Skip to main content

Anatomy & Physiology 2e: 5.1 Layers of the Skin

Anatomy & Physiology 2e
5.1 Layers of the Skin
  • Show the following:

    Annotations
    Resources
  • Adjust appearance:

    Font
    Font style
    Color Scheme
    Light
    Dark
    Annotation contrast
    Low
    High
    Margins
  • Search within:
    • My Notes + Comments
    • Notifications
    • Privacy
  • Project HomeNatural Sciences Collection: Anatomy, Biology, and Chemistry
  • Projects
  • Learn more about Manifold

Notes

table of contents
  1. Cover
  2. Title Page
  3. Copyright
  4. Table Of Contents
  5. Chapter 1. An Introduction to the Human Body
    1. 1.0 Introduction
    2. 1.1 How Structure Determines Function
    3. 1.2 Structural Organization of the Human Body
    4. 1.3 Homeostasis
    5. 1.4 Anatomical Terminology
    6. 1.5 Medical Imaging
  6. Chapter 2. The Chemical Level of Organization
    1. 2.0 Introduction
    2. 2.1 Elements and Atoms: The Building Blocks of Matter
    3. 2.2 Chemical Bonds
    4. 2.3 Chemical Reactions
    5. 2.4 Inorganic Compounds Essential to Human Functioning
    6. 2.5 Organic Compounds Essential to Human Functioning
  7. Chapter 3. The Cellular Level of Organization
    1. 3.0 Introduction
    2. 3.1 The Cell Membrane
    3. 3.2 The Cytoplasm and Cellular Organelles
    4. 3.3 The Nucleus and DNA Replication
    5. 3.4 Protein Synthesis
    6. 3.5 Cell Growth and Division
    7. 3.6 Cellular Differentiation
  8. Chapter 4. The Tissue Level of Organization
    1. 4.0 Introduction
    2. 4.1 Types of Tissues
    3. 4.2 Epithelial Tissue
    4. 4.3 Connective Tissue Supports and Protects
    5. 4.4 Muscle Tissue
    6. 4.5 Nervous Tissue
    7. 4.6 Tissue Injury and Aging
  9. Chapter 5. The Integumentary System
    1. 5.0 Introduction
    2. 5.1 Layers of the Skin
    3. 5.2 Accessory Structures of the Skin
    4. 5.3 Functions of the Integumentary System
    5. 5.4 Diseases, Disorders, and Injuries of the Integumentary System
  10. Chapter 6. Bone Tissue and the Skeletal System
    1. 6.0 Introduction
    2. 6.1 The Functions of the Skeletal System
    3. 6.2 Bone Classification
    4. 6.3 Bone Structure
    5. 6.4 Bone Formation and Development
    6. 6.5 Fractures: Bone Repair
    7. 6.6 Exercise, Nutrition, Hormones, and Bone Tissue
    8. 6.7 Calcium Homeostasis: Interactions of the Skeletal System and Other Organ Systems
  11. Chapter 7. Axial Skeleton
    1. 7.0 Introduction
    2. 7.1 Divisions of the Skeletal System
    3. 7.2 Bone Markings
    4. 7.3 The Skull
    5. 7.4 The Vertebral Column
    6. 7.5 The Thoracic Cage
    7. 7.6 Embryonic Development of the Axial Skeleton
  12. Chapter 8. The Appendicular Skeleton
    1. 8.0 Introduction
    2. 8.1 The Pectoral Girdle
    3. 8.2 Bones of the Upper Limb
    4. 8.3 The Pelvic Girdle and Pelvis
    5. 8.4 Bones of the Lower Limb
    6. 8.5 Development of the Appendicular Skeleton
  13. Chapter 9. Joints
    1. 9.0 Introduction
    2. 9.1 Classification of Joints
    3. 9.2 Fibrous Joints
    4. 9.3 Cartilaginous Joints
    5. 9.4 Synovial Joints
    6. 9.5 Types of Body Movements
    7. 9.6 Anatomy of Selected Synovial Joints
    8. 9.7 Development of Joints
  14. Chapter 10. Muscle Tissue
    1. 10.0 Introduction
    2. 10.1 Overview of Muscle Tissues
    3. 10.2 Skeletal Muscle
    4. 10.3 Muscle Fiber Excitation, Contraction, and Relaxation
    5. 10.4 Nervous System Control of Muscle Tension
    6. 10.5 Types of Muscle Fibers
    7. 10.6 Exercise and Muscle Performance
    8. 10.7 Smooth Muscle Tissue
    9. 10.8 Development and Regeneration of Muscle Tissue
  15. Chapter 11. The Muscular System
    1. 11.0 Introduction
    2. 11.1 Describe the roles of agonists, antagonists and synergists
    3. 11.2 Explain the organization of muscle fascicles and their role in generating force
    4. 11.3 Explain the criteria used to name skeletal muscles
    5. 11.4 Axial Muscles of the Head Neck and Back
    6. 11.5 Axial muscles of the abdominal wall and thorax
    7. 11.6 Muscles of the Pectoral Girdle and Upper Limbs
    8. 11.7 Appendicular Muscles of the Pelvic Girdle and Lower Limbs
  16. Chapter 12. The Nervous System and Nervous Tissue
    1. 12.0 Introduction
    2. 12.1 Structure and Function of the Nervous System
    3. 12.2 Nervous Tissue
    4. 12.3 The Function of Nervous Tissue
    5. 12.4 Communication Between Neurons
    6. 12.5 The Action Potential
  17. Chapter 13. The Peripheral Nervous System
    1. 13.0 Introduction
    2. 13.1 Sensory Receptors
    3. 13.2 Ganglia and Nerves
    4. 13.3 Spinal and Cranial Nerves
    5. 13.4 Relationship of the PNS to the Spinal Cord of the CNS
    6. 13.5 Ventral Horn Output and Reflexes
    7. 13.6 Testing the Spinal Nerves (Sensory and Motor Exams)
    8. 13.7 The Cranial Nerve Exam
  18. Chapter 14. The Central Nervous System
    1. 14.0 Introduction
    2. 14.1 Embryonic Development
    3. 14.2 Blood Flow the meninges and Cerebrospinal Fluid Production and Circulation
    4. 14.3 The Brain and Spinal Cord
    5. 14.4 The Spinal Cord
