Skip to main content

Anatomy and Physiology Laboratory Manual for Nursing and Allied Health: Chapter 10 Muscle Tissue

Anatomy and Physiology Laboratory Manual for Nursing and Allied Health
Chapter 10 Muscle Tissue
  • Show the following:

    Annotations
    Resources
  • Adjust appearance:

    Font
    Font style
    Color Scheme
    Light
    Dark
    Annotation contrast
    Low
    High
    Margins
  • Search within:
    • Notifications
    • Privacy
  • Project HomeNatural Sciences Collection: Anatomy, Biology, and Chemistry
  • Projects
  • Learn more about Manifold

Notes

table of contents
  1. Cover
  2. Title Page
  3. Copyright
  4. Table Of Contents
  5. Introduction
  6. Main Body
    1. Chapter 1 An Introduction to the Human Body
    2. Chapter 2 The Chemical Level of Organization
    3. Chapter 3 The Cellular Level of Organization
    4. Chapter 4 The Tissue Level of Organization
    5. Chapter 5 The Integumentary System
    6. Chapter 6 Bone Tissue and the Skeletal System
    7. Chapter 7 Axial Skeleton
    8. Chapter 8 The Appendicular Skeleton
    9. Chapter 9 Joints
    10. Chapter 10 Muscle Tissue
    11. Chapter 11 The Muscular System
    12. Chapter 12 The Nervous System and Nervous Tissue
    13. Chapter 13 Anatomy of the Nervous System
    14. Chapter 14 The Somatic Nervous System
    15. Chapter 15 The Autonomic Nervous System
    16. Chapter 16 The Neurological Exam
    17. Chapter 17 The Endocrine System
    18. Chapter 18 The Cardiovascular System: Blood
    19. Chapter 19 The Cardiovascular System: The Heart
    20. Chapter 20 The Cardiovascular System: Blood Vessels and Circulation
    21. Chapter 21 The Lymphatic and Immune System
    22. Chapter 22 The Respiratory System
    23. Chapter 23 The Digestive System
    24. Chapter 24 Metabolism and Nutrition
    25. Chapter 25 The Urinary System
    26. Chapter 26 Fluid, Electrolyte and Acid-Base Balance
    27. Chapter 27 The Reproductive System
    28. Chapter 28 Development and Inheritance
    29. Tutorial on Drawing Anatomical Structures

10

Chapter 10 Muscle Tissue

By Joseph D’Silva

Motivation.

Muscles really stand out in athletes. You cannot miss them.  The athletes we see here are Shaq O’Neil, Serena Williams and LeBron James.  Their skeletal muscles stand out as you can see from the pictures below.

Showing three athletes with developed muscles
Figure 10.1.  Shaquille O’Neal, Serena Williams, and LeBron James. (Credit: Wikimedia)

But athletes suffer injuries to their muscles. You can relate to them because you have seen them carried off the court or field on stretchers. Think of an athlete you have seen because he injured a hamstring muscle! Sports medicine and physiotherapy are huge nowadays. As more and more athletes compete, there will be more muscle injuries and you can contemplate building a career in sports medicine for yourself.

Learning Objectives

Upon completion of the work in this chapter students should be able to:

  • Identify and define muscle fiber.
  • State the organelles located in the muscle fiber.
  • Compare and contrast skeletal, cardiac and smooth muscle fibers.
  • Define neuromuscular junction and state its function.

Background.

We have skeletal muscles in our own bodies (maybe not as big as the athletes’ above!). The flesh we are made up of contains muscle tissue and is attached to bones. Muscles are needed to move our body parts. They move our skeleton, heart and gastrointestinal tract. There are three types of muscles: skeletal, cardiac and smooth.  Cardiac muscle is in our heart and smooth muscles are located in the walls of our stomach and intestine as well as other tubular organs.

Skeletal muscle functions to help us to move bones. We can will them to do that voluntarily. However, cardiac and smooth muscles are beyond our control and function involuntarily from the time we are in the womb until we pass away.  Skeletal muscles need our attention for many reasons. One of them is to maintain posture. Also, to lift weights, anchor ourselves, plant our feet. With age, muscle tone can be lost. Particularly, the elderly skeletal muscles need attention because they do not use their muscles as much as they should resulting in muscle loss. There are also disorders of the musculo-skeletal system that can be debilitating.

To know about muscles, you have to study their histology first. That is, you have to look at muscle tissue under the microscope. Once you know that, you can study the large muscles that stand out in our body. In this chapter, you will learn to identify skeletal, cardiac and smooth muscles.

