Skip to main content

Anatomy & Physiology 2e: 3.1 The Cell Membrane

Anatomy & Physiology 2e
3.1 The Cell Membrane
  • Show the following:

    Annotations
    Resources
  • Adjust appearance:

    Font
    Font style
    Color Scheme
    Light
    Dark
    Annotation contrast
    Low
    High
    Margins
  • Search within:
    • My Notes + Comments
    • Notifications
    • Privacy
  • Project HomeNatural Sciences Collection: Anatomy, Biology, and Chemistry
  • Projects
  • Learn more about Manifold

Notes

table of contents
  1. Cover
  2. Title Page
  3. Copyright
  4. Table Of Contents
  5. Chapter 1. An Introduction to the Human Body
    1. 1.0 Introduction
    2. 1.1 How Structure Determines Function
    3. 1.2 Structural Organization of the Human Body
    4. 1.3 Homeostasis
    5. 1.4 Anatomical Terminology
    6. 1.5 Medical Imaging
  6. Chapter 2. The Chemical Level of Organization
    1. 2.0 Introduction
    2. 2.1 Elements and Atoms: The Building Blocks of Matter
    3. 2.2 Chemical Bonds
    4. 2.3 Chemical Reactions
    5. 2.4 Inorganic Compounds Essential to Human Functioning
    6. 2.5 Organic Compounds Essential to Human Functioning
  7. Chapter 3. The Cellular Level of Organization
    1. 3.0 Introduction
    2. 3.1 The Cell Membrane
    3. 3.2 The Cytoplasm and Cellular Organelles
    4. 3.3 The Nucleus and DNA Replication
    5. 3.4 Protein Synthesis
    6. 3.5 Cell Growth and Division
    7. 3.6 Cellular Differentiation
  8. Chapter 4. The Tissue Level of Organization
    1. 4.0 Introduction
    2. 4.1 Types of Tissues
    3. 4.2 Epithelial Tissue
    4. 4.3 Connective Tissue Supports and Protects
    5. 4.4 Muscle Tissue
    6. 4.5 Nervous Tissue
    7. 4.6 Tissue Injury and Aging
  9. Chapter 5. The Integumentary System
    1. 5.0 Introduction
    2. 5.1 Layers of the Skin
    3. 5.2 Accessory Structures of the Skin
    4. 5.3 Functions of the Integumentary System
    5. 5.4 Diseases, Disorders, and Injuries of the Integumentary System
  10. Chapter 6. Bone Tissue and the Skeletal System
    1. 6.0 Introduction
    2. 6.1 The Functions of the Skeletal System
    3. 6.2 Bone Classification
    4. 6.3 Bone Structure
    5. 6.4 Bone Formation and Development
    6. 6.5 Fractures: Bone Repair
    7. 6.6 Exercise, Nutrition, Hormones, and Bone Tissue
    8. 6.7 Calcium Homeostasis: Interactions of the Skeletal System and Other Organ Systems
  11. Chapter 7. Axial Skeleton
    1. 7.0 Introduction
    2. 7.1 Divisions of the Skeletal System
    3. 7.2 Bone Markings
    4. 7.3 The Skull
    5. 7.4 The Vertebral Column
    6. 7.5 The Thoracic Cage
    7. 7.6 Embryonic Development of the Axial Skeleton
  12. Chapter 8. The Appendicular Skeleton
    1. 8.0 Introduction
    2. 8.1 The Pectoral Girdle
    3. 8.2 Bones of the Upper Limb
    4. 8.3 The Pelvic Girdle and Pelvis
    5. 8.4 Bones of the Lower Limb
    6. 8.5 Development of the Appendicular Skeleton
  13. Chapter 9. Joints
    1. 9.0 Introduction
    2. 9.1 Classification of Joints
    3. 9.2 Fibrous Joints
    4. 9.3 Cartilaginous Joints
    5. 9.4 Synovial Joints
    6. 9.5 Types of Body Movements
    7. 9.6 Anatomy of Selected Synovial Joints
    8. 9.7 Development of Joints
  14. Chapter 10. Muscle Tissue
    1. 10.0 Introduction
    2. 10.1 Overview of Muscle Tissues
    3. 10.2 Skeletal Muscle
    4. 10.3 Muscle Fiber Excitation, Contraction, and Relaxation
    5. 10.4 Nervous System Control of Muscle Tension
    6. 10.5 Types of Muscle Fibers
    7. 10.6 Exercise and Muscle Performance
    8. 10.7 Smooth Muscle Tissue
    9. 10.8 Development and Regeneration of Muscle Tissue
  15. Chapter 11. The Muscular System
    1. 11.0 Introduction
    2. 11.1 Describe the roles of agonists, antagonists and synergists
    3. 11.2 Explain the organization of muscle fascicles and their role in generating force
    4. 11.3 Explain the criteria used to name skeletal muscles
    5. 11.4 Axial Muscles of the Head Neck and Back
    6. 11.5 Axial muscles of the abdominal wall and thorax
    7. 11.6 Muscles of the Pectoral Girdle and Upper Limbs
    8. 11.7 Appendicular Muscles of the Pelvic Girdle and Lower Limbs
  16. Chapter 12. The Nervous System and Nervous Tissue
    1. 12.0 Introduction
    2. 12.1 Structure and Function of the Nervous System
    3. 12.2 Nervous Tissue
    4. 12.3 The Function of Nervous Tissue
    5. 12.4 Communication Between Neurons
    6. 12.5 The Action Potential
  17. Chapter 13. The Peripheral Nervous System
    1. 13.0 Introduction
    2. 13.1 Sensory Receptors
    3. 13.2 Ganglia and Nerves
    4. 13.3 Spinal and Cranial Nerves
    5. 13.4 Relationship of the PNS to the Spinal Cord of the CNS
    6. 13.5 Ventral Horn Output and Reflexes
    7. 13.6 Testing the Spinal Nerves (Sensory and Motor Exams)
    8. 13.7 The Cranial Nerve Exam
  18. Chapter 14. The Central Nervous System
    1. 14.0 Introduction
    2. 14.1 Embryonic Development
    3. 14.2 Blood Flow the meninges and Cerebrospinal Fluid Production and Circulation
    4. 14.3 The Brain and Spinal Cord
    5. 14.4 The Spinal Cord
