Skip to main content

Anatomy and Physiology Laboratory Manual for Nursing and Allied Health: Chapter 5 The Integumentary System

Anatomy and Physiology Laboratory Manual for Nursing and Allied Health
Chapter 5 The Integumentary System
  • Show the following:

    Annotations
    Resources
  • Adjust appearance:

    Font
    Font style
    Color Scheme
    Light
    Dark
    Annotation contrast
    Low
    High
    Margins
  • Search within:
    • Notifications
    • Privacy
  • Project HomeNatural Sciences Collection: Anatomy, Biology, and Chemistry
  • Projects
  • Learn more about Manifold

Notes

table of contents
  1. Cover
  2. Title Page
  3. Copyright
  4. Table Of Contents
  5. Introduction
  6. Main Body
    1. Chapter 1 An Introduction to the Human Body
    2. Chapter 2 The Chemical Level of Organization
    3. Chapter 3 The Cellular Level of Organization
    4. Chapter 4 The Tissue Level of Organization
    5. Chapter 5 The Integumentary System
    6. Chapter 6 Bone Tissue and the Skeletal System
    7. Chapter 7 Axial Skeleton
    8. Chapter 8 The Appendicular Skeleton
    9. Chapter 9 Joints
    10. Chapter 10 Muscle Tissue
    11. Chapter 11 The Muscular System
    12. Chapter 12 The Nervous System and Nervous Tissue
    13. Chapter 13 Anatomy of the Nervous System
    14. Chapter 14 The Somatic Nervous System
    15. Chapter 15 The Autonomic Nervous System
    16. Chapter 16 The Neurological Exam
    17. Chapter 17 The Endocrine System
    18. Chapter 18 The Cardiovascular System: Blood
    19. Chapter 19 The Cardiovascular System: The Heart
    20. Chapter 20 The Cardiovascular System: Blood Vessels and Circulation
    21. Chapter 21 The Lymphatic and Immune System
    22. Chapter 22 The Respiratory System
    23. Chapter 23 The Digestive System
    24. Chapter 24 Metabolism and Nutrition
    25. Chapter 25 The Urinary System
    26. Chapter 26 Fluid, Electrolyte and Acid-Base Balance
    27. Chapter 27 The Reproductive System
    28. Chapter 28 Development and Inheritance
    29. Tutorial on Drawing Anatomical Structures

5

Chapter 5 The Integumentary System

By Ganesan L. Kamatchi

Motivation

Jaundiced baby under UV light
Figure 5.1. Significance of skin color in diagnosis. Many preterm babies are jaundiced and need to be treated under a UV light. This is an example of how skin color is used in diagnosis (Credit: Kurt Voelker, Flickr images, CC-BY-NC license)

Human skin is the first anatomical site a nurse examines when seeing a patient, using it as an indicator of general health such as oxygenation, nutritional status, and injury1. Skin color is mostly based on the pigmentation or melanin found in the keratinocytes in the epidermis of skin. In addition, the blood supply to the surface (redness), injury (bruising), and jaundice (yellowing) can affect skin color.

Skin color of different races has led to many misconceptions in medicine. 40% of white medical students surveyed in 2016 thought that black skin is thicker than white skin therefore making black patients more resistant to pain!2 In reality, the sensory receptors called free nerves endings found within the dermis of skin detect pain and are completely unrelated to skin color which is not just black and white, but many shades in between. Let’s get our facts right and serve patients of all skin color without misconceptions.

Credit:

  1. Everett JS, Budescu M, Sommers MS. Making Sense of Skin Color in Clinical Care. Clin Nurs Res. 2012;21(4):495-516. doi:10.1177/1054773812446510
  2. How we fail black patients in pain | AAMC. https://www.aamc.org/news-insights/how-we-fail-black-patients-pain. Accessed July 22, 2020.

Learning Objectives

Upon completion of the work in this chapter on the integumentary system, students should be able to:

  • Describe the layers of epidermis of thick and thin skin
  • Identify the basis for skin color
  • Differentiate the layers of dermis
  • Explain epidermal ridges, dermal papillae and fingerprints
  • Differentiate sebaceous glands, merocrine (eccrine) and apocrine sweat glands
  • Identify parts of hair follicle
  • Describe the structure of nail

Background.

Although you may not typically think of the skin as an organ, it is in fact made of tissues that work together as a single structure to perform unique and critical functions.  The skin and its accessory structures make up the integumentary system, which provides the body with overall protection.  The skin is made of multiple layers of cells and tissues, which are held to underlying structures by connective tissue.  The top layer is called epidermis and comprises several layers of cells.  The layer underneath the epidermis is called dermis and is made of connective tissue.  The dermis is well vascularized (has numerous blood vessels) and has numerous sensory, and autonomic and sympathetic nerve fibers ensuring communication to and from the brain.  The layer below the dermis is called hypodermis, not considered as a part of the integument, and consists of well-vascularized, loose, areolar connective tissue and adipose tissue (Figure 5.2).

