMotor – face, Taste (B)Facial nucleus, solitary nucleus, superior salivatory nucleusFacial muscles, Geniculate ganglion, Pterygopalatine ganglion (autonomic)
AndVIIIAuditory (Vestibulocochlear)Hearing/balance (S)Cochlear nucleus, Vestibular nucleus/cerebellumSpiral ganglion (hearing), Vestibular ganglion (balance)
GermanIXGlossopharyngealMotor – throat Taste (B)Solitary nucleus, inferior salivatory nucleus, nucleus ambiguusPharyngeal muscles, Geniculate ganglion, Otic ganglion (autonomic)
ViewedXVagusMotor/sensory – viscera (autonomic) (B)MedullaTerminal ganglia serving thoracic and upper abdominal organs (heart and small intestines)
SomeXISpinal AccessoryMotor – head and neck (M)Spinal accessory nucleusNeck muscles
HopsXIIHypoglossalMotor – lower throat (M)Hypoglossal nucleusMuscles of the larynx and lower pharynx

Spinal Nerves

The nerves connected to the spinal cord are the spinal nerves. The arrangement of these nerves is much more regular than that of the cranial nerves. All of the spinal nerves are combined sensory and motor axons that separate into two nerve roots. The sensory axons enter the spinal cord as the dorsal nerve root. The motor fibers, both somatic and autonomic, emerge as the ventral nerve root. The dorsal root ganglion for each nerve is an enlargement of the spinal nerve.

There are 31 spinal nerves, named for the level of the spinal cord at which each one emerges. There are eight pairs of cervical nerves designated C1 to C8, twelve thoracic nerves designated T1 to T12, five pairs of lumbar nerves designated L1 to L5, five pairs of sacral nerves designated S1 to S5, and one pair of coccygeal nerves. The nerves are numbered from the superior to inferior positions, and each emerges from the vertebral column through the intervertebral foramen at its level. The first nerve, C1, emerges between the first cervical vertebra and the occipital bone. The second nerve, C2, emerges between the first and second cervical vertebrae. The same occurs for C3 to C7, but C8 emerges between the seventh cervical vertebra and the first thoracic vertebra. For the thoracic and lumbar nerves, each one emerges between the vertebra that has the same designation and the next vertebra in the column. The sacral nerves emerge from the sacral foramina along the length of that unique vertebra.

AGING AND THE…

Nervous SystemAnosmia is the loss of the sense of smell. It is often the result of the olfactory nerve being severed, usually because of blunt force trauma to the head. The sensory neurons of the olfactory epithelium have a limited lifespan of approximately one to four months, and new ones are made on a regular basis. The new neurons extend their axons into the CNS by growing along the existing fibers of the olfactory nerve. The ability of these neurons to be replaced is lost with age. Age-related anosmia is not the result of impact trauma to the head, but rather a slow loss of the sensory neurons with no new neurons born to replace them.

Smell is an important sense, especially for the enjoyment of food. There are only five tastes sensed by the tongue, and two of them are generally thought of as unpleasant tastes (sour and bitter). The rich sensory experience of food is the result of odor molecules associated with the food, both as food is moved into the mouth, and therefore passes under the nose, and when it is chewed and molecules are released to move up the pharynx into the posterior nasal cavity. Anosmia results in a loss of the enjoyment of food.

As the replacement of olfactory neurons declines with age, anosmia can set in. Without the sense of smell, many sufferers complain of food tasting bland. Often, the only way to enjoy food is to add seasoning that can be sensed on the tongue, which usually means adding table salt. The problem with this solution, however, is that this increases sodium intake, which can lead to cardiovascular problems through water retention and the associated increase in blood pressure.


Heather Ketchum& Eric Bright, OU Human Physiology Textbook. OpenStax CNX. Jul 6, 2017. Download for free at http://cnx.org/contents/48d9cf34-dcfd-4dd3-a196-eec3eea6f408@1.9

Annotate

Next Chapter
Reflexes
PreviousNext
Kinesiology, Nutrition, and Fitness

Copyright © 2021

                                by Amanda Shelton

            Introduction to Exercise Science for Fitness Professionals by Amanda Shelton is licensed under a Creative Commons Attribution 4.0 International License, except where otherwise noted.
Powered by Manifold Scholarship. Learn more at
Opens in new tab or windowmanifoldapp.org