Skip to main content

Human Anatomy & Physiology I, 2nd edition: Unit 11: The Integumentary System

Human Anatomy & Physiology I, 2nd edition
Unit 11: The Integumentary System
  • Show the following:

    Annotations
    Resources
  • Adjust appearance:

    Font
    Font style
    Color Scheme
    Light
    Dark
    Annotation contrast
    Low
    High
    Margins
  • Search within:
    • Notifications
    • Privacy
  • Project HomeNatural Sciences Collection: Anatomy, Biology, and Chemistry
  • Projects
  • Learn more about Manifold

Notes

table of contents
  1. Cover
  2. Title Page
  3. Copyright
  4. Table Of Contents
  5. Preface
  6. Levels of Organization
    1. Unit 1: Atoms and Molecules
    2. Unit 2: The Chemistry of Water
    3. Unit 3: Biochemistry
    4. Unit 4: Cell Structure and Function
    5. Unit 5: Membrane Structure and Function
    6. Unit 6: Tissue Structure and Functions
    7. Unit 7: Body Structure
    8. Unit 8: Homeostasis
  7. Support and Movement
    1. Unit 11: The Integumentary System
    2. Unit 12: The Skeletal System
    3. Unit 13: Joints
    4. Unit 14: Biomechanics
    5. Unit 15: Muscle Anatomy and Movement
    6. Unit 16: Muscle Physiology
  8. Glossary
  9. Appendix I: Periodic Table of the Elements
  10. Appendix II: Anatomical Prefixes and Suffixes

Unit 11: The Integumentary System

Unit outline

Part 1: Layers of the skin

  • Epidermis
  • Dermis
  • Hypodermis

Part 2: Accessory structures of the skin

  • Hair
  • Nails
  • Sweat glands
  • Sebaceous glands

Part 3: Functions of the skin

Practice questions

Learning Objectives

At the end of this unit, you should be able to:

I. Identify and describe the components of the integumentary system.

II. Identify and describe the five layers of the epidermis of the skin, including the location and function of keratinocytes and melanocytes.

III. Specify the function(s) of epidermal derivatives, including hair, sebaceous glands, sudoriferous glands, ceruminous glands, nails.

IV. Describe five major functions of the integumentary system.

Learning Objectives and Guiding Questions

At the end of this unit, you should be able to complete all the following tasks, including answering the guiding questions associated with each task.

I. Identify and describe the components of the integumentary system.

  1. List and identify all the organs and accessory structures of the integumentary system.
  2. Define “organ”. Explain why the skin specifically would fit your definition of an organ.
  3. For the two layers of the dermis, state their proper anatomical name and the specific tissue type of which each is primarily composed.
  4. Identify the accessory structures of the skin that are embedded in each of the two layers of the dermis.
  5. Draw an annotated diagram of the skin, clearly showing:
    • The epidermal and dermal layers of the skin, and the hypodermis
    • The type(s) of tissue of that comprise each of the above layers indicated above (hint: refer back to the Tissue Structure topic)
    • The layer(s) of the skin that contain(s) blood vessels
    • The layer(s) of the skin that contain(s) nervous structures

II. Identify and describe the five layers of the epidermis of the skin, including the location and function of keratinocytes and melanocytes.

  1. Draw an annotated diagram of the epidermis of thick skin, clearly showing the five layers of the epidermis and specifying the distinguishing physical characteristics of each layer.
  2. Identify which layer in the diagram you created above would be missing from thin skin.
  3. Specify the two main types of cells found in the epidermis, and which important chemical each of them produce. Briefly explain how each of those chemicals provide protection to underlying tissues.

III. Specify the function(s) of epidermal derivatives, including hair, sebaceous glands, sudoriferous glands, ceruminous glands, nails.

