Skip to main content

Anatomy & Physiology 2e: 4.0 Introduction

Anatomy & Physiology 2e
4.0 Introduction
  • Show the following:

    Annotations
    Resources
  • Adjust appearance:

    Font
    Font style
    Color Scheme
    Light
    Dark
    Annotation contrast
    Low
    High
    Margins
  • Search within:
    • My Notes + Comments
    • Notifications
    • Privacy
  • Project HomeNatural Sciences Collection: Anatomy, Biology, and Chemistry
  • Projects
  • Learn more about Manifold

Notes

table of contents
  1. Cover
  2. Title Page
  3. Copyright
  4. Table Of Contents
  5. Chapter 1. An Introduction to the Human Body
    1. 1.0 Introduction
    2. 1.1 How Structure Determines Function
    3. 1.2 Structural Organization of the Human Body
    4. 1.3 Homeostasis
    5. 1.4 Anatomical Terminology
    6. 1.5 Medical Imaging
  6. Chapter 2. The Chemical Level of Organization
    1. 2.0 Introduction
    2. 2.1 Elements and Atoms: The Building Blocks of Matter
    3. 2.2 Chemical Bonds
    4. 2.3 Chemical Reactions
    5. 2.4 Inorganic Compounds Essential to Human Functioning
    6. 2.5 Organic Compounds Essential to Human Functioning
  7. Chapter 3. The Cellular Level of Organization
    1. 3.0 Introduction
    2. 3.1 The Cell Membrane
    3. 3.2 The Cytoplasm and Cellular Organelles
    4. 3.3 The Nucleus and DNA Replication
    5. 3.4 Protein Synthesis
    6. 3.5 Cell Growth and Division
    7. 3.6 Cellular Differentiation
  8. Chapter 4. The Tissue Level of Organization
    1. 4.0 Introduction
    2. 4.1 Types of Tissues
    3. 4.2 Epithelial Tissue
    4. 4.3 Connective Tissue Supports and Protects
    5. 4.4 Muscle Tissue
    6. 4.5 Nervous Tissue
    7. 4.6 Tissue Injury and Aging
  9. Chapter 5. The Integumentary System
    1. 5.0 Introduction
    2. 5.1 Layers of the Skin
    3. 5.2 Accessory Structures of the Skin
    4. 5.3 Functions of the Integumentary System
    5. 5.4 Diseases, Disorders, and Injuries of the Integumentary System
  10. Chapter 6. Bone Tissue and the Skeletal System
    1. 6.0 Introduction
    2. 6.1 The Functions of the Skeletal System
    3. 6.2 Bone Classification
    4. 6.3 Bone Structure
    5. 6.4 Bone Formation and Development
    6. 6.5 Fractures: Bone Repair
    7. 6.6 Exercise, Nutrition, Hormones, and Bone Tissue
    8. 6.7 Calcium Homeostasis: Interactions of the Skeletal System and Other Organ Systems
  11. Chapter 7. Axial Skeleton
    1. 7.0 Introduction
    2. 7.1 Divisions of the Skeletal System
    3. 7.2 Bone Markings
    4. 7.3 The Skull
    5. 7.4 The Vertebral Column
    6. 7.5 The Thoracic Cage
    7. 7.6 Embryonic Development of the Axial Skeleton
  12. Chapter 8. The Appendicular Skeleton
    1. 8.0 Introduction
    2. 8.1 The Pectoral Girdle
    3. 8.2 Bones of the Upper Limb
    4. 8.3 The Pelvic Girdle and Pelvis
    5. 8.4 Bones of the Lower Limb
    6. 8.5 Development of the Appendicular Skeleton
  13. Chapter 9. Joints
    1. 9.0 Introduction
    2. 9.1 Classification of Joints
    3. 9.2 Fibrous Joints
    4. 9.3 Cartilaginous Joints
    5. 9.4 Synovial Joints
    6. 9.5 Types of Body Movements
    7. 9.6 Anatomy of Selected Synovial Joints
    8. 9.7 Development of Joints
  14. Chapter 10. Muscle Tissue
    1. 10.0 Introduction
    2. 10.1 Overview of Muscle Tissues
    3. 10.2 Skeletal Muscle
    4. 10.3 Muscle Fiber Excitation, Contraction, and Relaxation
