Skip to main content

Anatomy and Physiology Laboratory Manual for Nursing and Allied Health: Chapter 23 The Digestive System

Anatomy and Physiology Laboratory Manual for Nursing and Allied Health
Chapter 23 The Digestive System
  • Show the following:

    Annotations
    Resources
  • Adjust appearance:

    Font
    Font style
    Color Scheme
    Light
    Dark
    Annotation contrast
    Low
    High
    Margins
  • Search within:
    • My Notes + Comments
    • Notifications
    • Privacy
  • Project HomeNatural Sciences Collection: Anatomy, Biology, and Chemistry
  • Projects
  • Learn more about Manifold

Notes

table of contents
  1. Cover
  2. Title Page
  3. Copyright
  4. Table Of Contents
  5. Introduction
  6. Main Body
    1. Chapter 1 An Introduction to the Human Body
    2. Chapter 2 The Chemical Level of Organization
    3. Chapter 3 The Cellular Level of Organization
    4. Chapter 4 The Tissue Level of Organization
    5. Chapter 5 The Integumentary System
    6. Chapter 6 Bone Tissue and the Skeletal System
    7. Chapter 7 Axial Skeleton
    8. Chapter 8 The Appendicular Skeleton
    9. Chapter 9 Joints
    10. Chapter 10 Muscle Tissue
    11. Chapter 11 The Muscular System
    12. Chapter 12 The Nervous System and Nervous Tissue
    13. Chapter 13 Anatomy of the Nervous System
    14. Chapter 14 The Somatic Nervous System
    15. Chapter 15 The Autonomic Nervous System
    16. Chapter 16 The Neurological Exam
    17. Chapter 17 The Endocrine System
    18. Chapter 18 The Cardiovascular System: Blood
    19. Chapter 19 The Cardiovascular System: The Heart
    20. Chapter 20 The Cardiovascular System: Blood Vessels and Circulation
    21. Chapter 21 The Lymphatic and Immune System
    22. Chapter 22 The Respiratory System
    23. Chapter 23 The Digestive System
    24. Chapter 24 Metabolism and Nutrition
    25. Chapter 25 The Urinary System
    26. Chapter 26 Fluid, Electrolyte and Acid-Base Balance
    27. Chapter 27 The Reproductive System
    28. Chapter 28 Development and Inheritance
    29. Tutorial on Drawing Anatomical Structures

23

Chapter 23 The Digestive System

By Joseph D’Silva

Motivation. 

Figure 23.1 The blue circle is the global sign for diabetes. Credit: Wikimedia Commons by IntDiabetesFed, license CC-BY-SA-3.0

Diabetes is a disorder of pancreas which is an accessory organ of the digestive system. In diabetes the pancreas is unable to regulate the level of sugar in our blood. Diabetes prevalence is disparately high in African-American populations in the U.S. compared to other racial groups.

The pancreas is an associated part of the digestive system that consists of the mouth, pharynx, esophagus, stomach, small and large intestine. Other associated components of the digestive system are the liver and gall bladder. The digestive system functions to process food that is eaten and to convert it into useable energy by metabolism and therefore the digestive system is important in our lives for survival. Diabetes  is a disorder that can be managed with a proper diet and exercise. In this chapter, you will learn the parts of the digestive system and its associated organs and their functions.

Learning Objectives

Upon completion of the work in this chapter students should be able to:

  • Identify the structures of the digestive system and associated parts.
  • Describe the histology of the esophagus, stomach, small and large intestine.
  • Explain the function of the stomach, small and large intestine.
  • Describe the function of the liver, gall bladder and pancreas.
  • Explain carbohydrate metabolism.

Background.

The digestive system consists of the mouth, pharynx, esophagus, stomach, small intestine and large intestine. The organs associated with the digestive system are the liver, gall bladder and pancreas and several glands (Figure 23.2). Each organ of the digestive system is made up of specialized tissues with specific functions (Figure 23.3).

Figure 23.2 Components of the digestive system. Credit: OpenStax Anatomy and Physiology, license CC-BY-4.0

The digestive system is mostly suspended in the abdominal cavity. Food goes through the digestive canal or alimentary canal (Figure 23.2) and is processed as it moves down the lumens of a set of digestive organs starting with the mouth.

Figure 23.3 Layers of the alimentary canal. Credit: OpenStax Anatomy and Physiology, license CC-BY 4.0

The mouth is a cavity with teeth, tongue and salivary glands. The pharynx is a hollow tube that connects with the esophagus (Figure 23.4). (The pharynx is also connected with the respiratory system.)

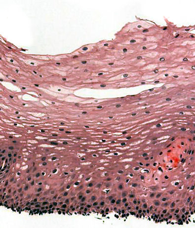
Figure 23.4 Histology of the esophagus. Stratified squamous epithelium faces the lumen. Credit: Wikipedia by user Samir, license CC-BY-SA

The tubular esophagus passes through an opening in the diaphragm (muscular organ that divides the thoracic and abdominal cavity.) It leads to a curved stomach which is essentially a holding bag that is  a muscular organ (Figures 23.4 and 23.5).