    6. 14.5 Sensory and Motor Pathways
  19. Chapter 15. The Special Senses
    1. 15.0 Introduction
    2. 15.1 Taste
    3. 15.2 Smell
    4. 15.3 Hearing
    5. 15.4 Equilibrium
    6. 15.5 Vision
  20. Chapter 16. The Autonomic Nervous System
    1. 16.0 Introduction
    2. 16.1 Divisions of the Autonomic Nervous System
    3. 16.2 Autonomic Reflexes and Homeostasis
    4. 16.3 Central Control
    5. 16.4 Drugs that Affect the Autonomic System
  21. Chapter 17. The Endocrine System
    1. 17.0 Introduction
    2. 17.1 An Overview of the Endocrine System
    3. 17.2 Hormones
    4. 17.3 The Pituitary Gland and Hypothalamus
    5. 17.4 The Thyroid Gland
    6. 17.5 The Parathyroid Glands
    7. 17.6 The Adrenal Glands
    8. 17.7 The Pineal Gland
    9. 17.8 Gonadal and Placental Hormones
    10. 17.9 The Pancreas
    11. 17.10 Organs with Secondary Endocrine Functions
    12. 17.11 Development and Aging of the Endocrine System
  22. Chapter 18. The Cardiovascular System: Blood
    1. 18.0 Introduction
    2. 18.1 Functions of Blood
    3. 18.2 Production of the Formed Elements
    4. 18.3 Erythrocytes
    5. 18.4 Leukocytes and Platelets
    6. 18.5 Hemostasis
    7. 18.6 Blood Typing
  23. Chapter 19. The Cardiovascular System: The Heart
    1. 19.0 Introduction
    2. 19.1 Heart Anatomy
    3. 19.2 Cardiac Muscle and Electrical Activity
    4. 19.3 Cardiac Cycle
    5. 19.4 Cardiac Physiology
    6. 19.5 Development of the Heart
  24. Chapter 20. The Cardiovascular System: Blood Vessels and Circulation
    1. 20.0 Introduction
    2. 20.1 Structure and Function of Blood Vessels
    3. 20.2 Blood Flow, Blood Pressure, and Resistance
    4. 20.3 Capillary Exchange
    5. 20.4 Homeostatic Regulation of the Vascular System
    6. 20.5 Circulatory Pathways
    7. 20.6 Development of Blood Vessels and Fetal Circulation
  25. Chapter 21. The Lymphatic and Immune System
    1. 21.0 Introduction
    2. 21.1 Anatomy of the Lymphatic and Immune Systems
    3. 21.2 Barrier Defenses and the Innate Immune Response
    4. 21.3 The Adaptive Immune Response: T lymphocytes and Their Functional Types
    5. 21.4 The Adaptive Immune Response: B-lymphocytes and Antibodies
    6. 21.5 The Immune Response against Pathogens
    7. 21.6 Diseases Associated with Depressed or Overactive Immune Responses
    8. 21.7 Transplantation and Cancer Immunology
  26. Chapter 22. The Respiratory System
    1. 22.0 Introduction
    2. 22.1 Organs and Structures of the Respiratory System
    3. 22.2 The Lungs
    4. 22.3 The Process of Breathing
    5. 22.4 Gas Exchange
    6. 22.5 Transport of Gases
    7. 22.6 Modifications in Respiratory Functions
    8. 22.7 Embryonic Development of the Respiratory System
  27. Chapter 23. The Digestive System
    1. 23.0 Introduction
    2. 23.1 Overview of the Digestive System
    3. 23.2 Digestive System Processes and Regulation
    4. 23.3 The Mouth, Pharynx, and Esophagus
    5. 23.4 The Stomach
    6. 23.5 Accessory Organs in Digestion: The Liver, Pancreas, and Gallbladder
    7. 23.6 The Small and Large Intestines
    8. 23.7 Chemical Digestion and Absorption: A Closer Look
  28. Chapter 24. Metabolism and Nutrition
    1. 24.0 Introduction
    2. 24.1 Overview of Metabolic Reactions
    3. 24.2 Carbohydrate Metabolism
    4. 24.3 Lipid Metabolism
    5. 24.4 Protein Metabolism
    6. 24.5 Metabolic States of the Body
    7. 24.6 Energy and Heat Balance
    8. 24.7 Nutrition and Diet
  29. Chapter 25. The Urinary System
    1. 25.0 Introduction
    2. 25.1 Internal and External Anatomy of the Kidney
    3. 25.2 Microscopic Anatomy of the Kidney: Anatomy of the Nephron
    4. 25.3 Physiology of Urine Formation: Overview
    5. 25.4 Physiology of Urine Formation: Glomerular Filtration
    6. 25.5 Physiology of Urine Formation: Tubular Reabsorption and Secretion
    7. 25.6 Physiology of Urine Formation: Medullary Concentration Gradient
    8. 25.7 Physiology of Urine Formation: Regulation of Fluid Volume and Composition
    9. 25.8 Urine Transport and Elimination
    10. 25.9 The Urinary System and Homeostasis
  30. Chapter 26. Fluid, Electrolyte, and Acid-Base Balance
    1. 26.0 Introduction
    2. 26.1 Body Fluids and Fluid Compartments
    3. 26.2 Water Balance
    4. 26.3 Electrolyte Balance
    5. 26.4 Acid-Base Balance
    6. 26.5 Disorders of Acid-Base Balance
  31. Chapter 27. The Sexual Systems
    1. 27.0 Introduction
    2. 27.1 Anatomy of Sexual Systems
    3. 27.2 Development of Sexual Anatomy
    4. 27.3 Physiology of the Female Sexual System
    5. 27.4 Physiology of the Male Sexual System
    6. 27.5 Physiology of Arousal and Orgasm
  32. Chapter 28. Development and Inheritance
    1. 28.0 Introduction
    2. 28.1 Fertilization
    3. 28.2 Embryonic Development
    4. 28.3 Fetal Development
    5. 28.4 Maternal Changes During Pregnancy, Labor, and Birth
    6. 28.5 Adjustments of the Infant at Birth and Postnatal Stages
    7. 28.6 Lactation
    8. 28.7 Patterns of Inheritance
  33. Creative Commons License
  34. Recommended Citations
  35. Versioning