  1. List the main function(s) served in human by the hairs of the:
    • Scalp
    • Eyelids
    • Nostrils
    • Rest of the body
  2. What is the main function(s) of nails, and what about their structure allows them to perform that function(s)?
  3. Complete the following table regarding integumentary glands:
Gland nameLocation(s) in the bodyProduct contentsProduct function(s)
Eccrine sudoriferous gland
Apocrine sudoriferous gland
Ceruminous gland
Sebaceous gland

IV. Describe five major functions of the integumentary system.

  1. Explain the mechanisms by which the integumentary system carries out each of the following functions:
    • Protection
    • Body temperature regulation
    • Sensation
    • Synthesis of vitamin D
    • Excretion

What do you think when you look at your skin in the mirror? Do you think about cleaning and caring for it, adding a tattoo, or maybe a body piercing? Or do you think about the fact that the skin belongs to one of the body’s most essential and dynamic systems: the integumentary system? The integumentary system refers to the skin and its accessory structures, and it is responsible for much more than your outward appearance. In the adult human body, the skin makes up about 16 percent of body weight and covers an area of 1.5 to 2 m2. In fact, the skin and accessory structures are the largest organ system in the human body. As such, the skin protects your inner organs and it is in need of daily care and protection to maintain its health. This chapter will introduce the structure and functions of the integumentary system.

Part 1: Layers of the Skin

Although you may not typically think of the skin as an organ, it is in fact made of tissues that work together as a single structure to perform unique and critical functions. The skin and its accessory structures provides the body with overall protection as part of the integumentary system. The skin is made of multiple layers of cells and tissues, which are held to underlying structures by connective tissue (Figure 1). The deeper layer of skin is well vascularized (has numerous blood vessels). It also has numerous sensory and nerve fibres ensuring communication to and from the brain.

Figure 1. Layers of Skin. The skin is composed of two main layers: the epidermis, made of closely packed epithelial cells, and the dermis, made of connective tissue that houses blood vessels, hair follicles, sweat glands, and other structures. Deep to the dermis of the skin lies the hypodermis, which is composed mainly of loose connective and fatty tissues.
image
Watch this CrashCourse video to learn more about the integumentary system! Direct link: https://youtu.be/Orumw-PyNjw
The Epidermis

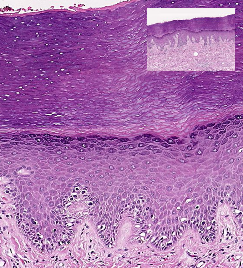
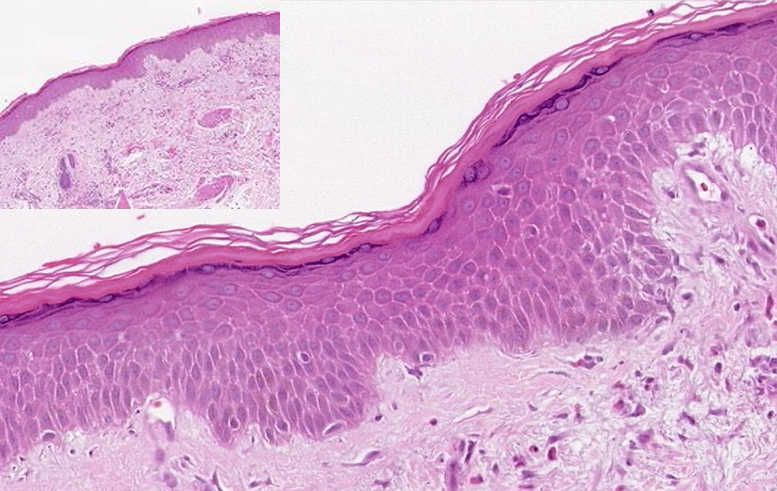
The epidermis (Figures 2 & 3) is composed of keratinized, stratified squamous epithelium.  Like all epithelium, it is avascular and does not have any blood vessels within it.  Most of the skin is classified as thin skin, and has four visible layers of cells (Figure 2). From deep to superficial, these layers are the stratum basale, stratum spinosum, stratum granulosum, and stratum corneum. Thick skin is found only on the palms of the hands and the soles of the feet. It has a fifth layer, called the stratum lucidum, located between the stratum corneum and the stratum granulosum (Figures 3 & 4).

