Skip to main content

Humanizing Brain Tumors: Strategies for You and Your Physician: Humanizing Brain Tumors: Strategies for You and Your Physician

Humanizing Brain Tumors: Strategies for You and Your Physician
Humanizing Brain Tumors: Strategies for You and Your Physician
    • Notifications
    • Privacy
  • Project HomeHumanizing Brain Tumors
  • Projects
  • Learn more about Manifold

Notes

Show the following:

  • Annotations
  • Resources
Search within:

Adjust appearance:

  • font
    Font style
  • color scheme
  • Margins
table of contents
  1. Cover Page
  2. Halftitle Page
  3. Title Page
  4. Copyright Page
  5. Dedication
  6. Contents
  7. Preface
  8. Chapter 1: Frontal Lobe: The Man Who Lost the Will to Work
  9. Chapter 2: Left Temporal Lobe: The Man Who Found Creativity
  10. Chapter 3: Right Temporal Lobe: The Woman Who Could Not Quench Her Thirst
  11. Chapter 4: Foramen Magnum and High Cervical Cord: The Woman with Rotating Paralysis
  12. Chapter 5: Brain Stem: The Nurse Who Started Having Double Vision and Headaches
  13. Chapter 6: Cerebellum: The Woman with Pigmented Lesions and Worsening Balance
  14. Chapter 7: Pituitary and Stalk: Visual Loss and Hormonal Alteration in a Young Transgender Woman
  15. Chapter 8: Tumor Afecting Hearing: Trials and Tribulations
  16. Chapter 9: Hypothalamus and Third Ventricle: The Woman Who Lost the Ability to Play Sudoku
  17. Compendium
  18. Glossary
  19. Biographies
  20. Acknowledgements

CHAPTER 3

RIGHT TEMPORAL LOBE

The Woman Who Could Not Quench Her Thirst

ABIGAIL KOEHLER, BS
ROHAN RAO, BS
EASHIKA CHAKRABORTY
ABDELKADER MAHAMMEDI
, MD
SOMA SENGUPTA, MD, PHD, FRCP

The cerebral cortex is divided into four major lobes based on their location within the brain. These divisions allow for neuroanatomists to subclassify groups of functionally related neurons, such as those of Broca’s area and the primary motor cortex, based on their lobe location. In this case, the patient presented with a glioblastoma multiforme (GBM) in the right posterior temporal lobe. The gold standard treatment for a GBM is resection and chemoradiation, followed by the adjuvant chemotherapy drug temozolomide (TMZ).1 GBMs can arise in multiple locations throughout the brain, but in this chapter, the temporal lobe was specifically affected.

The temporal lobe portion of the brain is located near the exterior structure of the ears and temple regions.2 The outer surface of the temporal lobe is called the neocortex and contains the primary auditory cortex which is critical to the processing of sound.3 Given the temporal lobe’s close association with the other lobes, it also carries communication tracts to other parts of the brain. Thus, it is difficult to fully classify all the modalities with which the temporal lobe is involved. The inner surface, also known as the limbic cortex, includes the parahippocampal gyrus, hippocampus, and amygdala.4 The hippocampus has been linked to memory formation and the amygdala is involved in emotional processing. Any damage impacting the hippocampus by the growing mass (mass effect) can lead to memory difficulties.5 Insult to the amygdala will frequently lead to emotional and behavioral alterations. Auditory impairment can be a result of a lesion in the primary auditory cortex. Urinary incontinence is a common presenting symptom of brain tumors as it is usually the first symptom noticed by patients.6 This is the story of Janet, who battled cancer for the second time in her life. Janet had many insights into working through cancer diagnoses; we will dive into her journey below.