    5. 10.4 Nervous System Control of Muscle Tension
    6. 10.5 Types of Muscle Fibers
    7. 10.6 Exercise and Muscle Performance
    8. 10.7 Smooth Muscle Tissue
    9. 10.8 Development and Regeneration of Muscle Tissue
  15. Chapter 11. The Muscular System
    1. 11.0 Introduction
    2. 11.1 Describe the roles of agonists, antagonists and synergists
    3. 11.2 Explain the organization of muscle fascicles and their role in generating force
    4. 11.3 Explain the criteria used to name skeletal muscles
    5. 11.4 Axial Muscles of the Head Neck and Back
    6. 11.5 Axial muscles of the abdominal wall and thorax
    7. 11.6 Muscles of the Pectoral Girdle and Upper Limbs
    8. 11.7 Appendicular Muscles of the Pelvic Girdle and Lower Limbs
  16. Chapter 12. The Nervous System and Nervous Tissue
    1. 12.0 Introduction
    2. 12.1 Structure and Function of the Nervous System
    3. 12.2 Nervous Tissue
    4. 12.3 The Function of Nervous Tissue
    5. 12.4 Communication Between Neurons
    6. 12.5 The Action Potential
  17. Chapter 13. The Peripheral Nervous System
    1. 13.0 Introduction
    2. 13.1 Sensory Receptors
    3. 13.2 Ganglia and Nerves
    4. 13.3 Spinal and Cranial Nerves
    5. 13.4 Relationship of the PNS to the Spinal Cord of the CNS
    6. 13.5 Ventral Horn Output and Reflexes
    7. 13.6 Testing the Spinal Nerves (Sensory and Motor Exams)
    8. 13.7 The Cranial Nerve Exam
  18. Chapter 14. The Central Nervous System
    1. 14.0 Introduction
    2. 14.1 Embryonic Development
    3. 14.2 Blood Flow the meninges and Cerebrospinal Fluid Production and Circulation
    4. 14.3 The Brain and Spinal Cord
    5. 14.4 The Spinal Cord
    6. 14.5 Sensory and Motor Pathways
  19. Chapter 15. The Special Senses
    1. 15.0 Introduction
    2. 15.1 Taste
    3. 15.2 Smell
    4. 15.3 Hearing
    5. 15.4 Equilibrium
    6. 15.5 Vision
  20. Chapter 16. The Autonomic Nervous System
    1. 16.0 Introduction
    2. 16.1 Divisions of the Autonomic Nervous System
    3. 16.2 Autonomic Reflexes and Homeostasis
    4. 16.3 Central Control
    5. 16.4 Drugs that Affect the Autonomic System
  21. Chapter 17. The Endocrine System
    1. 17.0 Introduction
    2. 17.1 An Overview of the Endocrine System
    3. 17.2 Hormones
    4. 17.3 The Pituitary Gland and Hypothalamus
    5. 17.4 The Thyroid Gland
    6. 17.5 The Parathyroid Glands
    7. 17.6 The Adrenal Glands
    8. 17.7 The Pineal Gland
    9. 17.8 Gonadal and Placental Hormones
    10. 17.9 The Pancreas
    11. 17.10 Organs with Secondary Endocrine Functions
    12. 17.11 Development and Aging of the Endocrine System
  22. Chapter 18. The Cardiovascular System: Blood
    1. 18.0 Introduction
    2. 18.1 Functions of Blood
    3. 18.2 Production of the Formed Elements
    4. 18.3 Erythrocytes
    5. 18.4 Leukocytes and Platelets
    6. 18.5 Hemostasis
    7. 18.6 Blood Typing
  23. Chapter 19. The Cardiovascular System: The Heart
    1. 19.0 Introduction
    2. 19.1 Heart Anatomy
    3. 19.2 Cardiac Muscle and Electrical Activity
    4. 19.3 Cardiac Cycle
    5. 19.4 Cardiac Physiology
    6. 19.5 Development of the Heart
  24. Chapter 20. The Cardiovascular System: Blood Vessels and Circulation
    1. 20.0 Introduction
    2. 20.1 Structure and Function of Blood Vessels
    3. 20.2 Blood Flow, Blood Pressure, and Resistance
    4. 20.3 Capillary Exchange