    6. 14.5 Sensory and Motor Pathways
  19. Chapter 15. The Special Senses
    1. 15.0 Introduction
    2. 15.1 Taste
    3. 15.2 Smell
    4. 15.3 Hearing
    5. 15.4 Equilibrium
    6. 15.5 Vision
  20. Chapter 16. The Autonomic Nervous System
    1. 16.0 Introduction
    2. 16.1 Divisions of the Autonomic Nervous System
    3. 16.2 Autonomic Reflexes and Homeostasis
    4. 16.3 Central Control
    5. 16.4 Drugs that Affect the Autonomic System
  21. Chapter 17. The Endocrine System
    1. 17.0 Introduction
    2. 17.1 An Overview of the Endocrine System
    3. 17.2 Hormones
    4. 17.3 The Pituitary Gland and Hypothalamus
    5. 17.4 The Thyroid Gland
    6. 17.5 The Parathyroid Glands
    7. 17.6 The Adrenal Glands
    8. 17.7 The Pineal Gland
    9. 17.8 Gonadal and Placental Hormones
    10. 17.9 The Pancreas
    11. 17.10 Organs with Secondary Endocrine Functions
    12. 17.11 Development and Aging of the Endocrine System
  22. Chapter 18. The Cardiovascular System: Blood
    1. 18.0 Introduction
    2. 18.1 Functions of Blood
    3. 18.2 Production of the Formed Elements
    4. 18.3 Erythrocytes
    5. 18.4 Leukocytes and Platelets
    6. 18.5 Hemostasis
    7. 18.6 Blood Typing
  23. Chapter 19. The Cardiovascular System: The Heart
    1. 19.0 Introduction
    2. 19.1 Heart Anatomy
    3. 19.2 Cardiac Muscle and Electrical Activity
    4. 19.3 Cardiac Cycle
    5. 19.4 Cardiac Physiology
    6. 19.5 Development of the Heart
  24. Chapter 20. The Cardiovascular System: Blood Vessels and Circulation
    1. 20.0 Introduction
    2. 20.1 Structure and Function of Blood Vessels
    3. 20.2 Blood Flow, Blood Pressure, and Resistance
    4. 20.3 Capillary Exchange
    5. 20.4 Homeostatic Regulation of the Vascular System
    6. 20.5 Circulatory Pathways
    7. 20.6 Development of Blood Vessels and Fetal Circulation
  25. Chapter 21. The Lymphatic and Immune System
    1. 21.0 Introduction
    2. 21.1 Anatomy of the Lymphatic and Immune Systems
    3. 21.2 Barrier Defenses and the Innate Immune Response
    4. 21.3 The Adaptive Immune Response: T lymphocytes and Their Functional Types
    5. 21.4 The Adaptive Immune Response: B-lymphocytes and Antibodies
    6. 21.5 The Immune Response against Pathogens
    7. 21.6 Diseases Associated with Depressed or Overactive Immune Responses
    8. 21.7 Transplantation and Cancer Immunology
  26. Chapter 22. The Respiratory System
    1. 22.0 Introduction
    2. 22.1 Organs and Structures of the Respiratory System
    3. 22.2 The Lungs
    4. 22.3 The Process of Breathing
    5. 22.4 Gas Exchange
    6. 22.5 Transport of Gases
    7. 22.6 Modifications in Respiratory Functions
    8. 22.7 Embryonic Development of the Respiratory System
  27. Chapter 23. The Digestive System
    1. 23.0 Introduction
    2. 23.1 Overview of the Digestive System
    3. 23.2 Digestive System Processes and Regulation
    4. 23.3 The Mouth, Pharynx, and Esophagus
    5. 23.4 The Stomach
    6. 23.5 Accessory Organs in Digestion: The Liver, Pancreas, and Gallbladder
    7. 23.6 The Small and Large Intestines
    8. 23.7 Chemical Digestion and Absorption: A Closer Look
  28. Chapter 24. Metabolism and Nutrition
    1. 24.0 Introduction
    2. 24.1 Overview of Metabolic Reactions
    3. 24.2 Carbohydrate Metabolism
    4. 24.3 Lipid Metabolism
    5. 24.4 Protein Metabolism
    6. 24.5 Metabolic States of the Body
    7. 24.6 Energy and Heat Balance
    8. 24.7 Nutrition and Diet
  29. Chapter 25. The Urinary System
    1. 25.0 Introduction
    2. 25.1 Internal and External Anatomy of the Kidney
    3. 25.2 Microscopic Anatomy of the Kidney: Anatomy of the Nephron
    4. 25.3 Physiology of Urine Formation: Overview
    5. 25.4 Physiology of Urine Formation: Glomerular Filtration
    6. 25.5 Physiology of Urine Formation: Tubular Reabsorption and Secretion
    7. 25.6 Physiology of Urine Formation: Medullary Concentration Gradient
    8. 25.7 Physiology of Urine Formation: Regulation of Fluid Volume and Composition
    9. 25.8 Urine Transport and Elimination
    10. 25.9 The Urinary System and Homeostasis
  30. Chapter 26. Fluid, Electrolyte, and Acid-Base Balance
    1. 26.0 Introduction
    2. 26.1 Body Fluids and Fluid Compartments
    3. 26.2 Water Balance
    4. 26.3 Electrolyte Balance
    5. 26.4 Acid-Base Balance
    6. 26.5 Disorders of Acid-Base Balance
  31. Chapter 27. The Sexual Systems
    1. 27.0 Introduction
    2. 27.1 Anatomy of Sexual Systems
    3. 27.2 Development of Sexual Anatomy
    4. 27.3 Physiology of the Female Sexual System
    5. 27.4 Physiology of the Male Sexual System
    6. 27.5 Physiology of Arousal and Orgasm
  32. Chapter 28. Development and Inheritance
    1. 28.0 Introduction
    2. 28.1 Fertilization
    3. 28.2 Embryonic Development
    4. 28.3 Fetal Development
    5. 28.4 Maternal Changes During Pregnancy, Labor, and Birth
    6. 28.5 Adjustments of the Infant at Birth and Postnatal Stages
    7. 28.6 Lactation
    8. 28.7 Patterns of Inheritance
  33. Creative Commons License
  34. Recommended Citations
  35. Versioning