Janet was 17 years old when she started college at Niagara University in New York to become a nurse. It was at this time when she received the terrifying diagnosis of stage IV ovarian cancer. A persistent fighter, Janet prepared herself for the long journey of battling cancer and overcoming it. At the time, Janet felt an overwhelming sense of inadequacy because her diagnosis was not something she could control herself; she could not stop it, she could not help it, and she could not make it better. She traveled to Memorial Sloan Kettering Cancer Center in New York once a month for chemotherapy treatment against her physician’s opinion to get treatment once a week to maintain her academic status. Janet recalled her experience with treatment as awful. She was sick and in pain, all while juggling the hectic schedule of a nursing school student and young adult. She was ultimately rid of disease when she received a hysterectomy, including the removal of her cancerous ovaries. One can imagine the feeling of relief and liberation Janet felt when she no longer had to endure the pain and suffering associated with her cancer diagnosis.

One can also imagine why she would ask herself such a painstaking question, “Why me?”, when she received a (GBM) diagnosis at the age of 66. Janet noted an intense thirst and painful, persistent urination in May of 2017. These symptoms prompted her to visit her primary care physician. Suspicious Janet might have of an overactive bladder or diabetes insipidus, which is characterized by chronic thirst and urination due to an imbalance of fluids within the body, her physician sent her in for imaging. On June 24th, 2017, however, her life would change forever. Janet’s imaging showed a right posterior temporal brain lesion that indicated the existence of a GBM (Fig. 3.1). This location falls on the right side of the head, in the back portion of the brain, synonymous with the location behind the ear. She thought, “I had [cancer] once, I shouldn’t have it again”. She later underwent extensive surgery to resect the tumor. The tumor was analyzed by pathologists at Emory, who shared it was O[6]-methylguanine-DNA methyltransferase (MGMT) methylated, epidermal growth factor receptor (EGFR) viii amplified, and isocitrate dehydrogenase 1 wild type (IDH-1 WT).

Variations of gray color are surrounded by a both a black and light gray boarder. On the left side of the image, there is a white blob outline.
FIGURE 3.1 Brain MRI before surgery. Axial (left) and coronal (right) post-contrast images show a large mass centered in the right posterior temporal lobe with peripheral and irregular enhancement that appears bright after being injected with IV contrast, consistent with glioblastoma.
(Left) There is charcoal grey color surrounded by black space and a thin light grey outline. On the left side of the image, there is a black blob with two small white blobs beneath it which are highlighted by two small white arrows. (Right) There is charcoal grey color surrounded by black space and a thin light grey outline. On the left side of the image, there is a black blob with a white spherical figure above it with is highlighted by a small white arrow.
FIGURE 3.2 Brain MRI after surgery. Axial (right) and coronal (left) post-contrast images show postoperative changes from resection of the mass. Follow-up post-contrast images, obtained 29 months follow-up, demonstrate new nodular areas of abnormal enhancement that appear bright after being injected with IV contrast, along the superior and anterolateral margins of the resection cavity (white arrows), concerning for recurrent tumor.
(Left) There is charcoal grey color surrounded by black space and a thin light gray outline. There is a black colored blob in the bottom left side of the image with three white blobs around it; two on the bottom and one on the top. Each white blob is highlighted by white arrows. There is a small light gray circle to slightly to the right of the center of the image. It is circled in white. (Right) There is charcoal grey color surrounded by black space and a thin light gray outline. On the left side of the image, there is a black blob with a white colored blob on top of it. There is a white arrow pointing downward towards the white blob.
FIGURE 3.3 Brain MRI after surgery. Follow-up axial (left) and coronal (right) post-contrast images, obtained 34 months follow-up, show progressive increased size of nodular areas of abnormal enhancement that appear bright after being injected with IV contrast, along the superior and anterolateral margins of the resection cavity (white arrows), with a new abnormal ependymal enhancing nodule in the left frontal horn (white circle), concerning for recurrent tumor.
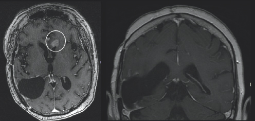
Light gray color variations are surrounded by black space and a white outline. On the top right of the image, near the midline, there is a white blob highlighted by a white circle. (Right) Charcoal gray color variations are surrounded by black space and a light gray outline.
FIGURE 3.4 Brain MRI after surgery. Follow-up axial (left) and coronal (right) post-contrast images, obtained 39 months follow-up, show progressive increased size of an abnormal ependymal enhancing nodule in the left frontal horn (white circle) that appears bright after being injected with IV contrast, consistent with a recurrent tumor.