3.1 The Cell Membrane

Learning Objectives

By the end of this section, you will be able to:

  • Describe the molecular components that make up the cell membrane
  • Relate structures of the cell membrane to its functions
  • Describe how molecules cross the cell membrane based on their properties and concentration gradients
  • Compare and contrast different types of passive transport with active transport, providing examples of each

Despite differences in structure and function, all living cells in multicellular organisms have a surrounding cell membrane. Just as the outer layer of your skin separates your body from its environment, the cell membrane (also known as the plasma membrane) separates the inner contents of a cell from its exterior environment. This cell membrane provides a protective barrier around the cell and regulates which materials can pass in or out.

Structure and Composition of the Cell Membrane

The cell membrane is an extremely pliable structure composed primarily of two layers of phospholipids (a “bilayer”). Cholesterol and various proteins are also embedded within the membrane giving the membrane a variety of functions described below.

A single phospholipid molecule has a phosphate group on one end, called the “head,” and two side-by-side chains of fatty acids that make up the lipid “tails” (Figure 3.1.1). The lipid tails of one layer face the lipid tails of the other layer, meeting at the interface of the two layers. The phospholipid heads face outward, one layer exposed to the interior of the cell and one layer exposed to the exterior (Figure 3.1.1).

This diagram shows the structure of a phospholipid. The hydrophilic head group is shown as a pink sphere and the two tails are shown as yellow rectangles. This diagram shows a phospholipid bilayer. Two sets of phospholipids are arranged such that the hydrophobic tails are facing each other and the hydrophilic heads are facing the extracellular environment.
Figure 3.1.1 – Phospholipid Structure and Bilayer: A phospholipid molecule consists of a polar phosphate “head,” which is hydrophilic and a non-polar lipid “tail,” which is hydrophobic. Unsaturated fatty acids result in kinks in the hydrophobic tails. The phospholipid bilayer consists of two adjacent sheets of phospholipids, arranged tail to tail. The hydrophobic tails associate with one another, forming the interior of the membrane. The polar heads contact the fluid inside and outside of the cell.

The phosphate group is negatively charged, making the head polar and hydrophilic—or “water loving.” A hydrophilic molecule (or region of a molecule) is one that is attracted to water. The phosphate heads are thus attracted to the water molecules of both the extracellular and intracellular environments. The lipid tails, on the other hand, are uncharged, or nonpolar, and are hydrophobic—or “water fearing.” A hydrophobic molecule (or region of a molecule) repels and is repelled by water. Phospholipids are thus amphipathic molecules. An amphipathic molecule is one that contains both a hydrophilic and a hydrophobic region. In fact, soap works to remove oil and grease stains because it has amphipathic properties. The hydrophilic portion can dissolve in the wash water while the hydrophobic portion can trap grease in stains that then can be washed away. A similar process occurs in your digestive system when bile salts (made from cholesterol, phospholipids and salt) help to break up ingested lipids.