5.1 Layers of the Skin

Learning Objectives

By the end of this section, you will be able to:

Describe the layers of the skin and the functions of each layer

  • Identify the components of the integumentary system
  • Describe the layers of the skin and the functions of each layer
  • Describe the layers of the epidermis and dermis
  • Identify and describe the hypodermis and fascia
  • Describe the role of keratinocytes and their life cycle
  • Describe the role of melanocytes in skin pigmentation

Although you may not typically think of the skin as an organ, it is in fact made of tissues that work together as a single structure to perform unique and critical functions. The skin and its accessory structures make up the integumentary system, which provides the body with overall protection. The skin is made of multiple layers of cells and tissues, which are held to underlying structures by connective tissue (Figure 5.1.1). The most superficial layer of the skin is the epidermis which is attached to the deeper dermis. Accessory structures, hair, glands, and nails, are found associated with the skin. The deeper layer of skin is well vascularized (has numerous blood vessels) and is superficial to the hypodermics. It also has numerous sensory, and autonomic and sympathetic nerve fibers ensuring communication to and from the brain.

This illustration shows a cross section of skin tissue. The outermost layer is called the epidermis, and occupies one fifth of the cross section. Several hairs are emerging from the surface. The epidermis dives around one of the hairs, forming a follicle. The middle layer is called the dermis, which occupies four fifths of the cross section. The dermis contains an erector pilli muscle connected to one of the follicles. The dermis also contains an eccrine sweat gland, composed of a bunch of tubules. One tubule travels up from the bunch, through the epidermis, opening onto the surface a pore. There are two string-like nerves travelling vertically through the dermis. The right nerve is attached to a Pacinian corpuscle, which is a yellow structure consisting of concentric ovals similar to an onion. The lowest level of the skin, the hypodermis, contains fatty tissue, arteries, and veins. Blood vessels travel from the hypodermis and connect to hair follicles and erector pilli muscle in the dermis.
Figure 5.1.1 – Layers of Skin: The skin is composed of two main layers: the epidermis, made of closely packed epithelial cells, and the dermis, made of dense, irregular connective tissue that houses blood vessels, hair follicles, sweat glands, and other structures. Beneath the dermis lies the hypodermis, which is composed mainly of loose connective and fatty tissues.

External Website

QR Code representing a URL
View this animation to learn more about layers of the skin.

The skin consists of two main layers and a closely associated layer. View this animation to learn more about layers of the skin. What are the basic functions of each of these layers?

The Epidermis

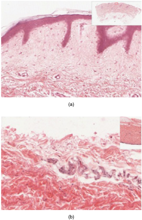
The epidermis is composed of keratinized, stratified squamous epithelium. It is made of four or five layers of epithelial cells, depending on its location in the body. It does not have any blood vessels within it (i.e., it is avascular). Skin that has four layers of cells is referred to as “thin skin.” From deep to superficial, these layers are the stratum basale, stratum spinosum, stratum granulosum, and stratum corneum. Most of the skin can be classified as thin skin. “Thick skin” is found only on the palms of the hands and the soles of the feet. It has a fifth layer, called the stratum lucidum, located between the stratum corneum and the stratum granulosum (Figure 5.1.2).