Figure 2. Cross-section of Thin Skin. The epidermis of thin skin consists of four visibly distinct layers of epithelial cells called keratinocytes.  The pale connective tissue deep to the densely-packed keratinocytes is the dermis.  Note the difference between the thickness of the epithelial layer of thin skin and that of the thick skin in the subsequent Figure. (Micrographs obtained from Bio-Atlas at the Jake Gittlen Laboratories for Cancer Research © 2013 The Pennsylvania State University.)
Figure 3. Cross-section of Thick Skin. The epidermis of thick skin consists of five visibly distinct layers of epithelial cells called keratinocytes.  The pale connective tissue deep to the densely-packed keratinocytes is the dermis.  Note the difference between the thickness of the epithelial layer of thick skin and that of the thin skin in the previous Figure.  (Micrographs obtained from Bio-Atlas at the Jake Gittlen Laboratories for Cancer Research © 2013 The Pennsylvania State University.)

The dominant cells in the epidermis are called keratinocytes. A keratinocyte is a cell that manufactures and stores the protein keratin. Keratin is an intracellular fibrous protein that gives hair, nails, and skin their hardness and water-resistant properties. By the time the keratinocytes reach the stratum corneum they are dead and regularly slough away, being replaced by cells from the deeper layers (Figure 4).

1. Stratum Basale: The stratum basale (also called the stratum germinativum) is the deepest epidermal layer and attaches the epidermis to the basal lamina, below which lie the layers of the dermis. The cells in the stratum basale bond to the dermis via intertwining collagen fibres that make up the basement membrane. A finger-like projection, or fold, known as the dermal papilla (plural = dermal papillae) is found in the superficial portion of the dermis. Dermal papillae increase the strength of the connection between the epidermis and dermis; the greater the folding, the stronger the connection made (Figure 6).

The stratum basale is a single layer of cells primarily made of basal cells. A basal cell is a cuboidal-shaped stem cell that is a precursor of the keratinocytes of the epidermis. All of the keratinocytes are produced from this single layer of cells, which are constantly going through growth (mitosis) to produce new cells.

As new cells are formed, the existing cells are pushed superficially away from the stratum basale. Two other cell types are found dispersed among the basal cells in the stratum basale. The first is a Merkel cell, which functions as a receptor and is responsible for stimulating sensory nerves that the brain perceives as touch. These cells are especially abundant on the surfaces of the hands and feet. The second is a melanocyte, a cell that produces the pigment melanin. Melanin gives hair and skin its color, and also helps protect the living cells of the epidermis from ultraviolet (UV) radiation damage.

image
Figure 4. Layers of the Epidermis. The epidermis of thick skin has five layers: stratum basale, stratum spinosum, stratum granulosum, stratum lucidum, and stratum corneum.

In a growing fetus, fingerprints form where the cells of the stratum basale meet the papillae of the underlying dermal layer (papillary layer), resulting in the formation of the ridges on your fingers that you recognize as fingerprints. Fingerprints are unique to each individual and are used for forensic analyses because the patterns do not change with the growth and aging processes.

2. Stratum Spinosum: As the name suggests, the stratum spinosum is spiny in appearance due to the protruding cell processes that join the cells via a structure called a desmosome. The desmosomes interlock with each other and strengthen the bond between the cells. It is interesting to note that the “spiny” nature of this layer is an artifact of the staining process. Unstained epidermis samples do not exhibit this characteristic appearance. The stratum spinosum is composed of eight to 10 layers of keratinocytes, formed as a result of cell division in the stratum basale (Figures 4 & 5). Interspersed among the keratinocytes of this layer is a type of dendritic cell called the Langerhans cell, which functions as a macrophage by engulfing bacteria, foreign particles, and damaged cells that occur in this layer.

The keratinocytes in the stratum spinosum begin the synthesis of keratin and release a water-repelling glycolipid that helps prevent water loss from the body, making the skin relatively waterproof. As new keratinocytes are produced atop the stratum basale, the keratinocytes of the stratum spinosum are pushed into the stratum granulosum.