Since the phosphate groups are polar and hydrophilic, they are attracted to water in the intracellular fluid. Intracellular fluid (ICF) is the fluid interior of the cell. The phosphate groups are also attracted to the extracellular fluid. Extracellular fluid (ECF) is the fluid environment outside the enclosure of the cell membrane (see above Figure). Since the lipid tails are hydrophobic, they meet in the inner region of the membrane, excluding watery intracellular and extracellular fluid from this space. In addition to phospholipids and cholesterol, the cell membrane has many proteins detailed in the next section.

Membrane Proteins

The lipid bilayer forms the basis of the cell membrane, but it is peppered throughout with various proteins. Two different types of proteins that are commonly associated with the cell membrane are the integral protein and peripheral protein (Figure 3.1.2). As its name suggests, an integral protein is a protein that is embedded in the membrane. Many different types of integral proteins exist, each with different functions. For example, an integral protein that extends an opening through the membrane for ions to enter or exit the cell is known as a channel protein. Peripheral proteins are typically found on the inner or outer surface of the lipid bilayer but can also be attached to the internal or external surface of an integral protein.

This image shows a lipid bilayer with different types of proteins, lipids and cholesterol embedded in it.
Figure 3.1.2- Cell Membrane: The cell membrane of the cell is a phospholipid bilayer containing many different molecular components, including proteins and cholesterol, some with carbohydrate groups attached.

Some integral proteins serve as cell recognition or surface identity proteins, which mark a cell’s identity so that it can be recognized by other cells. Some integral proteins act as enzymes, or in cell adhesion, between neighboring cells. A receptor is a type of recognition protein that can selectively bind a specific molecule outside the cell, and this binding induces a chemical reaction within the cell. Some integral proteins serve dual roles as both a receptor and an ion channel. One example of a receptor-channel interaction is the receptors on nerve cells that bind neurotransmitters, such as dopamine. When a dopamine molecule binds to a dopamine receptor protein, a channel within the transmembrane protein opens to allow certain ions to flow into the cell. Peripheral proteins are often associated with integral proteins along the inner cell membrane where they play a role in cell signaling or anchoring to internal cellular components (ie: cytoskeleton discussed later).

Some integral membrane proteins are glycoproteins. A glycoprotein is a protein that has carbohydrate molecules attached, which extend into the extracellular environment. The attached carbohydrate tags on glycoproteins aid in cell recognition. The carbohydrates that extend from membrane proteins and even from some membrane lipids collectively form the glycocalyx. The glycocalyx is a fuzzy-appearing coating around the cell formed from glycoproteins and other carbohydrates attached to the cell membrane. The glycocalyx can have various roles. For example, it may have molecules that allow the cell to bind to another cell, it may contain receptors for hormones, or it might have enzymes to break down nutrients. The glycocalyces found in a person’s body are products of that person’s genetic makeup. They give each of the individual’s trillions of cells the “identity” of belonging in the person’s body. This identity is the primary way that a person’s immune defense cells “know” not to attack the person’s own body cells, but it also is the reason organs donated by another person might be rejected.

Transport Across the Cell Membrane

One of the great wonders of the cell membrane is its ability to regulate the concentration of substances inside the cell. These substances include ions such as Ca++, Na+, K+, and Cl–, nutrients including sugars, fatty acids, and amino acids, and waste products, particularly carbon dioxide (CO2), which must leave the cell.

The membrane’s lipid bilayer structure provides the first level of control. The phospholipids are tightly packed together, and the membrane has a hydrophobic interior. This structure causes the membrane to be selectively permeable. A membrane that has selective permeability allows only substances meeting certain criteria to pass through it unaided. In the case of the cell membrane, only relatively small, nonpolar materials can move through the lipid bilayer (remember, the lipid tails of the membrane are nonpolar). Some examples of these are other lipids, oxygen and carbon dioxide gases, and alcohol. However, water-soluble materials—like glucose, amino acids, and electrolytes—need some assistance to cross the membrane because they are repelled by the hydrophobic tails of the phospholipid bilayer. All substances that move through the membrane do so by one of two general methods, which are categorized based on whether or not energy is required. Passive transport is the movement of substances across the membrane without the expenditure of cellular energy. In contrast, active transport is the movement of substances across the membrane using energy from adenosine triphosphate (ATP).

Passive Transport

In order to understand how substances move passively across a cell membrane, it is necessary to understand concentration gradients and diffusion. A concentration gradient is the difference in concentration of a substance across a space. Molecules (or ions) will spread/diffuse from where they are more concentrated to where they are less concentrated until they are equally distributed in that space. (When molecules move in this way, they are said to move down their concentration gradient, from high concentration to low concentration.) Diffusion is the movement of particles from an area of higher concentration to an area of lower concentration. A couple of common examples will help to illustrate this concept. Imagine being inside a closed room. If a bottle of perfume were sprayed, the scent molecules would naturally diffuse from the spot where they left the bottle to all corners of the room, and this diffusion would go on until the molecules were equally distributed in the room. Another example is a spoonful of sugar placed in a cup of tea. Eventually the sugar will diffuse throughout the tea until no concentration gradient remains. In both cases, if the room is warmer or the tea hotter, diffusion occurs even faster as the molecules are bumping into each other and spreading out faster than at cooler temperatures.

