Skip to main content

Humanizing Brain Tumors: Strategies for You and Your Physician: Humanizing Brain Tumors: Strategies for You and Your Physician

Humanizing Brain Tumors: Strategies for You and Your Physician
Humanizing Brain Tumors: Strategies for You and Your Physician
  • Show the following:

    Annotations
    Resources
  • Adjust appearance:

    Font
    Font style
    Color Scheme
    Light
    Dark
    Annotation contrast
    Low
    High
    Margins
  • Search within:
    • Notifications
    • Privacy
  • Project HomeHumanizing Brain Tumors
  • Projects
  • Learn more about Manifold

Notes

table of contents
  1. Cover Page
  2. Halftitle Page
  3. Title Page
  4. Copyright Page
  5. Dedication
  6. Contents
  7. Preface
  8. Chapter 1: Frontal Lobe: The Man Who Lost the Will to Work
  9. Chapter 2: Left Temporal Lobe: The Man Who Found Creativity
  10. Chapter 3: Right Temporal Lobe: The Woman Who Could Not Quench Her Thirst
  11. Chapter 4: Foramen Magnum and High Cervical Cord: The Woman with Rotating Paralysis
  12. Chapter 5: Brain Stem: The Nurse Who Started Having Double Vision and Headaches
  13. Chapter 6: Cerebellum: The Woman with Pigmented Lesions and Worsening Balance
  14. Chapter 7: Pituitary and Stalk: Visual Loss and Hormonal Alteration in a Young Transgender Woman
  15. Chapter 8: Tumor Afecting Hearing: Trials and Tribulations
  16. Chapter 9: Hypothalamus and Third Ventricle: The Woman Who Lost the Ability to Play Sudoku
  17. Compendium
  18. Glossary
  19. Biographies
  20. Acknowledgements

CHAPTER 8

TUMOR AFFECTING HEARING

Trials and Tribulations

ABIGAIL KOEHLER, BS
ROHAN RAO, BS
EASHIKA CHAKRABORTY
ABDELKADER MAHAMMEDI
, MD
RAVI N. SAMY, MD, FACS
SOMA SENGUPTA, MD, PHD, FRCP

Within the brain, there exist a collection of nerves that function to control the sensation and motor functions of the head. One of these is called the vestibulocochlear nerve or cranial nerve VIII (CN VIII), which receives balance and hearing information from the structures of the inner ear.1 As with most nerves throughout the body, CN VIII is surrounded by a coating of fat, termed myelin, speeding its conduction of electrical signals. The myelin sheath has a role similar to the insulation surrounding typical copper wiring. Both myelin and this insulation serve to speed up the electrical conduction along the length of the neuron and copper wire, respectively. Within the nervous system, two cell types, oligodendrocytes and Schwann cells, function to produce this myelin and properly envelope the axons. Oligodendrocytes are primarily found within the head and spinal cord whereas Schwann cells are found in peripheral nerves which connect the head to the rest of the body.2 As can be insinuated from the name of the disease, a vestibular schwannoma involves a growth of the Schwann cells involved in creating the myelin around CN VIII.

Vestibular schwannomas (VS), also known by the term acoustic neuroma, have an incidence of approximately 3 cases per 100,000 patients/year.3,4 The characteristic symptoms of VS include loss of hearing, imbalance, and ringing in the affected ear.5 These symptoms are caused by a compression of CN VIII due to the expanding VS. As the tumor progresses, it may impinge on surrounding neuroanatomical structures next to CN VIII. One such structure is the cerebellum which is next to CN VIII’s connection in the brainstem. Consequently, late-stage VS can manifest with limb dyscoordination, termed ataxia, and a diminishment of hand-eye coordination, termed dysmetria. Like many other disease processes, VS can be caused by genetic disorders, specifically the neurofibromatosis type 2 (NF2) gene. NF2 is relatively rare and constitutes only 5% of all VS.6 Bilateral VS is the defining characteristic of NF2.7 Below is the story of Jess, a small-town sock-lover who had to travel across the United States to receive care for her aggressive, fast-growing vestibular schwannoma.