Part A is a micrograph showing a cross section of thin skin. The topmost layer is a thin, translucent layer with irregular texture and areas where cells are sloughing off. The deepest layer is dark purple and extends into the third layer with finger like projections. The third light purple layer contains thin bands of fibers and small, dark cells. The fourth, and deepest layer, is darker than the third layer, but is still light purple. It contains thick fiber bands that are loosely packed. Part B is a magnified view of the epidermis of thick skin. It shows the topmost layer is five times thicker than the topmost layer of thin skin. The topmost layer of thick skin is also denser and less translucent than the topmost layer of thin skin.
Figure 5.1.2 – Thin Skin versus Thick Skin: These slides show cross-sections of the epidermis and dermis of (a) thin and (b) thick skin. Note the significant difference in the thickness of the epithelial layer of the thick skin. From top, LM × 40, LM × 40. (Micrographs provided by the Regents of University of Michigan Medical School © 2012)

The cells in all of the layers except the stratum basale are called keratinocytes, which make up about 95% of all epidermal cells. A keratinocyte is a cell that manufactures and stores the protein keratin. Keratin is an intracellular fibrous protein that gives hair, nails, and skin their hardness, strength, and water-resistant properties. The keratinocytes in the stratum corneum are dead and regularly slough away, being replaced by cells from the deeper layers (Figure 5.1.3).

The outer layer of cells in this micrograph is the thinnest layer and stained deep purple due to full keratinization of dead cells. The next layer occupies one quarter of the micrograph, is lightly stained, and is a dense collection of cells. The third layer from the top is mostly white, with lightly stained, loosely-packed strands radiating in random directions. The bottom-most layer is densely-packed, with thick bands of highly organized muscle tissue that are darkly stained.
Figure 5.1.3 – Epidermis: The epidermis is epithelium composed of multiple layers of cells. The basal layer consists of cuboidal cells, whereas the outer layers are squamous, keratinized cells, so the whole epithelium is often described as being keratinized stratified squamous epithelium. LM × 40. (Micrograph provided by the Regents of University of Michigan Medical School © 2012)

External Website

QR Code representing a URL
View the University of Michigan WebScope at http://virtualslides.med_umich.edu/Histology/Basic%20Tissues/Epithelium%20and%20CT/106_HISTO_40X.svs/view.apml? to explore the tissue sample in greater detail.

Stratum Basale

The stratum basale (also called the stratum germinativum) is the deepest epidermal layer and attaches the epidermis to the basal lamina, below which lie the layers of the dermis. The cells in the stratum basale bond to the dermis via intertwining collagen fibers, referred to as the basement membrane. A finger-like projection, or fold, known as the dermal papilla (plural = dermal papillae) is found in the superficial portion of the dermis. Dermal papillae increase the strength of the connection between the epidermis and dermis; the greater the folding, the stronger the connections made (Figure 5.1.4).

This illustration shows a cross section of the epidermis. The cells of the innermost layer, the stratum basale, are large and have a purple nucleus. The stratum basale curls around the dermis, which projects into the epidermis. The stratum basale contains four layers of large, triangle-shaped keratinocytes. Fibers are visible within the spaces between keratinocytes in the stratum basale. A melanocyte is also present in this layer. The melanocyte possesses finger-like projections extending from its main cell body. The projections branch through the extracellular spaces between nearby keratinocytes. Above the stratum basale is the stratum spinosum which consists of 8 layers of oval-shaped keratinocytes. The nucleus is present in these keratinocytes, but has faded to a lighter purple. The stratum granulosum contains five layers of keratinocytes, each containing spots in its cytoplasm, labeled the lamellar granules. The stratum lucidium contains 4 layers of diamond-shaped cells with no nucleus. The stratum corneum contains 9 layers of keratinocytes with no nucleus , nor cytoplasm. A few of the cells in the topmost layer of the stratum corneum are flaking off from the skin.
Figure 5.1.4 – Layers of the Epidermis: The epidermis of thick skin has five layers: stratum basale, stratum spinosum, stratum granulosum, stratum lucidum, and stratum corneum.

The stratum basale is a single layer of cells primarily made of basal cells. A basal cell is a cuboidal-shaped stem cell that is a precursor of the keratinocytes of the epidermis. All of the keratinocytes are produced from this single layer of cells, which are constantly going through mitosis to produce new cells. As new cells are formed, the existing cells are pushed superficially away from the stratum basale. Two other cell types are found dispersed among the basal cells in the stratum basale. The first is a Merkel cell, which functions as a receptor and is responsible for stimulating sensory nerves that the brain perceives as touch. These cells are especially abundant on the surfaces of the hands and feet. The second is a melanocyte, a cell that produces the pigment melanin. Melanin gives hair and skin its color, and also helps protect the DNA in the nuclei of living cells of the epidermis from ultraviolet (UV) radiation damage.

Stratum Spinosum

As the name suggests, the stratum spinosum is spiny in appearance due to the protruding cell processes that join the cells via a structure called a desmosome. The desmosomes interlock with each other and strengthen the bond between the cells. It is interesting to note that the “spiny” nature of this layer is an artifact of the staining process. Unstained epidermis samples do not exhibit this characteristic appearance. The stratum spinosum is composed of eight to 10 layers of keratinocytes, formed as a result of cell division in the stratum basale (Figure 5.1.5). Interspersed among the keratinocytes of this layer is a type of dendritic cell called the Langerhans cell, which functions as a macrophage by engulfing bacteria, foreign particles, and damaged cells that occur in this layer.