A month after her surgery, Janet began chemotherapy and radiation treatment. She began trialing different chemotherapy drugs recommended by her team of physicians to pinpoint which would be most effective for her tumor. She was unable to be treated with the standard-of-care drug, TMZ, due to a severe anaphylactic allergic reaction. Despite desensitization to try to ween her on TMZ use, she continued treatment with lomustine, a different chemotherapy drug. Janet was placed on multiple clinical trials starting with the Belinostat/MRSI (magnetic resonance spectroscopic imaging) study and later the 5-ALA (5-aminolevulinic acid) study. Early on in her treatment, Janet turned to tumor treating fields (TTFs), to see if that form of treatment could provide her the benefit of tumor reduction. TTFs are commonly used in the form of an Optune® device. An Optune® device is a physical, white-colored cap that patients can place over their shaved heads to reduce cancer cell growth through the electric fields that the device omits. In the fall of 2019, Janet moved her care from Emory University Hospital and Wake Forest Hospital to the University of Cincinnati Medical Center to follow her neuro-oncologist, Dr. Soma Sengupta, with whom she had formed a close relationship. Due to the progression of her disease Janet underwent a re-resection surgery in March of 2020 and was placed on the adjuvant letrozole drug study. She then started the chemotherapy drug bevacizumab and required stereotactic radiosurgery (SRS) for a new lesion (Fig. 3.2–3.4). She continued care through her doctors in Cincinnati in conjunction with the care she was receiving at Wake Forest Hospital. She felt prepared but nervous each time she underwent imaging because she knew if her tumor had grown, it would result in a change of course to her treatment.

Janet had a passion for music and played the guitar, ukulele, and harp (Fig. 3.5). Before the COVID-19 pandemic, Janet would play at music festivals, parks, or nearly anywhere she could get together with her former church worship leader. Music and religion supported her through many of her difficult times. She attributed nearly all her survivorship success to religion. Janet was also very passionate about jewelry making. Yet, Janet was completely frustrated with her physical abilities, which had been impacted by GBM. She noted weakness in her left side, mainly her shoulder, arm, and leg, which caused her to be unable to play music as she once did and be independently mobile. Janet struggled with balance and was unable to watch movies with complex plots due to her confusion and memory difficulty. She was also unable to control her bladder. Janet found herself unconvinced that doctors would ever be able to diagnose her incontinence because they were highly skilled and had not yet been able to do so.

As Janet continued her battle with GBM, she reflected on her relationships that supported her along her way. She often thanked her niece, who advocated for her brain tumor treatment and put her in contact with many extraordinary physicians who took tremendous care of her. She also recognized her loving husband of 48 years, as he was her primary caregiver, and drove her to Cincinnati, OH from their home in Zirconia, NC for treatment. Although she knew her family was scared to lose her, she appreciated their love and determination to help her get through her diagnosis. She also remembered her nurse navigator at Emory. She believed every cancer patient should have a nurse navigator to help direct patients through the difficulty of juggling an emotional diagnosis, different specialty doctor appointments, and treatment. Her advice to future brain tumor patients was: “Be straight up and honest with your doctors so they know what is happening.”

Sadly, Janet passed away on May 23rd, 2021. She will be missed dearly by her loved ones. Janet was planning on writing two books about battling cancer: one from a patient perspective, and the other from a medical perspective by reflecting on her education and experience in the nursing field. She believed these would be helpful for future patients and those who interact with cancer patients.