External Website

diffusion

Visit this link to see diffusion and how it is propelled by the kinetic energy of molecules in solution. How does temperature affect diffusion rate, and why?

Whenever a substance exists in greater concentration on one side of a semipermeable membrane, such as cell membranes, any substance that can move down its concentration gradient across the membrane will do so. If the substances can move across the cell membrane without the cell expending energy, the movement of molecules is called passive transport. Consider substances that can easily diffuse through the lipid bilayer of the cell membrane, such as the gases oxygen (O2) and carbon dioxide (CO2). These small, fat soluble gasses and other small lipid soluble molecules can dissolve in the membrane and enter or exit the cell following their concentration gradient. This mechanism of molecules moving across a cell membrane from the side where they are more concentrated to the side where they are less concentrated is a form of passive transport called simple diffusion. O2 generally diffuses into cells because it is more concentrated outside of them, and CO2 typically diffuses out of cells because it is more concentrated inside of them.

Before moving on, it is important to realize that the concentration gradients for oxygen and carbon dioxide will always exist across a living cell and never reach equal distribution. This is because cells rapidly use up oxygen during metabolism and so, there is typically a lower concentration of O2 inside the cell than outside. As a result, oxygen will diffuse from outside the cell directly through the lipid bilayer of the membrane and into the cytoplasm within the cell. On the other hand, because cells produce CO2 as a byproduct of metabolism, CO2 concentrations rise within the cytoplasm; therefore, CO2 will move from the cell through the lipid bilayer and into the extracellular fluid, where its concentration is lower. (Figure 3.1.3).

This figure shows the simple diffusion of small non-polar molecules across the plasma membrane. A red horizontal arrow pointing towards the right indicates the progress of time. The nonpolar molecules are shown in blue and are present in higher numbers in the extracellular fluid. There are a few nonpolar molecules in the cytoplasm and their number increases with time.
Figure 3.1.3 – Simple Diffusion Across the Cell (Plasma) Membrane: The structure of the lipid bilayer allows small, uncharged substances such as oxygen and carbon dioxide, and hydrophobic molecules such as lipids, to pass through the cell membrane, down their concentration gradient, by simple diffusion.

Large polar or ionic molecules, which are hydrophilic, cannot easily cross the phospholipid bilayer. Charged atoms or molecules of any size cannot cross the cell membrane via simple diffusion as the charges are repelled by the hydrophobic tails in the interior of the phospholipid bilayer. Solutes dissolved in water on either side of the cell membrane will tend to diffuse down their concentration gradients, but because most substances cannot pass freely through the lipid bilayer of the cell membrane, their movement is restricted to protein channels and specialized transport mechanisms in the membrane. Facilitated diffusion is the diffusion process used for those substances that cannot cross the lipid bilayer due to their size, charge, and/or polarity but do so down their concentration gradients (Figure 3.1.4). As an example, even though sodium ions (Na+) are highly concentrated outside of cells, these electrolytes are charged and cannot pass through the nonpolar lipid bilayer of the membrane. Their diffusion is facilitated by membrane proteins that form sodium channels (or “pores”), so that Na+ ions can move down their concentration gradient from outside the cells to inside the cells.  A common example of facilitated diffusion using a carrier protein is the movement of glucose into the cell, where it is used to make ATP. Although glucose can be more concentrated outside of a cell, it cannot cross the lipid bilayer via simple diffusion because it is both large and polar, and therefore, repelled by the phospholipid membrane. To resolve this, a specialized carrier protein called the glucose transporter will transfer glucose molecules into the cell to facilitate its inward diffusion. The difference between a channel and a carrier is that the carrier usually changes shape during the diffusion process, while the channel does not. There are many other solutes that must undergo facilitated diffusion to move into a cell, such as amino acids, or to move out of a cell, such as wastes.

This diagram shows the different means of facilitated diffusion across the plasma membrane. In the top panel, a channel protein is shown to allow the transport of solutes across the membrane. In the bottom panel, the membrane contains carrier proteins in addition to channel proteins.
Figure 3.1.4 – Facilitated Diffusion: (a) Facilitated diffusion of substances crossing the cell (plasma) membrane takes place with the help of proteins such as channel proteins and carrier proteins. Channel proteins are less selective than carrier proteins, and usually mildly discriminate between their cargo based on size and charge. (b) Carrier proteins are more selective, often only allowing one particular type of molecule to cross.

Osmosis

A specialized example of facilitated transport is water moving across the cell membrane of all cells, through protein channels known as aquaporins. Osmosis is the diffusion of water through a semipermeable membrane from where there is more relative water to where there is less relative water (down its water concentration gradient) (Figure 3.1.5).