This micrograph of the epidermis shows stratum corneum as a rough, darkened layer. The next layer, the stratum granulosum, contains white cells with areas of black in their cytoplasm, equal in thickness to the stratum corneum. The third layer, the stratum spinosum, contains large, grayish cells. The stratum spinosum is the thickest layer, occupying half of the micrograph. A hair follicle is embedded in this layer, which is a round structure with black, concentric spots. The fourth layer is the stratum basalis, which contains grayish cells with clear, dark nuclei, similar in thickness to the stratum corneum. The dermis is the deepest layer, and is lightly-colored with interspersed gray cells. A cross-section of a capillary is visible within the dermis.
Figure 5.1.5 – Cells of the Epidermis: The cells in the different layers of the epidermis originate from basal cells located in the stratum basale, yet the cells of each layer are distinctively different. EM × 2700. (Micrograph provided by the Regents of University of Michigan Medical School © 2012)

External Website

QR Code representing a URL

View the University of Michigan WebScope at http://virtualslides.med.umich.edu/Histology/EMsmallCharts/3%20Image%20Scope%20finals/065%20-%20Epidermis_001.svs/view.apml to explore the tissue sample in greater detail. If you zoom on the cells at the outermost layer of this section of skin, what do you notice about the cells?

The keratinocytes in the stratum spinosum begin the synthesis of keratin and release a water-repelling glycolipid that helps prevent water loss from the body, making the skin relatively waterproof. As new keratinocytes are produced atop the stratum basale, the keratinocytes of the stratum spinosum are pushed into the stratum granulosum.

Stratum Granulosum

The stratum granulosum has a grainy appearance due to further changes to the keratinocytes as they are pushed from the stratum spinosum. The cells (three to five layers deep) become flatter, their cell membranes thicken, and they generate large amounts of the proteins keratin, which is fibrous, and keratohyalin, which accumulates as lamellar granules within the cells (see Figure 5.1.4). These two proteins make up the bulk of the keratinocyte mass in the stratum granulosum and give the layer its grainy appearance. The nuclei and other cell organelles disintegrate as the cells die, leaving behind the keratin, keratohyalin, and cell membranes that will form the stratum lucidum, and the stratum corneum. A similar process of producing cells packed with keratin occurs in the accessory structures of hair and nails.

Stratum Lucidum

The stratum lucidum is a smooth, seemingly translucent layer of the epidermis located just above the stratum granulosum and below the stratum corneum. This thin layer of cells is found only in the thick skin of the palms, soles, and digits. The keratinocytes that compose the stratum lucidum are dead and flattened (see Figure 5.1.4). These cells are densely packed with eleiden, a clear protein rich in lipids, derived from keratohyalin, which gives these cells their transparent (i.e., lucid) appearance and provides a barrier to water.

Stratum Corneum

The stratum corneum is the most superficial layer of the epidermis and is the layer exposed to the outside environment (see Figure 5.1.4). The increased keratinization (also called cornification) of the cells in this layer gives it its name. There are usually 15 to 30 layers of cells in the stratum corneum. This dry, dead layer helps prevent the penetration of microbes and the dehydration of underlying tissues, and provides a mechanical protection against abrasion for the more delicate, underlying layers. Cells in this layer are shed periodically and are replaced by cells pushed up from the stratum granulosum (or stratum lucidum in the case of the palms and soles of feet). The cells in this layer can still be anchored to each other by desmosomes which is why the peeling that occurs with a sunburn peels the damaged epidermal layers in one sheet. The entire layer is replaced during a period of about 4 weeks. Cosmetic procedures, such as microdermabrasion, help remove some of the dry, upper layer and aim to keep the skin looking “fresh” and healthy.

Dermis

The dermis might be considered the “core” of the integumentary system (derma- = “skin”), as distinct from the epidermis (epi- = “upon” or “over”) and hypodermis (hypo- = “below”). It contains blood and lymph vessels, nerves, and other structures, such as hair follicles and sweat glands. The epidermis is avascular and cells of this layer must get their oxygen and nutrients from capillaries in the dermis. The dermis is made of two layers of connective tissue that compose an interconnected mesh of elastin and collagenous fibers, produced by fibroblasts (Figure 5.1.6). The more superficial papillary layer serves as an anchor point for the epidermis above and is intimately connected to the deeper reticular layer.

This micrograph shows layers of skin in a cross section. The papillary layer of the dermis extends between the downward fingers of the darkly stained epidermis. The papillary layer appears finer than the reticular layer, consisting of smaller, densely-packed fibers. The reticular layer is three times thicker than the papillary layer and contains larger, thicker fibers. The fibers seem more loosely packed than those of the papillary layer, with some separated by empty spaces. Both layers of the dermis contain cells with darkly stained nuclei.
Figure 5.1.6 – Layers of the Dermis: This stained slide shows the two components of the dermis—the papillary layer and the reticular layer. Both are made of connective tissue with fibers of collagen extending from one to the other, making the border between the two somewhat indistinct. The dermal papillae extending into the epidermis belong to the papillary layer, whereas the dense collagen fiber bundles below belong to the reticular layer. LM × 10. (credit: modification of work by “kilbad”/Wikimedia Commons)

Papillary Layer

The papillary layer is made of loose, areolar connective tissue, which means the collagen and elastin fibers of this layer form a loose mesh with abundant ground substance supporting the hydration of the skin. This superficial layer of the dermis projects into the stratum basale of the epidermis to form finger-like dermal papillae (see Figure 5.1.6). Within the papillary layer are fibroblasts, a small number of fat cells (adipocytes), and an abundance of small blood vessels. In addition, the papillary layer contains phagocytes, defensive cells that help fight bacteria or other infections that have breached the skin. This layer also contains lymphatic capillaries, nerve fibers, and touch receptors called the Meissner corpuscles.

In a growing fetus, fingerprints form where the cells of the stratum basale of the epidermis meets the papillae of the underlying dermal layer (papillary layer), resulting in the formation of the ridges on your fingers that you recognize as fingerprints. Dermal papillae push up on the epidermis creating unique epidermal ridge patterns. Fingerprints are unique to each individual and are used for forensic analyses because the patterns do not change with the growth and aging processes.

