Skip to main content

Human Anatomy Lab Manual: Lab Activities

Human Anatomy Lab Manual
Lab Activities
  • Show the following:

    Annotations
    Resources
  • Adjust appearance:

    Font
    Font style
    Color Scheme
    Light
    Dark
    Annotation contrast
    Low
    High
    Margins
  • Search within:
    • Notifications
    • Privacy
  • Project HomeNatural Sciences Collection: Anatomy, Biology, and Chemistry
  • Projects
  • Learn more about Manifold

Notes

table of contents
  1. Cover
  2. Title Page
  3. Copyright
  4. Table Of Contents
  5. About the Publisher
  6. About This Project
  7. Acknowledgments
  8. Lab 1: Anatomical Language
    1. Lab 1: Anatomical Language
    2. Pre-Lab 1
    3. Lab Activities
    4. Post-Lab 1 Questions
  9. Lab 2: Bones and Bone Markings
    1. Lab 2: Bones and Bone Markings
    2. Pre-Lab 2
    3. Lab Activities
    4. Post-Lab 2 Questions
  10. Lab 3: Spinal Cord and Spinal Nerves
    1. Lab 3: Spinal Cord and Spinal Nerves
    2. Pre-Lab 3
    3. Lab Activities
    4. Post-Lab 3 Questions
  11. Lab 4: Brain and Cranial Nerves
    1. Lab 4: Brain and Cranial Nerves
    2. Pre-lab 4
    3. Lab Activities
    4. Post-Lab 4 Questions
  12. Lab 5: Special Senses
    1. Lab 5: Special Senses
    2. Pre-lab 5
    3. Lab Activities
    4. Post-Lab 5 Questions
  13. Lab 6: Respiratory System
    1. Lab 6: Respiratory System
    2. Pre-Lab 6
    3. Lab Activities
    4. Post-Lab 6 Questions
  14. Lab 7: The Cardiovascular system
    1. Lab 7: The Cardiovascular system
    2. Pre-lab 7
    3. Lab Activities
    4. Post-Lab 7 Questions
  15. Lab 8: Digestive System
    1. Lab 8: Digestive System
    2. Pre-Lab 8
    3. Lab Activities
    4. Post-Lab 8 Questions
  16. Lab 9: Urinary and Reproductive Systems
    1. Lab 9: Urinary and Reproductive Systems
    2. Pre-lab 9
    3. Lab Activities
    4. Post-Lab 9 Questions
  17. Lab 10: The Muscular and Integumentary systems
    1. Lab 10: The Muscular and Integumentary systems
    2. Pre-Lab 10
    3. Lab Activities
    4. Post-Lab 10 Questions
  18. Vocabulary
    1. Vocabulary
  19. Image Credits

Lab Activities

For this lab only, there will be three stations for each group to cycle through, stations one, two and three; stations four, five and six will mirror these stations for this lab only. A list of words is provided below that you are expected to identify, learn, and label on the models provided. You must use all the words provided. Using the colored tape provided, write the number that corresponds to the organ/structure and place it on your model. When complete, notify your TA so they may check your work.
Note: Do not simply label the models, it is crucial that you understand how to apply all of these terms in each system, for the rest of the semester!
For each additional station, directions will be provided for the particular activity.

Stations One and Six: Histology

This is an advanced biology class, therefore you all likely have experience with microscopes. However, use these stations to refresh your memory of proper microscope etiquette, how to focus on a slide, and identify key features. For the remainder of this class, you will be expected to identify various tissues under the microscope. Be sure to ask your TA for assistance, and remember taking a picture of the slide to study later is not helpful if you don’t take the time to study it in lab and understand which aspects are most important.

Basic instructions for use:

  • Turn on the microscope. Move he stage down to its lowest setting and adjust the iris diaphragm until it allows the least amount of light in.
  • Put the slide in position on the stage and be sure to start with the 5x objective to view it. While looking through the eyepiece, use the stage controls to move the specimen in line with the objective.
  • Using the coarse adjustment knob, bring the stage up until you can see the specimen. Remember, it will not be in focus! If you bring the stage up too high, then switching to a higher objective, may touch the slide, scratch the lens, or even break the slide. Instead, use the fine adjustment knob to clarify the image and the iris diaphragm to allow as much light in as needed.
  • Once the 5x is in focus, you can move to the next objective. Use the fine adjustment knob to focus before moving to the next objective. Do NOT touch the coarse adjustment knob.
  • When you finish using the microscope, move the 5x objective to the start position and move the stage back down to its lowest position.