This figure shows the diffusion of water through osmosis. The left panel shows a beaker with water and different solute concentrations. A semipermeable membrane is present in the middle of the beaker. In the right panel, the water concentration is higher to the right of the semipermeable membrane.
Figure 3.1.5 – Osmosis: Osmosis is the diffusion of water through a semipermeable membrane down its concentration gradient. If a membrane is permeable to water, though not to a solute, water will equalize its own concentration by diffusing to the side of lower water concentration (and thus the side of higher solute concentration). In the beaker on the left, the solution on the right side of the membrane is hypertonic.

On their own, cells cannot regulate the movement of water molecules across their membrane, so it is important that cells are exposed to an environment in which the concentration of solutes outside of the cells (in the extracellular fluid) is equal to the concentration of solutes inside the cells (in the cytoplasm). Two solutions that have the same concentration of solutes are said to be isotonic (equal tension). When cells and their extracellular environments are isotonic, the concentration of water molecules is the same outside and inside the cells, and the cells maintain their normal shape (and function).

Osmosis occurs when there is an imbalance of solutes outside of a cell versus inside the cell. A solution that has a higher concentration of solutes than another solution is said to be hypertonic, and water molecules tend to diffuse into a hypertonic solution (Figure 3.1.6). Cells in a hypertonic solution will shrivel as water leaves the cell via osmosis. In contrast, a solution that has a lower concentration of solutes than another solution is said to be hypotonic, and water molecules tend to diffuse out of a hypotonic solution. Cells in a hypotonic solution will take on too much water and swell, with the risk of eventually bursting. A critical aspect of homeostasis in living things is to create an internal environment in which all of the body’s cells are in an isotonic solution. Various organ systems, particularly the kidneys, work to maintain this homeostasis.

This image shows how a red blood cell responds to the tonicity of solution. The left panel shows the hypertonic case, the middle panel shows the isotonic case and the right panel shows the hypotonic case.
Figure 3.1.6 – Concentration of Solution: A hypertonic solution has a solute concentration higher than another solution. An isotonic solution has a solute concentration equal to another solution. A hypotonic solution has a solute concentration lower than another solution.

Active Transport

For all of the transport methods described above, the cell expends no energy. Membrane proteins that aid in the passive transport of substances do so without the use of ATP. During primary active transport, ATP is required to move a substance across a membrane, with the help of membrane protein, and against its concentration gradient.

One of the most common types of active transport involves proteins that serve as pumps. The word “pump” probably conjures up thoughts of using energy to pump up the tire of a bicycle or a basketball. Similarly, energy from ATP is required for these membrane proteins to transport substances—molecules or ions—across the membrane, against their concentration gradients (from an area of low concentration to an area of high concentration).

The sodium-potassium pump, which is also called Na+/K+ ATPase, transports sodium out of a cell while moving potassium into the cell. The Na+/K+ pump is an important ion pump found in the membranes of all cells. The activity of these pumps in nerve cells is so great that it accounts for the majority of their ATP usage.

This diagram shows many sodium potassium pumps embedded in the membrane. Potassium is pumped into the cytoplasm and sodium is pumped out of the cytoplasm.
Figure 3.1.7 The sodium-potassium pump is found in many cell (plasma) membranes. Powered by ATP, the pump moves sodium and potassium ions in opposite directions, each against its concentration gradient. In a single cycle of the pump, three sodium ions are extruded from and two potassium ions are imported into the cell.

Active transport pumps can also work together with other active or passive transport systems to move substances across the membrane. For example, the sodium-potassium pump maintains a high concentration of sodium ions outside of the cell. Therefore, if the cell needs sodium ions, all it has to do is open a passive sodium channel, as the concentration gradient of the sodium ions will drive them to diffuse into the cell. In this way, the action of an active transport pump (the sodium-potassium pump) powers the passive transport of sodium ions by creating a concentration gradient. When active transport powers the transport of another substance in this way, it is called secondary active transport.

Symporters are secondary active transporters that move two substances in the same direction. For example, the sodium-glucose symporter uses sodium ions to “pull” glucose molecules into the cell. Since cells store glucose for energy, glucose is typically at a higher concentration inside of the cell than outside; however, due to the action of the sodium-potassium pump, sodium ions will easily diffuse into the cell when the symporter is opened. The flood of sodium ions through the symporter provides the energy that allows glucose to move through the symporter and into the cell, against its concentration gradient.

Conversely, antiporters are secondary active transport systems that transport substances in opposite directions. For example, the sodium-hydrogen ion antiporter uses the energy from the inward flood of sodium ions to move hydrogen ions (H+) out of the cell. The sodium-hydrogen antiporter is used to maintain the pH of the cell’s interior.

Other Forms of Membrane Transport

Other forms of active transport do not involve membrane carriers. Endocytosis (bringing “into the cell”) is the process of a cell ingesting material by enveloping it in a portion of its cell membrane, and then pinching off that portion of membrane (Figure 3.1.8). Once pinched off, the portion of membrane and its contents becomes an independent, intracellular vesicle. A vesicle is a membranous sac—a spherical and hollow organelle bounded by a lipid bilayer membrane. Endocytosis often brings materials into the cell that must to be broken down or digested. Phagocytosis (“cell eating”) is the endocytosis of large particles. Many immune cells engage in phagocytosis of invading pathogens. Like little Pac-men, their job is to patrol body tissues for unwanted matter, such as invading bacterial cells, phagocytize them, and digest them. In contrast to phagocytosis, pinocytosis (“cell drinking”) brings fluid containing dissolved substances into a cell through membrane vesicles.