Reticular Layer

Underlying the papillary layer is the much thicker reticular layer, composed of dense irregular connective tissue which resists forces in many directions attributing to the flexibility of the skin. This layer makes up around 80% of the dermis and is well vascularized and has a rich sensory and sympathetic nerve supply. The reticular layer appears reticulated (net-like) due to a tight meshwork of fibers. Elastin fibers provide some elasticity to the skin, enabling movement. Collagen fibers provide structure and tensile strength, with strands of collagen extending into both the papillary layer and the hypodermis. In addition, collagen binds water to keep the skin hydrated. Collagen injections and Retin-A creams help restore skin turgor by either introducing collagen externally or stimulating blood flow and repair of the dermis, respectively.

Hypodermis

The hypodermis (also called the subcutaneous layer or superficial fascia) is a layer directly below the dermis and serves to connect the skin to the underlying fascia (fibrous tissue) surrounding the muscles. It is not strictly a part of the skin, although the border between the hypodermis and dermis can be difficult to distinguish. The hypodermis consists of well-vascularized, loose, areolar connective tissue and abundant adipose tissue, which functions as a mode of fat storage and provides insulation and cushioning for the integument. Fascia is a thick connective tissue wrapping that surrounds skeletal muscles anchoring them to surrounding tissues and investing groups of muscles.

Everyday Connection – Lipid Storage

The hypodermis is home to most of the fat that concerns people when they are trying to keep their weight under control. Adipose tissue present in the hypodermis consists of fat-storing cells called adipocytes. This stored fat can serve as an energy reserve, insulate the body to prevent heat loss, and act as a cushion to protect underlying structures from trauma.

Where the fat is deposited and accumulates within the hypodermis depends on hormones (testosterone, estrogen, insulin, glucagon, leptin, and others), as well as genetic factors. Fat distribution changes as our bodies mature and age. Men tend to accumulate fat in different areas (neck, arms, lower back, and abdomen) than do women (breasts, hips, thighs, and buttocks). The body mass index (BMI) is often used as a measure of fat, although this measure is, in fact, derived from a mathematical formula that compares body weight (mass) to height. Therefore, its accuracy as a health indicator can be called into question in individuals who are extremely physically fit.

In many animals, there is a pattern of storing excess calories as fat to be used in times when food is not readily available. In much of the developed world, insufficient exercise coupled with the ready availability and consumption of high-calorie foods have resulted in unwanted accumulations of adipose tissue in many people. Although periodic accumulation of excess fat may have provided an evolutionary advantage to our ancestors, who experienced unpredictable bouts of famine, it is now becoming chronic and considered a major health threat. Recent studies indicate that a distressing percentage of our population is overweight and/or clinically obese. Not only is this a problem for the individuals affected, but it also has a severe impact on our healthcare system. Changes in lifestyle, specifically in diet and exercise, are the best ways to control body fat accumulation, especially when it reaches levels that increase the risk of heart disease and diabetes.

Pigmentation

The color of skin is influenced by a number of pigments, including melanin, carotene, and hemoglobin. Recall that melanin is produced by cells called melanocytes, which are found scattered throughout the stratum basale of the epidermis. The melanin is transferred into the keratinocytes via a cellular vesicle called a melanosome (Figure 5.1.7).

This figure consists of two diagrams side by side. The right diagram shows development of light colored skin; the left shows development of dark-colored skin. In both, a brown melanocyte sits at the border between the dermis and epidermis. The melanocyte has a large nucleus and six finger-like extensions. These reach between cells of the stratum basalis. Sections of the extensions detach and travel through the skins. These are melanosomes. In the left diagram, both the melanocyte and melanosomes contain melanin particles, shown as dark dots. Melanosomes travel upwards to outer skin layers, releasing melanin. As a result, keratinocytes in the left diagram contain several melanin particles that darken skin color. In light colored skin, the melanocyte contains no melanin. It still releases melanosomes into upper layers of the skin; however, these melanosomes contain no melanin. Therefore, the skin does not darken and remains light.
Figure 5.1.7 – Skin Pigmentation: The relative coloration of the skin depends of the amount of melanin produced by melanocytes in the stratum basale and taken up by keratinocytes.

Melanin occurs in two primary forms. Eumelanin exists as black and brown, whereas pheomelanin provides a red color. Dark-skinned individuals produce more melanin than those with pale skin. Exposure to the UV rays of the sun or a tanning salon causes melanin to be manufactured and built up in keratinocytes, as sun exposure stimulates keratinocytes to secrete chemicals that stimulate melanocytes. The accumulation of melanin in keratinocytes results in the darkening of the skin, or a tan. This increased melanin accumulation protects the DNA of epidermal cells from UV ray damage and the breakdown of folic acid, a nutrient necessary for our health and well-being. In contrast, too much melanin can interfere with the production of vitamin D, an important nutrient involved in calcium absorption. There is a dynamic interplay between the amount of protection from UV radiation that melanin provides and the amount of vitamin D produced. The amount of melanin produced, and therefore UV protection, is directly correlated with the amount of sunlight exposure. The more sunlight, the more UV protection, but the compromise is that with increased melanin there is a decrease in vitamin D produced.