Drawing of skin to show layers and main structures
Figure 5.1 Layers of Skin. The skin is composed of two main layers: the epidermis, made of closely packed epithelial cells, and the dermis, made of dense, irregular connective tissue that houses blood vessels, hair follicles, sweat glands, and other structures. Beneath the dermis lies the hypodermis, which is composed mainly of loose connective and fatty tissues. (Credit: Adopted from OpenStax Anatomy and Physiology, CC-BY 4.0 license)

The epidermis is composed of keratinized, stratified squamous epithelium.  It is made of four or five layers of epithelial cells, depending on its location in the body.  Skin that has four layers of cells is referred to as “thin skin” (all over the body except the palms of the hand and the soles of the foot).   From deep to superficial, these layers are the stratum basale, stratum spinosum, stratum granulosum, and stratum corneum.  The palm and sole have an additional layer, stratum lucidum (between stratum corneum stratum granulosum) and referred to as the “thick skin” (Figure 5.3).

Drawing showing layers of epidermis
Figure 5.3. Layers of the Epidermis. The epidermis of thick skin has five layers: stratum basale, stratum spinosum, stratum granulosum, stratum lucidum, and stratum corneum.

The color of skin is influenced by the presence of a pigment called melanin.  It is produced by cells called melanocytes, which are found scattered throughout the stratum basale of the epidermis.  The melanin is transferred into the keratinocytes via a cellular vesicle called a melanosome (Figure 5.4).

Drawing of skin melanocytes that produce melanin
Figure 5.4 Skin Pigmentation. The relative coloration of the skin depends on the amount of melanin produced by melanocytes in the stratum basale and taken up by keratinocytes. (Credit: Adapted from OpenStax Anatomy and Physiology, CC-BY 4.0 license)

Hair

Accessory structures of the skin include hair, nails, sweat glands, and sebaceous glands.  These structures embryologically originate from the epidermis and can extend down through the dermis into the hypodermis (Figure 5.5 and Figure 5.6).

Hair in skin - drawing
Figure 5.5 Hair. Hair follicles originate in the epidermis and have many different parts. (Credit: Adapted from OpenStax Anatomy and Physiology, CC-BY 4.0 license)

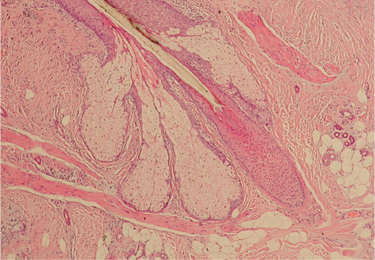
Hair follicle micrograph
Figure 5.6 Hair Follicle. The slide shows a cross-section of a hair follicle. Basal cells of the hair matrix in the center differentiate into cells of the inner root sheath. Basal cells at the base of the hair root form the outer root sheath. LM × 4. (Credit: Adapted from OpenStax Anatomy and Physiology, CC-BY 4.0 license)

Sweat Glands

When the body becomes warm, sudoriferous glands (aka. sweat glands) produce sweat to cool the body.  Sweat glands develop from epidermal projections into the dermis and are classified as eccrine sweat glands and apocrine sweat glands.  The location of these glands and the type of sweat released by them are different.  Eccrine sweat glands are the major sweat glands of the human body, responsible for temperature regulation and found in virtually all skin, with the highest density in palm and soles, then on the head, but much less on the torso and the extremities.

Eccrine sweat gland drawing within skin
Figure 5.7 Eccrine Sweat Gland. Eccrine glands are coiled glands in the dermis that release sweat that is mostly water. (Credit: Adapted from OpenStax Anatomy and Physiology, CC-BY 4.0 license)

Nail

Nail is a specialized skin appendage that is a claw-like keratinous plate at the tip of the fingers and toes in most primates.  Fingernails and toenails are made of a tough protective protein called alpha-keratin which is a polymer and found in the hooves, hair, claws and horns of vertebrates.  The nail consists of the nail plate, the nail matrix and the nail bed below it, and the grooves surrounding it.

Drawing of nail structures with labels
Figure 5.8 Nails. The nail is an accessory structure of the integumentary system. (Credit: Adapted from OpenStax Anatomy and Physiology, CC-BY 4.0 license)

Pre-Laboratory Questions

Review the background information provided in the chapter and answer these questions prior to starting the exercises.

  1. What are the layers of skin?
  2. What is the basis for skin color?
  3. Does the skin have any sense organs?
  4. What are the functions of skin?
  5. What are the accessory structures of skin?

Exercises

  • Exercise 1 Layers of Integument
  • Exercise 2 Layers of Epidermis
  • Exercise 3 Skin Pigmentation
  • Exercise 4 Axillaries of Skin – Hair
  • Exercise 5 Axillaries of Skin – Eccrine Sweat Glands

Exercise 1 Layers of Integument

Required Materials

  • Slide of skin
  • Classroom model of skin

Procedure

  1. Obtain a slide of skin or a model of skin.
  2. Observe the organization of various layers of the skin
  3. Identify
    • Epidermis
    • Dermis
    • Hypodermis and
    • Accessory structures
  1. Sketch the skin and label the parts of the integument shown in Figure 5.2 above, observed at low and high magnification.