Figure 23.5 The stomach. Structure of the stomach are shown. Credit: OpenStax Anatomy and Physiology, license CC-BY-4.0

Figure 23.5 Histology of the stomach. Credit: OpenStax Anatomy and Physiology, license CC-BY-4.0

The stomach is connected to the small intestine which is approximately 671 cm., long. Most of digestion and absorption occur in the small intestine. Between the stomach and the small intestine is a pyloric sphincter. It is a valve that prevents the backflow of food once it passes from the stomach into the small intestine (Figure 23.6).

Figure 23.6 Histology of the Small Intestine (a) The absorptive surface of the small intestine is vastly enlarged by the presence of circular folds, villi, and microvilli. (b) Micrograph of the circular folds. (c) Micrograph of the villi. (d) Electron micrograph of the microvilli. From left to right, LM x 56, LM x 508, EM x 196,000. (credit b-d: Micrograph provided by the Regents of University of Michigan Medical School © 2012) Credit: OpenStax Anatomy and Physiology, license CC-BY-4.0

Undigested food passes from the small intestine into the large intestine. The large intestine is 213 cm long (Figure 23.7). The large intestine stores waste such as feces and water.

Figure 23.7 Histology of the large Intestine (a) The histologies of the large intestine and small intestine (not shown) are adapted for the digestive functions of each organ. (b) This micrograph shows the colon’s simple columnar epithelium and goblet cells. LM x 464. (credit b: Micrograph provided by the Regents of University of Michigan Medical School © 2012). Credit: OpenStax Anatomy and Physiology, license CC-BY-4.0

The pancreas is an organ located in the bend between the stomach and small intestine (Figure 23.8). It secretes a number of enzymes that mediates to break down carbohydrates, proteins and fats.

Figure 23.8 Anatomy and histology of the pancreas. The pancreas has a head, a body, and a tail. The exocrine part of pancreas produces pancreatic juice containing digestive enzymes that get delivered to the duodenum through the pancreatic duct. Credit: OpenStax Anatomy and Physiology, license CC-BY-4.0.

The liver functions to remove toxins and store sugar, as well as producing bile that is stored in the gallbladder and helps with digestion of fats (Figure 23.9). The gall bladder stores this bile that emulsifies fats.

Figure 23.9 The microanatomy of the liver. The hepatocytes produce bile that get carried to the gallbladder via the bile duct. Credit: OpenStax Anatomy and Phyiology, license CC-BY-4.0

The main functions of the digestive system are movement food (propulsion), digestion of food by secreted chemicals or mechanically, and absorption of the digested food (Figure 23.10, Table 1).

Figure 23.10 The main functions of the digestive system. Credit: OpenStax Anatomy and Physiology, license CC-BY-4.0
Table 1 Functions of the Digestive System
OrganMajor functionsOther functions
Mouth
  • Ingests food
  • Chews and mixes food
  • Begins chemical breakdown of carbohydrates via salivary amylase
  • Moves food into the pharynx
  • Begins breakdown of lipids via lingual lipase
  • Moistens and dissolves food, allowing you to taste it
  • Cleans and lubricates the teeth and oral cavity
  • Has some antimicrobial activity
Pharynx
  • Propels food from the oral cavity to the esophagus
  • Lubricates food and passageways
Esophagus
  • Propels food to the stomach
  • Lubricates food and passageways
Stomach
  • Mixes and churns food with gastric juices to form chyme
  • Begins chemical breakdown of proteins
  • Releases food into the duodenum as chyme
  • Absorbs some fat-soluble substances (for example, alcohol, aspirin)
  • Possesses antimicrobial functions
  • Stimulates protein-digesting enzymes
  • Secretes intrinsic factor required for vitamin B12 absorption in small intestine
Small intestine
  • Mixes chyme with digestive juices
  • Propels food at a rate slow enough for digestion and absorption
  • Absorbs breakdown products of carbohydrates, proteins, lipids, and nucleic acids, along with vitamins, minerals, and water
  • Performs physical digestion via segmentation
  • Provides optimal medium for enzymatic activity
Accessory organs
  • Liver: produces bile salts, which emulsify lipids, aiding their digestion and absorption
  • Gallbladder: stores, concentrates, and releases bile
  • Pancreas: produces digestive enzymes and bicarbonate
  • Bicarbonate-rich pancreatic juices help neutralize acidic chyme and provide optimal environment for enzymatic activity
Large intestine
  • Further breaks down food residues
  • Absorbs most residual water, electrolytes, and vitamins produced by enteric bacteria
  • Propels feces toward rectum
  • Eliminates feces
  • Food residue is concentrated and temporarily stored prior to defecation
  • Mucus eases passage of feces through colon

Pre-Laboratory Questions

  1. Relate the parts of the digestive to your own body. Name the structures in the mouth that are associated with the digestive system.
  2. Draw and name the parts of the stomach.
  3. The stomach functions to ___________.
  4. Look up the histology of the stomach, small and large intestines. What four structures do these organs have in common?
  5. In the abdominal cavity, the liver is located in the ______ ______ quadrant. Name two functions of the liver.