It requires about 10 days after initial sun exposure for melanin synthesis to peak, which is why pale-skinned individuals tend to suffer sunburns of the epidermis initially. Dark-skinned individuals can also get sunburns, but are more protected than are pale-skinned individuals. Melanosomes are temporary structures that are eventually destroyed by fusion with lysosomes; this fact, along with melanin-filled keratinocytes in the stratum corneum sloughing off, makes tanning impermanent.

Too much sun exposure can eventually lead to wrinkling due to the destruction of the cellular structure of the skin, and in severe cases, can cause sufficient DNA damage to result in skin cancer. When there is an irregular accumulation of melanocytes in the skin, freckles appear. Moles are larger masses of melanocytes, and although most are benign, they should be monitored for changes that might indicate the presence of cancer (Figure 5.1.8). A total lack of melanin is caused by the genetic disorder called albinism (See Disorders of the…Integumentary System below)

Five photos of moles. The three upper photos show moles that are small, flat, and dark brown. The bottom left photo shows a dark black mole that is raised above the skin. The bottom right photo shows a large, raised, reddish mole with protruding hairs.
Figure 5.18 – Moles: Moles range from benign accumulations of melanocytes to melanomas. These structures populate the landscape of our skin. (credit: the National Cancer Institute)
Disorders of the…Integumentary System

The first thing a clinician sees is the skin, and so the examination of the skin should be part of any thorough physical examination. Most skin disorders are relatively benign, but a few, including melanomas, can be fatal if untreated. A couple of the more noticeable disorders, albinism and vitiligo, affect the appearance of the skin and its accessory organs. Although neither is fatal, it would be hard to claim that they are benign, at least to the individuals so afflicted.

Albinism is a genetic disorder that affects (completely or partially) the coloring of skin, hair, and eyes. The defect is primarily due to the inability of melanocytes to produce melanin. Individuals with albinism tend to appear white or very pale due to the lack of melanin in their skin and hair. Recall that melanin helps protect the skin from the harmful effects of UV radiation. Individuals with albinism tend to need more protection from UV radiation, as they are more prone to sunburns and skin cancer. They also tend to be more sensitive to light and have vision problems due to the lack of pigmentation on the retinal wall. Treatment of this disorder usually involves addressing the symptoms, such as limiting UV light exposure to the skin and eyes. In vitiligo, the melanocytes in certain areas lose their ability to produce melanin, possibly due to an autoimmune reaction. This leads to a loss of color in patches (Figure 5.1.9). Neither albinism nor vitiligo directly affects the lifespan of an individual.

This photo shows the back of a man’s neck. There is a large, discolored patch of skin at the base of his hairline. The discolored area extends over the ears onto the cheeks, toward the front of the face. The man’s head and facial hair are mostly gray, but white patches of hair are seen above the discolored skin.
Figure 5.1.9 – Vitiligo: Individuals with vitiligo experience depigmentation that results in lighter colored patches of skin. The condition is especially noticeable on darker skin. (credit: Klaus D. Peter)

Other changes in the appearance of skin coloration can be indicative of diseases associated with other body systems. Liver disease or liver cancer can cause the accumulation of bile and the yellow pigment bilirubin, leading to the skin appearing yellow or jaundiced (jaune is the French word for “yellow”). Tumors of the pituitary gland can result in the secretion of large amounts of melanocyte-stimulating hormone (MSH), which results in a darkening of the skin. Similarly, Addison’s disease can stimulate the release of excess amounts of adrenocorticotropic hormone (ACTH), which can give the skin a deep bronze color. A sudden drop in oxygenation can affect skin color, causing the skin to initially turn ashen (white). With a prolonged reduction in oxygen levels, dark red deoxyhemoglobin becomes dominant in the blood, making the skin appear blue, a condition referred to as cyanosis (kyanos is the Greek word for “blue”). This happens when the oxygen supply is restricted, as when someone is experiencing difficulty in breathing because of asthma or a heart attack. However, in these cases the effect on skin color has nothing do with the skin’s pigmentation.

External Website

QR Code representing a URL
This ABC video follows the story of a pair of fraternal African-American twins, one of whom is albino. Watch this video to learn about the challenges these children and their family face. Which ethnicities do you think are exempt from the possibility of albinism?

Chapter Review

The skin is composed of two major layers: a superficial epidermis and a deeper dermis. The epidermis consists of several layers beginning with the innermost (deepest) stratum basale (germinatum), followed by the stratum spinosum, stratum granulosum, stratum lucidum (when present), and ending with the outermost layer, the stratum corneum. The topmost layer, the stratum corneum, consists of dead cells that shed periodically and is progressively replaced by cells formed from the basal layer. The stratum basale also contains melanocytes, cells that produce melanin, the pigment primarily responsible for giving skin its color. Melanin is transferred to keratinocytes in the stratum spinosum to protect cells from UV rays.

The dermis connects the epidermis to the hypodermis, and provides strength and elasticity due to the presence of collagen and elastin fibers. It has only two layers: the papillary layer with papillae that extend into the epidermis and the lower, reticular layer composed of loose connective tissue. The hypodermis, deep to the dermis of skin, is the connective tissue that connects the dermis to underlying structures; it also harbors adipose tissue for fat storage and protection.

Interactive Link Questions

The skin consists of two layers and a closely associated layer. View this animation to learn more about layers of the skin. What are the basic functions of each of these layers?

The epidermis provides protection, the dermis provides support and flexibility, and the hypodermis (fat layer) provides insulation and padding.

[link] If you zoom on the cells at the outermost layer of this section of skin, what do you notice about the cells?

[link] These cells do not have nuclei, so you can deduce that they are dead. They appear to be sloughing off.