This image shows the three different types of endocytosis. The left panel shows phagocytosis, where a large particle is seen to be engulfed by the membrane into a vacuole. In the middle panel, pinocytosis is shown, where a small particle is engulfed into a vesicle. In the right panel, receptor-mediated endocytosis is shown; the ligand binds to the receptor and is then engulfed into a coated vesicle.
Figure 3.1.8 – Three Forms of Endocytosis: Endocytosis is a form of active transport in which a cell envelopes extracellular materials using its cell membrane. (a) In phagocytosis, which is relatively nonselective, the cell takes in large particles into larger vesicles known as vacuoles. (b) In pinocytosis, the cell takes in small particles in fluid. (c) In contrast, receptor-mediated endocytosis is quite selective. When external receptors bind a specific ligand, the cell responds by endocytosing the ligand.

Phagocytosis and pinocytosis take in large portions of extracellular material, and they are typically not highly selective in the substances they bring in. Cells regulate the endocytosis of specific substances via receptor-mediated endocytosis. Receptor-mediated endocytosis is endocytosis by a portion of the cell membrane which contains many receptors that are specific for a certain substance. Once the surface receptors have bound sufficient amounts of the specific substance (the receptor’s ligand), the cell will endocytose the part of the cell membrane containing the receptor-ligand complexes. Iron, a required component of hemoglobin, is endocytosed by red blood cells in this way. Iron is bound to a protein called transferrin in the blood. Specific transferrin receptors on red blood cell surfaces bind the iron-transferrin molecules, and the cell endocytoses the receptor-ligand complexes.

In contrast with endocytosis, exocytosis (taking “out of the cell”) is the process of a cell exporting material using vesicular transport (Figure 3.1.9). Many cells manufacture substances that must be secreted, like a factory manufacturing a product for export. These substances are typically packaged into membrane-bound vesicles within the cell. When the vesicle membrane fuses with the cell membrane, the vesicle releases its contents into the interstitial fluid. The vesicle membrane then becomes part of the cell membrane.

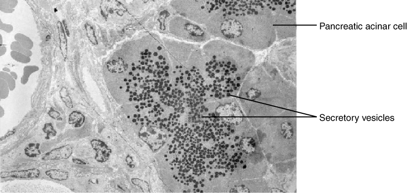
Specific examples of exocytosis include cells of the stomach and pancreas producing and secreting digestive enzymes through exocytosis (Figure 3.1.10) and endocrine cells producing and secreting hormones that are sent throughout the body.

The addition of new membrane to the plasma membrane is usually coupled with endocytosis so that the cell is not constantly enlarging. Through these processes, the cell membrane is constantly renewing and changing as needed by the cell.

This figure shows the process of exocytosis. A vesicle is shown fusing with the membrane and then releasing its contents into the extracellular fluid.
Figure 3.1.9 – Exocytosis: Exocytosis is much like endocytosis in reverse. Material destined for export is packaged into a vesicle inside the cell. The membrane of the vesicle fuses with the cell membrane, and the contents are released into the extracellular space.
This micrograph shows the structure of a pancreatic acinar cell and the location of secretory vesicles.
Figure 3.1.10 – Pancreatic Cells’ Enzyme Products: The pancreatic acinar cells produce and secrete many enzymes that digest food. The tiny black granules in this electron micrograph are secretory vesicles filled with enzymes that will be exported from the cells via exocytosis. LM × 2900. (Micrograph provided by the Regents of University of Michigan Medical School © 2012)

External Website

pcells

View the University of Michigan WebScope at http://virtualslides.med.umich.edu/Histology/EMsmallCharts/3%20Image%20Scope%20finals/226%20-%20Pancreas_001.svs/view.apml to explore the tissue sample in greater detail.

Diseases of the Cell: Cystic Fibrosis

Cystic fibrosis (CF) affects approximately 30,000 people in the United States, with about 1,000 new cases reported each year. The genetic disease is most well-known for its damage to the lungs, causing breathing difficulties and chronic lung infections, but it also affects the liver, pancreas, and intestines. Only about 50 years ago, the prognosis for children born with CF was very grim—a life expectancy rarely over 10 years. Today, with advances in medical treatment, many CF patients live into their 30s.

The symptoms of CF result from a malfunctioning membrane ion channel called the Cystic Fibrosis Transmembrane Conductance Regulator, or CFTR. In healthy people, the CFTR protein is an integral membrane protein that transports Cl– ions out of the cell. In a person who has CF, the gene for the CFTR is mutated, thus, the cell manufactures a defective channel protein that typically is not incorporated into the membrane, but is instead degraded by the cell.

The CFTR requires ATP in order to function, making its Cl– transport a form of active transport. This puzzled researchers for a long time because the Cl– ions are actually flowing down their concentration gradient when transported out of cells. Active transport generally pumps ions against their concentration gradient, but the CFTR presents an exception to this rule.