At the young age of 26, Jess learned what it was really like to be an advocate. Beginning as early as 2009, Jess noticed she began having headaches that felt like Charley horses in her head. Her hearing also seemed to become impaired, and everything sounded as if she were underwater. She scheduled an appointment to see her primary care physician, who suggested she had a sinus infection with fluid in her ears. She was prescribed a common antibiotic and sent home to rest and recover. The only issue was, after completing her antibiotic regimen, Jess still had symptoms. After visiting with her doctor again, she was referred to a dentist with the potential diagnosis of grinding her teeth in her sleep. However, her dentist did not see evidence of this. After weeks of pain and no answer, Jess suggested to her doctor that she believed she should get a magnetic resonance image (MRI). Jess underwent imaging with a sneaking suspicion that something was wrong. Her fears were confirmed when her doctor called her on the phone and asked her and her husband to stop by the office. Her doctor was in more shock than Jess as she broke the news that Jess had a brain tumor. (Fig. 8.1). Jess’s gut instinct was correct; there was something else going on in her brain.

Her tumor was a result of a genetic disorder Jess never knew she had called neurofibromatosis type 2 (NF2). She was diagnosed with a vestibular schwannoma tumor on the left side of her brain, which was pushing on her brainstem and wound around bundles of nerves. Later on, her mom found out that Jess’s biological father was diagnosed with NF2 with similar symptoms to Jess and later passed away from his condition. Jess’s siblings were tested but none have the condition.

Jess’s physician referred her to many different Kentucky doctors who would fall short of being her advocate, “I’m sorry Jess, but this tumor is too complex, too big.” Jess found herself terrified for her future as five different doctors could not seem to help her. To her, it seemed as though it were time to go home and die. She thought about how complicated her situation must be if so many people who train for this kind of work were not able to help.

One major advocate in her corner pulled through for her. Jess’s mom was unaccepting of the fact that no one would help her daughter. She contacted the House Ear Institute in Los Angeles, CA to recruit Dr. Derald Brackmann to perform her difficult surgery. He planned to additionally place an auditory brainstem implant (ABI). ABIs are surgically placed at the brainstem of a deaf patient and use an electrode to bypass damaged areas of the brain and create signals for the auditory nerve directly. Jess continued to work her job at a local bank up until the day she flew out to California. She felt very nervous but knew Dr. Brackmann was her only hope at combating her new diagnosis. Jess recalls the most difficult arrangement of her trip was figuring out who could take care of her dog! She expected to stay in California for 2-3 months, with 3-4 of the weeks in intensive care. Her entire surgery lasted 16-18 hours, but she was shocked when she woke and realized she only needed to spend about five hours in the intensive care unit (ICU). Unfortunately, she was unable to get the ABI due to her insurance denying her claim at the last minute. She stayed in LA for two weeks, staying in the hospital for only three days. She she did not need rehab or any other post-operative care. Jess remembers recognizing she was deaf in her left ear, but decided it was okay because she was alive.

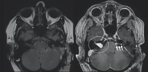
(Left) Dark gray colored structures are contained within a light gray outline. (Right) A white colored blob on the left side of the image is highlighted by a white circle. There is a white horizontal blob on the right side of the figure highlighted by three small white arrows. These blobs are located just above two conjoined gray spherical structures. All structures are enclosed by a gray outline.
FIGURE 8.1 Axial images before (left) and after (right) injection of IV contrast demonstrate enhancing mass in the right internal auditory canal that appears bright after being injected with IV contrast (white circle), consistent with schwannoma. Post-surgical changes from schwannoma resection with persistent enhancement within the left cerebellar pontine angle cistern that appears bright after being injected with IV contrast (white arrows), consistent with residual tumor.

Since there were not any physicians in Kentucky who could offer her treatment, Jess applied to the National Institute of Health (NIH) for a study. Jess thinks it is the craziest thing she has ever done in her life. She would hop on a plane to Washington, D.C. to receive chemotherapy, and fly back home. It was around this time that the tumor on her right side began to grow, and her hearing declined. She sought out Dr. Trent Hummel at Cincinnati Children’s Hospital Medical Center, an expert in the field of central nervous system (CNS) tumors.