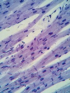
Skeletal muscles contain tissues that are made up of muscle cells aka muscle fiber (Figure 10.2). 

Histology image of a muscle fiber under the microscope
Figure 10.2.  Showing skeletal muscle. Notice the striations and multinucleate cytoplasm. The nuclei are dark in color. (Credit: Wikimedia)

 Each muscle fiber has a cell membrane (sarcolemma), cell cytoplasm (sarcoplasm) and nucleus. The cytoplasm is dotted with organelles (Figure 10.3): Golgi apparatus, endoplasmic (sarcoplasmic) reticulum, mitochondria,  ribosomes, lysosomes, myofibrils and myofilaments, triads, A-band, I-band (Figure 10.4 and 10.5). Each of the many organelles has a particular function. But as a whole they produce relaxation and contraction in  muscle tissue.  

The sarcolemma is the membrane that covers the muscle cell (Figure 10.3). The cell contains cytoplasm in which myofibrils are very prominent. The myofibrils are surrounded by mitochondria and endoplasmic reticulum. There are three structures around the myofibrils that form the triad: terminal cisterna, T-tubule and sarcoplasmic reticulum (Figure 10.4). The myofibrils contain two protein structures known as myosin and actin. The sarcomere is a unit of structure and function in the muscle cell. It runs from one I-band to another with the A-band in the middle. The I-band and A-band can only be observed with an electron microscope. The A-band is dark. The I-band is light (Figure 10.5). When the sarcomere shortens reducing the distance between the two Z discs, the muscle contracts (Figure 10.5).

Figure 10.3. Muscle fiber is a cell containing sarcoplasm and organelles shown in this figure. (Credit: Wikimedia)

Figure 10.4.  The sarcoplasmic reticulum, terminal cisternae and T-tubule are shown here forming the triad. (Credit: OpenStax https://cnx.org/contents)
Figure 10. 5. The sarcomere is shown here with its I and A bands. Note that the A bands are dark and the I bands are light. (Credit: Wikimedia)

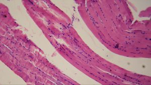
There are structural and functional differences between the three types of muscles. Skeletal muscle fibers can be identified by their multinucleate cytoplasm and striations (Figure 10.2) . Skeletal muscles move bones. Cardiac muscle fibers have one nucleus per cell, branched striations and intercalated disk (Figure 10.6). Cardiac muscles are found in the heart where they squeeze it to pump blood. Smooth muscles do not have striations. They are spindle-shaped with one nucleus in each cell (Figure 10.7). Smooth cells are found mostly in the gastrointestinal tract where they move the stomach and intestine as well as in the walls of other tubular organs such as the urinary tract and reproductive tract, helping move materials along within these tubes.

Figure 10.6. Cardiac muscles.  Notice striations, intercalated disks (bands), single nucleus in a cell. The cells are also branched. (Credit: Wikimedia)

Figure 10.7.  Smooth muscle. Unlike skeletal and cardiac muscle fibers, there are no striations. There is one nucleus per nucleus. (Credit: Wikimedia)

The nervous system and muscular system work closely together to maintain proper muscle contraction and relaxation. Skeletal muscles are innervated by motor neurons we can voluntarily activate or inactivate (Figure 10.8). The axon ends from the neuron send signals to the motor end plate of the sarcolemma of the skeletal muscle fiber to contract and relax the muscles. A neurotransmitter (chemical) called acetylcholine is released from the axon into the space between the neuron and muscle fiber (synaptic cleft). The neurotransmitter then binds cell surface proteins on the sarcolemma to initiate events for muscle contraction.

Figure 10.8. The neuromuscular junction is the attachment of the axon of a nerve cell to the motor end plate of a muscle cell. (Credit: Wikimedia)

Pre-Laboratory Questions

  1. The sarcomere is a unit of structure in the muscle fiber. Describe the structure of a sarcomere. Use diagrams and electron micrographs to help you.
  2. The sarcomere is also a unit of function. How can you relate the function of the sarcomere to the movement of a muscle, say biceps?
  3. Define a (a) skeletal muscle, (b) smooth, and (c) cardiac muscle.
  4. Create a concept map listing events that occur in a neuromuscular junction when dendrites receive a stimulus such as a pin prick.