3. Stratum Granulosum: The stratum granulosum has a grainy appearance due to further changes to the keratinocytes as they are pushed from the stratum spinosum. The cells (three to five layers deep) become flatter, their cell membranes thicken, and they generate large amounts of the proteins keratin, which is fibrous, and keratohyalin, which accumulates as granules within the cells (Figures 4 & 5). These two proteins make up the bulk of the keratinocyte mass in the stratum granulosum and give the layer its grainy appearance. The nuclei and other cell organelles disintegrate as the cells die, leaving behind the keratin, keratohyalin, and cell membranes that will form the stratum lucidum, the stratum corneum, and the accessory structures of hair and nails.

4. Stratum Lucidum: The stratum lucidum is a smooth, seemingly translucent layer of the epidermis located just above the stratum granulosum and below the stratum corneum. This thin layer of cells is found only in the thick skin of the palms, soles, and digits. The keratinocytes that compose the stratum lucidum are dead and flattened (Figures 4 & 5). These cells are densely packed with eleiden, a clear protein, derived from keratohyalin, which gives these cells their transparent (i.e., lucid) appearance and provides a barrier to water.

5. Stratum Corneum: The stratum corneum is the most superficial layer of the epidermis and is the layer exposed to the outside environment (Figure 4). The increased keratinization (also called cornification) of the cells in this layer gives it its name. There are usually 15 to 30 layers of cells in the stratum corneum.

image
Figure 5. Cells of the Epidermis. The cells in the different layers of the epidermis originate from basal cells located in the stratum basale, yet the cells of each layer are distinctively different. EM × 2700. (Micrograph provided by the Regents of University of Michigan Medical School © 2012)

This dry, dead layer helps prevent the penetration of microbes and the dehydration of underlying tissues, and provides a mechanical protection against abrasion for the more delicate, underlying layers. Cells in this layer are shed periodically and are replaced by cells pushed up from the stratum granulosum (or stratum lucidum in the case of the palms and soles of feet). The entire layer is replaced during a period of about 4 weeks. Cosmetic procedures, such as microdermabrasion, help remove some of the dry, upper layer and aim to keep the skin looking “fresh” and healthy.

Dermis

The dermis might be considered the “core” of the integumentary system (derma- = “skin”), as distinct from the epidermis (epi- = “upon” or “over”) and hypodermis (hypo- = “below”). It contains blood and lymph vessels, nerves, and other structures, such as hair follicles and sweat glands. The dermis is made of two layers of connective tissue that compose an interconnected mesh of elastin and collagenous fibres, produced by fibroblasts (Figure 6).

1. Papillary Layer: The papillary layer is made of loose, areolar connective tissue, which means the collagen and elastin fibres of this layer form a loose mesh. This superficial layer of the dermis projects into the stratum basale of the epidermis to form finger-like dermal papillae (Figure 6). Within the papillary layer are fibroblasts, a small number of fat cells (adipocytes), and an abundance of small blood vessels.

In addition, the papillary layer contains phagocytes, defensive cells that help fight bacteria or other infections that have breached the skin. This layer also contains lymphatic capillaries, nerve fibres, and touch receptors called the tactile (Meissner ) corpuscles.

2. Reticular Layer: Underlying the papillary layer is the much thicker reticular layer, composed of dense, irregular connective tissue. This layer is well vascularized and has a rich sensory and nerve supply. The reticular layer appears reticulated (net-like) due to a tight meshwork of fibres. Elastin fibres provide some elasticity to the skin, enabling movement. Collagen fibres provide structure and tensile strength, with strands of collagen extending into both the papillary layer and the hypodermis. In addition, collagen binds water to keep the skin hydrated.

image
Figure 6. Layers of the Dermis. This stained slide shows the two components of the dermis—the papillary layer and the reticular layer. Both are made of connective tissue with fibers of collagen extending from one to the other, making the border between the two somewhat indistinct. The dermal papillae extending into the epidermis belong to the papillary layer, whereas the dense collagen fiber bundles below belong to the reticular layer. LM × 10. (credit: modification of work by “kilbad”/Wikimedia Commons)
Hypodermis

The hypodermis (also called the subcutaneous layer or superficial fascia) is a layer directly below the dermis and serves to connect the skin to the underlying fascia (fibrous tissue) of the bones and muscles. It is not considered a part of the skin, although the border between the hypodermis and dermis can be difficult to distinguish. The hypodermis consists of well-vascularized, loose, areolar connective tissue and adipose tissue, which functions as a mode of fat storage and provides insulation and cushioning for the integument.