One day, however, Jess woke up completely deaf. Her hearing loss was later confirmed through the hearing tests she received regularly for following an Avastin chemotherapy protocol. Upon losing her hearing, she also lost her job. She was in touch with Dr. Ravi Samy, a neurotologist/skull base surgeon, at the University of Cincinnati Medical Center, for possible surgical treatment of her NF2. They discussed surgical removal of her tumors, radiation therapy, cochlear implantation, and placement of an ABI (Fig.8.1). Since Jess and her husband were unable to have biological children, they chose to adopt. She and her husband adopted two children who would play a significant role in Jess’ treatment decisions. Although it was an uncertain time for her, she relied on her faith and family and ultimately decided that, despite the risks, “This may be a great opportunity to hear my kids for the first time.” Subsequently, she underwent right-sided radio-surgery, a focused beam of radiation therapy, with her radiation oncologist, Dr. Luke Pater. Six weeks later, following the completion of her radiation therapy, she underwent cochlear implantation.

Before her implant, Jess read lips and communicated in sign language but found many barriers with this. When her cochlear implant was finally turned on, she heard her kids for the very first time. Later on, Dr. Samy informed Jess that she was still a candidate for the ABI during a follow-up appointment. He and Dr. Mario Zuccarello performed her ABI surgery at the University of Cincinnati and within six months she went from deafness to surround sound! Jess exceeded expectations with a 93% response to the ABI and, again, recovered quickly with no complications.

Throughout her journey, Jess has focused her attitude around two things: faith and crazy socks. Jess believes her faith carried her through her difficult journey and gave her a positive outlook on life. As for her love for crazy socks, Jess feels you cannot have a bad day if your feet are having a party! She claims she does not own any plain socks and her care team wears them during her treatment visits, follow-up appointments, and even her surgeries.

Jess’s family is very supportive of her. Her husband was initially very worried about her condition and struggled not having answers or the ability to fix it. Her children grew up knowing about their mom’s condition and understanding she was unable to hear them. Jess says that from the beginning she and her husband were very open with them about her condition. She brought them to doctor appointments, and they would sit with her while she received chemotherapy or watch through the window as she underwent radiation therapy. Jess loves to read and spend time with her kids as a stay-at-home mom. She volunteers at her children’s school letting kids read to her. She also participates in Disability Day at their school by creating a mini station on the topic of deafness to educate children. She spends so much of her time advocating and educating that her young niece views her as a role model and sometimes wears a Cheeto behind her ear because it looks like Jess’s hearing aid (Fig. 8.2).

(Left) A woman's head and neck are translucent in blue. A pink colored brain is connected to a brown colored stalk at the base. Two peach-colored blobs are located on either side of the brain towards the stalk. (Bottom) A brown haired woman wearing a green shirt is smiling at a child. The child is positioned with her back to the viewer. She is wearing a pink jacket and has a pink ponytail in her hair. Beneath the woman's translucent brown hair is a gray circular shaped device attached to her right ear with a wire. A zoomed in picture of this device is shown to the left side of the woman.
FIGURE 8.2 Jess discovered she had Neurofibromatosis type 2 (NF2) after she was diagnosed with a vestibular schwannoma. The non-cancerous tumor was located near her auditory nerve and brainstem. Jess experienced hearing loss due to her tumor and eventually regained hearing with an auditory brainstem implant (ABI) and hearing aids. After all that she has experienced, Jess spends a lot of time educating young minds about the condition of deafness.

Even through the most difficult times in her life, Jess has remained optimistic and thankful. Her advice to others who may be experiencing something like her situation would be to not stop just because someone else says you cannot do it. She reflects on her own self-advocacy, because if she had not asked for the initial MRI, her outcome may have been different. She also recommends keeping a positive attitude, saying “Life is so much better if you start looking for the good things instead of what could go wrong; think about what could go right. It’s not ‘I have to have,’ it’s ‘I get to have.’” Jess personally only allows herself one day to cry and be upset, and then she reframes her attitude to match the motto she created for herself. Recently, Jess has scored a 98% on her follow-up hearing test, which is better than most people score. For Jess, life sounds good!