    5. 20.4 Homeostatic Regulation of the Vascular System
    6. 20.5 Circulatory Pathways
    7. 20.6 Development of Blood Vessels and Fetal Circulation
  25. Chapter 21. The Lymphatic and Immune System
    1. 21.0 Introduction
    2. 21.1 Anatomy of the Lymphatic and Immune Systems
    3. 21.2 Barrier Defenses and the Innate Immune Response
    4. 21.3 The Adaptive Immune Response: T lymphocytes and Their Functional Types
    5. 21.4 The Adaptive Immune Response: B-lymphocytes and Antibodies
    6. 21.5 The Immune Response against Pathogens
    7. 21.6 Diseases Associated with Depressed or Overactive Immune Responses
    8. 21.7 Transplantation and Cancer Immunology
  26. Chapter 22. The Respiratory System
    1. 22.0 Introduction
    2. 22.1 Organs and Structures of the Respiratory System
    3. 22.2 The Lungs
    4. 22.3 The Process of Breathing
    5. 22.4 Gas Exchange
    6. 22.5 Transport of Gases
    7. 22.6 Modifications in Respiratory Functions
    8. 22.7 Embryonic Development of the Respiratory System
  27. Chapter 23. The Digestive System
    1. 23.0 Introduction
    2. 23.1 Overview of the Digestive System
    3. 23.2 Digestive System Processes and Regulation
    4. 23.3 The Mouth, Pharynx, and Esophagus
    5. 23.4 The Stomach
    6. 23.5 Accessory Organs in Digestion: The Liver, Pancreas, and Gallbladder
    7. 23.6 The Small and Large Intestines
    8. 23.7 Chemical Digestion and Absorption: A Closer Look
  28. Chapter 24. Metabolism and Nutrition
    1. 24.0 Introduction
    2. 24.1 Overview of Metabolic Reactions
    3. 24.2 Carbohydrate Metabolism
    4. 24.3 Lipid Metabolism
    5. 24.4 Protein Metabolism
    6. 24.5 Metabolic States of the Body
    7. 24.6 Energy and Heat Balance
    8. 24.7 Nutrition and Diet
  29. Chapter 25. The Urinary System
    1. 25.0 Introduction
    2. 25.1 Internal and External Anatomy of the Kidney
    3. 25.2 Microscopic Anatomy of the Kidney: Anatomy of the Nephron
    4. 25.3 Physiology of Urine Formation: Overview
    5. 25.4 Physiology of Urine Formation: Glomerular Filtration
    6. 25.5 Physiology of Urine Formation: Tubular Reabsorption and Secretion
    7. 25.6 Physiology of Urine Formation: Medullary Concentration Gradient
    8. 25.7 Physiology of Urine Formation: Regulation of Fluid Volume and Composition
    9. 25.8 Urine Transport and Elimination
    10. 25.9 The Urinary System and Homeostasis
  30. Chapter 26. Fluid, Electrolyte, and Acid-Base Balance
    1. 26.0 Introduction
    2. 26.1 Body Fluids and Fluid Compartments
    3. 26.2 Water Balance
    4. 26.3 Electrolyte Balance
    5. 26.4 Acid-Base Balance
    6. 26.5 Disorders of Acid-Base Balance
  31. Chapter 27. The Sexual Systems
    1. 27.0 Introduction
    2. 27.1 Anatomy of Sexual Systems
    3. 27.2 Development of Sexual Anatomy
    4. 27.3 Physiology of the Female Sexual System
    5. 27.4 Physiology of the Male Sexual System
    6. 27.5 Physiology of Arousal and Orgasm
  32. Chapter 28. Development and Inheritance
    1. 28.0 Introduction
    2. 28.1 Fertilization
    3. 28.2 Embryonic Development
    4. 28.3 Fetal Development
    5. 28.4 Maternal Changes During Pregnancy, Labor, and Birth
    6. 28.5 Adjustments of the Infant at Birth and Postnatal Stages
    7. 28.6 Lactation
    8. 28.7 Patterns of Inheritance
  33. Creative Commons License
  34. Recommended Citations
  35. Versioning