Exercises

  • Exercise 1 Main organs of the digestive system
  • Exercise 2 Accessory organs of the digestive system
  • Exercise 3 Histology of esophagus, stomach, small intestine and large intestine
  • Exercise 4 Microanatomy of  the pancreas and liver
  • Exercise 5 Digestion of starch by salivary enzymes

Exercise 1 Main organs of the digestive system

Required Materials

  • The Digestive System Poster
  • Human Digestive System Model
  • Torso Models
  • Post-it notes
  • Labeling tape

Procedure

  1. Study a poster and models of the digestive system and identify the mouth, pharynx, esophagus, stomach, small and large intestine.
  2. Using post-it notes or labeling tape label these structures on the torso model. Take a picture and insert the picture in the space below. Alternatively you can sketch and label these structures.

Exercise 2 Accessory organs of the digestive system

Required Materials

  • The Digestive System Poster
  • Human Digestive System Model
  • Torso Models
  • Construction paper
  • Tape
  • Markers

Procedure

  1. On your torso model, locate the precise position of the organs associated with the digestive system: pancreas, liver, gall bladder.
  2. The abdominal cavity can be divided into four quadrants or nine regions. Use these quadrants/ regions to locate the organs. Use colorful construction paper, tape and markers to delineate the four quadrants of the abdominal cavity on the model.
  3. Write in the pancreas, liver, and gallbladder into the quadrants you find them in. Take a picture of your labeled model. Insert the picture below. Alternatively, you can sketch and label to show the abdominal locations of these accessory organs. 
  4. Fill in the chart below indicating the location of the digestive organs and the accessory organs of the digestive system that reside in the abdominal cavity: stomach, small intestine, large intestine, liver, gall bladder, pancreas.
Right Upper Quadrant (RUQ)

Left Upper Quadrant (RUQ)

Right Lower Quadrant (LLQ)

 

Left Lower Quadrant (LLQ)

 

Exercise 3 Histology of esophagus, stomach, small intestine and large intestine

Required Materials

  • Compound microscope
  • Microscope lens paper
  • Microscope lens cleaning solution
  • Microscope immersion oil
  • Slide of Mammal Esophagus
  • Mammal Stomach Composite slide
  • Mammal Intestine Composite slide
  • Large Intestine (Human) slide

Procedure

  1. Obtain histological slides and study the structure of the esophagus, stomach, small and large intestine.
  2. There are four structures that you should be able to identify by looking through a microscope: mucosa, submucosa, muscularis and serosa.
  3. Study the tissues and record how they are different. Provide labeled sketches below to show these layers in the four slides:

Exercise 4 Microanatomy of  the pancreas and liver

Required Materials

  • Compound microscope
  • Microscope lens paper
  • Microscope lens cleaning solution
  • Microscope immersion oil
  • Human Pancreas slide
  • Human Liver slide

Procedure

  1. Obtain slides to show the tissues and cells that make up the pancreas and liver. These are accessory organs of the digestive system.
  2. Locate the islets of Langerhans that play a critical role in controlling blood sugar levels. What is the hormone that is secreted by the islets of Langerhans? ______________
  3. The liver is divided into lobules. What are the cells that make up the liver primarily? State their function. _________________________________
  4. Sketch what you observed under the microscope in the pancreas and liver slides. Label the hepatocytes of liver, and the islets and exocrine acini of pancreas.

Exercise 5 Digestion of starch by salivary enzymes

Required Materials

  • Test tubes
  • Test tube rack
  • Tube labeling pen
  • 1% starch solution
  • Water
  • Iodine (KI) solution in dropper bottle
  • Graduated cylinder
  • ruler

Procedure

  1. Carry out an experiment to show the presence of carbohydrates. Ask your instructor for three test tubes.
  2. Label test tubes A, B & C. The test tubes A & B will be your experimental sample. Test tube C will be control.
    • Test Tube A: Saliva + Starch
    • Test Tube B: Water + Starch
    • Test Tube C: Water + Water
  3. Collect saliva in test Test Tube A.
  4. Use a ruler to measure the amount of saliva in Test Tube A.
  5. Mark Test Tube B and C to the same level. Add water to this level.
  6. Put 2 ml of starch into Test Tube A and into Test Tube B.
  7. Put 2 ml of deionized water into Test Tube C.
  8. Put a drop of iodine (KI) solution into each tube. Remember that iodine solution itself is yellow/brown and it turns purple in the presence of starch.
  9. Write down the results in the table below. Put a check mark if you see a reaction (purple) and an X if there is none.
Test Tube ATest Tube BTest Tube C
Reaction

10. Did your saliva digest starch? Use your results to explain your answer. ____________________________

Post-laboratory Questions

  1. Name the sphincter muscles that allow foods to enter and leave the stomach.
  2. One role of hydrochloric acid HCl in the stomach is to convert a precursor enzyme ________ to ________.
  3. The four layers of the small and large intestine are _________, _______, _______, and _______.
  4. The islets of Langerhans secretes a hormone called_________  that regulates blood sugar levels.

Annotate

Next Chapter
Chapter 24 Metabolism and Nutrition
PreviousNext
Lab Manuals
Powered by Manifold Scholarship. Learn more at
Opens in new tab or windowmanifoldapp.org