Exercises

  • Exercise 1. Identify the microscopic features of skeletal muscle
  • Exercise 2. Identify the organelles found in a muscle fiber
  • Exercise 3. Identify cardiac muscle tissue
  • Exercise 4. Identify smooth muscle tissue
  • Exercise 5. Describe neuromuscular junction

Exercise 1. Identify the microscopic features of skeletal muscle

Required Materials

  • Compound microscope
  • Skeletal muscle slide

Procedure

  1. Obtain a slide of the skeletal muscle (Figure 10.2)
  2. Using a compound microscope focus on the tissue using the 4x objective.
  3. Switch to the low magnification 10x objective lens and scan the slide showing skeletal muscle.
  4. Repeat your observations high magnification of the 40x objective.
  5. Notice the dark nuclei. They are more than one in each cell and are located to a side in the sarcoplasm.
  6. Observe the striations that appear as light and dark bands. Striations and multinuclei define skeletal muscle fiber.
  7. Sketch what you observed at low and high magnification and label the main structures.

Exercise 2. Identify the organelles found in a muscle fiber

Required Materials

  • 3D Model of the Sarcomere
  • Post-it notes

Procedure

  1. Observe a 3-dimensional model of the sarcomere.
  2. Use your post-it notes to label on the model the organelles in the sarcoplasm: sarcolemma, sarcoplasm, nucleus, sarcomere, myofibrils, myofilaments and triad (Figure 10.3, 10.4, 10.5)
  3. Take a picture of the model with your post-it notes attached. Insert in the space below. (Alternatively, you can draw a picture of the sarcomere and label this figure with the structures indicated.)

Exercise 3. Identify cardiac muscle tissue  magnification.

Required Materials

  • Compound microscope
  • Cardiac muscle slide

Procedure

  1. Obtain a slide of the cardiac muscle (Figure 10.6)
  2. Using a compound microscope focus on the tissue using the 4x objective.
  3. Switch to the low magnification 10x objective lens and scan the slide showing cardiac muscle.
  4. Repeat your observations high magnification of the 40x objective.
  5. Notice striations, intercalated disks (bands), single nucleus in a cell. The cells are also branched.
  6. Sketch what you observed at low and high magnification and label the main structures.

Exercise 4. Identify smooth muscle tissue

Required Materials

  • Compound microscope
  • Smooth muscle slide

Procedure

  1. Obtain a slide of the smooth muscle (Figure 10.7)
  2. Using a compound microscope focus on the tissue using the 4x objective.
  3. Switch to the low magnification 10x objective lens and scan the slide showing smooth muscle.
  4. Repeat your observations high magnification of the 40x objective.
  5. Unlike skeletal and cardiac muscle fibers, there are no striations. There is one nucleus per nucleus.
  6. Sketch what you observed at low and high magnification and label the main structures.

Exercise 5. Describe neuromuscular junction.

Required Materials

  • Compound microscope
  • Neuromuscular spindle slide

Procedure

  1. Obtain a slide that shows skeletal muscle tissue with a nerve cell. The axons of nerve cells (neurons) touch the sarcolemma and stimulate it to relax and contract (Figure 10.8)
  2. Using a compound microscope focus on the tissue using the 4x objective.
  3. Switch to the low magnification 10x objective lens and scan the slide showing axon ends and motor end plate.
  4. Repeat your observations high magnification of the 40x objective.
  5. Notice the nerves, axon ends, striated muscle fibers, and the motor end plate.
  6. Sketch what you observed at low and high magnification and label the main structures.

Post-laboratory Questions

  1. Construct a table with three columns. Now, describe similarities and dissimilarities in structure  (a) between skeletal muscle and smooth muscle; (b) smooth and cardiac muscle; (c) skeletal muscle and cardiac muscle.
    SimilaritiesDissimilarities
    Question (a)

    skeletal vs. smooth

    Question (b)

    smooth vs. cardiac

    Question (c)

    skeletal vs. cardiac

2. Draw a muscle fiber and label:

a. Myofilament

b. Sarcoplasmic reticulum

c. T-tubule

d. Triad

3. Fill in the blanks:

a. Myofilament plays a role in _______________________

b. The sarcoplasmic reticulum functions to _____________________

c. The T-tubule can be defined as _______________________

d. The triad is a set of structures that ______________________________

4. The synaptic cleft is a _______________ between the _________________ and _______________

5. Acetylcholine is a neurotransmitter located in ____________________

6. Explain what happens when acetylcholine is released into the synaptic cleft.

7. What is the function of dendrites? What is the function of axons?

Annotate

Next Chapter
Chapter 11 The Muscular System
PreviousNext
Lab Manuals
Powered by Manifold Scholarship. Learn more at
Opens in new tab or windowmanifoldapp.org