Pigmentation: The colour of skin is influenced by a number of pigments, including melanin, carotene, and hemoglobin. Recall that melanin is produced by cells called melanocytes, which are found scattered throughout the stratum basale of the epidermis. The melanin is transferred in the keratinocytes via a cellular vesicle called a melanosome (Figure 7).

Dark-skinned individuals produce more melanin than those with pale skin. Exposure to the UV rays of the sun or a tanning salon causes melanin to be manufactured and built up in keratinocytes, as sun exposure stimulates keratinocytes to secrete chemicals that stimulate melanocytes. The accumulation of melanin in keratinocytes results in the darkening of the skin, or a tan. This increased melanin accumulation protects the DNA of epidermal cells from UV ray damage. In contrast, too much melanin can interfere with the production of vitamin D, an important nutrient involved in calcium absorption.

image
Figure 7. Skin Pigmentation. The relative coloration of the skin depends of the amount of melanin produced by melanocytes in the stratum basale and taken up by keratinocytes.

It requires about 10 days after initial sun exposure for melanin synthesis to peak, which is why pale-skinned individuals tend to suffer sunburns of the epidermis initially. Dark-skinned individuals can also get sunburns, but are more protected than are pale-skinned individuals. Melanosomes are temporary structures that are eventually destroyed by fusion with lysosomes; this fact, along with melanin-filled keratinocytes in the stratum corneum sloughing off, makes tanning impermanent.

Too much sun exposure can eventually lead to wrinkling due to the destruction of the cellular structure of the skin, and in severe cases, can cause sufficient DNA damage to result in skin cancer. When there is an irregular accumulation of melanocytes in the skin, freckles appear.

Moles are larger masses of melanocytes, and although most are benign, they should be monitored for changes that might indicate the presence of cancer (Figure 8).

image
Figure 8. Moles. Moles range from benign accumulations of melanocytes to melanomas. These structures populate the landscape of our skin. (credit: the National Cancer Institute)

Part 2: Accessory Structures of the Skin

Accessory structures of the skin include hair, nails, sweat glands, and sebaceous glands. These structures embryologically originate from the epidermis and can extend down through the dermis into the hypodermis.

Hair

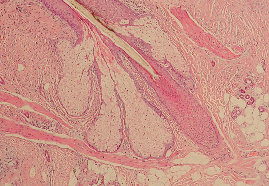
Hair is a keratinous filament growing out of the epidermis. It is primarily made of dead, keratinized cells. Strands of hair originate in an epidermal penetration of the dermis called the hair follicle (Figures 9 & 10).

image
Watch this CrashCourse video to learn more about the accessory structures! Direct link: https://youtu.be/EN-x-zXXVwQ

The hair shaft is the part of the hair not anchored to the follicle, and much of this is exposed at the skin’s surface. The rest of the hair, which is anchored in the follicle, lies below the surface of the skin and is referred to as the hair root. The hair root ends deep in the dermis at the hair bulb (which is the deep end of the hair follicle). The root includes a layer of actively growing basal cells called the hair matrix. The hair bulb surrounds the hair papilla, which is made of connective tissue and contains blood capillaries and nerve endings from the dermis (Figure 9).

Just as the basal layer of the epidermis forms the layers of epidermis that get pushed to the surface as the dead skin on the surface sheds, the basal cells of the hair bulb divide and push cells outward in the hair root and shaft. The external hair is completely dead and composed entirely of keratin. For this reason, hair does not have sensation. Furthermore, you can cut your hair or shave without damaging the hair structure because the cut is superficial. Most chemical hair removers also act superficially; however, electrolysis and plucking both attempt to destroy the hair bulb so hair cannot grow.

image
Figure 9. Hair. A cross-section of a hair follicle, showing the hair bulb and papilla.