Sketch the slides available for today’s lab and indicate the magnitude at which you are observing/sketching. Be sure to identify, include, and label your sketch with the corresponding structures listed beneath each slide. Use the images provided to guide you through this process.

Identify, include, and label your sketch using Structures - Osteon, Lacunae, Haversian Canal
Spinal Cord
Identify, include, and label your sketch using the Structures - Basophil, Eosinophil, Neutrophil, Monocyte, Lymphocyte
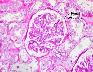
Kidney


Structures - Basophil, Eosinophil, Neutrophil, Monocyte, Lymphocyte
Structures - Osteon, Lacunae, Haversian Canal


Identify, include, and label your sketch using Structures - Osteon, Lacunae, Haversian Canal
Spinal Cord
Identify, include, and label your sketch using the Structures - Basophil, Eosinophil, Neutrophil, Monocyte, Lymphocyte
Kidney



Identify, include, and label your sketch using the Structures - Basophil, Eosinophil, Neutrophil, Monocyte, LymphocyteIdentify, include, and label your sketch using Structures - Osteon, Lacunae, Haversian Canal
Monocyte

Compact Bone

Structures - Basophil, Eosinophil, Neutrophil, Monocyte, LymphocyteStructures - Osteon, Lacunae, Haversian Canal
Identify, include, and label your sketch using Structures- Anterior median fissure, Posterior gray horns, Lateral white columns, Central canalIdentify, include, and label your sketch using Structure - Renal corpuscle

Spinal Cord

Kidney

Structures- Anterior median fissure, Posterior gray horns, Lateral white columns, Central canalStructure - Renal corpuscle

Stations Two and Five: The Basics

The terms in the following tables are important in understanding the relationship between different organs and structures of the body. Using the models and diagrams in your atlas, learn how to identify the different body planes and the appropriate use of directional terms. When trying to understand body movements, it is helpful to act them out yourself.

Label the torso models of this station with the number that corresponds to the appropriate regions of the abdominal cavity using the colored tape. When you are finished, ask your TA to check your labeling. Before leaving the station, remove all of the labels you have placed on the model. Note the locus of each organ within each region.

Body Planes

#1 frontal

#2 transverse

#3 sagittal

Directional Terms

#4 anterior

#7 inferior

#10 proximal

#13 superficial

#5 posterior

#8 lateral

#11 distal

#14 parietal

#6 superior

#9 medial

#12 deep

#15 visceral

Abdominal Regions

#16 right hypochondriac region

#19 right lumbar region

#22 right iliac region

#17 epigastric region

#20 umbilical region

#23 hypogastric region

#18 left hypochondriac region

#21 left lumbar region

#24 left iliac region

Stations Three and Four: Regions of the Body

Label the models of this station with the number that corresponds to the appropriate structure of the peripheral nervous system using the colored tape. When you are finished, ask your TA to check your labeling. Before leaving the station, remove all the labels you have placed on the model.

Anatomical Regions

#1 cephalic

#11 brachial

#21 abdominal

#31 femoral

#2 cranial

#12 cubital

#22 hepatic

#32 patellar

#3 ocular (orbital)

#13 antecubital

#23 renal

#33 popliteal

#4 auricular (otic)

#14 olecranal

#24 umbilical

#34 crural

#5 buccal

#15 antebrachial

#25 lumbar

#35 sural

#6 nasal

#16 carpal (carpus)

#26 pelvic

#36 tarsal (tarsus)

#7 oral

#17 palmar

#27 inguinal

#37 calcaneal

#8 cervical

#18 digital (phalangeal)

#28 pubic

#38 pedal

#9 acromial

#19 thoracic

#29 sacral

#39 plantar

#10 scapular

#20 mammary

#30 gluteal

Common Anatomical Features

The following terms are useful to know and understand as they will reappear throughout this course.

#40 process

#45 sulcus

#50 facet

#54 septum

#41 tuberosity

#46 gyrus

#51 fossa

#55 raphe

#42 condyle

#47 foramen

#51 fundus

#56 ampulla

#43 epicondyle

#48 foramina

#52 hilum

#44 fissure

#49 meatus

#53 isthmus

Annotate

Next Chapter
Post-Lab 1 Questions
PreviousNext
Lab Manuals
Powered by Manifold Scholarship. Learn more at
Opens in new tab or windowmanifoldapp.org