4.0 Introduction

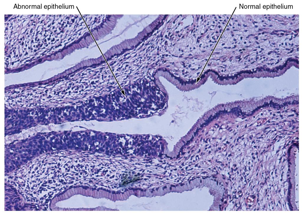
This micrograph shows tissue surrounding several empty spaces. The epithelial tissue occurs at the border between the rest of the tissue and the empty spaces. The normal epithelium is composed of rectangular-shaped cells neatly organized side by side. Dark purple nuclei are clear at the bottom of the epithelial cells, where they attach to the rest of the tissue. The abnormal epithelium appears as a tangled area of purple nuclei, much thicker than the normal epithelium although no distinct cells are discernible.
Figure 4.0 – Micrograph of Cervical Tissue: This figure is a view of the regular architecture of normal tissue contrasted with the irregular arrangement of cancerous cells. (credit: “Haymanj”/Wikimedia Commons)

Chapter Objectives

After studying this chapter, you will be able to:

4.1 – Identify the main tissue types and discuss their roles in the human body.

4.2 – Describe the structural characteristics of the various epithelial tissues and how these characteristics enable their functions.

4.3 – Describe the structural characteristics of the various connective tissues and how these characteristics enable their functions.

4.4 – Describe the characteristics of muscle tissue and how these dictate muscle function.

4.5 – Describe the characteristics of nervous tissue and how these enable the unique functions of nervous tissue.

4.6 – Describe the process of tissue response to injury.

The cells found in the human body contain essentially the same internal structures yet they vary enormously in shape and function. The variation in cells is not randomly distributed throughout the body, rather, they occur in organized layers.  Such aggregations of cells that are similar in structure and work together to perform a specialized function are referred to as tissues.  The micrograph that opens this chapter shows the high degree of organization among different types of cells in the tissue of the cervix. You can also see how that organization breaks down when cancer takes over the regular mitotic functioning of a cell.

The human body starts as a single cell at fertilization. As this fertilized egg divides, it gives rise to trillions of cells, each built from the same blueprint, but organizing into tissues and becoming irreversibly committed to a developmental pathway.

Annotate

Next chapter
4.1 Types of Tissues
PreviousNext
Anatomy and Physiology
Copyright © 2019 by Lindsay M. Biga, Sierra Dawson, Amy Harwell, Robin Hopkins, Joel Kaufmann, Mike LeMaster, Philip Matern, Katie Morrison-Graham, Devon Quick & Jon Runyeon

Anatomy & Physiology by Lindsay M. Biga, Sierra Dawson, Amy Harwell, Robin Hopkins, Joel Kaufmann, Mike LeMaster, Philip Matern, Katie Morrison-Graham, Devon Quick & Jon Runyeon is licensed under a Creative Commons Attribution-ShareAlike 4.0 International License, except where otherwise noted.

Powered by Manifold Scholarship. Learn more at
Opens in new tab or windowmanifoldapp.org