Exercise 2 Layers of Epidermis

Required Materials

  • Compound microscope
  • Slide of thick skin (palmar or plantar skin)
  • Skin slide (hairy skin, skin with sweatglands, etc)

Procedure

  1. Obtain a slide of either “thick” or “thin” skin.
  2. Place it on the stage of the microscope and scan the slide at low power.
  3. Once the epithelial layer is visible in the field of view, switch to high power.
  4. Examine all the layers of the epidermis and study the difference between the layers (Figure 5.3).
  5. Sketch the layers as seen in the microscope and make sure to label all structures identified, observed at low and high magnification.

Exercise 3 Skin Pigmentation

Required Materials

  • Compound microscope
  • Slide of pigmented skin epithelium

Procedure

  1. Obtain a slide of pigmented skin.
  2. Place it on the stage of the microscope and scan the slide at low power.
  3. Once the layers are visible in the field of view, switch to high power.
  4. Examine all the layers of the epidermis and study the pigmented layers (Figure 5.4).
  5. Sketch the layers as seen in the microscope and label all relevant structures, observed at low and high magnification.

Exercise 4 Axillaries of Skin – Hair

Required Materials

  • Compound microscope
  • Slide of scalp skin (hairy)

Procedure

  1. Obtain a slide of scalp, place it on the stage of the microscope and scan the slide until a hair follicle is visible in the field of view.
  2. Observe that there are three distinct regions to a hair: 1) the shaft, the portion of hair that is outside the body surface; 2) the root, the portion within the skin and 3) the bulb, the enlarged base of the hair (Figure 5.5 and 5.6).
  3. Note the other accessory structures of skin such as the oil secreting sebaceous glands and the apocrine sweat glands that are connected to the hair root; and arrector pili muscle that is also attached to the hair bulb (Figure 5.5 and 5.6.
  4. Sketch the skin as seen in the microscope and label the structures related to hair as well as adjacent parts, observed at low and high magnification.

Exercise 5 Axillaries of Skin – Eccrine Sweat Glands

Required Materials

  • Compound microscope
  • Slide of skin from general body surface showing sweat glands

Procedure

  1. Obtain a slide of skin, place it on the stage of the microscope and scan the slide until an eccrine sweat gland is visible in the field of view.
  2. Observe that it originates from the dermis and the duct reaches the skin surface and the pore is exposed to the skin surface (Figure 5.7).
  3. Sketch the skin area with eccrine sweat glands as seen in the microscope, observed at low and high magnification.

Exercise 6 Axillaries of Skin – Nail

Required Materials

  • Compound microscope
  • Slide of developing nail

Procedure

  1. Obtain a slide of nail, place it on the stage of the microscope and scan it to view all the parts of the nail mentioned above
  2. Identify
    • Nail plate
    • Nail matrix
    • Nail body
    • Nail root
    • Lunula
  1. Sketch the nail and its parts as seen in the microscope, observed at low and high magnification.

Post-laboratory Questions

1.The papillary layer of the dermis is most closely associated with which layer of the epidermis?

A. stratum spinosum

B. stratum corneum

C. stratum granulosum

D. stratum basal

2.Eccrine sweat glands ________.

A. are present on hair

B. are present in the skin throughout the body and produce watery sweat

C. produce sebum

D. act as a moisturizer

3.Sebaceous glands ________.

A. are a type of sweat gland

B. are associated with hair follicles

C. may function in response to touch

D. release a watery solution of salt and metabolic waste

4.Similar to the hair, nails grow continuously throughout our lives. Which of the following is furthest from the nail growth center?

A. nail bed

B. hyponychium

C. nail root

D. eponychium

5.An individual using a sharp knife notices a small amount of blood where he just cut himself. Which of the following layers of skin did he have to cut into in order to bleed?

A. stratum corneum

B. stratum basale

C. papillary dermis

D. stratum granulosum

6. As you are walking down the beach, you see a dead, dry, shriveled-up fish. Which layer of your epidermis keeps you from drying out?

A. stratum corneum

B. stratum basale

C. stratum spinosum

D. stratum granulosum

7.An individual has spent too much time sun bathing. Not only is his skin painful to touch, but small blisters have appeared in the affected area. This indicates that he has damaged which layers of his skin?

A. epidermis only

B. hypodermis only

C. epidermis and hypodermis

D. epidermis and dermis

Annotate

Next Chapter
Chapter 6 Bone Tissue and the Skeletal System
PreviousNext
Lab Manuals
Powered by Manifold Scholarship. Learn more at
Opens in new tab or windowmanifoldapp.org