ENDNOTES

1. F.J. Laine and W.R. Smoker, “Anatomy of the Cranial Nerves,” Neuroimaging Clinics of North America Journal 8, no. 1 (February 1998): 69–100.

2. J.L. Salzer and B. Zalc, “Myelination,” Current Biology 26, no. 20 (October 2016): R971-R975. https://doi.org/10.1016/j.cub.2016.07.074.

3. Suvi Larjavaara et al., “Incidence of Gliomas by Anatomic Location,” Neuro-oncology 9, no. 3 (2007): 319–25. https://doi.org/10.1215/15228517-2007-016.

4. Gino Cioffi et al., “Epidemiology of Vestibular Schwannoma in the United States, 2004-2016,” Neuro-Oncology Advances 2, no. 1 (December 2020): vdaa135. https://doi.org/10.1093/noajnl/vdaa135.

5. Matthew L. Carlson and Michael J. Link, “Vestibular Schwannomas,” The New England Journal of Medicine 384, no. 14 (April 8, 2021): 1335–48. https://doi.org/10.1056/NEJMra2020394.

6. Joshua Greene and Mohammed A. Al-Dhahir. “Acoustic Neuroma,” in StatPearls (Treasure Island, FL: StatPearls Publishing, 2021), http://www.ncbi.nlm.nih.gov/books/NBK470177/.

7. Ashok R Asthagiri et al., “Neurofibromatosis Type 2,” Lancet 373, no. 9679 (June 2009): 1974–86. https://doi.org/10.1016/s0140-6736(09)60259-2.

REFERENCES

Asthagiri, Ashok R., Dilys M. Parry, John A. Butman, H. Jeffrey Kim, Ekaterini T. Tsilou, Zhengping Zhuang, and Russell R. Lonser. “Neurofibromatosis Type 2.” Lancet 373, no. 9679 (June 6, 2009): 1974–86. https://doi.org/10.1016/S0140-6736(09)60259-2.

Carlson, Matthew L. and Michael J Link. “Vestibular Schwannomas.” New England Journal of Medicine 384, no. 14 (April 8, 2021): 1335–48. https://doi.org/10.1056/NEJMra2020394.

Ciof, Gino, Debra N. Yeboa, Michael Kelly, Nirav Patil, Nauman Manzoor, Katie Greppin, Kailey Takaoka, Kristin Waite, Carol Kruchko, and Jill S. Barnholtz-Sloan. “Epidemiology of Vestibular Schwannoma in the United States, 2004-2016.” Neuro-oncology Advances 2, no. 1 (December 2020). https://doi.org/10.1093/noajnl/vdaa135.

Greene, Joshua and Mohammed A. Al-Dhahir. “Acoustic Neuroma.” In StatPearls. Treasure Island, FL: StatPearls Publishing, 2021. http://www.ncbi.nlm.nih.gov/books/NBK470177/.

Laine, F. J. and W. R. Smoker. “Anatomy of the Cranial Nerves.” Neuroimaging Clinics of North America 8, no. 1 (February 1998): 69–100.

Larjavaara, Suvi, Riitta Mantyla, Tiina Salminen, Hannu Haapasalo, Jani Raitanen, Juha Jaaskelainen, and Anssi Auvinen. “Incidence of Gliomas by Anatomic Location.” Neuro-oncology 9, no. 3 (2007): 319–25. https://doi.org/10.1215/15228517-2007-016.

Salzer, J.L. and B. Zalc. “Myelination.” Current Biology 26, no. 20 (2016): PR971-R975. https://doi.org/10.1016/j.cub.2016.07.074.

Annotate

Next Chapter
Humanizing Brain Tumors: Strategies for You and Your Physician
PreviousNext
Copyright © 2022
Powered by Manifold Scholarship. Learn more at
Opens in new tab or windowmanifoldapp.org