FIGURE 3.5 Janet was diagnosed with a glioblastoma multiforme (GBM) in her right temporal lobe. Janet enjoyed making music and playing different instruments. Here, Janet is playing the hammered dulcimer.

ENDNOTES

1. Roger Stupp et al., “Radiotherapy plus Concomitant and Adjuvant Temozolomide for Glioblastoma,” New England Journal of Medicine 352, no. 10 (2005): 987–96. https://doi.org/10.1056/NEJMoa043330.

2. Anand Patel, Grace Marie Nicole R. Biso, and James B. Fowler, “Neuroanatomy, Temporal Lobe,” in StatPeals (Treasure Island, FL: StatPearls Publishing, 2021), http://www.ncbi.nlm.nih.gov/books/NBK519512/.

3. J. A. Kiernan, “Anatomy of the Temporal Lobe,” Epilepsy Research and Treatment, 2012 (March 29, 2012): 176157. https://doi.org/10.1155/2012/176157.

4. Michael J. Aminoff and Robert B. Daroff, Encyclopedia of the Neurological Sciences, volume 1, 2nd ed (London: Academic Press, 2014).

5. David E. Warren et al., “Medial Temporal Lobe Damage Impairs Representation of Simple Stimuli,” Frontiers in Human Neuroscience 4 (May 18, 2010): 35, https://doi.org/10.3389/fnhum.2010.00035.

6. Leslie M. Okorji and Daniel T. Oberlin, “Lower Urinary Tract Symptoms Secondary to Mass Lesion of the Brain: A Case Report and Review of the Literature,” Urology Case Reports 8 (June 4, 2016): 7–8, https://doi.org/10.1016/j.eucr.2016.05.005.

REFERENCES

Aminoff, Michael J. and Robert B. Daroff. Encyclopedia of the Neurological Sciences, volume 1, 2nd ed. London: Academic Press, 2014.

Kiernan, J. A. “Anatomy of the Temporal Lobe.” Epilepsy Research and Treatment, 2012 (March 29, 2012): 176157. https://doi.org/10.1155/2012/176157.

Okorji, Leslie M. and Daniel T. Oberlin. “Lower Urinary Tract Symptoms Secondary to Mass Lesion of the Brain: A Case Report and Review of the Literature.” Urology Case Reports 8 (June 4, 2016): 7–8. https://doi.org/10.1016/j.eucr.2016.05.005.

Patel, Anand, Grace Marie Nicole R. Biso, and James B. Fowler. “Neuroanatomy, Temporal Lobe.” In StatPearls. Treasure Island, FL: StatPearls Publishing, 2021. http://www.ncbi.nlm.nih.gov/books/NBK519512/.

Stupp, Roger, Warren P. Mason, Martin J. van den Bent, Michael Weller, Barbara Fisher, Martin J.B. Taphoorn, Karl Belanger, Alba A. Brandes, Christine Marosi, Ulrich Bogdahn, Jürgen Curschmann, Robert C. Janzer, Samuel K. Ludwin, Thierry Gorlia, Anouk Allgeier, Denis Lacombe, J. Gregory Cairncross, Elizabeth Eisenhauer, and René O. Mirimanoff. “Radiotherapy plus Concomitant and Adjuvant Temozolomide for Glioblastoma.” New England Journal of Medicine 352, no. 10 (2005): 987–96. https://doi.org/10.1056/NEJMoa043330.

Warren, David E., Melissa C. Duff, Daniel Tranel, Neal J. Cohen. “Medial Temporal Lobe Damage Impairs Representation of Simple Stimuli.” Frontiers in Human Neuroscience 4 (May 18, 2010): 35. https://doi.org/10.3389/fnhum.2010.00035.

Annotate

Next Chapter
Humanizing Brain Tumors: Strategies for You and Your Physician
PreviousNext
Copyright © 2022
Powered by Manifold Scholarship. Learn more at
Opens in new tab or windowmanifoldapp.org