Hair serves a variety of functions in the human body, including protection, sensory input, and communication. For example, hair on the head protects the skull from the sun. The hair in the nose and ears, and around the eyes (eyelashes) defends the body by trapping and excluding dust particles that may contain allergens and microbes. Hair of the eyebrows prevents sweat and other particles from dripping into and bothering the eyes. Hair also has a sensory function due to sensory innervation by a hair root plexus surrounding the base of each hair follicle.

Hair is extremely sensitive to air movement or other disturbances in the environment, much more so than the skin surface. This feature is also useful for the detection of the presence of insects or other potentially damaging substances on the skin surface. Each hair root is connected to a smooth muscle called the arrector pili that contracts in response to nerve signals from the nervous system, making the external hair shaft “stand up” (Figure 9).  The primary purpose for this would be to trap a layer of air to add insulation, but in humans the hairs are too far away from each other to be effective as insulation.  The erection of the hair shafts in response to low body temperature nevertheless persists in humans and is visible as “goose bumps”.

image
Figure 10. Hair Follicle. The slide shows a cross-section of a hair follicle. Basal cells of the hair matrix in the center differentiate into cells of the inner root sheath. Basal cells at the base of the hair root form the outer root sheath. LM × 4. (credit: modification of work by “kilbad”/Wikimedia Commons)

Hair grows and is eventually shed and replaced by new hair. On average, 50 hairs are lost and replaced per day. Hair loss occurs if there is more hair shed than what is replaced and can happen due to hormonal or dietary changes. Hair loss can also result from the aging process, or the influence of hormones.

Similar to the skin, hair gets its color from the pigment melanin, produced by melanocytes in the hair papilla. Different hair color results from differences in the type of melanin, which is genetically determined. As a person ages, the melanin production decreases, and hair tends to lose its color and becomes gray and/or white.

Nails

The nail bed is a specialized structure of the epidermis that is found at the tips of our fingers and toes. The nail body is formed on the nail bed, and protects the tips of our fingers and toes as they are the farthest extremities and the parts of the body that experience the maximum mechanical stress (Figure 11). In addition, the nail body forms a back-support for picking up small objects with the fingers. The nail body is composed of densely packed dead keratinocytes. The nail body forms at the nail root, which has a matrix of proliferating cells from the stratum basale that enables the nail to grow continuously.

image
Figure 11. Nails. The nail is an accessory structure of the integumentary system.
Sweat Glands

When the body becomes warm, sudoriferous glands produce sweat to cool the body. Sweat glands develop from epidermal projections into the dermis and are classified as merocrine glands; that is, the secretions are excreted by exocytosis through a duct without affecting the cells of the gland. There are two main types of sweat glands, each secreting slightly different products.

An eccrine sweat gland is type of gland that produces a hypotonic (relative to blood plasma) sweat for thermoregulation. These glands are found all over the skin’s surface, but are especially abundant on the palms of the hand, the soles of the feet, and the forehead (Figure 12).

image
Figure 12. Eccrine Gland. Eccrine glands are coiled glands in the dermis that release sweat that is mostly water.

They are coiled glands lying deep in the dermis, with the duct rising up to a pore on the skin surface, where the sweat is released. This type of sweat, released by exocytosis, is composed mostly of water, with some salt, antibodies, traces of metabolic waste, and dermicidin, an antimicrobial peptide. Eccrine glands are a primary component of thermoregulation in humans and thus help to maintain homeostasis.

An apocrine sweat gland is usually associated with hair follicles in densely hairy areas, such as the armpits and anogenital regions. Apocrine sweat glands are larger than eccrine sweat glands and lie deeper in the dermis, sometimes even reaching the hypodermis, with the duct normally emptying into the hair follicle. In addition to water and salts, apocrine sweat includes organic compounds that make the sweat thicker and subject to bacterial decomposition and subsequent smell. The release of this sweat is under both nervous and hormonal control, and plays a role in the poorly understood human pheromone response. Most commercial antiperspirants use an aluminum-based compound as their primary active ingredient to stop sweat. When the antiperspirant enters the sweat gland duct, the aluminum-based compounds precipitate due to a change in pH and form a physical block in the duct, which prevents sweat from coming out of the pore.

