Skip to main content

An Interactive Introduction to Organismal and Molecular Biology, 2nd ed.: Protein Synthesis IV: Translation

An Interactive Introduction to Organismal and Molecular Biology, 2nd ed.
Protein Synthesis IV: Translation
  • Show the following:

    Annotations
    Resources
  • Adjust appearance:

    Font
    Font style
    Color Scheme
    Light
    Dark
    Annotation contrast
    Low
    High
    Margins
  • Search within:
    • Notifications
    • Privacy
  • Project HomeNatural Sciences Collection: Anatomy, Biology, and Chemistry
  • Projects
  • Learn more about Manifold

Notes

table of contents
  1. Cover
  2. Title Page
  3. Copyright
  4. Table Of Contents
  5. Introduction
  6. Introduction to Science
    1. Nature of Science
    2. Scientific Controversies
    3. Information Communication
    4. Stakeholders and Authority
    5. Bibliographies
  7. Organismal Biology
    1. Introduction to Ecology
    2. Biodiversity
    3. Systems Thinking and the Carbon Cycle
    4. Climate Change
    5. Species Interactions
    6. Population Growth
    7. Evolution
    8. Phylogenetic Trees: Modeling Evolution
    9. Reproduction
  8. Molecular Biology
    1. Introduction to Molecular Biology
    2. Protein Structure and Function
    3. Gene Expression Overview
    4. Protein Synthesis I: Transcription
    5. Protein Synthesis II: RNA Processing
    6. Protein Synthesis III: RNA Interference
    7. Protein Synthesis IV: Translation
    8. Protein Synthesis V: Additional Regulation
    9. Cell Signaling
    10. Genetic Engineering

21

Protein Synthesis IV: Translation

Andrea Bierema

Learning Objectives

Students will be able to:

  • Explain how mRNA is translated to synthesize protein.
  • Describe the role of the ribosome, the tRNAs, and the mRNA in translation.
  • Identify at which point on the mRNA molecule translation begins.
  • Explain what happens when a stop codon on the mRNA is reached during translation.

Overview

So far in this book, we have learned how RNA is made, processed, and regulated. This chapter focuses on how translation works; that is, how information coded in the mRNA molecule is read to create an amino acid sequence (i.e., polypeptide), which then folds into a protein. Please see an earlier chapter for a general overview of translation and which codons (i.e., base sequences) code for which amino acids.

DNA makes RNA via transcription and then makes protein via translation. The image highlights that RNA translates to protein.
Translation is the process of creating a polypeptide (i.e., an amino acid sequence) by “reading” the mRNA sequence and using tRNAs.

The Process of Translation: A First Look

Let’s first look at a basic overview of what the process of translation looks like. The video below begins with the mRNA leaving the nucleus and binding with a ribosome. TransferRNAs (tRNAs) move in and out of the ribosome, carrying an amino acid into the ribosome and then leaving without it. An amino acid sequence (i.e., a polypeptide) is produced.

An interactive H5P element has been excluded from this version of the text. You can view it online here:
https://openbooks.lib.msu.edu/isb202/?p=132#h5p-119

For closed captioning or to view the full transcript, click on the “YouTube” link in the video (or click here) and view the video on YouTube.

Exercise

Now that you have watched a basic overview of translation, test your knowledge with the following activity in which you place the following translation steps in the correct order.

An interactive H5P element has been excluded from this version of the text. You can view it online here:
https://openbooks.lib.msu.edu/isb202/?p=132#h5p-120

Molecules

The following video lists the different molecules at play in translation. While watching it, consider how each of these molecules played a role in the first video of this chapter. Watch this before moving on to the mechanism.

An interactive H5P element has been excluded from this version of the text. You can view it online here:
https://openbooks.lib.msu.edu/isb202/?p=132#h5p-121

Mechanism

The first video in this chapter quickly showed what translation looks like. The following video slows down the process and explains in more detail what is happening in the ribosome.

An interactive H5P element has been excluded from this version of the text. You can view it online here:
https://openbooks.lib.msu.edu/isb202/?p=132#h5p-122

The Process of Translation: A Detailed Look

This chapter began with an overview of translation and then described in more detail what is happing in the ribosome and how the amino acid chain builds. Now watch the following video, which is an in-depth version of the first video of this chapter, now incorporating aspects described throughout this chapter.

An interactive H5P element has been excluded from this version of the text. You can view it online here:
https://openbooks.lib.msu.edu/isb202/?p=132#h5p-123

For closed captioning or to view the full transcript, click on the “YouTube” link in the video (or click here) and view the video on YouTube.

The animations above focused on what happens at a single ribosome. In reality, though, an mRNA molecule may have several ribosomes attached to it at once, making multiple copies of the protein. They all begin at the first codon, but as one starts moving down the mRNA, another can attach; therefore, they all make the same protein.

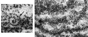
Several swirls and some loops composed of small dot-like structures; each one is a little different in shape and size (e.g., some are more oval than others).
The image on the left is a close-up of part of the image of the right, which is an electron micrograph revealing the arrangement of ribosomes from a section of a glandular, adrenocortical cell of a human fetus at 27 weeks. This view reveals long loops and spirals of multiple ribosomes aligned along a single molecule of messenger RNA. A few of the spirals are identified with an arrow (the image on the left is a close-up of one of the identified spirals). Image by Eichi Yamada and is from Figure 174 from Chapter 5 (Endoplasmic Reticulum) of ‘The Cell, 2nd Ed.’ by Don W. Fawcett M.D.

Annotate

Next Chapter
Protein Synthesis V: Additional Regulation
PreviousNext
Biology
Copyright © 2021 by Andrea M.-K. Bierema. An Interactive Introduction to Organismal and Molecular Biology, 2nd ed. by Andrea M.-K. Bierema is licensed under a Creative Commons Attribution-NonCommercial-ShareAlike 4.0 International License, except where otherwise noted.
Powered by Manifold Scholarship. Learn more at
Opens in new tab or windowmanifoldapp.org