[link] If you zoom on the cells of the stratum spinosum, what is distinctive about them?

[link] These cells have desmosomes, which give the cells their spiny appearance.

This ABC video follows the story of a pair of fraternal African-American twins, one of whom is albino. Watch this video to learn about the challenges these children and their family face. Which ethnicities do you think are exempt from the possibility of albinism?

There are none.

Review Questions

An interactive H5P element has been excluded from this version of the text. You can view it online here:
https://open.oregonstate.education/aandp/?p=212#h5p-92

An interactive H5P element has been excluded from this version of the text. You can view it online here:
https://open.oregonstate.education/aandp/?p=212#h5p-93

An interactive H5P element has been excluded from this version of the text. You can view it online here:
https://open.oregonstate.education/aandp/?p=212#h5p-94

An interactive H5P element has been excluded from this version of the text. You can view it online here:
https://open.oregonstate.education/aandp/?p=212#h5p-95

An interactive H5P element has been excluded from this version of the text. You can view it online here:
https://open.oregonstate.education/aandp/?p=212#h5p-96

Critical Thinking Questions

1. What determines the color of skin, and what is the process that darkens skin when it is exposed to UV light?

2. Cells of the epidermis derive from stem cells of the stratum basale. Describe how the cells change as they become integrated into the different layers of the epidermis.

Glossary

albinism
genetic disorder that affects the skin, in which there is no melanin production
basal cell
type of stem cell found in the stratum basale and in the hair matrix that continually undergoes cell division, producing the keratinocytes of the epidermis
dermal papilla
(plural = dermal papillae) extension of the papillary layer of the dermis that increases surface contact between the epidermis and dermis
dermis
layer of skin between the epidermis and hypodermis, composed mainly of connective tissue and containing blood vessels, hair follicles, sweat glands, and other structures
desmosome
structure that forms an impermeable junction between cells
elastin fibers
fibers made of the protein elastin that increase the elasticity of the dermis
eleiden
clear protein-bound lipid found in the stratum lucidum that is derived from keratohyalin and helps to prevent water loss
epidermis
outermost tissue layer of the skin
hypodermis
connective tissue connecting the integument to the underlying bone and muscle
integumentary system
skin and its accessory structures
keratin
type of structural protein that gives skin, hair, and nails its hard, water-resistant properties
keratinocyte
cell that produces keratin and is the most predominant type of cell found in the epidermis
keratohyalin
granulated protein found in the stratum granulosum
Langerhans cell
specialized dendritic cell found in the stratum spinosum that functions as a macrophage
melanin
pigment that determines the color of hair and skin
melanocyte
cell found in the stratum basale of the epidermis that produces the pigment melanin
melanosome
intercellular vesicle that transfers melanin from melanocytes into keratinocytes of the epidermis
Merkel cell
receptor cell in the stratum basale of the epidermis that responds to the sense of touch
papillary layer
superficial layer of the dermis, made of loose, areolar connective tissue
reticular layer
deeper layer of the dermis; it has a reticulated appearance due to the presence of abundant collagen and elastin fibers
stratum basale
deepest layer of the epidermis, made of epidermal stem cells
stratum corneum
most superficial layer of the epidermis
stratum granulosum
layer of the epidermis superficial to the stratum spinosum
stratum lucidum
layer of the epidermis between the stratum granulosum and stratum corneum, found only in thick skin covering the palms, soles of the feet, and digits
stratum spinosum
layer of the epidermis superficial to the stratum basale, characterized by the presence of desmosomes
vitiligo
skin condition in which melanocytes in certain areas lose the ability to produce melanin, possibly due an autoimmune reaction that leads to loss of color in patches

Solutions

Answers for Critical Thinking Questions

  1. The pigment melanin, produced by melanocytes, is primarily responsible for skin color. Melanin comes in different shades of brown and black. Individuals with darker skin have darker, more abundant melanin, whereas fair-skinned individuals have a lighter shade of skin and less melanin. Exposure to UV irradiation stimulates the melanocytes to produce and secrete more melanin.
  2. As the cells move into the stratum spinosum, they begin the synthesis of keratin and extend cell processes, desmosomes, which link the cells. As the stratum basale continues to produce new cells, the keratinocytes of the stratum spinosum are pushed into the stratum granulosum. The cells become flatter, their cell membranes thicken, and they generate large amounts of the proteins keratin and keratohyalin. The nuclei and other cell organelles disintegrate as the cells die, leaving behind the keratin, keratohyalin, and cell membranes that form the stratum lucidum and the stratum corneum. The keratinocytes in these layers are mostly dead and flattened. Cells in the stratum corneum are periodically shed.

Annotate

Next chapter
5.2 Accessory Structures of the Skin
PreviousNext
Anatomy and Physiology
Copyright © 2019 by Lindsay M. Biga, Sierra Dawson, Amy Harwell, Robin Hopkins, Joel Kaufmann, Mike LeMaster, Philip Matern, Katie Morrison-Graham, Devon Quick & Jon Runyeon

Anatomy & Physiology by Lindsay M. Biga, Sierra Dawson, Amy Harwell, Robin Hopkins, Joel Kaufmann, Mike LeMaster, Philip Matern, Katie Morrison-Graham, Devon Quick & Jon Runyeon is licensed under a Creative Commons Attribution-ShareAlike 4.0 International License, except where otherwise noted.

Powered by Manifold Scholarship. Learn more at
Opens in new tab or windowmanifoldapp.org