There are several different types of modified apocrine glands that have become specialized to serve particular functions. One example is the mammary gland, which allows mammals to produces and secretes milk (a mixture of water, salt, and organic compounds) in appropriate concentrations to nourish growing offspring. Another example is the ceruminous gland, which is found in the external auditory meatus (ear canal) and secretes a pigmented mixture of lipids and proteins that combines with the sebum secreted from sebaceous glands (see below) and dead keratinocytes to form cerumen (earwax). This sticky substance is used to trap small foreign bodies (e.g. dirt, small insects) and help prevent damage to the tympanic membrane (eardrum).

Sebaceous Glands

A sebaceous gland is a type of oil gland that is found all over the body and helps to lubricate and waterproof the skin and hair. Most sebaceous glands are associated with hair follicles (Figures 9 & 10). They generate and excrete sebum, a mixture of lipids, onto the skin surface, thereby naturally lubricating the dry and dead layer of keratinized cells of the stratum corneum, keeping it pliable. The fatty acids of sebum also have antibacterial properties, and prevent water loss from the skin in low-humidity environments. The secretion of sebum is stimulated by hormones, many of which do not become active until puberty. Thus, sebaceous glands are relatively inactive during childhood.

Part 3: Functions of the Integumentary System

The skin and accessory structures perform a variety of essential functions, such as protecting the body from invasion by microorganisms, chemicals, and other environmental factors; preventing dehydration; acting as a sensory organ; modulating body temperature and electrolyte balance; and synthesizing vitamin D. The underlying hypodermis has important roles in storing fats, forming a “cushion” over underlying structures, and providing insulation from cold temperatures.

Protection: The skin protects the rest of the body from the basic elements of nature such as wind, water, and UV sunlight. It acts as a protective barrier against water loss, due to the presence of layers of keratin and glycolipids in the stratum corneum. It also is the first line of defense against abrasive activity due to contact with grit, microbes, or harmful chemicals. Sweat excreted from sweat glands deters microbes from over-colonizing the skin surface by generating dermicidin, which has antibiotic properties.

Sensory Function: The fact that you can feel an ant crawling on your skin, allowing you to flick it off before it bites, is because the skin, and especially the hairs projecting from hair follicles in the skin, can sense changes in the environment. The hair root plexus surrounding the base of the hair follicle senses a disturbance, and then transmits the information to the central nervous system (brain and spinal cord), which can then respond by activating the skeletal muscles of your eyes to see the ant and the skeletal muscles of the body to act against the ant.

The skin acts as a sense organ because the epidermis, dermis, and the hypodermis contain specialized sensory nerve structures that detect touch, surface temperature, and pain. These receptors are more concentrated on the tips of the fingers, which are most sensitive to touch, especially the tactile (Meissner) corpuscle (Figure 13), which responds to light touch, and the lamellated (Pacinian) corpuscle, which responds to vibration.

Merkel cells, seen scattered in the stratum basale, are also touch receptors. In addition to these specialized receptors, there are sensory nerves connected to each hair follicle, pain and temperature receptors scattered throughout the skin, and motor nerves innervate the arrector pili muscles and glands. This rich innervation helps us sense our environment and react accordingly.

image
Figure 13. Light Micrograph of a Tactile (Meissner) Corpuscle. In this micrograph of a skin cross-section, you can see a tactile (Meissner) corpuscle (arrow), a type of touch receptor located in a dermal papilla adjacent to the basement membrane and stratum basale of the overlying epidermis. LM × 100. (credit: “Wbensmith”/Wikimedia Commons)

Thermoregulation: The integumentary system helps regulate body temperature through its tight association with the nervous system. The nervous system is continuously monitoring body temperature and initiating appropriate motor responses. Recall that sweat glands, accessory structures to the skin, secrete water, salt, and other substances to cool the body when it becomes warm.