In normal lung tissue, the movement of Cl– out of the cell maintains a Cl–-rich, negatively charged environment immediately outside of the cell. This is particularly important in the epithelial lining of the respiratory system. Respiratory epithelial cells secrete mucus, which serves to trap dust, bacteria, and other debris. A cilium (plural = cilia) is one of the hair-like appendages found on certain cells. Cilia on the epithelial cells move the mucus and its trapped particles up the airways away from the lungs and toward the outside. In order to be effectively moved upward, the mucus cannot be too viscous, rather, it must have a thin, watery consistency. The transport of Cl– and the maintenance of an electronegative environment outside of the cell attracts positive ions such as Na+ to the extracellular space. The accumulation of both Cl– and Na+ ions in the extracellular space creates solute-rich mucus, which has a low concentration of water molecules. As a result, through osmosis, water moves from cells and extracellular matrix into the mucus, “thinning” it out. In a normal respiratory system, this is how the mucus is kept sufficiently watered-down to be propelled out of the respiratory system.

If the CFTR channel is absent, Cl– ions are not transported out of the cell in adequate numbers, thus preventing them from drawing positive ions. The absence of ions in the secreted mucus results in the lack of a normal water concentration gradient. Thus, there is no osmotic pressure pulling water into the mucus. The resulting mucus is thick and sticky, and the ciliated epithelia cannot effectively remove it from the respiratory system. Passageways in the lungs become blocked with mucus, along with the debris it carries. Bacterial infections occur more easily because bacterial cells are not effectively carried away from the lungs.

Chapter Review

The cell membrane provides a barrier around the cell, separating its internal components from the extracellular environment. It is composed of a phospholipid bilayer, with hydrophobic internal lipid “tails” and hydrophilic external phosphate “heads.” Various membrane proteins are scattered throughout the bilayer, both inserted within it and attached to it peripherally. The cell membrane is selectively permeable, allowing only a limited number of materials to diffuse through its lipid bilayer. All materials that cross the membrane do so using passive (non-energy-requiring) or active (energy-requiring) transport processes. During passive transport, materials move by simple diffusion or by facilitated diffusion through the membrane, down their concentration gradient. Water passes through the membrane in a diffusion process called osmosis. During active transport, energy is expended to assist material movement across the membrane in a direction against their concentration gradient. Active transport may take place with the help of protein pumps or through the use of vesicles.

Interactive Link Questions

Visit this link to see diffusion and how it is propelled by the kinetic energy of molecules in solution. How does temperature affect diffusion rate, and why?

Higher temperatures speed up diffusion because molecules have more kinetic energy at higher temperatures.

Review Questions

An interactive H5P element has been excluded from this version of the text. You can view it online here:
https://open.oregonstate.education/aandp/?p=108#h5p-44

An interactive H5P element has been excluded from this version of the text. You can view it online here:
https://open.oregonstate.education/aandp/?p=108#h5p-45

An interactive H5P element has been excluded from this version of the text. You can view it online here:
https://open.oregonstate.education/aandp/?p=108#h5p-46

An interactive H5P element has been excluded from this version of the text. You can view it online here:
https://open.oregonstate.education/aandp/?p=108#h5p-47

Critical Thinking Questions

What materials can easily diffuse through the lipid bilayer, and why?

Only materials that are relatively small and nonpolar can easily diffuse through the lipid bilayer. Large particles cannot fit in between the individual phospholipids that are packed together, and polar molecules are repelled by the hydrophobic/nonpolar lipids that line the inside of the bilayer.

Why is receptor-mediated endocytosis said to be more selective than phagocytosis or pinocytosis?

Receptor-mediated endocytosis is more selective because the substances that are brought into the cell are the specific ligands that could bind to the receptors being endocytosed. Phagocytosis or pinocytosis, on the other hand, have no such receptor-ligand specificity, and bring in whatever materials happen to be close to the membrane when it is enveloped.

What do osmosis, diffusion, filtration, and the movement of ions away from like charge all have in common? In what way do they differ?

These four phenomena are similar in the sense that they describe the movement of substances down a particular type of gradient. Osmosis and diffusion involve the movement of water and other substances down their concentration gradients, respectively. Filtration describes the movement of particles down a pressure gradient, and the movement of ions away from a like charge describes their movement down their electrical gradient.

Annotate

Next chapter
3.2 The Cytoplasm and Cellular Organelles
PreviousNext
Anatomy and Physiology
Copyright © 2019 by Lindsay M. Biga, Sierra Dawson, Amy Harwell, Robin Hopkins, Joel Kaufmann, Mike LeMaster, Philip Matern, Katie Morrison-Graham, Devon Quick & Jon Runyeon

Anatomy & Physiology by Lindsay M. Biga, Sierra Dawson, Amy Harwell, Robin Hopkins, Joel Kaufmann, Mike LeMaster, Philip Matern, Katie Morrison-Graham, Devon Quick & Jon Runyeon is licensed under a Creative Commons Attribution-ShareAlike 4.0 International License, except where otherwise noted.

Powered by Manifold Scholarship. Learn more at
Opens in new tab or windowmanifoldapp.org