Even when the body does not appear to be noticeably sweating, approximately 500 mL of sweat (insensible perspiration) are secreted a day. If the body becomes excessively warm due to high temperatures, vigorous activity (Figure 14ac), or a combination of the two, sweat glands will be stimulated by the sympathetic nervous system to produce large amounts of sweat, as much as 0.7 to 1.5 L per hour for an active person. When the sweat evaporates from the skin surface, the body is cooled as body heat is dissipated.

In addition to sweating, arterioles in the dermis dilate so that excess heat carried by the blood can dissipate through the skin and into the surrounding environment (Figure 14b). This accounts for the skin redness that many people experience when exercising.

When body temperatures drop, the arterioles constrict to minimize heat loss, particularly in the ends of the digits and tip of the nose. This reduced circulation can result in the skin taking on a whitish hue. Although the temperature of the skin drops as a result, passive heat loss is prevented, and internal organs and structures remain warm. If the temperature of the skin drops too much (such as environmental temperatures below freezing), the conservation of body core heat can result in the skin actually freezing, a condition called frostbite.

image
Figure 14. Thermoregulation. During strenuous physical activities, such as skiing (a) or running (c), the dermal blood vessels dilate and sweat secretion increases (b). These mechanisms prevent the body from overheating. In contrast, the dermal blood vessels constrict to minimize heat loss in response to low temperatures (b). (credit a: “Trysil”/flickr; credit c: Ralph Daily)

Other Functions of the Skin: The epidermal layer of human skin synthesizes vitamin D when exposed to UV radiation. In the presence of sunlight, a precursor of vitamin D is synthesized from a derivative of the cholesterol in the skin. Further biochemical reactions in the liver and kidney produce then calcitriol, the active chemical form of the vitamin, which has important roles in the absorption of calcium from the small intestine In present day society, vitamin D is added as a supplement to many foods, including milk and orange juice, compensating for the need for sun exposure.

The skin is also a minor component of the excretory system, which is used to remove metabolic waste products from the body. Most metabolic waste products are removed from the body via the urinary and respiratory systems. However, the skin does release in sweat some of the metabolic waste products that are found in blood plasma, albeit at relatively low concentrations.

Practice Questions

Part 1: Layers of the skin

An interactive H5P element has been excluded from this version of the text. You can view it online here:
https://pressbooks.bccampus.ca/dcbiol110311092nded/?p=1593#h5p-1

An interactive H5P element has been excluded from this version of the text. You can view it online here:
https://pressbooks.bccampus.ca/dcbiol110311092nded/?p=1593#h5p-2

An interactive H5P element has been excluded from this version of the text. You can view it online here:
https://pressbooks.bccampus.ca/dcbiol110311092nded/?p=1593#h5p-3

An interactive H5P element has been excluded from this version of the text. You can view it online here:
https://pressbooks.bccampus.ca/dcbiol110311092nded/?p=1593#h5p-4

An interactive H5P element has been excluded from this version of the text. You can view it online here:
https://pressbooks.bccampus.ca/dcbiol110311092nded/?p=1593#h5p-8

An interactive H5P element has been excluded from this version of the text. You can view it online here:
https://pressbooks.bccampus.ca/dcbiol110311092nded/?p=1593#h5p-9

Part 2: Accessory structures of the skin

An interactive H5P element has been excluded from this version of the text. You can view it online here:
https://pressbooks.bccampus.ca/dcbiol110311092nded/?p=1593#h5p-5

An interactive H5P element has been excluded from this version of the text. You can view it online here:
https://pressbooks.bccampus.ca/dcbiol110311092nded/?p=1593#h5p-6

Part 3: Functions of the skin

An interactive H5P element has been excluded from this version of the text. You can view it online here:
https://pressbooks.bccampus.ca/dcbiol110311092nded/?p=1593#h5p-7

Annotate

Next Chapter
Unit 12: The Skeletal System
PreviousNext
Anatomy and Physiology
Copyright ©2019 by Douglas College Douglas College Human Anatomy & Physiology I (2nd ed.) by Douglas College is licensed under a Creative Commons Attribution 4.0 International License, except where otherwise noted.
Powered by Manifold Scholarship. Learn more at
Opens in new tab or windowmanifoldapp.org